Revista de la Sociedad Venezolana de Microbiología
versión impresa ISSN 1315-2556
Rev. Soc. Ven. Microbiol. v.26 n.2 Caracas 2006
Virus del papiloma humano en lesiones intraepiteliales escamosas (LIE) de cuello uterino. Tipificación y ultraestructura
Ivis J Graterol Sa, Hector J Finolb, Maria Correntic*
a
Universidad de Carabobo, Facultad de Ciencias de la Salud, sede Aragua. Departamento de Morfología Normal y Patológica, Venezuela. bUniversidad Central de Venezuela. Centro de Microscopía Electrónica de la Facultad de Ciencias. cLaboratorio de Genética Molecular. Instituto de Hematología y Oncología. Ministerio de Salud. Caracas, Venezuela.Resumen:
El carcinoma de células escamosas del cuello uterino, así como sus respectivas lesiones precursoras están asociadas a tipos específicos de virus del papiloma humano (VPH) que infecta el tracto ano-genital. Las células infectadas por el virus muestran cambios morfológicos, bioquímicos y en su comportamiento. Actualmente, hay 200 tipos de virus del papiloma humano. Los genotipos 16 y 18 son considerados virus de alto riesgo oncogénico, debido a que se encuentran frecuentemente asociados a las lesiones cervicales premalignas y malignas. El propósito del presente trabajo fue estudiar ultraestructuralmente los cambios morfológicos de las células infectadas por el VPH en lesiones escamosas intraepiteliales (LIE). Se estudiaron 56 pacientes con LIE y sugestiva infección de VPH de la Unidad de Patología de Cuello Uterino del Ambulatorio "Maria Teresa Toro". Se utilizó la técnica de PCR para la detección y tipificación de los virus. Resultados: Las lesiones escamosas intraepiteliales fueron 83% de bajo grado (LIEgB) y 16% de alto grado (LIEgA). En el 23% de las muestras fue detectado el ADN viral y el 76% resultaron ADN negativas. Los VPH tipos 16, 6 y 11 fueron encontrados en LIEgB y los tipos 16 y 6 en LIEgA. El análisis ultraestructural mostró en LIEgA con ADN viral positiva la presencia de figuras mielínicas, gránulos de lipofucsina, cambios en las mitocondrias, células con alargamiento nuclear, núcleos hipercromáticos y envoltura nuclear no continua. En las LIEgA ADN negativas se observó la envoltura nuclear continua y mostró iguales cambios morfológicos. Este estudio sugiere que las LIEgA pueden presentar a nivel ultraestructural distintos aspectos morfológicos pre-malignos.
Palabras clave: Papilomavirus humano, lesion intraepitelial escamosa, ultraestructura, PCR
Human papillomavirus (HPV) in squamous intraepithelial lesions (LIE) of the uterus cervix. Types and ultrastructure
Abstract:
The invasive squamous cell carcinomas of the cervix, as well as their respective precursor lesions are associated to specific types of human papillomavirus (HPV) that infect the anogenital track. HPV-infected cells demonstrate morphological behaviour and and biochemical changes. At the present time, there are 200 different types of HVP. The genotypes 16 and 18 are considered high oncogenic risk virus because they are the types most frequently associated with pre-malignant end malignant cervical lesions. The purpose of this work was to study the ultraestructural changes of the HVP-infected cells in squamous intraepithelial lesions.56 patients with cervical intraepithelial lesions with suggestive human papillomavirus infection of the Uterus Cervical Pathology Unit of the "María Teresa Toro" ambulatory were studied. HVP-DNA were typed by PCR technique. Results: 83% was low-grade squamous intraepithelial lesions (LSIL), and 16 % high-grade squamous intraepithelial lesions (HSIL). 23% was HVP-DNA positive and 76% resulted negative. HVP types 16, 6 and 11 were found in LSIL and HVP 16 and 6 in HSIL. Ultrastructural analysis showed in HSIL with HVP-DNA positive myelin-like figures, lipofuscin granules, mitochondrial changes, cells with nuclear enlargement, nuclear hyperchromaticity and nuclear envelop wasnt continuous, in the HSIL HVP-DNA negative the nuclear envelop was continuous and showed similar morphological changes. This study suggests that the HSIL could exhibit, at the ultrastructural level a distinct morphological pre-malignant aspect.
Keywords: Human papillomavirus, squamous intraepithelial lesion, ultrastructure, PCR
Recibido 22 febrero 2006; aceptado 17 julio 2006
Introducción
Las infecciones por Virus del Papiloma Humano (VPH) representan una de las infecciones de transmisión sexual más comunes en la mayor parte de los países. En los últimos sesenta años se ha estudiado intensamente el tema y uno de los mayores intereses de las investigaciones en VPH reside en la asociación etiológica, de algunas de estas infecciones con el carcinoma de cuello uterino y con otros tumores del tracto genital y perianal masculino y femenino [1,2].
El VPH es capaz de inducir una transformación maligna en la célula huésped mediante un proceso, que permite su conversión de una célula huésped diferenciada a célula cancerosa. En esta transformación, la célula experimenta cambios en su morfología, comportamiento y bioquímica, pierde el control del crecimiento celular y la inhibición del contacto, lo que induce a la invasión del tejido normal.
La citología exfoliativa y el estudio histopatológico son técnicas que han proporcionado terminologías y criterios de diagnóstico en la lectura del frotis cérvico-uterino. Basado en estas técnicas, uno de los métodos que mayormente ha abierto el campo para estandarizar el tratamiento de las enfermedades cérvico-uterinas, es el sistema de Bethesda [3,4]. Este sistema clasifica las lesiones intraepiteliales escamosas (LIE) en bajo y alto grado de malignidad y a menudo están en relación con el genotipo viral que infecta la lesión.
Hasta el momento, han sido detectados alrededor de 200 tipos de estos virus y, según su poder oncogénico, ellos son clasificados como de alto y bajo riesgo de desarrollar cáncer. Los tipos de alto riesgo más conocido son: VPH 16, 18, 45, 31, 52, 33, 58, 35, 59, 51, 56, 39, 68, 73 y 82. En la actualidad se reconocen a los VPH 16 y 18 como agentes etiológicos del cáncer cérvico uterino y muy asociados a lesiones pre-malignas y malignas a nivel de genitales así como, en otras localizaciones tales como: boca, laringe, faringe, colon y ojo, fundamentalmente. Los VPH de bajo riesgo más frecuentemente asociados a lesiones benignas y premalignas de bajo grado son el tipo 6 y el 11 [2,4,5,6].
Las atipias coilocíticas y neoplasia intraepitelial cervical 1 (NIC I) son consideradas como LIE de bajo grado y de alto grado las lesiones NIC II y NIC III [2,4,5,6].
La lesión intraepitelial escamosa (LIE) muestra, desde el punto de vista histopatológico una proliferación celular con maduración anormal y atipia citológica que incluye núcleo hipercromático, distribución anormal de la cromatina, pleomorfismo nuclear y aumento de la relación núcleo / citoplasma [2,4,7,8].
Un tejido puede mostrar cambios sugestivos de infección por el virus del papiloma humano, como es la presencia de hiperqueratosis, inclusiones citoplasmáticas y coilocitosis, estos cambios son denominados efectos citopáticos que experimentan las células infectadas por el virus. Los coilocitos (coilo= hueco) o cavitaciones perinucleares, son producto del colapso de la matriz de citoqueratina al interaccionar con la proteína E4 del VPH y específicamente con la filagrina que se une a la citoqueratina [2,4,7,8].
Las lesiones precancerosas presentan un continuo espectro de alteraciones morfológicas con patrones no muy bien delimitados, estos se refieren a cambios precoces en el tamaño, forma y número de células que forman la superficie del cuello uterino. Esto puede estar relacionado con el proceso mismo de neoplasia y de su asociación a infección por el virus del VPH; sin embargo, no hay una descripción de estos hechos como fenómeno atribuible a la transformación maligna o a la infección viral [8].
Frecuentemente se observan coilocitos en las lesiones de bajo grado y en las de alto grado son ocasionales, sin embargo, la cavitación sola no es criterio diagnóstico de infección por VPH, ésta puede observarse en degeneración vacuolar relacionada a la atrofia, en infecciones e incluso en epitelio escamoso rico en glucógeno. Lo otro que puede ser observado son las figuras mitóticas, éstas se encuentran ausentes en las lesiones de bajo grado y frecuente en las de alto grado [2,4].
Los efectos citopáticos del virus no son lo suficientemente precisos para certificar la presencia del VPH y no es posible determinar el genotipo viral; sólo el uso de técnicas moleculares detecta la presencia de ADN viral y tipifica su genotipo. Tampoco estos efectos citopáticos señalan elementos morfológicos reales que establezcan que son atribuibles a la infección viral o que son parte del propio proceso neoplásico.
El propósito del presente trabajo fue conocer las alteraciones morfológicas de las lesiones intraepiteliales escamosas a nivel ultraestructural y estudiar si ellas aparecen como producto del proceso precanceroso o de su asociación a los diferentes genotipos virales detectados. En función de ello se estudiaron muestras obtenidas de pacientes. Para lograr lo propuesto, se procedió a detectar y tipificar el virus en las muestras, se realizaron observaciones mediante microscopio electrónico de transmisión y posteriormente se caracterizaron las alteraciones ultraestructurales observadas y comparadas con los patrones estandarizados de tejido normal del cérvix.
Materiales y Métodos
Se estudiaron 56 muestras de cérvix obtenidas de pacientes de la consulta de patología de cuello uterino del ambulatorio "María Teresa Toro" del Estado Aragua, que no habían recibido tratamiento y eran sugestivas de infección por VPH. Previo consentimiento informado, a cada paciente se le tomó una (1) muestra con hisopo de dacrón para el estudio molecular y una (1) biopsia dirigida del epitelio cervical para la observación ultraestructural. Las muestras tomadas para el estudio genético y tipificación del virus del papiloma humano se incluyeron en viales estériles y fueron almacenadas en refrigeración hasta su traslado. La identificación del genoma viral y tipificación se realizó en el laboratorio de Genética Molecular del Instituto de Hematología y Oncología del Ministerio de Salud.
Aislamiento del ADN
Una vez colocadas las muestras de citología y las biopsias en tubos de eppendorf, se agregó proteinasa K (1000 µl/ml) más tampón de lisis en igual proporción. En el caso de las biopsias se utilizó de 50 a 100 µl de proteinasa K más 50 a 100 µl de tampón de lisis; luego de agitar, se encubó en baño de María a 55 °C, durante una hora. Posteriormente, se le adicionó a la muestra la mezcla de cloroformo: fenol: alcohol isoamílico (SIGMA P-3803) en volúmenes iguales a lo utilizado de proteinasa K más tampón de lisis.
Se tomó el sobrenadante, una vez centrifugada la muestra a 14.000 rpm por 15 minutos y se agregó el cloroformo en igual volumen que el sobrenadante, agitando por inversión, se centrifugó a 14.000 rpm, durante 15 minutos.
El sobrenadante se tomó y se precipitó el ADN con acetato de amonio (1:10), más dos volúmenes de etanol (100%). Se centrifugó a 14.000 rpm, durante 10 minutos, se descartó el sobrenadante y añadieron 500µl etanol al 75%, luego se centrifugó a 14.000 rpm, durante 10 minutos, se descartó el sobrenadante y colocaron los eppendorf abiertos y volteados sobre el papel absorbente hasta que el etanol estuvo totalmente seco.
Se resuspendió en agua libre de ARNasa y ADNasa con un volumen de acuerdo al tamaño del sedimento.
Se procedió a preparar la solución base que contenía los elementos necesarios para la realización de la reacción en cadena de la polimerasa, utilizando los iniciadores MY11 y MY9, se agregó a la concentración de ADN previamente cuantificada en cada muestra, colocándose luego en el termoreciclador.
Se utilizó como control positivo interno de calidad para el material genético un precursor del gen de la beta globina, un control negativo sin ADN y una muestra positiva para VPH que correspondió a ADN extraído de células HeLa mantenidas en cultivo en el laboratorio de Genética.
Las muestras positivas fueron procesadas con el estuche MPCR (Maxim-Biotech, USA), para el reconocimiento de los tipos virales, 6,11,31,33,16 y 18 y se procedió a la realización de la corrida electroforética en gel de agarosa.
El procesamiento, corte y coloración de la muestra para observación con el microscopio electrónico de transmisión se realizó en el Centro de Microscopía Electrónica de la Facultad de Ciencias de la Universidad Central de Venezuela. La observación y toma de las micrografías electrónica se realizaron en el Instituto Venezolano de Investigaciones Científicas.
Estudio ultraestructural
Se siguió la técnica de preparación de muestras conocidas como técnica del corte fino, la cual comprenden la fijación, deshidratación, infiltración e inclusión. Los cortes finos fueron de 60-90 nm.
Tinción con acetato de uranilo
Se colocaron algunas gotas de acetato de uranilo al 2% en una tira de polietileno grueso o cera dental y se sumergió una rejilla con cortes en cada gota.
Fue encubada en una cápsula de Petri cubierta por 30 minutos a 60 ºC., se sujetó cada rejilla con una pinza y se lavó, primero con agua destilada y luego dejando la rejilla a pocos milímetros del agua destilada, se limpió en una cápsula de Petri, se esperó 3 minutos y retiró el agua tocando el borde de la rejilla con papel filtro.
Tinción con citrato de plomo
Se colocó un trozo de polietileno o cera dental sobre papel de filtro mojado en NaOH en una cápsula de Petri cerrada, para mantener el aire libre de C02. Se agregaron 75ul de citrato de plomo sobre el polietileno. Las rejillas fueron sumergidas individualmente en el citrato de plomo, tapadas, por 10 minutos y se retiraron a intervalos de 5 minutos, 10 minutos y 20 minutos.
Se lavó cada rejilla con agua en forma de chorro y luego se sumergió en agua destilada por 1 a 2 minutos, se pasaron las rejillas a otra cápsula de Petri y se secaron con papel de filtro. Finalmente, se procedió a la observación en el Microscopio Electrónico de Transmisión.
Resultados y discusión
Del total de muestras procesadas, 47 presentaron LIEgB (83,93%) y 9 LIEgA (16%). En el 23,2% de estas muestras se detectó la presencia del ADN viral mediante la técnica de PCR y 76,7% resultaron negativas. En el 30,7% de las lesiones intraepiteliales de alto grado (NIC III) se detectó la presencia del ADN viral, en un 38,4% de las muestras no se detectó y en el 30,7% del material fue insuficiente para la identificación del virus (Figura 1). Esto significa que de cada diez muestras tres presentaron infección por virus de VPH y clasificadas como LIE de alto grado. Este grupo de pacientes presenta dos veces más riesgo de evolucionar a lesiones malignas que las pacientes con LIE sin presencia del ADN viral.
La evolución de cada tipo de NIC es variable, el 60% de los NIC I regresan a un estado normal del epitelio en 2 - 3 años, incluyendo algunos casos severos [9]. La sola presencia del ADN viral, no es indicativa de una transformación maligna, la carga viral y la persistencia de infección por VPH apoyan la progresión maligna en las lesiones de alto riesgo [5,10], sin embargo, la presencia viral es un elemento que diferencia el tratamiento y seguimiento de estas pacientes.
El grupo de pacientes con diagnóstico de LIE de alto grado ADN viral positiva, son pacientes que ameritan un seguimiento de su evolución clínica posterior al tratamiento recibido. El estudio de la morfología y el proceso de reparación del epitelio cérvico uterino son de gran importancia en estos casos, por considerarse un grupo con mayor susceptibilidad a desarrollar cáncer de cuello uterino. El grupo de pacientes sin ADN viral, probablemente presentó alguna patología inflamatoria a nivel cervical que pudo dar alteraciones morfológicas del tejido, compatibles con los cambios sugestivos de infección viral [11].
Figura 1. Porcentaje de lesiones intraepiteliales cervicales de alto grado (NIC III) con infección viral.
Pacientes de la consulta de Patología de Cuello Uterino. Ambulatorio "María Teresa Toro". Maracay,
Edo. Aragua.
Figura 2. Tipificación del virus de Papiloma Humano. Carril 1: Marcador de PM; Carril 2: Control negativo; Carril 3: ADN paciente positivo (Tipo 11); Carril 4: Control positivo Estuche MPCR.
Los genotipos encontrados en las muestras de pacientes con ADN viral fueron los VPH 16, 6 y 11 (Figura 2 y 3) en las LIE de bajo grado y VPH 16 y 6 en LIE de alto grado, el VPH 18 no fue encontrado en las muestras estudiadas. Estos resultados coinciden con los observados en México por Busto, A. y Muñoz L, mediante estudios inmunohistoquímicos de las proteínas virales e hibridización "in situ", quienes detectaron el VPH 16 como subtipo dominante en las muestras estudiadas [12], en parte, con los resultados de investigadores del Fred Hutchinson Cancer Research Center de Estados Unidos que reportaron el VPH 16 en el 68% de las muestras estudiadas con diagnóstico de cáncer de cuello uterino [13] y los estudios de Puig A.M. y col. que obtuvieron en nueve (9) casos de LIE de alto grado y tres (3) carcinomas de cuello uterino el genotipo VPH 16, estos investigadores no encontraron este genotipo en lesiones de bajo grado, a diferencia del presente estudio.
Figura 3. Tipificación del virus de Papiloma Humano. Carril 1: Marcador de PM; Carril 2: Paciente positivo; Carril 3: Control; Carril 4: ADN paciente positivo (Tipo 16); Carril 5: Control positivo Estuche MPCR.
El genotipo viral 6 encontrado en las muestras esta frecuentemente asociado a condilomas acuminados y verrugas orales, conjuntamente con el genotipo 11. En nuestro caso el genotipo viral 6 se detectó en muestras diagnosticadas como LIE de alto y bajo grado. Si se considera la presencia de un genotipo viral de bajo riesgo asociado a uno de alto riesgo en un tejido, en este caso los tipos 16 y 6 reportados en las muestras, es probable que la presencia de estos virus de bajo riesgo, experimenten una asociación con los de alto riesgo y ello conlleve a la duplicación de las cargas virales o tengan un efecto sinérgico en la oncogénesis del virus de alto riesgo.
La presencia del VPH 16 encontradas en las muestras estudiadas, confirma la mayor prevalencia de este genotipo viral en lesiones precursoras del cáncer del cérvix uterino.
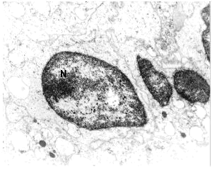
Estudio ultraestructural: Se evaluó una muestra con diagnóstico de LIE de alto grado (NIC II) infectada con VPH y con presencia de los genotipo viral 16 y otra con genotipo 6. Esta muestra se comparó con otra LIE de alto grado (NIC III) que no reportó presencia del genoma viral. Se observó en el microscopio electrónico de transmisión en la muestra VPH ADN positiva, una célula alargada presentando un núcleo alargado, hipercromático y de contornos irregulares. La envoltura nuclear es discontinua. En la región central del núcleo se apreciaron unos gránulos gruesos de cromatina. Además de estos elementos, se observó la presencia de filamentos de colágeno con una periodicidad característico, figuras mielínicas y gránulos de lipofúscina o cuerpos residuales (Figura 4). Estos se han visto en metástasis hepáticas de leiomyosarcoma de colon [14], en carcinoma de células escamosas del cérvix [15] y en patología neuromuscular del fenómeno paraneoplásico asociado a carcinoma de cérvix [16].
Figura 4. Ccélula alargada, presentando un núcleo alargado (N) hipercromático y de contorno irregulare. Envoltura nuclear discontinua (Flecha). En la región central del núcleo se apreciaron unos gránulos gruesos de cromatina (Círculo). Nótese la presencia de filamentos de colágeno con una periodicidad característico (Flecha doble). Aumento: 39.000X
Se observó además, en el estroma del cérvix de la muestra VPH ADN positiva macrófagos con abundantes lisosomas en su interior con matriz electrondenso homogénea, fibroblastos con envoltura nuclear discontinua, células con cromatina nuclear aglutinada, figuras mielínicas intranuclear, mitocondrias adosadas al núcleo y en su interior gránulos electrondensos. Dentro de la luz de los vasos se observó gran cantidad de eritrocitos y linfocitos, lo que supone que es de gran calibre a pesar de ser continuo.
En la muestra LIE de alto riesgo VPH ADN negativa, el núcleo de una célula presentó también abundante heterocramatina aun cuando sus contornos no son irregulares. Tampoco presentó granularidad gruesa y la envoltura nuclear fue continua. Por otra parte se observaron mitocondrias edematizadas y gránulos electrondensos (Figura 5).
Figura 5. El núcleo (N) presenta abundante heterocromatina, aun cuando sus contornos no son irregulares. No presentó granularidad gruesa y la envoltura nuclear es continua. Aumento: 15.000X.
Los resultados obtenidos en el presente estudio indican una relación entre los cambios celulares importantes asociados con procesos premalignos y la presencia del virus de papiloma humano de alto riesgo oncogénico. Existen pocos reportes en los que se indique los cambios morfológicos de biopsias de cuello uterino analizados por microscopia electrónica y la presencia de ADN viral, por ende la utilización de ambas técnicas permitirá realizar observaciones mas detalladas de las variaciones del tejido del cuello uterino durante la infección y establecer relaciones moleculares entre el genotipo viral, la carga viral y la progresión maligna
Agradecimientos
A todo el personal del Ambulatorio "María Teresa Toro" del Estado Aragua y especialmente al Dr. Puerta y al Dr. Landaeta por su gran colaboración.
Parte de esta investigación fue presentada en el VIII Congreso Argentino de Virología celebrada en septiembre 2005 gracias al apoyo de FUNDACITE Aragua.
FONACIT S1-2000000643 Y G-2005000408.
Referencias
1. Bosch F.X., Lorinez A., Muñoz N.,Meijer, CJLM., Shah K.V. The causal relation betwen human papilomavirus and cervical cancer. J.Clin.Pathol. 2002; 55(4): 244-65. [ Links ]
2. García de B. V. Anatomía Patológica de las Lesiones Premalignas y Cáncer de Cuello Uterino. IV Encuentro Red de Sociedades Científicas Médicas Venezolanas. Caracas, Venezuela. 2002. [ Links ]
3. Nacional Cancer Institute Workshop: The Betheseda System for reporting cervical/vaginal cytological diagnoses. J Am Ass 1989; 262 (7): 931-934. [ Links ]
4. Kurman R. J.Precancerous Lesion of The Cervix.Blaustein´s Pathology of the Female Genital Tract. 4th ed. Verlag: Editorial Springer; 1994. [ Links ]
5. Puig AM, Guerra P, Martínez C, Cuesta P, Millana C, Fariña J. Subtipos de virus del papiloma humano y lesiones intraepiteliales e invasoras de cérvix uterino en mujeres de la provincia de Ciudad Real. Rev. Esp. Patol 2001; 34: 311-5. [ Links ]
6. Andersson S, Rylander E, Larsson B, Strand A, Silfversvard C, Wilander E. The role of human papillomavirus in cervical adenocarcinoma carcinogenesis. Eur J Cancer 2001; 37: 24650. [ Links ]
7. Pérez S.M., Oramas G.B., Quiñones W.H., Domínguez A.Imágen citológicas del virus del papiloma humano en un carcinoma epidermoide de esófago. Rev Cubana Oncol 2001;17(1):48-53. [ Links ]
8. Robbins, C., Kumar, C. Patología Estructural y Funcional. 6ta ed. México:McGraw Hill. Interamericana; 1999. [ Links ]
9. Lorinez, A., Richard, R. Virus del Papiloma Humano. En: Clínicas de Ginecología y Obstetricia. Temas actuales. Vol 3, parte I. México: Mc Graw Hill. Interamericana; 1996. p. 587-631. [ Links ]
10. Bishop A., referido por Ayala. N. Cáncer de Cuello Uterino. Citología Ginecológica y VPH. Red de Sociedades Científicas Médicas Venezolanas. IV Ponencia grabada en CD. Caracas, Venezuela. 2002. [ Links ]
11. Castle PE, Hillier SL, Rabe LK, Herrero R, Bratti MC y col. An association of cervical inflammation with high-grade cervical neoplasia in women infected with oncogenic human papillomavirus (HPV). Cancer Epidemiol Biomarkers Prev 2001; 10:10217. [ Links ]
12. Busto A. Luis M. y col. Detección del virus del papiloma humano. Universidad Autónoma de Aguascalientes, México. En: http://www.uaa.mx/news/2004/99-bas.htm. Acceso 15/04/2004. [ Links ]
13. Jano On-line Journal of Clinical Oncology 2001;19:1906-1915. En: http://db.doyma.es/cgi-bin-/wdbcgi.exe/doyma/press.plantill?ident=13935. Acceso abril de 2004. [ Links ]
14. Finol H., Correa M, Márquez A, Tonino P, Sosa LA. Ultraestructure of Hepatic Metastases from a Colon Leiomyosarcoma. J Exp Clin Cancer Res 1997; 16: 381-4. [ Links ]
15. Kurman, R., Norris, H.,Wilkinson, E. Tumors of the Cervix.Tumors of the cervix, vagina and vulva. En: Atlas of Tumor Patholohy, tercera serie , Fascicle 4, Washington, DC: Armed Forces Institute of Pathology.1992;p 37-76. [ Links ]
16. Finol, H, Tonino P, Márquez A, Correa M, Muller B, Sosa LA . Microvascular pathology in the skeletal muscle paraneoplastic phenomenon. J Submicrosc Cytol Pathol 1997; 29 (3): 329-334. [ Links ]
* Correspondencia:
E-mail: mcorrentip@yahoo.com











uBio 





