Servicios Personalizados
Revista
Articulo
Indicadores
-
Citado por SciELO -
Accesos
Links relacionados
-
Similares en
SciELO
Compartir
Acta Odontológica Venezolana
versión impresa ISSN 0001-6365
Acta odontol. venez v.46 n.2 Caracas jun. 2008
Mieloma central de hueso. Reporte de un caso.
González, José María 1; Moret de González, Yuli 2
1 Jefe de la Cátedra Anatomía Humana. Profesor Asociado .Cirujano Bucal.
2 Jefe de la Cátedra Anatomía Patológica. Profesor Asociado. Msc. Medicina Bucal. Facultad de Odontología. Universidad Central de Venezuela
RESUMEN
El mieloma central de hueso (Plasmocitoma) es una proliferación maligna neoplásica de las células plasmáticas que tiene afectación solitaria, múltiple y ocasionalmente extraósea. Es una de las neoplasias malignas hematológica mas frecuentes que afectan hueso. Se han referido alteraciones genéticas, en los cromosomas 1,11 y 14, con translocación de ellos. La incidencia aumenta con la edad, estando el 90 % de los pacientes por encima de los 40 años. Los huesos mas frecuentemente afectados son el cráneo, las vértebras, la pelvis y los maxilares. Se presenta un caso de un paciente masculino de 75 años de edad, quien fue referido por presentar asimetría facial en el lado izquierdo del maxilar inferior, el paciente refiere inicio de la enfermedad actual hace aproximadamente 4 meses posteriores a la exodoncia de un diente en la zona involucrada. Al examen clínico extrabucal se observa asimetría facial. Al examen intrabucal lesión de naturaleza tumoral que se presenta en el cuerpo del maxilar inferior lado izquierdo extendiéndose desde canino hasta el tercer molar, produciendo dolor y parestesia al paciente. La radiografía panorámica revela imagen radiolúcida unilocular. Se procedió a la toma de muestra para estudio histopatológico. En este caso se destaca la importancia del odontólogo en el equipo multidisciplinario necesario para el diagnóstico de este tipo de patologías.
PALABRAS CLAVES: Mieloma Central, Mandíbula
Central mieloma of bone (plasmocitoma). Report of case.
ABSTRACT
Central Mieloma of bone (Plasmocitoma) is a malignant neoplasic proliferation of the plasmatic cells that has solitary, multiple and occasionally extrabony affectation. She is one of neoplasias you vitiate hematológica but frequent that affects bone. Genetic alterations have talked about, in chromosomes 1.11 and 14, with translocación of them. The incidence increases with the age, being 90 % of the patients over the 40 years. The frequently affected bones but are the skull, the vertebrae, pelvis and maxilares. A case of a masculine patient of 75 years of age has been appearing, that was referred to present/display face asymmetry in the left side of inferior maxilar, the patient refers beginning of the present disease for approximately 4 months later to the exodoncia of a tooth in the involved zone. The extrabuccal clinical examination face asymmetry is observed. To the intrabuccal examination injury of tumorlike nature that appears in the body of maxilar inferior left side extending from canine to third molar, producing pain and parestesia to the patient. The panoramic x-ray reveals radiolúcida image to unilocular. It was come to the taking of sample for histopatológico study. In this case the importance of the odontólogo in necessary the multidisciplinary equipment for the diagnosis of this type of pathologies stands out.
KEY WORDS . Central Mieloma of Bone, Jaw.
Recibido para arbitraje:13/02/2007
INTRODUCCIÓN
Según la OMS se define como un tumor maligno, que habitualmente muestra compromiso óseo difuso o múltiple y se caracteriza por la presencia de células plasmáticas pero con diversos grados de inmadurez, incluyendo formas atípicas1, 2 El Plasmocitoma Solitario constituye una proliferación neoplásica aislada de células plasmáticas, las cuales se derivan de linfocitos B con la función específica de segregar inmunoglobulinas. Este tumor puede presentarse en el tejido blando como Plasmocitoma extramedular o en el hueso, o ser multifocal con manifestaciones hematológicas y constituir un Mieloma Múltiple, variante más común.3 4 5Tiene predilección por el sexo masculino, quinta década de la vida, no es común en maxilar inferior y cuando aparece lo hace en el ángulo mandibular, generalmente cursa con dolor, tumefacción y fracturas patológicas. Aunque el 80 % de estos tumores se presentan en región de cabeza y cuello con preferencia en nasofaringe, cavidad nasal y senos paranasales es muy infrecuente ubicarlos en cavidad bucal Puede ir acompañado de otras patologías como Amiloidosis 6
Desde el punto de vista radiológico se observa como una imagen radiolúcida en forma de sacabocado1 y dentro de sus diagnósticos diferenciales se encuentran, cuando es solitario con cavidad ósea simple, Quiste aneurismático y cavidad Idiopática de Stafne entre otras 7.
El tratamiento consiste en radioterapia, cirugía, y más recientemente interferón, transplante medular y uso de Bisfosfonatos 8 9
PRESENTACIÓN DEL CASO
Se presenta un caso de un paciente masculino de 75 años de edad, quien fue referido por presentar asimetría facial en el lado izquierdo del maxilar inferior. Fig. 1
Figura 1. Imagen clínica extrabucal
Al examen intrabucal se observa lesión de naturaleza tumoral que se presenta en el cuerpo del maxilar inferior lado izquierdo y se extiende desde canino hasta la región molar. Fig. 2
Figura 2. Imagen clínica intrabucal
La radiografía panorámica revela imagen radiolúcida unilocular extendiéndose desde canino hasta el tercer molar. Fig. 3
Figura 3. Rx Panorámica
La radiografía de cráneo se encuentra dentro de límites normales. Fig. 4
Figura 4 Rx de Cráneo
En la Rx de tórax. Fig. 5 se aprecia infiltrado hilio basal derecho, esqueleto regional visible sin cambios osteolíticos y ligeros cambios artrósicos
Figura 5 Rx Tórax
El tratamiento consistió en rutina quirúrgica, punción para descartar lesión quística Fig. 6, determinación en orina de proteína de Bence Jones la cuál fue reportada como negativa, biopsia incisional. Fig.7.
Figura 6. Punción
Figura 7 Toma de Muestra para estudio histopatológico
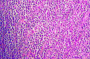
El examen histopatológico nos revela una muestra compuesta de tejido conjuntivo y tejido neoplásico que se identifica como formado por células plasmáticas. Este tejido está formado predominantemente por células que se identifican como plasmocitos, formando conglomerados extensos, notándose la presencia de mitosis unipolares y bipolares. Se observa un número considerable de células Hipercromáticas y con variación en el tamaño de los núcleos, además se observan linfocitos.

Diagnóstico Histopatológico: Mieloma central de hueso. Fig. 8
Una vez obtenido el diagnóstico definitivo se refiere el paciente para evaluación y tratamiento oncológico, el cual consistió en quimioterapia. El índice de supervivencia del paciente fue aproximadamente 6 meses después del diagnóstico.
CONCLUSIONES
El 80 % de estos tumores se presentan en región de cabeza y cuello con preferencia en nasofaringe, cavidad nasal y senos paranasales. Son infrecuentes en cavidad bucal y cuando aparecen se encuentran en mandíbula zona del ángulo, se destaca la importancia de este caso en cuanto a su localización anatómica infrecuente (cuerpo mandibular desde canino hasta tercer molar), presentación clínica de tipo solitaria y el papel que juega el odontólogo en el diagnóstico y en el equipo multidisciplinario necesario para el tratamiento de la misma.
REFERENCIAS BIBLIOGRÁFICAS
1. Marzetti E; Marzetti A; Palma O; Pezzuto RW. Plasmacytomas of the head and neck. Acta Otorhinolaryngol Ital. 1996;16(1):6-15.
2. Meis JM. Cancer. 1987; 59: p1475-1485
3. Kaviani A; Djamali-Zavareie M; Noparast M; Keyhani-Rofagha S. Recurrence of primary extramedullary plasmacytoma in breast both simulating primary breast carcinoma. World J Surg Oncol. 2004 Aug 31; 2(1):29.
4. Seoane J; Aguirre-urizar JM; Esparza-Gomez G et al. The spectrum of plasma cell neoplasia in oral pathology. Med Oral. 2003 Aug-Oct;8(4):269-80.
5. Yoon JH; Yook JI; Kim Hj et al. Solitary plasmacytoma of the mandible in a renal transplant recipient. Int J Oral Maxillofac Surg. 2003 Dec;32(6):664-6.
6. Segsimundo R, Machado I. Plasmocitoma solitario en cavidad bucal. Presentacion de un caso. VII Congreso Hispanoamericano de Anatomía Patológica y I Congreso de Preparaciones Virtuales por Internet. 31 octubre de 2.005. Disponible en: www.conganat.org/7congreso/trabajo . [ Links ]
7. Seoane J; Aguirre JM; Esparza G; Súarez M; Campos J; Pomareda M. Espectro de las neoplasias de células plasmáticas en el ambito de la patología maxilo facial. Med Oral 2003; 8: 269 - 80 [ Links ]
8. Monti G; Cereda A; Pessina E; De Michelin A; Grisetti gc; Invernizzi F. Therapy of multiple myeloma. study of hospital patients: 81 cases in 16 years' observation. minerva med. 1983feb11;74(5):155-63.
9. Coppetelli U; Avvisati G; Tribalto M; Cantonetti M; La Verde G; Petrucci T. Recent biological and therapeutic advances in multiple myeloma recenti. prog med. 1992 sep;83(9):520-7. [ Links ]



















