Introducción
La endometriosis es una entidad ginecológica caracterizada por la implantación anómala de glándulas y estroma endometrial en órganos intrapélvicos u órganos distantes. Suele afectar a pacientes mayores de 30 años en edad fértil y en la actualidad aún se desconoce la causa exacta de su aparición.1 Sin embargo, existen múltiples teorías propuestas entre las que destacan las propuestas por Sampson de menstruación retrógrada y metástasis benignas, así como disregulaciones hormonales e inmunológicas que propician el reclutamiento y proliferación de células endometriales en dependencia del ciclo estrogénico. Se considera excepcionalmente infrecuente el compromiso gastrointestinal asociado a endometriosis más allá de la implantación a nivel rectosigmoideo, esta invasión a órganos extrapélvicos se se clasifica como endometriosis profunda.1-3
Clínicamente la endometriosis se caracteriza por presentar dolor pélvico de curso crónico asociado a trastornos de fertilidad, dismenorrea y dispareunia; todo esto usualmente relacionado con la fase menstrual del ciclo reproductivo. En el ámbito gastrointestinal se consideran infrecuentes los síntomas. No obstante, abarcan una amplia gama de estos entre los que destacan los cólicos, constipación, diarrea, vómitos, dolor rectal e inclusive hematoquecia.3-5
En el tracto gastrointestinal se describen en orden de frecuencia como zonas de implantación el colon sigmoides, recto, apéndice e intestino delgado. Siendo sitios de implantación excepcionalmente infrecuentes la vesícula biliar, estomago, páncreas e hígado.6
El diagnóstico de esta entidad se basa actualmente en la combinación e instauración de signos y síntomas. Sin embargo, se considera el Gold Standard la visualización y toma de biopsia de focos de endometriosis a pesar de que esta no aporta beneficio directo en la terapéutica y brinda distintos riesgos así como retraso en el tratamiento por la confirmación diagnóstica.6 Histopatológicamente para su diagnóstico amerita cumplir la presencia de 2 de 3 criterios entre los que se describe: presencia de glándulas endometriales, presencia de estroma endometrial o macrófagos con presencia de hemosiderina.7
Existen adicionalmente algunas características imagenológicas en la endometriosis gastrointestinal, en tomografía computarizada se describen infiltraciones dishomogeneas en las paredes de estómago y asas intestinales, las cuales según su localización pueden ser observables a través del ultrasonido endoscópico como lesiones hipoecoicas en diferentes capas de las paredes del segmento afectado.8
Endoscópicamente puede presentarse de múltiples maneras, entre estas se describen lesiones de aspecto infiltrativo o con características de lesión subepitelial ya que es más frecuente la infiltración submucosal; adicionalmente están descritas lesiones en la mucosa de aspecto fibrótico con áreas de aspecto vascular.9,10
Entre el tratamiento está contemplado el uso de terapias de reemplazo hormonal a predominio progestágeno así como agonistas y antagonistas de la GNRH e inhibidores de la aromatasa.
En última instancia esta descrita la ablación de focos de endometriosis y la histerectomía total. Actualmente, la presencia de endometriosis profunda se considera criterio de histerectomía total. 11
Caso Clínico
Se trata de paciente femenino de 42 años de edad, natural y procedente de la localidad, quien refiere inicio de enfermedad actual hace 7 años caracterizada por presentar deposiciones Bristol 7 durante 3 días, asociados a dolor abdominal a predominio de epigastrio y fosas iliacas de carácter urente de manera cíclica en relación al ciclo menstrual.
Niega antecedentes familiares u oncológicos relevantes, refiere dispepsia y cambios de patrón evacuatorio hacia la diarrea de manera cíclica.
Al examen físico presentaba TA: 100/70 mmHg, abdomen blando, doloroso a la palpación hacia epigastrio y ambas fosas iliacas.
Durante su protocolo de estudio se realizaron estudios paraclínicos con único hallazgo significativo de Blastocystis spp 28-30 por campo al coproanalisis (Tabla 1). Cuenta con gastroscopia y colonoscopias del 2020 presentando gastroduodenitis erosiva severa y Colitis infecciosa (Figura 1y 2) y una nueva colonoscopia en 2021 que reporta ileitis inespecífica.
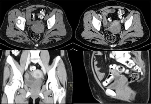
Paralelamente cuenta con tomografía computarizada por estudio de sangrado uterino anormal evidenciando lesión hipodensa en fondo de saco vesicouterino sugestiva de probable endometriosis (Figura 3).
Paciente asiste nuevamente en el año 2025 a consulta por presentar durante 2 meses deposiciones diarreicas incontables de 6 días de evolución, sin respuesta a tratamiento médico, por lo que se decide realizar nuevos estudios endoscópicos.
Se evidencia en Gastroscopia de control múltiples erosiones en la totalidad de la mucosa y lesión en cuerpo gástrico de aspecto vascular con forma de islote por lo que se decide tomar biopsia de la misma (Figura 4).
En biopsias de antro y cuerpo gástrico se evidencian áreas con cúmulos de hemosiderina dando impresión de glándulas endometriales con formas de coágulos compatibles con focos de endometriosis (Figura 5).
Discusión
De acuerdo a lo evidenciado en este caso, se debe considerar lo infrecuente de este hallazgo endoscópico y el hecho de que haya pasado desapercibido en estudios endoscópicos anteriores, el cual podría ser atribuible a la naturaleza cíclica del cuadro. Es de destacar que la presentación endoscópica de esta entidad a nivel gástrico suele ser de naturaleza subepitelial según algunos reportes de caso como el de Bal et al.12
Adicionalmente, es de acotar que realmente se beneficia en su manejo en las instancias actuales de su patología de la histerectomía total.12 No obstante, siendo una decisión con aristas complejas dada su condición de nuliparidad y otros factores.
Conclusiones
La endometriosis es una entidad compleja y particularmente frecuente en la población en edad fértil, siendo su diagnóstico un desafío cuando involucra al sistema gastrointestinal dado su mimetismo con patologías de carácter funcional. Por lo que es menester tomar esta entidad en cuenta ante la aparición de sintomatología de forma cíclica. Su diagnóstico oportuno permite tomar decisiones óptimas referentes al manejo contemplando inclusive las alternativas quirúrgicas al estar en presencia de endometriosis profunda.




















