Introducción
La neumatosis intestinal es una condición rara que se caracteriza por la presencia de gas en la subserosa y mucosa, también se conoce como neumatosis quística, neumatosis coli.1
Esta entidad fue descrita por primera vez en 1730 por DuVernoi durante la disección de un cadáver. Diagnosticada radiográficamente en 1946 por Lerner y Gazin, pero se desconocían su fisiopatología, clínica y etiología.2
Suele afectar principalmente el intestino delgado en un 42%, seguido del colon 23 %. En la mayoría d los casos suele ser asintomática, sin embargo suele manifestarse con dolor abdominal de fuerte intensidad, distensión abdominal, sangrado gastrointestinal inferior, su incidencia se encuentra alrededor de un 0,03 % en la población global, con predilección de los hombres, con una relación 4:1 respecto a las mujeres.3
Este caso resume la evolución de un paciente que desarrolló Neumatosis coli secundaria a colitis amebiana. De igual manera se discutirán las posibles causas y mecanismos subyacentes a esta presentación y además se revisará la literatura existente sobre este tema.
Caso Clínico
Presentamos el caso de un paciente de 63 años de edad, quien consulta con dolor abdominal intenso, localizado en flanco izquierdo, acompañado de hematoquecia, distensión abdominal y malestar general. Sin antecedentes de importancia.
Al exámen físico signos vitales fueron normales. Abdomen blando depresible, Ruidos hidroaéreos presentes, signos de irritación peritoneal.
En los exámenes de laboratorio no había leucocitosis ni neutrofilia, función renal y hepática normal.
Ultrasónido abdominal en el cual se observaron órganos abdominales ecográficamente normales.
Como hallazgo en la colonoscopia se observó en colon sigmoide disminución de calibre concéntrica, con ulceraciones múltiples de aspecto eritematoso y tamaño variable, alternadas con áreas mucosa sana.
Adicionalmente se evidencia presencia de múltiples protuberancias redondeadas de tamaño variable que ocupan toda la luz, de consistencia blanda al palparlas con la pinza de biopsia. Dichas lesiones se extienden hasta colon descendente donde destacan sobre áreas mucosas de aspecto normal (Figura 1). Se toman múltiples biopsias.
Rx de abdomen simple de pie se observó marco colonico redundante y engrosamiento de la pared colónica a nivel de colon descendente y colon sigmoide (Figura 2).
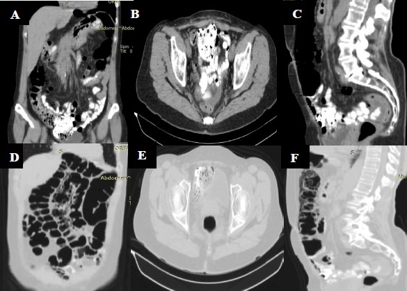
En estudio de extensión Tomografía abdominal contrastada mostró engrosamiento de la pared colónica y múltiples burbujas de aire en la submucosa, sin extravasación de medio de contraste, localizadas principalmente en las paredes del colon descendente y sigmoide (Figura 3).

Figura 3 TC con contraste: A,B,C Evidencia de neumatosis intestinal quística en colon descendente y sigmoide. En ventana pulmonar se observa burbujas de aire de paredes delgadas, sin extravasación del medio de contraste D, E y F.
Con estos hallazgos, se hizo el diagnóstico de neumatosis quística intestinal. Por lo que se se decide hospitalizar al paciente e iniciar manejo médico conservador y uso de antibioticoterapia con metronidazol. La histopatología describió infiltrado linfoplamocitario de tipo mixto, con trofozoítos de Entamoeba coli, la misma concluyó colitis amebiana.
Posterior a dicho manejo la paciente presenta evolución clínica satisfactoria, se realiza control endoscópico a las 8 semanas en donde se observó mucosa de colon de aspecto normal. No se observó recurrencia de síntomas digestivos (Figura 4).
Discusión
La neumatosis quística intestinal se define como la presencia de lesiones similares a quistes en la pared intestinal y se divide en dos categorías: neumatosis intestinal potencialmente mortal y neumatosis intestinal benigna.3 Constituye una patología infrecuente, que se describió por primera vez en el año de 1730.4
Se puede dividir en tipos primarios (15%) y secundarios (85%).3-5
Existen tres hipótesis de patogénesis: mecánica, pulmonar y bacteriana. La teoría mecánica plantea un aumento en la presión intraluminal que causa daño mecánico y ruptura de la mucosa de la pared intestinal, lo que lleva a la migración de gas desde la cavidad gastrointestinal a la pared. Otras causas que se describen son las complicaciones quirúrgicas y las endoscopias que pueden causar traumatismos cerrados, forzando la salida de gas de la cavidad gastrointestinal al espacio extraluminal.6
La teoría pulmonar detalla que el gas puede propagarse caudalmente hacia el retroperitoneo y el mesenterio desde el mediastino y en enfermedades pulmonares como el asma, la neumonía intersticial y la enfermedad pulmonar obstructiva crónica pueden causar ruptura alveolar, que puede liberar gas a la vasculatura mesentérica.6,7
Finalmente, la teoría bacteriana plantea que bacterias productoras de gas, como Escherichia coli y especies de Clostridium, pueden invadir los compartimentos intraluminales.8
La neumatosis intestinal también puede presentarse en otras localizaciones como el mesenterio, el epiplón mayor y el ligamento hepatogástrico.9-11
En relación a la clínica de estos pacientes la mayoría no presentan síntomas evidentes o solo presentan síntomas inespecíficos, como distensión abdominal, dolor abdominal, diarrea, hematoquecia, etc. Los síntomas clínicos atípicos pueden fácilmente llevar a un diagnóstico erróneo o a la omisión de un diagnóstico. Un pequeño número de pacientes presenta complicaciones como peritonitis e incluso perforación del tracto digestivo.9-11
Las herramientas diagnósticas para la identificación de esta patología son las radiografías de tórax y de abdomen de pie, donde se puede observar engrosamiento de la pared, presencia de gas venoso portal y aire libre intraabdominal.11-13
La colonoscopia contribuye a la confirmación del diagnóstico, permitiendo la visualización directa del área afectada, además facilita la toma de biopsia del tejido, aunque a menudo es un hallazgo incidental, sin siendo esta una herramienta que permite realizar diagnostic diferencial.10-14 Por otra parte, la TC presenta mayor sensibilidad y especificidad ya que proporciona imágenes detalladas del abdomen, permitiendo visualización clara de la acumulación de gas dentro de la pared intestinal.9-14
En los casos asintomáticos se benefician de tratamiento conservador mediante observación, reposo intestinal y antibióticos como (metronidazol, tinidazol, rifaximina, quinolonas), probióticos tipo Bifidobacterium, terapia endoscópica como aspiración con aguja final.12-14
En casos graves como obstrucción intestinal, sangrado, irritación peritoneal, acidosis, gas portal y neumoperitoneo, debe considerarse el manejo quirúrgico, dada la potencialidad de colitis isquémica, necrosis.15,16
Existen pocos reportes de casos que presentan similitudes con el nuestro. Uno de ellos, publicado por Ling F y cols.2 en 2019, describe a un hombre de 64 años con un cuadro clínico de tres meses de evolución caracterizado por evacuaciones con sangre y dolor abdominal. La colonoscopia reveló la presencia de múltiples proyecciones nodulares en la mucosa segmentaria del colon sigmoide, hallazgo que podría ser relevante en la consideración diagnóstica de nuestro caso. Por otro lado, Medina y cols.5 reportaron un caso en el que complicaciones como el neumoperitoneo amerita resolución quirúrgica, resaltando potencial severidad en este tipo de patologías.
Nuestra hipótesis se centra en la vulnerabilidad de la pared intestinal tras la infección por Entamoeba histolytica. La invasión del revestimiento intestinal genera inflamación y ulceración, debilitando la barrera protectora de la pared, esto facilita el paso de gas hacia la pared intestinal, contribuyendo a la aparición de la neumatosis intestinal.
Por tratarse de una patología poco frecuente y que carece de directrices específicas para el manejo de esta entidad, ya que la mayoría de los datos provienen de los pocos casos publicados, en esto radica la importancia de conocer la patología, algoritmo diagnóstico y conductas para establecer su manejo.16,17
Conclusiones
La rareza y la variabilidad clínica de la neumatosis intestinal, junto con la limitada comprensión de su fisiopatología, subrayan la importancia de la presentación de este caso.
Este reporte detalla la evolución de un paciente con neumatosis coli secundaria a colitis amebiana, una asociación poco común que justifica una exploración exhaustiva de las posibles causas y mecanismos, así como una revisión de la literatura existente para mejorar el conocimiento de esta entidad.
Los autores declararon que se diligenció por escrito el consentimiento informado del paciente para la publicación del caso y las imágenes.

















