Introducción
La maloclusión es una complicación multifactorial de origen genético o ambiental definida como la alineación errónea de piezas dentales superiores e inferiores dando como resultado una adaptación incorrecta de las estructuras óseas entre el maxilar y mandíbula, obstaculizando la función masticatoria. (Mollo et al., 2018) La maloclusión puede ser dividida en tres Clases I, II y III según Angle, en esta investigación presentaremos un caso clínico de una paciente con Clase III, esta clase se caracteriza por ser un fenotipo dental y facial diverso que se distingue por el crecimiento exagerado de la mandíbula, un insuficiente crecimiento maxilar o una mezcla de ambos (Rodríguez et al., 2017). Existirá una alteración en la correlación sagital de los maxilares debido a una retrusión maxilar Prognatismo mandibular con múltiples causas, derivado de la interacción entre factores genéticos y ambientales.
En el ámbito odontológico las maloclusiones Clase III se estiman entre los casos más difíciles de solucionar por lo que es fundamental una temprana intervención para lograr una la normal relación entre ambos maxilares (Alzate et al., 2021). En caso de que una maloclusión Clase III esqueletal se requiere de un tratamiento ortodóntico y quirúrgico para su modificación, la mayoría de pacientes con Clase III presentan discrepancias esqueléticas que necesitan cirugía ortognática mandibular, maxilar o bimaxilar con el apoyo de un tratamiento ortodóntico y así lograr normalizar el perfil facial, mejorar la oclusión y la correcta función de mandíbula y maxila. La combinación de estos dos campos odontológicos es la perfecta opción para la corrección de la Clase III esqueletal de Angle ya que dará como resultado la corrección de problemas dentales y esqueletales presentes en el paciente mejorando tantos tejidos blandos, oclusión y la mejora de la calidad de vida del mismo (Núñez et al., 2015).
Estas maloclusiones causan una desarmonía facial por lo que la mejora de la apariencia se vuelve uno de los objetivos principales del tratamiento y es evidente que la mejora de maxilares y dientes vaya acompañada de la ética facial, por lo que es importante que el paciente reciba asesoramiento y apoyo (Vázquez et al., 2016).
Angle en 1890 caracterizó a las maloclusiones dentales en tres tipos sustentándose en las relaciones oclusales de los primeros molares, donde determinó que a la Clase III se le identificará por la posición mesialisada del molar inferior en relación con el molar superior y la línea de oclusión sin especificar (Avalos-González y Paz-Cristóbal, 2014). Hogeman y Sanborn diferenciaron en cuatro grupos a la maloclusión Clase III: a) maxilar normal con mandíbula en protrusión, b) maxilar en retrusión con mandíbula norma, c) maxilar y mandíbulas normales, y d) maxilar en retrusión con mandíbula en protrusión (Avalos-González y Paz-Cristóbal, 2014). La Clase III de Angle se clasifica en dental por una retrusión dental en maxila y una protrusión dental en mandíbula; y en esquelética por una carencia de maxilar, una desproporción mandibular o la combinación de ambos (Horta y Parés y, 2020).
Es la relación estática entre los caninos superiores e inferiores cuando los dientes están en oclusión. Se dividen en Clase I: cuando la cúspide del canino superior se encuentra entre el canino inferior y el primer premolar inferior; Clase II: cuando la cúspide del canino superior ocluye de manera anterior del canino y primer premolar mandibular; y Clase III: Cuando el canino superior se encuentra posterior del canino y primer premolar inferior (Rojas y González, 2020).
El ortodoncista Lawrence F. Andrews público en septiembre de 1972 en la Revista Americana de Ortodoncia: “The six keys to normal occlusion” donde describió las 6 llaves de la oclusión a partir de los estudios de Angle como parámetros para definir los criterios de una oclusión normal. La primera, es la relación molar: la cúspide mesiovestibular del primer molar superior ocluye el surco del primer molar inferior permanente; segundo, la angulación mesio-distal de la corona: las piezas dentales deben estar inclinadas adecuadamente en su eje mesiodistal que este sería el ángulo creado entre el eje longitudinal de la corona y una línea que es perpendicular al plano oclusal partiendo de una referencia a 90º; tercero, la inclinación de la corona: las piezas dentales deben tener una inclinación vestíbulo-palatina o vestíbulo-lingual adecuada en contacto con su antagonista; cuarto, no rotaciones: las piezas debe estar libres de rotaciones, ya que las rotaciones dentales afectan la estabilidad de la oclusión, las no rotaciones ayudan al empleo adecuado del espacio en el arco dental individual limitando el contacto dental proximal correcto; quinto, puntos de contacto: todos los órganos dentales no deben tener espacios y con sus puntos de contactos; y sexto, plano de oclusión: la curva de Spee que sería la curva ascendente de piezas dentales inferiores de canino hasta molares debe ser lo más plana posible, presentando así un plano oclusal plano (Andrews, 1972).
Las maloclusiones son afectadas por diversas causas, incluyendo alteraciones en el desarrollo embrionario, que en su mayoría son determinadas por factores genéticos, mientras que otros son el resultado de influencias ambientales. Existe una gran incidencia de la herencia familiar sobre los rasgos faciales tal como, el perfil mandibular y sonrisa. Asimismo, se identifican las influencias ambientales que se manifiestan a lo largo del desarrollo y crecimiento de cara, maxilares y piezas dentales. La función masticatoria también afectará notablemente el desarrollo dentofacial de dos modos: un uso de maxilares con mayor fuerza extendida sería capaz de aumentar el tamaño de los maxilares y arcos dentofaciales; o una reducida aplicación de la mandíbula puede resultar en arcos dentofaciales poco desarrollados. Por último, tendríamos los hábitos, la gran mayoría de los niños tienen malos hábitos de succión como el pulgar o chupetes, y la persistencia de estos durante la erupción dental puede generar maloclusiones (Proffit et al., 2014).
Podemos diferenciar está maloclusión en tres: Clase III verdadera, falsa y mordida cruzada. La verdadera: se caracteriza por manifestar prognatismo mandibular, relación molar de Clase III y mordida cruzada anterior, va existir una hiperplasia mandibular o hipoplasia maxilar con una base de cráneo limitada. La falsa: corresponde a anomalías dentales. La mordida cruzada: esta se limita a la región anterior de la mordida donde los incisivos superiores estarán giro versionados hacia lingual en relación a los incisivos inferiores (Palczikowski y Collante, 2016).
Para realizar un diagnóstico de Clase III de Angle realizaremos un examen clínico extra oral, donde se observará a la curva de Arnett plana o convoca, el labio superior se muestra corto en la mayoría de casos y el mentón sobresaliente; en cuanto al examen intraoral el molar inferior estará situado mesialmente en relación con el molar superior (Palczikowski y Collante, 2016).
El crecimiento y desarrollo de maxilar y mandíbula son importantes para proporcionar un correcto equilibrio funcional y estructural craneofacial, y su afección ocasiona maloclusiones, y la Clase III es la más complicada en cuanto a diagnóstico y tratamiento ya que puede presentar combinaciones dentales y esqueletales. El prognatismo mandibular sería una de estas anomalías definido como el crecimiento excesivo de la mandíbula, continuado por retrognatismo mandibular, hipoplasia maxilar y la combinación de estos, y como ultimo también la laterognasia mandibular que causara la asimetría facial (De Loera et al., 2019).
Es fundamental el análisis cefalométrico para confirmar el diagnóstico de una maloclusión Clase III. En pacientes con Clase III esqueletal, pueden ser variables las combinaciones de crecimiento maxilar insuficiente y exceso de crecimiento mandibular. (Gualán et al., 2018) Mientras que Clase III dental seria aquella donde existe mordida forzada con desplazamiento anterior (Avalos-González y Paz-Cristóbal, 2014). La cefalometría tiene como objetivo el análisis de las relaciones horizontales y verticales del cráneo, la base craneal, el hueso maxilar, la dentición y los procesos alveolares superiores, mandíbula ósea, dentición y los procesos alveolares inferiores, medirá los valores angulares y lineales necesarios para lograr una correcta caracterización del patrón craneofacial y así lograr un plan de tratamiento y su éxito. El estudio cefalométrico será fundamental para el diagnóstico de anomalías dentales, fáciles y esqueletales (Barahona y Benavides, 2006).
Las opciones de tratamiento variaran según la edad y del tipo de maloclusión, la Clase III dental pueden ser abordadas en cualquier momento de la vida del paciente y será de carácter ortodóntico, mientras que la Clase III esqueletal debe ser abordada de manera quirúrgica mediante la extracción de piezas dentales y/o cirugía ortognática, la elección estará determinada por la dificultad de la maloclusión (Avalos-González y Paz-Cristóbal, 2014).
Entre otros procedimientos complementarios o como alternativa de la cirugía ortognática para perfeccionar el contorno de los tejidos blandos se encuentra el camuflaje, sin una intervención quirúrgica el movimiento dental no va rectificar una maloclusión esquelética pero el camuflaje ortodóntico dará como resultado la eliminación de la discrepancia intermaxilar existente en el paciente mediante la extracción de piezas dentales, sin embargo no es una opción de tratamiento viable en mal oclusiones Clase III ya que no existirá un cambio esquelético debido a que la retracción de los dientes inferiores suele realzar la prominencia de la mandíbula (Proffit et al., 2014).
El tratamiento establecido como una intervención estándar ideal para solucionar estas malformaciones de origen esquelético es el tratamiento de cirugía ortognática apoyado con ortodoncia pre y post quirúrgica, para así llegar a una armonización facial, equilibrio oclusal, mejorando la masticación, fonación y respiración (Ayuso-Arce et al., 2018). Para aumentar el plano mandibular se puede retraer o protruir a la mandíbula, rotarla o desplazarla en sentido anteroinferior sin intervenir hasta que el crecimiento excesivo haya concluido. Actualmente se emplea la osteotomía de división sagital para la mayoría de las cirugías mandibulares logrando estos resultados y teniendo gran compatibilidad con la fijación intraoral rígida y así no sería necesario inmovilizar al maxilar inferior durante el proceso de cicatrización dando como resultado menores problemas de cicatrización y una excelente estabilidad posquirúrgica (Proffit et al., 2014).
Con la combinación de ortodoncia y cirugía ortognática queremos alcanzar el movimiento dental esencial para la preparación de la intervención quirúrgica, crear un equilibrio entre dientes y hueso basal pre y post quirúrgico y facilitar el movimiento de piezas dentales después de la cirugía que será fundamental para conservar las modificaciones conseguidas con el procedimiento quirúrgico.
Durante el tratamiento ortodóntico prequirúrgico acondicionaremos al paciente colocando sus dientes en posición relativa al hueso de soporte y nivelación de arcadas dentales, este no debe prolongarse más de un año ya que puede afectar la salud mental del paciente. Luego de lograr la estabilidad y movimientos apropiados, se puede comenzar con las últimas etapas de la ortodoncia (Proffitet al., 2014).
Por la complejidad en el tratamiento de estos pacientes y la necesidad de sistematizar el conocimiento acerca de los mismos en los profesionales de la odontología se impone socializar las experiencias en el campo de la cirugía ortognática. Frente a lo expuesto este estudio pretende exponer el caso clínico de una paciente de 19 años diagnosticada con Clase III de Angle esqueletal que acudió a la consulta odontológica a recibir atención y una solución a su maloclusión.
Reporte de caso clínico
Descripción de caso clínico, paciente mestizo de sexo femenino, de 19 años de edad, llega a consulta, en la primera cita, se identificó clínicamente un prognatismo mandibular y una asimetría facial evidente en la paciente (Figura 1). Para confirmar y complementar el diagnóstico, se solicitaron estudios de imagen, consistentes en una radiografía panorámica, un análisis cefalométrico y una serie de fotografías intraorales y extraorales (Figura 1, Figura 2 y Figura 3).

Figura 1 Fotografías extraorales A: Lateral derecho B: Frontal C: Tercio medio y tercio inferior D: Lateral Izquierdo
El diagnóstico fue de Clase III esquelética, basado en un análisis cefalométrico que reveló una discrepancia anteroposterior entre el maxilar superior y la mandíbula, con un adelantamiento mandibular significativo.

Figura 2 Fotografías intraorales A: Oclusión Vista lateral derecha B: Oclusión Vista lateral izquierda C: Oclusión vista frontal
Asimismo, mediante la radiografía panorámica se confirmó la presencia de una laterognasia mandibular hacia el lado derecho, responsable de la asimetría facial marcada en la paciente. Estos hallazgos fueron determinantes para planificar el abordaje ortodóncico y quirúrgico adecuado. Se empleó un flujo digital para el diagnóstico y la planificación del tratamiento, lo cual incluyó la integración de escaneos intraorales, y análisis cefalométricos digitales. Esta tecnología permitió una evaluación tridimensional precisa de las estructuras óseas y dentales, facilitando un diagnóstico más detallado y la simulación del plan quirúrgico y ortodóntico, asegurando una mayor predictibilidad en los resultados clínicos.
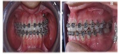
Se instaló aparatología fija prequirúrgica como parte del tratamiento ortodóntico preparatorio para la cirugía ortognática (Figura 4). Este paso es esencial para alinear y nivelar las arcadas dentarias, permitiendo que los dientes y las estructuras óseas estén en la posición óptima al momento de la intervención quirúrgica, lo que facilita una correcta oclusión postoperatoria.

Figura 4 Fotografías intraorales post colocación de tratamiento ortodónticos A: Oclusión vista frontal B: Oclusión vista lateral izquierda.
Se llevó a cabo la cirugía ortognática para la corrección del prognatismo mandibular mediante una osteotomía sagital bilateral de la rama mandibular. Durante el procedimiento, se reposicionaron los segmentos mandibulares desplazados hacia una relación adecuada con el maxilar superior, buscando una mejora tanto funcional como estética. La fijación ósea se realizó utilizando placas y tornillos de titanio, los cuales proporcionan estabilidad posoperatoria y permiten una adecuada consolidación ósea en la nueva posición mandibular (Figura 5).

Figura 5 Fotografías extraorales post quirúrgicas A: Lateral derecho B: Frontal C: Tercio medio y tercio inferior D: Lateral izquierdo
La paciente se encuentra en fase de tratamiento ortodóntico postquirúrgico, cuyo objetivo es finalizar la alineación y oclusión dental, asegurando una correcta interdigitación entre las arcadas dentarias. Este tratamiento busca estabilizar la posición de los dientes y optimizar los resultados obtenidos tras la cirugía ortognática, favoreciendo la consolidación ósea y garantizando una función masticatoria adecuada, así como la armonía facial a largo plazo.
Resultados
Posterior a un año de tratamiento ortodóntico postquirúrgico, se evidencian resultados clínicos significativos en la paciente, una correcta alineación y nivelación de las arcadas dentarias con una notable oclusión funcional. La relación molar y canina se ha estabilizado, alcanzando un equilibrio oclusal contribuyendo a la funcionalidad masticatoria. Una mejora notable de la asimetría facial disminuyendo considerablemente, reflejando una armonía facial mejorada, gracias a la corrección del prognatismo mandibular y la reposición ósea lograda con la cirugía ortognática. La paciente reporto una notable mejora en la función masticatoria y en la estética facial, lo que ha contribuido a su calidad de vida (Figura 6).
Discusión
La Clase III de Angle es la menos prevalente las maloclusiones descritas por Angle, existe una variedad dependiendo del grupo racial y étnico (Horta et al., 2020). La mayoría de estos pacientes son candidatos para realizarse una cirugía ortognática que brindara los mejores resultados funcionales y estéticos. Es importante que los pacientes con esta maloclusión comiencen con tratamiento ortodóntico pre y post quirúrgico porque la combina nación de ortodoncia y cirugía maxilofacial produce resultados positivos (Huízar-González et al., 2017).
La corrección de la maloclusión Clase III es particularmente complicada, especialmente al utilizar únicamente métodos ortodónticos. Se considera que el tratamiento es exitoso cuando se consigue la inclinación hacia adelante de los incisivos superiores, la retracción de los incisivos inferiores y una rotación de la mandíbula hacia abajo y hacia atrás. Mantener o mejorar el perfil facial, así como asegurar un buen funcionamiento, son factores clave a tener en cuenta al decidir entre un enfoque quirúrgico o uno no quirúrgico para el tratamiento (Gualán et al., 2018).
Las opciones de tratamiento serán en función de la edad biológica del paciente y del tipo de maloclusión existente. Es fundamental establecer el momento adecuado para abordar una maloclusión Clase III, ya que el enfoque terapéutico varía según la edad del paciente y la gravedad de la maloclusión. Se requiere un diagnóstico y un plan de tratamiento personalizados (Ubilla et al., 2024).
La extracción de piezas dentales como parte del tratamiento ortodóntico es una decisión propia de cada profesional, pero en cada caso será importante realizar un buen diagnóstico tomando en cuenta el tipo de maloclusión, estética, perfil de tejidos blandos, función oclusal, articular y estabilidad a largo plazo serán la base para un tratamiento adecuado y la elección de la terapia de extracción quirúrgica (Vidal et al., 2020).
El camuflaje sería una opción de tratamiento en Clase III dentales o esqueléticas leves, donde los pacientes manifestando una alineación dental proporcionada y que no presentan alteraciones en los planos vertical o transversal, el camuflaje ortodóncico mediante extracciones dentales se puede llegar a excelentes resultados, pero los resultados estéticos no serán los convenientes y las alineaciones inestables (Mora et al., 2015).
El tratamiento ortodóncico-quirúrgico para corregir anomalías dentomaxilofaciales, como la Clase III de Angle, producirá una modificación integral en las estructuras anatómicas del sistema orofacial con la corrección del prognatismo mandibular y la desviación facial, la mordida y mejoría notable de estética y función dental, siendo el tratamiento ideal para este tipo de maloclusiones (Ubilla et al., 2017).
La maloclusión Clase III resulta ser no solo un problema funcional sino también estético donde las extracciones como parte de un tratamiento camuflaje no darán un resultado satisfactorio para el paciente, pero la cirugía ortognática por otro lado si corrige el hueso y con apoyo de ortodoncia pre y posquirúrgica será una solución completa, esta intervención si es más traumática, pero con mejores resultados. Proffit y colaboradores en su libro ‘’Ortodoncia contemporánea’’, hablan sobre diferentes alternativas para las maloclusiones pero que la Clase III siempre tendrá un mejor resultado facial y funcional con apoyo de la cirugía ortognática, y este caso es la prueba de que, aunque es un proceso largo lleva a un cambio radical en la vida y aspecto del paciente (Proffitet al., 2014).
Existirá un cambio no solo estético y funcional, sino que también psicológico sobre todo en mujeres ya que cuando ven los resultados post quirúrgicos y la mejora en su perfil facial, sonrisa y función masticatoria se sienten bien consigo mismas y los resultados del tratamiento. Siempre es importante ante este tipo de casos el correcto llenado de la historia clínica, evaluación clínica completa que se lograra con estudios cefalométricos, fotográficos y modelos de estudios así llegar a un correcto diagnóstico y un satisfactorio tratamiento (González et al., 2014).
Como odontólogos, es fundamental diseñar un plan de tratamiento óptimo que garantice los mejores resultados. La combinación de cirugía ortognática y ortodoncia es el enfoque ideal para pacientes con Clase III esquelética; sin embargo, el periodo postoperatorio puede ser bastante traumático. Por lo tanto, sería ideal identificar estas maloclusiones en etapas tempranas, lo que permitiría la implementación de métodos aparatológicos menos invasivos y con menor impacto en el paciente.
Conclusiones
Este caso clínico demuestra la eficacia del enfoque integral en el manejo del prognatismo mandibular a través de un tratamiento ortodóntico y quirúrgico coordinado. Los resultados obtenidos tras un año de seguimiento evidencian una mejora significativa tanto en la oclusión dental como en la estética facial de la paciente
















