Servicios Personalizados
Revista
Articulo
Indicadores
-
Citado por SciELO -
Accesos
Links relacionados
-
Similares en
SciELO
Compartir
Acta Odontológica Venezolana
versión impresa ISSN 0001-6365
Acta odontol. venez v.37 n.3 Caracas dic. 1999
CARCINOMA DE CELULAS BASALES
PRESENTACION DE UN CASO
Dr. Alberto Seijas B.Profesor Agregado de la Cátedra de Cirugía Estomatológica y Miembro de la Comisión de Educación Continua. F.O.U.C.V.
Dr. Alexis Ghanem A.Profesor colaborador de la Cátedra de Cirugía Estomatológica y Miembro de la Comisión de Educación Continua. F.O.U.C.V.
Dr. José Adolfo Cedeño Martínez Miembro de la Comisión de Educación Continua. F.O.U.C.V.
Br. Windy Maza. Estudiante del Ultimo año. Facultad de Odontología U.C.V.
RESUMEN
Se presenta caso clínico de un paciente de sexo masculino, el cual presenta una lesión en el tercio medio de la cara, con una evolución de seis meses aproximadamente. El mismo desconocía totalmente de que se trataba, sin embargo al consultarnos y junto a un equipo multidisciplinario como lo es el Oncólogo, Patólogo, Cirujano Plástico, Cirujano Bucal y Odontólogo se logró obtener un diagnostico definitivo así como la extirpación total de la neoplasia.
PALABRAS CLAVE:Carcinoma, Epitelioma, Neoplasia.
ABSTRACT
A clinical case is reported of a pacient who presents a lesion at the third middle of the face with aproximadtly sixth months of evolution, the same one unknew totality about the Neoplasia nevertheless he had the luck to be attended by us, and be able in conjuntion with a team formed by the Oncologist, Patologist, Plastic Surgeon, Oral Surgeon and Dentist obtained a definitly diagnostic and the completly removed of the lesion.
INTRODUCCION
El Carcinoma Basocelular es un tumor maligno de las áreas pilosas de la piel. La piel es el mayor órgano del cuerpo humano, que envuelve y protege a los otros órganos que lo integran. Por su localización, accesibilidad, visibilidad y otros características de esta Neoplasia Cutánea facilitan la observación directa y la investigación de diversos procesos histológicos.
La mayoría de los carcinomas de células básales aparecen en la piel expuesta al sol en la parte superior de la cara, en individuos de tez blanca; con mayor predilección en hombres.
Prácticamente no muestra tendencia alguna a dar metástasis y por esta razón con frecuencia se le considera como carcinoma benigno, sin embargo este término no es siempre factible ya que la lesión puede causar la muerte al paciente por invasión directa.
El siguiente trabajo tiene entre sus objetivos principales la importancia de un diagnóstico precoz ante una lesión tumoral durante el examen clínico por parte del odontólogo que gracias a su preparación y conocimientos podrá atender o remitir según lo amerite el caso.
CARACTERISTICAS CLINICAS
El Carcinoma de Células Básales, también llamado Epitelioma Basocelular o Ulcera de Roedor fue descrito por Jacob en 1827. Es un tumor que casi siempre se origina de la capa basal de la epidermis y es el cáncer más frecuente de la cabeza y cuello. La región media de la cara es donde se encuentra la mayor parte de los Carcinomas de Células Básales. 1
Los Epiteliomas Basocelulares pueden aparecer secundariamente en forma incidiosa sobre una lesión preexistente en la piel o en una zona normal de ésta. Sus manifestaciones clínicas pueden ser muy variadas, al comienzo se presenta como una pápula o pequeño nódulo cereo, traslúcido, perlado que aumenta lentamente de tamaño y finalmente desarrolla una úlcera central costrosa, la cual sana y después vuelve a abrirse. Las lesiones pueden ser más o menos pigmentadas, pudiendo llegar a ser gris-pizarra o negras y semejar o confundirse con Melanoma maligno. 5,7
La lesión se observa con mayor frecuencia en pacientes ancianos con una predilección de edad entre 50 y 80 años. Se presenta mayormente en hombres, que en mujeres, probablemente porque estos están más expuestos al ambiente externo. 6
Como se menciono anteriormente, es más frecuente en la cara, pero puede presentarse en cualquier otra zona del cuerpo. Si no se trata, el tumor crece de tamaño e invade los tejidos y las estructuras adyacentes por extensión directa pero rara vez produce metástasis.
Aún cuando la mayoría de los Carcinomas de Células Básales son tumores únicos o solitarios, los que se presentan en el Síndrome Gorlin-Gotz son múltiples.
De acuerdo con su forma, color y semejanza con otras dermatosis se han descrito varios tipos clínicos como lo son:
1. Nodular.
2. Nódulo ulcerativo.
3. Pigmentado.
4. Superficial.
5. Fibrosante.
6. Eritematoso o inflamatorio.
7. Eczamatoide.
8. Tipo verrugoso.
9. Tipo úlcera maligna.
10. Tipo superficial múltiple.
Sin embargo la forma clínica más frecuente del Carcinoma de Células Básales es la forma Nódulo Ulcerativo. Debido a su naturaleza local de avance lento pero implacable de los Carcinomas del tipo Nódulo Ulcerativo se les denomina úlcera roedora. 1,5,7
Según un reporte reciente el Carcinoma de Células Básales es la causa más común de malignidad en pacientes caucásicos con una rata de incidencia de 300 por cada 100.000 casos reportados en los Estados Unidos. Esta estadística se ha incrementado sobre el 10% por año y un riesgo de 30% en el tiempo de vida. Aun cuando la mortalidad es baja, las lesiones pueden recurrir y los pacientes frecuentemente desarrollan múltiples tumores además de presentar implicaciones en el tratamiento y mejoría. 3
DIAGNOSTICO
Es muy Importante señalar que esta forma de carcinoma no surge de la mucosa bucal y por lo tanto nunca se observa en la cavidad oral, a menos que llegue a este sitio por invasión desde la superficie de la piel.
El diagnóstico de los Epiteliomas de Células Básales puede ser hecho clínicamente en la mayoría de los casos, sin embargo, en un alto porcentaje de lesiones en donde clínicamente parecieran benignas, el resultado al examen histopatológico podría dar maligno, y es por ello que el diagnóstico definitivo lo hace el patólogo con el examen microscópico y no al ojo clínico, razón por la cual la biopsia en todos los casos es de elevada importancia.
Cuando le hablamos de biopsia a un paciente, el mismo piensa que tiene una lesión incurable. La biopsia es la extirpación de un tejido de un organismo viviente con la finalidad de llegar al diagnóstico histopatológico.
Para determinar el tipo de biopsia a realizar tomamos en cuenta el tamaño y extensión de la lesión, si la lesión es pequeña y garantiza que la herida cicatriza de forma primaria se prefiere la biopsia excisional, si la lesión es muy grande se extirpa una sección pequeña que nos ayuda a obtener un diagnóstico para definir si existen tratamientos alternativos al quirúrgico y si el tratamiento debe ser conservador o radical. 1,5,6,7
OBJETIVOS DE UNA BIOPSIA
· Para confirmar un diagnóstico.
· Para aclarar un diagnóstico problemático.
· Para evaluar, considerar y excluir diagnósticos diferenciales.
· Para determinar el tipo histológico de un tumor.
· Para estudiar los bordes quirúrgicos de recesión y comprobar si la lesión fue extirpada totalmente.
· Control post operatorio de lesiones persistentes o nuevas. 6
TIPOS DE BIOPSIA
· Incisional: toma de un pequeño fragmento del borde de la lesión.
· Excisional: se extirpa toda la lesión.
· Por Punción: se extrae un pequeño fragmento de tejido con la ayuda de agujas especiales.
· Por Aspiración. 4,6
La biopsia en general debe llenar las siguientes características:
1. No debe maltratada y debe fijarse en una solución que podría ser formol al 10%.
2. Debe ser tomada de un sitio representativo.
3. Debe ser característica del tumor.
4. Nunca debe ser tomada con cauterio ya que esto puede producir la aparición de elementos que no permitan el diagnóstico definitivo. 4,6
Según investigaciones recientes realizas en Inglaterra, que el Antígeno Antihumano Epitelial (Ver-Epy) ayuda a definir el Carcinoma de Células Básales encubierto por inflamación.
El Antígeno Antihumano Epitelial (Dako-Ver-Epy) es un anticuerpo criado en ratones que reaccionan con dos glicoproteinas de 34 y 49 kd. esa glicoproteinas están presentes sobre la superficie de las células y en el citoplasma de las células del Carcinoma de Células Básales, glándulas sudorípadas y algunos folículos pilosos en la piel. 2
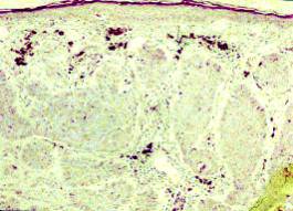
CARCTERISTICAS HISTOPATOLOGICAS
Se reconocen varios tipos histológicos de Carcinoma de Células Básales pero en general la enfermedad se caracteriza a nivel microscópico por la presencia de patrones circunscritos o difusos con una proliferación de células epiteliales basaloides que presentan un expectro de patrones de crecimiento que oscila de sólido a adenoideo quístico. En el patrón histológico circunscrito surgen nidos y cuerdas de células cuboidales de la región de las células Básales Epidérmicas, en el patrón difuso se encuentran nidos infiltrativos pequeños en un estroma fibroblástico.
La célula basal es una célula pluripotencial que puede desarrollarse en varias direcciones y formar pelo, glándulas sebáceas y glándulas sudorípadas o Epitelio escamoso y por último queratina. Otro rasgo frecuentemente observado en el estroma del Carcinoma de Células Básales es un aumento del contenido de tejido elástico. 1,5,6,7
TRATAMIENTO Y PRONOSTICO
Cada lesión debe tratarse por separado cuando se hace la elección del tratamiento.
De todos los métodos de tratamiento, los más importantes y mas comúnmente empleados son los siguientes.
1. Quirúrgicos: en general se puede obtener muy buenos resultados con la extirpación quirúrgica.
2. Electrocirugía acompañada de curetaje.
3. Radiación.
Los otros métodos (Criocirugía, Quimioterapia local, etc.) tienen indicaciones especiales y precisas.
Hoy en día la Criocirugía es una modalidad exitosa en la destrucción del Carcinoma de Células Básales y Escamosas. Hay una tendencia más agresiva de congelación de lesiones y tratamiento de tumores difícilmente seleccionada.
En cuanto al tratamiento preventivo, consiste en proteger la piel de las causas de comprobada acción carcinogénica: luz solar mayormente en sujetos predispuestos, radiaciones ionizantes, tratamientos mecánicos y térmicos en especial en cicatrices.
El pronóstico de los Epiteliomas de Células Básales es curable en el 90% al 98% de los casos debido a que la Neoplasia crece con lentitud, no tiende a formar metástasis y responde bien al tratamiento. En ocasiones la mayor parte de las dificultades que producen la muerte de pacientes se debe a negligencia del mismo en no buscar atención médica sino hasta que la lesión se encuentra bastante avanzada. 3,6
PRESENTACION DE UN CASO CLINICO
El caso se refiere a un paciente del sexo masculino, de 69 años de edad, de raza blanca el cual acude a la consulta privada por presentar prótesis defectuosas, sin embargo al examen clínico facial el mismo presenta una lesión de aproximadamente 5 milímetros de diámetro de aspecto ulcerado, costroso con un borde liso y rodeado por un borde blanquecino, lo más interesante es que el paciente refiere que ésta lesión le apareció hace 6 meses aproximadamente y que la misma formaba una costra como que le fuera a sanar pero sin embargo la misma desaparecía al tiempo y la lesión permanecía latente. El mismo comenzó a tratarse la lesión con merthiolate pensando que dicha lesión podría curarse, no obstante, esto no sucedió. Inmediatamente se consulta con el Patólogo y el Oncólogo por lo cual éste equipo multidiciplinario el cual también nosotros conformábamos, decidimos referir al paciente al médico internista para que le realizara las evaluaciones de rutina previa a la intervención quirúrgica.

Lesión Inicial.
ESTUDIOS RADIOGRAFICOS
Se realizó al paciente un exhaustivo estudio radiográfico para determinar si ésta Neoplasia comprometía al hueso, sin embargo no se observó ningún hallazgo significativo. Antes de tomar la biopsia se le realizaron los siguientes exámenes:
· Pruebas hematológicas: los valores se encontraron dentro de los valores normales
· Evaluación cardiovascular completa totalmente estable.
TRATAMIENTO
Con todos estos exámenes realizados al paciente se procedió para la toma de la muestra la cual consistió en una biopsia excisional bajo sedación intravenosa. Una vez obtenida la muestra la cual se denomina Biopsia Extemporánea o por congelación ya que se envía al laboratorio anatomopatológico de inmediato, el resultado final o diagnóstico histopatológico fue EPITELIOMA BASOCELULAR NODULAR FOCALMENTE ULCERADO, con moderada reacción desmoplástica y leve respuesta inflamatoria. Los márgenes de recesión laterales y profundos, amplios, totalmente libres de lesión por lo cual el paso siguiente consistió en el cierre quirúrgico del defecto causado por la toma de la muestra.
Toma de muestra.

Eliminación de la lesión.
DIAGNOSTICO DIFERENCIAL
· Melanoma.
· Ulcera traumática.
· Sífilis.
· Cicatrices por quemadura.

Estudio Histopatológico.

Cierre Quirúrgico.
CONCLUSIONES
Es importante señalar la necesidad del equipo multidiciplinario para atender estas lesiones; el Odontólogo debe tener la preparación y conocimiento suficiente para atender y saber canalizar todo tipo de patologías de la boca y sus anexos. Es un hecho resaltante recalcar en los pacientes, que debe someterse a un control periódico mediante un especialista que muchas veces detecta un problema que a la postre traería consecuencias lamentables.
REFERENCIAS BIBLIOGRAFICAS
1. Eversole, Roy. Patología Bucal, Edit. Ateneo, P.187-188,1975. [ Links ]
2.Krist, D y Colaboradores, Department of Dermatology. University Hospital Nottingham. United Kingdom. Antihumanan Epitelial Antigen (Ver-Epy) Help define Basal Cell Carcinoma Nasked by imflamation. Drematology Surgery: 23(11):1067-70 1997 Nov. [ Links ]
3.Kruflik, Eg, Department of Medicine and Dentistry. New Yersey, Cryosurgery for Cutaneous Malignancy. Dermatology Surgery; 23(11):1081 7,1997 Nov. [ Links ]
4.Lear, Jt; Smith, Ag. Department of Dermatology Basal Cell Carcinoma, Postgraduate, Medicine Journal: 73(863): 538-42,1997 Sep. [ Links ]
5.Regezi sciabba, Patología Bucal. Segunda edición. México, Ed. Mac. Granehill Interamericana, P. 601-604, 1995. [ Links ]
6.Scannone, Francisco y colaboradores. Cáncer al Día. Segunda edición. Caracas. Ed. Sociedad de Amigos del Instituto Oncológico Luis Razetti, P. 589-627,1982. [ Links ]
7.Shafer, W.G, Levy, B.m, Tratado de Patología Bucal, México, Ed. Interamericana, P.110-113,1988. [ Links ]












