Services on Demand
Journal
Article
Indicators
-
Cited by SciELO -
Access statistics
Related links
-
Similars in
SciELO
Share
Acta Odontológica Venezolana
Print version ISSN 0001-6365
Acta odontol. venez vol.40 no.1 Caracas Jan. 2002
Carcinoma Mucoepidermoide, Revisión de la Literatura. Reporte de Un Caso
Prof. J.E.TROCONIS GANIMEZ Cátedra de Anatomía Patológica Facultad de Odontología, Universidad Central de Venezuela
Resumen:
Se reporta un caso de Carcinoma Mucoepidermoide en cara interna de carrillo, en una mujer blanca de 32 años de edad y la revisión de la literatura, donde se estudian la nomenclatura, los aspectos clínicos, histogenéticos, histopatológicos, tratamientos y pronóstico de la lesión.
Abstract:
It´s reported a clinical case of Mucoepidermoid Carcinoma at cheek in white woman, thirty two years old and review of the literature, nominate, clinical features, histogenics, histopatologics, treatments and prognosis of the lesion are studied in detail.
Recibido para arbitraje: 09/02/2001 Aceptado para publñicación: 18/06/2001
DEFINICIÓN:
El carcinoma Mucoepidermoide, se define como tumor maligno epitelial de glándulas salivales que se cree se reproduce por proliferación de células excretoras (1). Por esta razón se piensa que se derivan de los segmentos interlobulares del sistema de conductos salivales (2) y poseen una estructura bifásica en la que se mezclan células epidermoides y productoras de mucosa .
Fue descrito por primera vez por Stewart, Foote y Becker en 1945 (3) quienes reportaron 45 casos de 700 tumores originados en las glándulas salivales mayores y menores, inicialmente Masson y Berger (4), denominaron esta lesión como: "epitelioma de metaplasia doble", finalmente dentro de la taxonomía aplicada a esta lesión, De y Tribedi (5) le llamaron "carcinoma epidermoide mezclado mucosecretor", y como lo refiere su nombre es un tumor compuesto por células mucosas (secretoras de moco) y células epidermoides en grado de variabilidad.
EPIDEMIOLOGÍA:
Es el tumor más común de los tumores malignos de glándulas salivales, representa el 10 % de los tumores de todas las glándulas salivales, el 15 al 21 % de los tumores de las glándulas salivales menores (6) Este tumor se presenta con más frecuencia en glándula parótida, entre el 60 y 90 % de los casos (7) (8) (9) comprenden entre el 6 y 9 % de todos los tumores malignos de glándulas salivales, aunque también se pueden encontrar en glándulas salivales accesorias intrabucales. Entre el 5 y 10 % de todos los tumores de glándulas salivales mayores son Carcinomas Mucoepidermoides, 9 a 10 de ellos ocurren en la glándula parótida (10). Muchos Carcinomas Mucoepidermoides de glándulas salivales menores se forman en el paladar y de manera menos común en relación con otras glándulas salivales tales como: las de la lengua, piso de boca, encías, labios y carrillos (10).
Stewart, Foot y Col. (3) Lo clasificaron en dos variedades: benigno y maligno, basado en la naturaleza clínica y sus características histopatológicas. Esta clasificación no fue justificada por muchos autores ya que la mayoría de ellos consideró al tumor como neoplasia maligna con diferentes grados de malignidad (1).
Bhaskar y Bernier (6) Reportaron 144 casos de Carcinoma mucoepidermoide de glándulas salivales mayores y menores, en ese estudio señalan la posibilidad de una forma benigna de la enfermedad, pero el tránsito de una forma a otra puede ser tan sutil en los cambios, que sería muy difícil separar formas benignas y malignas del tumor.
CARACTERÍSTICAS CLÍNICAS:
Se presenta a cualquier edad, desde niños hasta en adultos mayores (10) en niños se ha reportado a la edad de un año (11).
El carcinoma Mucoepidermoide es más frecuente en individuos entre la 3ra. y 6ta. década de la vida, aunque se ha reportado como el tumor maligno de glándulas salivales más común en niños (2) (8),. El 34 % de todos los tumores malignos de parótida (8), 20 % de glándula submaxilar, 29 % de las glándulas salivales intrabucales y además se puede observar en su forma intraósea (8).
En los casos reportados por (6) el 34 % de los casos se encontraron entre los 21 y 30 años de edad de los pacientes afectados. Afirmando con esto que la diferencia en sexo es realmente insignificante, a pesar de que algunos autores citan ligera predilección por el sexo femenino, también, (10) (12) (13) (14) también Sandner (9) refiere en su trabajo que los Carcinomas Mucoepidermoides de glándulas salivales menores son más frecuentes en mujeres (15).
Los tumores intrabucales son más frecuentes en paladar (9) (15), algunos autores son más específicos en la localización en paladar: unión del paladar duro y blando, aproximadamente en una línea imaginaria que divide el rafe medio con el borde gingival, hacia el tercer molar (16), mucosa vestibular, lengua y zona retromolar (2) (8) (17). Debido a la tendencia a formar zonas quísticas, estas lesiones se podrían confundir con un fenómeno de retención de moco (mucocele) por su aspecto clínico, sobre todo en la región retromolar (10) (17).
Ocasionalmente los Carcinomas Mucoepidermoides aparecen como crecimientos intraóseos en los maxilares (18) (19) (21) (22) estos autores reportaron que también este tipo de tumor es más frecuente en mujeres que en hombres y afecta al maxilar inferior dos veces más que al superior. Se ha reportado como uno de los agentes etiológicos de los Carcinomas Mucoepidermoides, al quiste dentígero, como lesión primaria en su formación y desarrollo (1) (7) (10) (16) (23).
La parálisis del nervio facial es frecuente en los tumores de parótida, el carcinoma mucoepidermoide es un tumor sin cápsula, razón por lo cual tiende a infiltrar los tejidos vecinos y un número elevado de casos tienden a dar metástasis a los ganglios linfáticos regionales. Algunos autores (9) reportan parálisis facial temprana en 15 % de los casos. Además se han reportado metástasis a distancia en huesos, pulmones y tejido subcutáneo. Una característica clínica importante es el crecimiento lento y asintomático de la lesión cuando se trata de un Carcinoma Mucoepidermoide de bajo grado de malignidad, no así el del alto grado de malignidad que crece rápidamente y puede producir dolor espontáneo o a la palpación como síntomas tempranos, algunos de los cuales se pueden ulcerar con facilidad (8) (10).
HISTOPATOLOGÍA
El carcinoma Mucoepidermoide es un tumor de características variables compuestos por células mucosas, epidermoides e intermedias.
Los Carcinomas Mucoepidermoides pueden ser categorizados en tres grados histopatológicos (14) clasificación ésta basada en:
.- La cantidad de quistes formados
.- El grado de atipia celular
.- El número relativo de células mucosas, epidermoides e intermedias
En los tumores de bajo grado de malignidad están presentes los tres tipos de células, aunque las células predominantes sean las mucosas. Además presentan la formación prominente de espacios quísticos, atipia celular mínima y una alta proporción de células mucosas.
Los tumores de alto grado de malignidad consisten en islas sólidas de células escamosas e intermedias, que pueden mostrar un considerable pleomorfismo y actividad mitótica, las células productoras de moco son escasas y algunas veces se tiene dificultad para distinguirlas de un Carcinoma Epidermoide. En estos casos se recomienda la utilización de coloraciones especiales que pongan de manifiesto la mucina producida por las glándulas salivales, tales como el Mucicarmín o la coloración de PAS (9) (10) (14) (16)
Los tumores de grado intermedio muestran características que caen en las neoplasias de bajo grado y las de alto grado de malignidad. La formación de espacios quísticos está presente pero son menos prominentes que en los tumores de bajo grado, hay predominio de células intermedias, se puede o no observar la atipia celular.
En el tumor se pueden observar capas o nidos de células epiteliales y/o células mucosas dispuestas en estructuras glandulares y a veces formando microquistes, estos últimos pueden romperse y liberar el contenido mucoso que se puede acumular en el tejido conjuntivo y producir en el mismo irritación con la consecuente reacción inflamatoria.
TRATAMIENTO Y PRONÓSTICO:
El tratamiento del Carcinoma Mucoepidermoide depende de la localización, grado histopatológico y el estado clínico del tumor (14) (20).
Los tumores de parótida que se diagnostican de manera temprana se tratan con paroditectomía subtotal con conservación del nervio facial.
Los tumores avanzados pueden requerir remoción total de la glándula parótida con sacrificio del nervio facial, cuando se trata de la glándula submaxilar se hace remoción de la glándula. En los Carcinomas Mucoepidermoides de las glándulas salivales accesorias, la curación del paciente se logra con la excisión quirúrgica del tumor y dejando los márgenes libres de tumor.
El pronóstico es mejor en niños que en adultos. Los tumores de la glándula submaxilar están asociados a pronóstico muy pobre con respecto a los de glándula parótida. Para los tumores que se originan en la base de la lengua la tasa de curación es sumamente baja.
Aunque el tratamiento fundamental del Carcinoma Mucoepidermoide es quirúrgico (8), algunos casos han respondido de buena manera a la radioterapia, a pesar de que ésta última se ha reservado para los tumores de alto grado de malignidad, cuya metástasis se produce en forma temprana. El 60 % de los Carcinomas Mucoepidermoides manifiestan metástasis locales o a distancia (8).Otros autores recomiendan de primera elección la cirugía seguida de radioterapia (9). En algunos casos hay que considerar la posibilidad de eliminar todos los ganglios linfáticos cercanos a la lesión para lograr la cura total del paciente (15). Cuando invade el plano óseo se recomienda resección ósea eliminando el hueso palatino y la apófisis pterigoides hasta la base del cráneo. La sobrevida de 5 años el 95 % se asocia con los tumores de bajo grado de malignidad, para los de alto grado la tasa es de 40 %, la proporción más alta de cura de los Carcinomas Mucoepidermoides es de 25 % o menos (8), otros autores citan 10 % de recidiva en los pacientes con tumores bien diferenciados (9).
REPORTE DE UN CASO
DATOS DEL PACIENTE
Paciente femenino de 32 años de edad, de raza blanca, casada, tiene 2 hijos menores, de profesión abogada, acude a la consulta por presentar una lesión en la cara interna del carrillo, lado derecho
EXAMEN CLÍNICO:
Al examen clínico se observa una lesión de forma redondeada, consistencia firme, dolorosa a la palpación, de aproximadamente 3 centímetros de diámetro, móvil, no adherida a los planos profundos, recubierta por mucosa de aspecto normal. Ganglios linfáticos no palpables y temperatura local elevada. Al interrogatorio del paciente nos revela que la lesión tiene aproximadamente 10 años de evolución, pero que en los últimos 2 años ha ido creciendo lentamente y que ahora tiene dolor a la palpación y algunas veces de forma espontánea. (fig1)
También se detecta dolor a la palpación del fondo de vestíbulo de la zona correspondiente al primer molar superior del mismo lado, refiriendo que se había hecho un tratamiento endodontico recientemente, pero que todavía sentía molestias en el diente.Se observa la radiografía periapical de la zona post-tratamiento endodóntico y se puede observar que dicho tratamiento está terminado de manera defectuosa. La prominencia de la lesión acasionaba el traumatismo por mordedura durante la masticación del paciente.
Se remite al endodoncista para que descarte la posibilidad de infección periapical con diseminación de la infección hacia la vía de drenaje natural del carrillo. El endodoncista devuelve de manera inmediata al paciente diciendo que el tratamiento en cuestión está defectuoso pero que no tiene relación directa con la lesión del carrillo.(fig2)
Radiografía periapical
EXÁMENES DE LABORATORIO
Se indicaron los exámenes complementarios de laboratorio a la paciente donde se indicaba determinación de la fórmula leucocitaria, contaje rojo, Hématocrito, Hemoglobina, PT y PTT, contaje plaquetario, Glicemia, determinación de VDRL y VIH, estos últimos no resultaron reactivos y el resto se encontraron dentro de los valores de un individuo adulto sano.(tabla)
| Glóbulos Blancos: | 4, 0 millar |
| Glóbulos Rojos: | 4,44 millones |
| Hemoglobina: | 13,7 gr/dl |
| Hematocrito: | 42,5 % |
| Volumen Corpuscular Medio: | 30,9 pmol/ul |
| Concentración HB Corpuscular Media: | 32,3 gr/dl |
| Plaquetas: | 206.000 mm3 |
| Volumen Plaquetario: | 7,9 fl |
| Fórmula Leucocitaria: | |
| Neutrófilos: | 38 % |
| Linfocitos: | 50 % |
| Monocitos: | 6 % |
| Eosinófilos: | 6 % |
| Tiempo de Protrombina: PT | |
| Control | 11,9 segundos |
| Paciente: | 12,8 segundos |
| Razón | 1,07 |
| Tiempo de Tromboplastina: PTT | |
| Control | 25,0 Segundos |
| Paciente | 31,2 Segundos |
| Glucosa Sérica: | 82 mg/dl |
DIAGNÓSTICOS DIFERENCIALES:
Por las características clínicas del paciente se hizo el diagnóstico clínico de Tumor Mixto maligno Vs Carcinoma Mucoepidermoide Se procede a la toma de biopsia, 1que determinada por las características clínicas de la lesión, se decidió hacer una biopsia incisional, tomando 1,5 cm. del total de la lesión, a la incisión se presentó un material de color amarillo espeso de aspecto cremoso, inodoro.(fig3)
HISTOPATOLOGÍA:
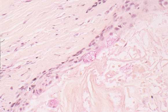
El estudio histopatológico nos reveló una muestra compuesta por algunos acinos mucosos de glándulas salivales accesorias del carrillo y células epidermoides. Las células mucosas aunque no eran muy abundantes se colorearon de manera positiva con la coloración para mucina. Las células epidermoides tenían formas variadas mostrando puentes intercelulares e intentando formar numerosos y múltiples espacios quísticos.(fig4,5)
Histopatología Coloración H y E
Histopatología Coloración especial Mucicarmin
DISCUSIÓN:
El caso que aquí presentamos de Carcinoma Mucoepidermoide tiene una localización poco frecuente según la descripción de la literatura revisada, y aunque la edad y sexo del paciente coinciden con las características clínicas más evidentes del tumor, el diagnóstico clínico estuvo orientado hacia Tumor Mixto Maligno por el tiempo de evolución clínica, además histopatológicamente el patrón que se tomó en cuenta para su diagnóstico correspondió a los nuevos criterios de clasificación de malignidad histopatológica propuestos por Neville (14), para concluir: la infiltración del tumor desde el punto de vista quirúrgico coincidió con los criterios histopatológicos, poniendo en evidencia también la producción de moco en las coloraciones especiales utilizadas como lo fue el Mucicarmín.
BIBLIOGRAFÍA
1. Shafer, W.G., Hine, M.K., Levy, B.M. A Textbook of Oral Pathology W.B.Saunders Company Philadelphia Pp 228- 31; 1974 [ Links ]
2. Laskaris, G Color atlas of oral diseases in children and adolescents Thieme New York Pp 294-96; 2000 [ Links ]
3. Stewart, F.W., Foote, F.W. y Col. Mucoepidermoid tumors of salivary glands Ann. Sur. 122:820; 1945 [ Links ]
4. Masson and Berger Ephitéliomas á Double Metaplasié de la Parotidé Bull. Ass. Franç. Cancer 13, Pp 366; 1924 [ Links ]
5. De, M.N. and Tribedi, B.P A mixed epidermoid and mucous-secreting carcinoma of the parotid gland J. Path. Bact. 49, Pp 432;. 1939 [ Links ]
6. Bhaskar, S.N. and Bernier, J.L. Tumors of major and minor salivary glands. Cancer 15: 801; 1962 [ Links ]
7.Shafer, W.G. Levy, B.M. Tratado de Patología Bucal. Interamericana, Mexico Pp 252-55; 1986 [ Links ]
8. Regezi, J.A. Sciubba, J.J. Patología Bucal. Edit. Interamericana. Mc.Graw Hill, México, Pp 272-80; 1995 [ Links ]
9.Sandner, O. Las Neoplasias Malignas de la Boca y Región Maxilofacial. Fundaciones-Ediciones y Publicaciones del Vicerrectorado Académico. FEPUVA-UCV Caracas, Pp 217-19; 2000 [ Links ]
10.Lucas, R.B. Pathology of Tumours of the Oral Tissues. Churchill Livingstone NY Pp 322- 27; 1984 [ Links ]
11.Hendrick, J.W. Mucoepidermoid cancer in the parotid gland in a one year old child. Amer. J. Asurg. 108, Pp 907; 1964 [ Links ]
12.Eversole, L.R., Rovin, S. Y Col. Mucoepidermoid carcinoma of minor salivary glands: a report of 17 cases with follow- up J. Oral surg. 30, Pp 107; 1972 [ Links ]
13.Melrose, R.J., Abrams, A.M.y Col. Mucoepidermoid tumors of intraoral minor salivary glands: a clinicopathologic study of 54 cases. J. Oral Path. 2, Pp 314;.. 1973 [ Links ]
14.Nevillle, B.W., Damm, D. Y Col. Oral & Maxillofacial Pathology. W.B. Saunders Co. Philadelphia Pp 349-51; 1995 [ Links ]
15.Lima de Castro, A. Estomatología. Livraria Editora Santos, Sao Paulo, Pp 157-8; 1992 [ Links ]
16.Tinoco, P.J. Clase magistral, Tumores de Glándulas Salivales. Facultad de Odontología, U.C.V. 1975 [ Links ]
17.Wood, N. And Goaz, P.W. Differential Diagnosis of Oral and Maxillofacial Lesions. Mosby, St. Louis, Pp 202; 1997 [ Links ]
18.Smith, R.L., Dahlin, D.C.y Col. Mucoepidermoid Carcinoma of the JawsBones. J. Oral Surg. 26:387; 1968 [ Links ]
19.Browand, B.C. and Waldron, C.A. Central mucoepidermoid tumors of jaws report of 9 cases and review of the literature. Oral Surg. 40, Pp 631; 1975 [ Links ]
20.Batsakis, J. Memorias I Simposium Internacional de Patología Bucal. Sociedad Venezolana de Patología Bucal, Caracas, Pp 45-6; . 1993 [ Links ]
21.Silverglade, L.B., Alvares, O.F. y Col. Central Mucoepidermoid Tumors of Jaws. Cancer 22 Pp 650; 1968 [ Links ]
22. Frederickson, C. And Cherrick, H. M. Central mucoepidermoid carcinoma of the jaws. J. Oral med. 33, Pp 801; 1978 [ Links ]
23.Marano, P.D. and Hartman, K.S. Central mucoepidermoid carcinoma arising in a maxilllary odontogenic cyst. J. Oral Surg. 32, Pp 915; 1974 [ Links ]















