Services on Demand
Journal
Article
Indicators
-
Cited by SciELO -
Access statistics
Related links
-
Similars in
SciELO
Share
Acta Odontológica Venezolana
Print version ISSN 0001-6365
Acta odontol. venez vol.41 no.2 Caracas May 2003
ERUPCIÓN FORZADA DE DIENTES SIGUIENDO LA TÉCNICA SECCIONAL DE DOBLE ARCO CON FINES PROTÉSICOS. CASO CLÍNICO.
DErcole Ammannati, Vania Liliana,* Rodríguez Fajardo, Francisco José**
*Odontólogo UCV, Ortodoncista UCV. Miembro de la Sociedad Venezolana de Ortodoncia. Miembro de la WFO, AAO, AIO.
**Odontólogo UCV. Profesor Contratado, Cátedra de Coronas y Puentes Fijos. Facultad de Odontología, UCV.
RESUMEN
La pérdida de la corona clínica cuya extensión se ubica subgingival o infraósea, representa para el odontólogo un problema al momento de restaurar un diente, por lo cual se pueden utilizar técnicas variadas para facilitar el abordaje y la restauración definitiva.
Entre éstas se encuentra la erupción forzada, lograda mediante la ayuda de procedimientos ortodóncicos, que van desde pequeñas secciones de arco hasta el manejo integral de un tratamiento ortodóntico completo.
El presente artículo muestra el manejo ortodóncico a través de la técnica seccional de doble arco, de un primer premolar superior el cual perdió la corona clínica, para luego ser restaurado de manera definitiva con un muñón artificial colado y una corona de porcelana fundida sobre metal.
ABSTRACT
Extraction of teeth with lost of clinical crown in the subgingival area cause by fracture cavities or big restorations are not the first choice of treatment anymore.
The extrusion of the remanent clinical crown to create the possibility of reconstruction has become the best alternative of treatment. The orthodontists play a very important role in this matter because the mechanism of extrusion of the teeth is done through light continuous forces in a short period of time, guiding the direction and right position of a tooth in the arch that will facilitate its reconstruction and restoration by prosthodontists.In this article a clinical presentation of a case with light orthodontic forces to produce new clinical supragingival crown is shown with sectional double arch technique simplifying the sequence of treatment.
Recibido para arbitraje: 29/04/2002
Aceptado para publicación: 04/07/2002
Existen diversas causas por las cuales un diente aislado en la arcada pudiese perder la corona clínica más allá del margen gingival e, incluso, por debajo de la cresta ósea, a tal punto de no poder ser restaurado por métodos convencionales sin comprometer la retención, durabilidad y estética del paciente; más aún, si esto ocurre en el sector anterior. Entre estas causas tenemos caries, traumas por accidentes, restauraciones amplias, dientes no vitales, uso de pines durante la restauración o por iatrogenia.
La técnica de erupción forzada por medio de la ortodoncia es, en muchos casos, el método alternativo para el manejo de segmentos radiculares de dientes aislados no restaurables, pudiendo exponerse los bordes sanos de este segmento por medio de un movimiento de extrusión, para luego lograr los resultados finales de la restauración en forma, función y sin alterar la armonía de los dientes vecinos
Conceptos de erupción forzada.
La erupción forzada es una técnica ortodóncica mediante la cual un diente es extruido, valiéndose de aparatos y aditamentos ortodóncicos, produciéndose un movimiento que trata de llevar el diente fuera de su alvéolo1; siendo un excelente medio para mantener dientes que, de otro modo, estarían indicados para extracción2. Utiliza una fuerza de extrusión o tracción en dirección oclusal, es decir, en sentido vertical, la cual debe superar la fuerza o tensión del ligamento.3
Existen distintas técnicas ortodóncicas para lograr la erupción forzada, las cuales variarán dependiendo de: si existe o no la corona clínica del diente involucrado, si el paciente es candidato a ortodoncia completa o, si por el contrario, solo requiere el tratamiento de un área específica de la boca, si el ortodoncista decide el uso de aparatos fijos o removibles, entre otras.
Dentro del uso de aparatos fijos para la erupción forzada, Proffit2 menciona que lo ideal sería utilizar un arco continuo, que fuese rígido en los dientes de anclaje y flexible a nivel del diente a extruir, ya que al utilizar uno continuo flexible trae ciertos inconvenientes; aunque se produzca la extrusión del diente, se puede producir también la inclinación de los dientes vecinos, por lo que se reduce el espacio disponible del diente a extruir. (FIG.1)
Fig. 1. Efectos producidos por un arco continuo flexible durante la erupción forzada de un diente.

Técnica de doble arco.
Bajo este criterio, se describe una técnica seccional que se apoya en el uso de dobles arcos o arcos superpuestos, descrita por Ricketts en la técnica bioprogresiva.4 (FIG.2)
Fig. 2. Vista lateral del uso del doblearco en la ranura del bracket.

Se utilizan brackets con slot .018x .030, cementados a los dientes de anclaje (dos a cada lado del diente a extruir)2 todos a la misma altura y alineados, lo más oclusal posible para permitir una distancia de extrusión. Luego, se coloca un arco base que debe ser pesado y que pasará a través de los brackets de los dientes de anclaje; un arco de acero .016x .016, el cual da rigidez a la unidad. Por encima de éste, se coloca un arco flexible; un arco de níquel-titanio .014 o .016, que pasará por el bracket o aditamento cementado hacia gingival y por vestibular en la corona clínica del diente a extruir. Este arco tiene la capacidad de deformarse hasta alcanzar el aditamento y tiene memoria para volver a tomar su forma original, produciendo la extrusión de manera continua y fisiológica. Ambos arcos se ligan en conjunto y cada uno cumple con una función específica. (FIG.3)
Fig. 3. Esquema del uso del doble arco en la erupción forzada de un canino superior.

A medida que se vaya logrando el movimiento, tal vez se haga necesario el desgaste hacia oclusal del diente extruido para evitar contactos perjudiciales o para continuar con la extrusión; así como también la realización de un doblez en cajuela en el arco base para que el bracket no choque y se bloquee el movimiento.
El tiempo de la extrusión dependerá de varios factores, pero generalmente se logra entre 3-6 semanas.2
Existen ciertas indicaciones para esta técnica
Debe existir una porción de la cara vestibular de la corona clínica del diente a extruir; de lo contrario, se deberá confeccionar una corona provisional sobre la cual se cementará el bracket o aditamento.
Como técnica seccional, puede permitir la falta de alineación de los dientes de anclaje en sentido ocluso-gingival y mesio-distal, pero no en sentido buco-lingual, a menos que esta situación se presente en los dientes extremos de la unidad de anclaje y no en los dientes vecinos a diente a extruir, ya que no existe la posibilidad de hacer dobleces compensatorios al arco flexible.
La colocación de los brackets dependerá si se desea o no colocar ortodoncia completa, ya que si la extrusión forzada es uno de los objetivos a cumplir durante el tratamiento, la colocación del arco base puede realizare una vez lograda la nivelación dentaria de la arcada. En este caso, los brackets se cementarán con los criterios de altura y angulación convencionales.
Además de las indicaciones generales para la planificación del tratamiento como espacio suficiente para la extrusión, extensión vertical del defecto, posición de la raíz o raíces, así como su forma y longitud, entra otras.2
Las ventajas de esta técnica se resumen a continuación:
5. Se logra sólo el movimiento deseado, porque el arco base da rigidez y el segundo arco proporciona flexibilidad, por lo que se extruye el diente involucrado sin alterar los dientes vecinos.
6. Puede colocarse de manera inmediata, en el caso de un paciente que no desee la ortodoncia completa o no la necesite.
7. Al utilizar un arco flexible de níquel-titanio, no se requieren numerosos controles al paciente. Las citas pueden distanciarse y, generalmente, son para chequeos de oclusión, para recementado del aditamento en el diente involucrado o para realizar el doblez de paso para el bracket en el arco base, si se necesitara más extrusión.
8. No se requiere mucha colaboración del paciente, ya que el arco flexible es el que produce el movimiento extrusivo.
9. También se puede recurrir al principio de esta técnica y adaptar su uso a determinada fase del tratamiento ortodóncico completo.
10. En los casos en maxilar inferior, la colocación de brackets estará condicionada por la oclusión del paciente.
CASO CLINICO
Paciente masculino, de 61 años de edad, presenta pérdida de la corona clínica del 24 por caries de recidiva, que se extiende subgingivalmente hacia mesial, a más de 2mm por debajo de la cresta ósea (Fig.4 y 5), imposibilitando tanto por razones estéticas como técnicas, la realización de una cirugía periodontal para ganar corona clínica y, de esta manera, realizar la preparación de la línea de terminación de la futura prótesis fija.
Fig.4 Foto inicial. Vista lateral
Fig.5 Vista oclusal
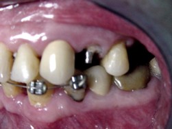
Se procedió a la colocación de brackets estándar 0.018 x 0.030 de slot, en 22, 23, 24 y 25. Los brackets en 22,23 y 25 se cementaron a la misma altura sin tomar en cuenta la posición o rotaciones de los dientes y el bracket del 24 se cementó lo más gingival posible para tener rango de movimiento en sentido vertical.
Se colocaron 2 arcos seccionales: el arco base 0.016x 0.016 de acero que unió los brackets del 22,23 y 25 (anclaje); y un arco 0.014 de níquel-titanio, el cual se ligó sobre el otro arco y se llevó hasta el bracket del 24. Este arco es el que produjo el movimiento de extrusión del diente (Fig.6 y 7).
Fig.6 Colocación de doble arco
Fig.7 Vista oclusal
A medida que se produjo el movimiento extrusivo, se procedió al recementado del bracket del 24 (Fig.8) y ya en etapas finales del tratamiento, se confeccionó un doblez en cajuela en el arco base (Fig.9).
Fig.8 Recementado de bracket
Fig.9 Doblez en cajuela
Una vez lograda la erupción forzada del 24, se retiraron ambos arcos y se colocó otro de estabilización 0,018de acero, pasando por todos los brackets, el cual se mantuvo hasta el final del tratamiento (Fig.10 y 11).
Fig.10 Arco de estabilización. Vista lateral
Fig.11 Vista oclusal
Una vez lograda la erupción forzada y pasado el período de estabilización se retiró la ortodoncia fija (Fig.12 y 13). Se procedió a la preparación de la línea de terminación, a la confección del muñón artificial (plata-paladio) (Fig.14 y 15) y de la prótesis fija de porcelana fundida sobre metal (Fig.16 y 17).
Fig.12 Final de la erucción forzada.
Fig.13 Final de la erucción forzada. Vista lateral
Fig.14 Moñón artificial. Vista lateral
Fig.15 Vista oclusal
Fig.16 Corona definitive. Vista lateral
Fig.17 Vista oclusal
El tiempo del tratamiento ortodóncico fue de 3 meses aproximadamente (fase de tratamiento activo y de estabilización), y los resultados obtenidos fueron monitoreados radiográficamente (Fig.18 y 19).
Fig.18 Radiografia inicial
Fig.19 Radiografia final
BIBLIOGRAFÍA
1. Van Der Linden F. Adult orthodontic treatment, in: Problem and procedures in dentofacial orthopedics. Quitessence Publishing Co.London 1990;337-49. [ Links ]
2. Proffit W. Ortodoncia, teoría y práctica. 2da ed, Mosby/Doyma Libros Madrid 1994;569-72. [ Links ]
3. Mantzikos T, Shamus I. Forced Eruption and implant site development: an osteophysiologic response. Am J Orthod Dentofac Orthop 1999;115:583-91. [ Links ]
4. Ricketts R. Técnica bioprogresiva de Ricketts. Editorial Médica Panamericana Buenos Aires 1983. p.167. [ Links ]




























