Services on Demand
Journal
Article
Indicators
-
Cited by SciELO -
Access statistics
Related links
-
Similars in
SciELO
Share
Acta Odontológica Venezolana
Print version ISSN 0001-6365
Acta odontol. venez vol.41 no.3 Caracas Aug. 2003
PAGINA DE LA CÁTEDRA
Prof. Aura yolanda Osorio
FIBROMA ODONTOGÉNICO PERIFERICO
El Fibroma Odontógenico Periférico es la forma más frecuente del Fibroma Odontógeno y parece proceder del epitelio gingival superficial o de residuos de la lámina dental que permanecen en una localización extraósea. El componente epitelial se asemeja a la lámina dental formada durante las etapas tempranas de la odontogénesis.1
Se presenta a cualquier edad, aunque tiene predilección por niños y adultos jóvenes; se observa más en mujeres que en hombres.2,3,4
Kenny et al 19895; Villiers et al 19916 y Siar 20007, describen una ligera tendencia de presentarse en hombres que en mujeres, en una relación 1:1,3. Se presentan con una frecuencia entre los 20 y 30 años de edad. No tiene predilección por raza y con una preferencia de manifestarse en el maxilar inferior (52%)7.
Shekar et al 19978 describió, la aparición de esta lesión en una niña de 10 años ubicada en el margen gingival y encía interdental, en el maxilar inferior por vestibular. Reportes similares lo realizaron Weber et al, en 19929 pero en niños de ambos sexos.
Regezi et al 2000,3 refiere, que por definición, esta masa hiperplásica reactiva surge en la encía adherida y puede derivar del tejido conectivo de la submucosa o del ligamento periodontal. Algunas lesiones corresponden al Granuloma Piogénico maduro, en el que el tejido de granulación se reemplaza por colágeno.
Ciertas características de la lesión sugieren, que se origina a partir de un residuo de la lámina dental porque el epitelio es capaz de producir cambios inductivos en el tejido conjuntivo que son análogos a los cambios sufridos por la lámina dental durante la odontogénesis.1
CARACTERISTICAS CLÍNICAS
Se presenta como una masa pediculada o sésil, de color similar al tejido conectivo que la rodea, la lesión no se úlcera y raras veces produce resorción del hueso alveolar. Afecta con mayor frecuencia a la encía marginal por vestibular de los molares permanentes.4,3
El diámetro de estas lesiones varia entre 1 a 3 cm., son del mismo color de la mucosa6. Las lesiones interdentales suelen originar separación del diente.4
La forma periférica del fibroma odontógeno presenta una agrandamiento gingival que puede confundirse con otras lesiones gingivales.1,10 fig1,2
Puesto que las lesiones pequeñas están localizadas en el tejido blando gingival, no suele existir alteración radiográfica del hueso. Cuando las lesiones contienen numerosas calcificaciones en el tejido conjuntivo celular, pueden verse algunas pequeñas imágenes radiopácas. Las lesiones grandes pueden revelar aplanamiento del hueso cortical a algún ensanchamiento de la porción cervical del espacio periodontal.9,1
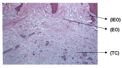
Desde el punto de vista histopatológica la lesión es básicamente fibrosa, contiene múltiples islotes pequeños y hebras de epitelio odontógeno que se asemejan a residuos de la lámina dental. El tejido conjuntivo inmediatamente adyacentes a los islotes epiteliales son menos denso y mixomatozo.
TRATAMIENTO
Debe tratarse mediante la excisión local y total que incluya el ligamento periodontal si está afectado. Además cualquier agente etiológico identificable como cálculo dental u otro material extraño, debe extirparse.1,3
DIAGNOSTICOS DIFERENCIALES
Fibroma Periférico Osificante: es una tumoración gingival en la cual se observan islas de calcificación, que corresponden a hueso, esté se localiza dentro de una proliferación no encapsulada constituida por fibroblastos benignos .También se encuentran células inflamatorias crónicas que rodean la periferia y con frecuencia hay ulceración superficial.3
Genco et al.1993,4 lo describen como una lesión relativamente frecuente, que se presenta sólo en encía adherida o mucosa alveolar como una masa sésil o pediculada cubierta con epitelio normal. Puede presentarse a cualquier edad, pero es más frecuente en niños y adultos jóvenes y pueden derivarse del ligamento periodontal.
Fibroma de Células Gigantes: es una hiperplasia fibrosa focal en la que los fibroblastos, muchos de ellos multinucleados, asumen una forma estrellada . Este tipo de fibroblastos puede encontrarse en lesiones hiperplásicas fibrosas locales de la mucosa bucal y en ocasiones en la piel. Una forma de este tipo de anomalía se conoce como papila retrocanina de la mandíbula.3
Hemangiomas: Buchner y Sciubba en 1987,11 describen al hemangioma como una lesión frecuente en la boca. Predomina en el sexo femenino en una relación 2:1. Se localiza con mayor frecuencia en los labios, lengua, mucosa vestibular y paladar, raramente se ubica en la encía y el piso de la boca. Genco et al 1993,4 los describe como tumores de vasos sanguíneos que a veces se presentan en la encía. Son de tipo capilar o cavernoso. Son blandos, sésiles o pediculados e indoloros. Pueden ser lisos o de contorno abultado irregular .El color varía del rojo oscuro al púrpura y disminuye su coloración a la presión. Estas lesiones nacen en la papila gingival interdental y se extienden en sentido lateral hasta abarcar los dientes adyacentes.
Genco et al 1993,4 los describen como masas de conductos vasculares que probablemente tienen origen hamartomatoso y no neoplásico, aunque los conductos vasculares en sí mismos tienen una estructura normal y carecen de organización propia; se presentan desde el nacimiento o se identifican a temprana edad; son de forma variable, planas o elevadas y por lo general de color rojo oscuro o púrpura.
BIBLIOGRAFIA
1 .- SAPP, J.; EVERSOLE, L.; WYSOCKI, G.; 1998: Patología Oral y Maxilofacial Contemporánea.1° Edición. Harcourt Brace:141-148-348-356.
2 .- SHAFER, WG.; HINE, MK.; LEVY, BM.; 1983: Textbook of Oral Pathology. 4 ª Edición., Philadelphia.: 359-361.
3.- REGEZI, J.; SCIUBBA, J.; 1989: Texto de Patología bucal.1ª Edición., Interamericana-Mc Graw-Hill: 137-140
4.- GENCO, RJ.; GOLDMAN, HM.; COHEN, DW.; 1993: Periodoncia. 1ª Edición., Interamericana-Mc Graw-Hill: 297.
5. - kENNY, J.; KAUGARS, G.; ABBEY, L.; 1989: Comparison Between the Peripheral Ossifying Fibroma and Peripheral Odontogenic Fibroma. J Oral Maxilloc Surg. 47: 378-382.
6.- VILLIERS, H.; ALTINI, M.; 1991: Periapheral Odontogenic Fibroma : A clinipathologic study. Oral Surg Oral Med Oral Pathol. 72: 86-90.
7. - SIAR, C.; HAN, K.; 2000: Clinicopathological study of peripheral odontogenic fibromas (WHO-type) in Malaysians. Br J Oral Maxilloc Surg. 38 (1): 19-22.
8.- SHEKAR, I.; REDDY, R.;ANEGUNDI, R.; 1997: Peripheral fibromas with calcification: a case report. J Indian Soc Ped Prev Dent. 15 (4): 130-3.
9.- WEBER, A.; HEERDEN , W.; LIGTHELM, A.; 1992: Diffuse peripheral odontogenic fibroma: report of 3 cases. J Oral Pathol Med. 21: 82-4.
10.-MANOR, Y.; MERDINGER, O.; KATZ, J.; TAICHER, S.; 1999: Unusual peripheral odontogenic tumors in the differential diagnosis of gingival swellings. J Clin Periodontol; 26:806-809
11. - BUCHNER, A.; SCIUBBA, J.; 1987: Peripheral epithelial odontogenic tumors: a review. Oral surg. 63: 688.













