Introducción
El Cáncer colorrectal es en la actualidad el tercer cáncer más frecuente a nivel mundial con una prevalencia de 13-18.5 por cada 100000 habitantes y una mortalidad estimada de 6.1 por cada 100000 habitantes en nuestro país.1,2 Se debe considerar que las neoplasias de colon son de crecimiento lento el cual se estima en un periodo de 15 - 20 años antes del desarrollo de enfermedad metastásica, lo cual confiere una ventana de acción en materia de prevención y tamizaje.3-8
La sospecha diagnostica se orienta con base en los síntomas que pueden ser subdivididos hacia característicos de colon derecho o izquierdo según los signos y síntomas evidenciados. Se consideran lesiones con buena respuesta a la quimioterapia aun en etapas avanzadas.4,8
Se ha descrito que hasta un 30% de los pacientes presentan metástasis hepática, siendo esta a su vez la lesión neoplásica más frecuente a nivel hepático. El diagnóstico de MT distante suele estar directamente relacionada con un detrimento en la sobrevida del paciente a corto plazo con amplia variedad en sus características morfológicas.9-12
Estas se clasifican según su tiempo de diagnóstico en: Sincrónicas: antes de la lesión primaria o en los primeros 6 meses posterior al diagnóstico de esta, Metacrónica temprana: 6-12 meses posterior al diagnóstico de la lesión primaria, Metacrónica tardía: más de 12 meses posterior al diagnóstico de la lesión primaria.12-14
No existe una epidemiologia clara pero si existen trabajos en los que se concluye como una condición infrecuente la cual complica el proceso diagnostico ante la ausencia de datos clínicos para el planteamiento de un potencial tumor primario en el cual la biopsia hepática juega un papel fundamental.15,16
El tratamiento se considera de enfoque multidisciplinario entre los que se describe la resección a nivel hepática en pro de lograr márgenes libres de lesión, existiendo otras opciones como la quimioembolización transarterial, terapias ablativas y siendo la más utilizada actualmente la quimioterapia neoadyuvante.17-20
Caso Clínico
Paciente masculino de 49 años de edad, natural y procedente del estado Mérida quien refiere enfermedad actual hace 9 meses caracterizado por dolor abdominal en epigastrio e hipocondrio izquierdo asociado a pérdida de peso cuantificada en 15 kg en 3 meses, sin antecedentes personales, familiares u oncológicos de importancia. a la exploración funcional refiere síntomas dispépticos dados por saciedad precoz y distensión postprandial, asociados a regurgitación y pirosis en los últimos 3 meses. Sin cambios de patrón evacuatorio. Acude a consulta con signos vitales: PA 140/90 Fc: 112 LPM, FR: 20 RPM, destaca al examen físico vaciamiento de fosas temporales asociado a masa abdominal palpable que compromete ambos hipocondrios, epigastrio y flanco derecho.
Ante la sintomatología y condiciones descritas es ingresado planteando probable neoplasia gástrica por lo que se solicita paraclínica inicial sin hallazgos significativos (Tabla 1) y se decide preparar para gastroscopia evidenciando Moniliasis esofágica KODSI II, Compresión extrínseca en cuerpo y fundas gástrico, Gastropatía crónica antral y Duodenopatía erosiva.
Tabla 1 Paraclínica de ingreso en la que destacan enzimas hepáticas discretamente elevadas y hemoglobina índices hematimétricos sin alteraciones
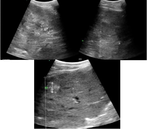
Se realiza ultrasonido abdominal evidenciando múltiples lesiones hepáticas (Figura 1).

Figura 1 Ultrasonido abdominal en el que se observa hígado de patrón heterogéneo a expensas de lesiones de aspecto hiperecogenico a predominio central, sin alteracion del detalle vascular, porta o vias biliares.
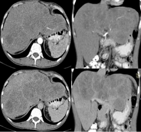
Ante hallazgos ultrasonograficos se decide realizar tomografia computarizada en la que se evidencian múltiples lesiones hepáticas hipodensas comprometiendo lóbulo hepático izquierdo con lesiones satélites hacia lóbulo derecho sin evidenciar lesión en otro órgano (Figura 2), por lo que es llevado a biopsia hepática por trucut por servicio de cirugía general.

Figura 2 Tomografía computarizada con contraste oral e IV evidenciando Hígado aumentado de tamaño, Con múltiples lesiones hipodensas que realzan en fase arterial, siendo la de mayor tamaño en LHI con múltiples lesiones satélites en LHD, se evidencia circulación nutricia y realce periférico en fase venosa con escaso lavado en fase portal.
Se toman multiples muestras en segmento IVa hepatico, arrojando resultado histopatologico de lesión neoplásica metastásica, con diferenciación glandular de tipo adenocarcinoma, perdida de la relación núcleo-citoplasma, y mitosis atípicas de citoplasma eosinofílico. Embolización tumoral presente.
Concluye adenocarcinoma moderadamente diferenciado de crecimiento al estroma, con embolización tumoral y presencia de necrosis. Ante dichos hallazgos se realiza inmunohistoquímica arrojando Inmunoreacción citoplasmática para CK20 y Nuclear CDX2 sugestivas de metástasis por adenocarcinoma colorrectal.
Ante dichos hallazgos paciente es llevado a colonoscopia donde se evidencia lesión ocupante de espacio en colon sigmoides (Figura 3).

Figura 3 Colonoscopia: a nivel de colon sigmoides se observa lesión mamelonante, ulcerada que ocupa 60% de la circunferencia y 80% de la luz y dificulta paso de instrumento, se concluye estudio como TU de colon sigmoides, resto de colonoscopia normal.
Paciente es remitido a oncología médica donde definen inicio de quimioterapia con Oxaliplatino 100 mg + Irinotectan 200 mg + 5 Fluoruracilo 600 mg + Bevacizumab 200 mg c/15 dias (Protocolo FOLFOXIRI + Avastin) cumpliendo 12 ciclos de quimioterapia.
Paciente quien presenta mejoría clínica expresada en desaparición de masa abdominal palpable asi como síntomas dispépticos previamente descritos, se realiza rastreo ecográfico evidenciando disminución significativa de tamaño de las lesiones (Figura 4).
Discusión
De acuerdo a lo evidenciado en este caso, es de destacar la evolución clínica del paciente considerando su consulta en un estadío avanzado de enfermedad, sin evidenciar signos, síntomas, hallazgos paraclínicos y/o imagenológicos que pudiesen sugerir una lesión primaria, lo cual es una presentación infrecuente en las neoplasias de colon.
A pesar de no existir una epidemiologia clara para esta situación, se puede tomar como referencia el trabajo de Kanemitsu et Al. En el cual en su ensayo multicéntrico tomando como población pacientes con ADC colorrectal metastásico asintomático, se encontraron un total de 165 casos en un periodo de 7 años en contraste con la incidencia anual de cáncer colorrectal en Japón que actualmente oscila los 150 casos por 100.000 habitantes.15
La decisión de toma de biopsia hepática se puede considerar crucial para la resolución de este caso, lo cual es acorde con lo expresado en reportes de caso como Malone et Al. en el cual la biopsia hepática y la inmunohistoquímica tuvieron un rol clave en el diagnostico temprano y posterior tratamiento de la lesión primaria.16
Adicionalmente, es de destacar la evolución favorable en relación al esquema quimioterápico FOLFOXIRI + Avastin, lo cual es cónsono con lo evidenciado en el estudio FORBES citado en la revisión de Antoniotti et Al. En la cual se destaca la mejoría en la sobrevida con este esquema de tratamiento, así como mayor logro de ausencia de evidencia de enfermedad.19,20
Conclusiones
En el diagnóstico de cáncer colorrectal siempre se ha tomado en cuenta la clínica y paraclínica para establecer la necesidad de estudios endoscópicos y otras herramientas de tamizaje. Ante la ausencia de esta y en el escenario de lesiones hepatica se debe tener en cuenta como alternativa la toma de biopsia hepática como una medida para agilizar el diagnóstico y brindar un tratamiento dirigido y oportuno.















