INTRODUCCIÓN
Las duplicaciones en el aparato digestivo son un grupo infrecuente de malformaciones congénitas (0,1 % a 0,3 %) que pueden aparecer en cualquier parte del tubo digestivo. La expresión “duplicaciones en el aparato digestivo” la introdujo Ladd, en 1937, y se estima que tiene una incidencia de 1 caso por cada 4500 a 10 000 nacimientos (1).
A pesar de que su etiopatogenia no está debidamente definida, se han propuesto diversas teorías. Las que hasta ahora cuentan con más apoyo de la comunidad científica son las que determinan su origen a partir de un divertículo intestinal persistente o debido a un defecto endodérmico durante el desarrollo embriológico, sin causa conocida que dé lugar a la división anómala de la notocorda. Se clasifican, morfológicamente, según sean quísticas o tubulares, únicas o múltiples o si tienen, o no, comunicación con la luz intestinal (1). Según Salinas (2), en el año 1998, Long y cols. clasificaron las duplicaciones intestinales de acuerdo al tipo de irrigación de la malformación, su relación con el intestino delgado y su mesenterio. Se localizan a lo largo de todo el tubo digestivo, desde la boca hasta el ano. La ubicación más común de estas lesiones es a nivel ileal, seguido por el yeyuno y el esófago; solo entre un 5 % y un 7 % de las duplicaciones se presentan a nivel duodenal (3).
CASO CLÍNICO
Se trata de una paciente de 25 años de edad IIG, IA, quien consultó cursando con embarazo de 18 semanas más 3 días por fecha de última menstruación, negó antecedentes familiares y personales contributorios, así como hábitos tabáquicos, alcohólicos y drogas. Fue valorada por especialista foráneo quien evidencia hallazgo patológico en ecografía.
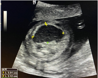
Acudió a la Unidad de Perinatología, realizándose ecografía morfológica del segundo trimestre. Se evidenció en abdomen fetal, por debajo del estómago y adyacente a la vejiga, una imagen hipoecoica de bordes irregulares, que midió 14 x 13 mm, doppler negativo. Se corroboró inserción de cordón umbilical adecuada en abdomen fetal e integridad de la pared del mismo. No se evidenciaron otros hallazgos asociados. Se planteó probable patología gastrointestinal tipo quiste de duplicación intestinal (Figura 1-2).

Figura 1 Ecografía morfológica a las 18 semanas, se observa imagen hipoecoica, irregular que mide 14 x 13 mm (T), vejiga (V).
Se realizó seguimiento donde se evidenció que la imagen anteriormente descrita aumentó de tamaño, y se lateralizó a la izquierda del abdomen fetal. Para ese momento, midió 35 mm x 21 mm, ubicada a nivel de asas intestinales ileales (Figura 3). A las 35 semanas, la imagen midió 76 por 75 mm, sacular, hipoecoica, impresionaban haustras intestinales y peristaltismo presente (Figura 4).

Figura 3 23 semanas de gestación, se observa imagen hipoecoica de 35 x 21 mm a nivel de asas intestinales ileales.

Figura 4 35 semanas de gestación, 76 x 75 mm, sacular, hipoecoica, impresionan haustras intestinales y peristaltismo presente.
La paciente ingresó a admisión obstétrica a las 37 semanas de gestación por presentar contracciones uterinas dolorosas y pérdida de líquido a través de genitales externos, se realizó cesárea segmentaria obteniéndose recién nacido vivo, quien lloró y respiró al nacer. Se observó el abdomen del neonato distendido, timpanizado, blando, depresible.
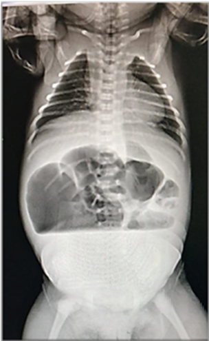
Se realizaron estudios complementarios, entre ellos radiografía de abdomen simple y tomografía axial computarizada de abdomen y pelvis para confirmar el diagnóstico prenatal, donde se evidenció dilatación de asas intestinales en hemiabdomen superior y ausencia de patrón aéreo (Figura 5 - 6). Fue valorado por cirugía pediátrica, quien en vista de los hallazgos decidió llevar a mesa operatoria realizándose laparotomía exploradora. Entre los hallazgos, se describió dilatación intestinal que abarcaba desde el yeyuno hasta parte del íleon distal, de aproximadamente 40 cm, que compartía el mismo mesenterio con el intestino delgado duplicado, lo cual llevó a obstrucción intestinal; el resto del intestino desfuncionalizado, por lo que se corroboró el diagnóstico de duplicación intestinal; además se encontraron bandas de Ladd, las cuales son bandas fibrosas que se asocian a malrotación intestinal y producen obstrucción intestinal a nivel del duodeno (Figura 7).

Figura 5 Radiografía de abdomen simple en suspensión: se evidencia dilatación de asas intestinales en hemiabdomen superior, con evidencia de nivel hidroaéreo, planteándose obstrucción intestinal.

Figura 6 Tomografía axial computarizada de abdomen y pelvis, en corte sagital y axial sin administración de contraste endovenoso, con contraste oral, se evidencia dilatación que se extiende desde cardias, hasta íleon, con evidencia de nivel hidroaéreo sugestivo de obstrucción intestinal.

Figura 7 Dilatación intestinal que abarca desde el yeyuno hasta parte del íleon distal, bandas fibrosas de Ladd.
Posterior a la cirugía, el neonato es trasladado a la unidad de cuidados intensivos neonatales para manejo posoperatorio presentando compromiso ventilatorio de difícil manejo, por lo cual falleció.
DISCUSIÓN
Los quistes de duplicación intestinal se definen como malformaciones raras formadas durante el desarrollo embriológico del tracto gastrointestinal. Estas lesiones están adheridas al tracto gastrointestinal y poseen una capa de músculo liso revestido de mucosa. Aunque pueden estar presentes en cualquier segmento del tracto gastrointestinal, son más frecuentes en el íleon y el yeyuno, seguidos del colon y el esófago (4).
Muchas teorías se han propuesto sobre el origen embriológico de las duplicaciones intestinales, ninguna de ellas absolutamente concluyente. A pesar de que algunas explican el desarrollo de las duplicaciones en diferentes segmentos específicos del tracto digestivo, ninguna puede explicar satisfactoriamente el origen de todas las duplicaciones. Actualmente la teoría más aceptada es la que las relaciona con el conducto neuroentérico, que sostiene que las duplicaciones digestivas se formarían por persistencia del conducto neuroentérico (orificio transitorio que comunica, en el embrión trilaminar el ectodermo con el endodermo). Este defecto embriológico sería el responsable de otras anomalías que son englobadas bajo la denominación del síndrome de la notocorda hendida (5).
En el año 1998, Long y otros, clasificaron las duplicaciones intestinales de acuerdo al tipo de irrigación de la malformación, su relación con el intestino delgado y su mesenterio. Las duplicaciones intestinales tipo 1 son las que se encuentran a un lado del mesenterio y las arterias que las irrigan transcurren paralelas e independientes a la vascularización intestinal. Las duplicaciones tipo 2, son las que se encuentran en el medio de ambas cubiertas peritoneales del mesenterio y su irrigación proviene de las arterias que irrigan el intestino y que rodean ambas superficies de la duplicación (2,6).
Estas deben de cumplir tres características: presencia de una pared bien desarrollada de músculo liso; recubrimiento epitelial representando algunas porciones del tubo digestivo primario o heterotópico; y adherencia a alguna parte del tubo digestivo, con o sin comunicación con la luz intestinal (6).
Es una patología susceptible a diagnóstico prenatal, se presentan, diagnostican y resuelven en los primeros años de la vida, la mayoría de ellas antes de los 2 años de vida (2). El tratamiento es la resección de la duplicación con anastomosis término terminal con un buen resultado posnatal (7). Se debe hacer seguimiento, especialmente en pacientes con duplicaciones duodenales, dado el riesgo de que se produzca pancreatitis por la proximidad de la vía biliar o pancreática, además puede presentarse sangrado recurrente después de la resección incompleta de la mucosa, sin embargo, la resección elimina el riesgo de transformarse en una patología potencialmente maligna (8,9).
CONCLUSIÓN
Las duplicaciones intestinales son anomalías infrecuentes del desarrollo embriológico del tracto gastrointestinal y se presentan habitualmente en la infancia. El diagnóstico puede ser realizado en período prenatal en el control de rutina del embarazo. Pueden ser asintomática o presentar una diversidad de síntomas en relación con la localización, la edad del paciente o complicaciones de la duplicación. Los estudios diagnósticos complementarios que pueden utilizarse son: ecografía pre- o posnatal, tomografía axial computada con contraste, resonancia nuclear magnética, estudios contrastados radiológicos y endoscopía digestiva. El tratamiento es una resección de la duplicación con anastomosis término terminal, la cual puede ser realizada por vía laparoscópica, con buen resultado posnatal.















