INTRODUCCIÓN
Los tumores malignos de tejidos blandos llamados rabdomiosarcomas se desarrollan principalmente en la cabeza y el cuello y se originan en células precursoras del músculo esquelético (mioblastos) (1). Sin embargo, alrededor de un tercio de estos tumores se desarrollan en la región urogenital, que incluye la vejiga, la próstata, el útero y la vagina. Se dividen en cuatro subtipos principales histológicamente: embrionario, alveolar, botrioide y pleomórfico (2-4).
El rabdomiosarcoma vaginal es una neoplasia maligna que se desarrolla rápidamente y causa sangrado vaginal con frecuencia (5,6). El objetivo principal de la terapia debido a su naturaleza agresiva es la resección completa del tumor para asegurar el control local y preservar la calidad de vida del paciente (7). Se presenta un caso de rabdomiosarcoma pleomórfico vaginal.
CASO CLÍNICO
Paciente femenina de 18 años, nulípara, quien consultó por presentar tumor vaginal que protruía hacia el exterior a través del introito, de 4 meses de evolución, indoloro, acompañado de flujo vaginal fétido y sangrado irregular espontáneo, intermitente, con sangre fresca. La paciente negaba consumo de alcohol, tabaco y/o drogas ilegales, y antecedentes de alteraciones en el hábito evacuatorio, diarrea, urgencia miccional, tenesmo, poliuria, disuria, dolor abdominal, vómitos, hematuria o lumbalgia. También negaba antecedentes de cirugías pélvicas, neoplasias familiares, hipertensión o diabetes mellitus. La menarquia había ocurrido a los 16 años, con ciclos menstruales regulares, sin sangrado excesivo ni dolor.
La paciente mostraba palidez cutáneo-mucosa sin signos de ictericia, deshidratación. Su índice de masa corporal era de 22,6 kg/m2. Estaba afebril, con presión arterial de 100/70 mm de Hg, pulso de 78 latidos por minuto y frecuencia respiratoria regular de 16 por minuto, con saturación del 99 % con aire ambiental. El abdomen estaba blando, depresible, no doloroso y sin evidencia de linfadenopatías inguinales palpables. Al examen ginecológico se observó en la cara anterolateral derecha de la vagina tumor de color purpura-rojizo, de aproximadamente 7 centímetros de diámetro de consistencia blanda, indoloro a la palpación y parcialmente móvil, ubicado en la parte superior de la vagina. Los labios mayores, menores, clítoris, uretra y perineo parecían normales sin lesiones cutáneas. El tacto rectal demostró tono normal, recto vacío colapsado sin evidencia de tumoraciones. El resto del examen estuvo dentro de los límites normales.
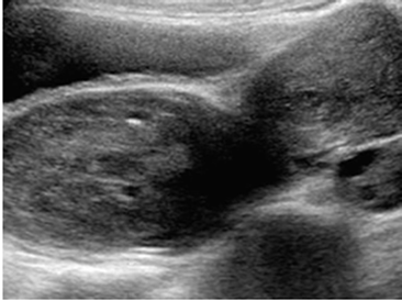
La ecografía pélvica demostró tumor heterogéneo de 6 centímetros de diámetro que protruía hacia el abdomen con útero y ambos anexos de tamaño normal (figura 1). No se apreciaron signos de ascitis o adenopatías pélvicas. La evaluación doppler color mostró una vascularización interna significativa con flujo arterial y venoso con vascularización de útero y ambos anexos dentro de límites normales.
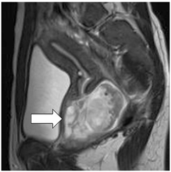
La tomografía computarizada abdominopélvica confirmó las características de la tumoración observadas en la ecografía. Las imágenes de resonancia magnética mostraron tumor sólido heterogéneo, bien definido, de 8 centímetros de diámetro, con varios tabiques levemente engrosados, y cambios quísticos, que se originaba en la parte superior de la vagina, con señal de baja intensidad en las imágenes ponderadas en T1 y de alta señal en las imágenes ponderadas en T2. Los órganos adyacentes, así como los planos de grasa pélvico/perineal, estaban bien conservados. El útero y el cuello uterino estaban aparentemente normalmente (figura 2). No se observaron adenopatías regionales. Las imágenes de tomografía computarizada de tórax eran normales.
Los resultados de las pruebas de hematología completa, funcionalismo hepático y renal, examen de orina y pruebas de coagulación estaban dentro de límites normales. Los valores de marcadores tumorales (antígeno de carbohidratos 125, lactato deshidrogenasa, antígeno de carbohidratos 19-9, alfafetoproteína, gonadotropina coriónica β-humana y antígeno carcinoembrionario) estaban también dentro del rango normal.
Se procedió, bajo anestesia, a realizar biopsia con aguja gruesa de la lesión, que al examen microscópico mostró neoplasia mesenquimatosa por células rabdomioblásticas indiferenciadas con núcleos hipercromáticos ovalados a fusiformes con pleomorfismo nuclear; también se observaron figuras mitóticas. Las células tumorales se dispusieron en fascículos cortos con áreas mixoides hipercelulares e hipocelulares alternas. En general, los hallazgos histológicos fueron compatible con rabdomiosarcoma pleomórfico.
La paciente se sometió a resección quirúrgica y reconstrucción de la pared vaginal. El tumor no estaba adherido a estructuras profundas y fue separado fácilmente de la pared vaginal anterior utilizando solución salina normal como medio de expansión. La resección incluyó una porción adyacente de la pared vaginal para una evaluación completa.
El examen macroscópico del tumor demostró que el tamaño era aproximadamente 72 × 60 × 52 milímetros, sin cápsula, coloración púrpura pálida, textura blanda con inflamación crónica del tejido de la pared vaginal y ausencia de infiltración tumoral. El examen microscópico reveló varias formas de células tumorales con núcleos redondos u ovoides, citoplasma eosinófilo junto a células gigantes multinucleadas teñidos profundamente e intersticio laxo. Los rabdomioblastos mostraron diferenciación con células predominantemente pequeñas ovoides a fusiformes y citoplasma anfofílico. Los núcleos eran densamente hipercromáticos con membranas nucleares irregulares y apoptosis frecuentes. Además, también se observaron rabdomiosblastos diferenciados como células fusiformes bipolares alargadas con cantidades variables de citoplasma eosinófilo ondulado. El análisis inmunohistoquímico mostró positividad para vimentina, CD68, miosina, desmina, antígeno de membrana epitelial y citoqueratina, pero negatividad para queratina, enolasa neuronal específica, CD99, CD34, CK5/6, p63 y mioglobina (figura 3). El índice Ki- 67 fue del 25 %. Estos hallazgos permitieron confirmar el diagnóstico de rabdomiosarcoma pleomórfico vaginal.

Figura 3 Imágenes histopatológicas del rabdomiosarcoma vaginal. A) células tumorales con núcleos redondos u ovoides, citoplasma eosinófilo junto a células gigantes multinucleadas teñidos profundamente e intersticio laxo (Coloración hematoxilina eosina). B) Coloración inmunohistoquímica positiva a desmina. C) Coloración inmunohistoquímica a vimentina.
La paciente fue referida al servicio de oncología médica siendo tratada con seis ciclos de quimioterapia (vincristina, ciclofosfamida y actinomicina D). Durante el seguimiento a los 6 meses, no ha demostrado signos de recurrencia en el sitio quirúrgico o metástasis a distancia.
DISCUSIÓN
Los rabdomiosarcomas genitourinarios son tumores malignos de tejidos blandos que se desarrollan a partir de células musculares inmaduras del mesénquima embrionario. Su aparición es rara en mujeres adolescentes y premenopáusicas (2 % - 3 %), aunque son más comunes en la infancia (5). El subtipo embrionario, que es el más frecuente (60 % - 70 % de los casos), tiene características similares a las de las células musculares en desarrollo. Con su patrón de crecimiento exofítico, la variante botrioide tiene una mejor predicción (8).
Los rabdomiosarcomas que afectan áreas distintas a la cabeza y el cuello se encuentran con mayor frecuencia en el tórax: abdomen (20 %), extremidades (15 %), regiones paratesticulares, vaginales y uterinas (15 %), vejiga y próstata (10 %) (9). A pesar de que la mayoría de los casos son infrecuentes, se han encontrado alteraciones genéticas, como la sobreexpresión de IGF-2 y la translocación PAX/FKHR, en una pequeña cantidad de pacientes. Estos hallazgos sugieren que puede existir un componente genético en el desarrollo de estos tumores (10).
El rabdomiosarcoma urogenital tiene una presentación clínica que varía según la localización del tumor. Sangrado, tumoración palpable, leucorrea y alteraciones urinarias o evacuatorias son los síntomas más comunes. El hallazgo más frecuente en el rabdomiosarcoma vaginal es el sangrado, mientras que los tumores vesicales pueden manifestarse principalmente con síntomas urinarios (9). La radiología convencional no es útil para el diagnóstico del rabdomiosarcoma. La ecografía se considera el primer método de evaluación porque permite visualizar masas heterogéneas, bien definidas y con flujo sanguíneo elevado (11). La resonancia magnética, por otro lado, ofrece una caracterización más detallada del tejido, generalmente mostrando una intensidad de señal intermedia en secuencias T1 y alta en secuencias T2, y con frecuencia presenta un aspecto quístico multiseptado debido al estroma mixoide (12,13).
El rabdomiosarcoma vaginal debe diferenciarse de una variedad de entidades, desde remanentes embrionarios (quistes mesonéfricos, del canal de Nuck o ducto de Bartolino) y hamartomas, hasta hernias inguinales y otros tumores mesenquimatosos, tanto benignos (rabdomioma fetal, lipoma, fibroma) como malignos (tumor del seno endodérmico). Es importante tener en cuenta las lesiones como los pólipos fibroepiteliales, que se caracterizan por alteraciones vasculares notables, hemangiomas y miomas polipoides. Los miomas cervicales grandes pueden causar compresión y síntomas similares al rabdomiosarcoma, mientras que los pólipos pueden manifestarse como lesiones vulvares rosadas y blandas (9).
El diagnóstico definitivo del rabdomiosarcoma vaginal depende de la histopatología. El fenotipo de las células tumorales varía, reflejando diferentes niveles de diferenciación muscular. Las miofibrillas y las estrías cruzadas, características típicas de las fibras musculares esqueléticas, se observan en casos bien diferenciados. La inmunohistoquímica demuestra positividad para marcadores como desmina, miogenina y MyoD1, confirmando el origen miogénico de estas neoplasias (9). El rabdomiosarcoma se puede diferenciar de otras neoplasias mesenquimatosas utilizando estos marcadores de diferenciación muscular. Es importante destacar que la expresión de estos marcadores puede variar según el grado de diferenciación tumoral.
Las células más primitivas expresan principalmente vimentina, mientras que las células más diferenciadas muestran coexpresión de vimentina y marcadores específicos de tejido muscular (14).
La cirugía, la quimioterapia y la radioterapia son tratamientos comunes para el rabdomiosarcoma. Se ha adoptado un enfoque más conservador y multidisciplinario en los últimos años, que incluye intervenciones quirúrgicas menos extensas, braquiterapia y quimioterapia adyuvante. El tratamiento multimodal ha demostrado ser efectivo, con tasas de supervivencia a 5 años del 91 % y una reducción significativa del riesgo de recurrencia local (15). La resección quirúrgica completa es preferible para tumores pequeños, bien delimitados y localizados que no afectan estructuras adyacentes. La aplicación de esta estrategia y la quimioterapia están relacionadas con un mejor pronóstico a largo plazo (16).
El tipo histológico del tumor, su estadio y otras características clínicas determinan los regímenes de quimioterapia para el rabdomiosarcoma, que son extremadamente variables. Vincristina, dactinomicina, doxorrubicina y ciclofosfamida son algunos de los medicamentos más utilizados. La ifosfamida y el etopósido se han añadido a los protocolos de tratamiento estándar en los últimos años (7). La quimioterapia neoadyuvante ha demostrado ser efectiva para reducir el tamaño de los tumores y mejorar el control local de la enfermedad. Las tasas de supervivencia sin enfermedad en los pacientes tratados con este método son superiores al 79 % en algunos estudios (10). En ciertos casos, la radioterapia, que tradicionalmente es un componente esencial del tratamiento, puede evitarse. Los pacientes que han respondido completamente a la quimioterapia neoadyuvante o los tumores embrionarios que se han resecado completamente quirúrgicamente antes de comenzar la quimioterapia pueden ser elegibles para una estrategia de tratamiento menos intensiva (8).
En mujeres diagnosticadas con rabdomiosarcoma del tracto genital inferior, la supervivencia a 5 años supera el 90 % (15). Sin embargo, el pronóstico puede variar significativamente y depende de una variedad de factores (5). Estos incluyen la edad del paciente, la localización exacta del tumor, el tipo histológico del tumor, el tamaño, la presencia de metástasis a distancia y la cantidad de tejido tumoral residual después de la cirugía inicial (5). Debido a su presentación temprana y crecimiento lento, los rabdomiosarcomas vaginales suelen tener un pronóstico favorable. Además, las tasas de supervivencia y la calidad de vida de los pacientes han mejorado significativamente con el tratamiento multimodal, que combina cirugía, quimioterapia y radioterapia (17).
En conclusión, el rabdomiosarcoma vaginal es un tumor con un pronóstico que ha mejorado significativamente gracias a los avances en el diagnóstico y tratamiento. Para lograr una remisión completa y mejorar la calidad de vida de los pacientes, es necesario un enfoque multidisciplinario que incluya cirugía, quimioterapia y radioterapia. El seguimiento a largo plazo es crucial para identificar posibles complicaciones y recurrencias.
















