INTRODUCCIÓN
Las neoplasias de células plasmáticas son un grupo de neoplasias caracterizadas por la proliferación descontrolada de células plasmáticas maduras que, a menudo, sintetizan inmunoglobulinas monoclonales, manifestándose de diversas formas. La mayoría de estos tumores se diagnostican como mieloma múltiple, un tipo de cáncer que suele aparecer en la edad adulta.
Solo entre el 5 % y el 6 % de las neoplasias de células plasmáticas se manifiestan como plasmocitoma 1.
El plasmocitoma es una proliferación tumoral de células plasmáticas que puede presentarse como una lesión única (plasmocitoma solitario) o múltiples lesiones en el esqueleto (mieloma múltiple). Si bien el mieloma múltiple es la forma más común, el plasmocitoma solitario representa menos del 5 % de todas las neoplasias de células plasmáticas 2. La incidencia acumulada del plasmocitoma es de aproximadamente 0,15 por 100 000 habitantes 3.
La región de la cabeza y el cuello es la zona más afectada por el plasmocitoma extramedular (PEM) 2-4. Los tumores que afectan el sistema genitourinario representan solo el 13 % de todos los casos. Su manifestación en el aparato reproductor femenino es aún más excepcional, con menos de dos docenas de casos reportados en el cuello uterino, vagina y anexos uterinos 5-7. Los PEM vulvares, en particular, son neoplasias plasmáticas extremadamente raras, con apenas 6 casos descritos en la literatura 8. Se presenta un caso de plasmocitoma extramedular de vulva.
CASO CLÍNICO
Paciente femenino de 61 años, nuligesta, quien acudió a la consulta de ginecología por presentar tumoración en región vulvar derecha de cinco meses de evolución, acompañada de molestias al sentarse y caminar. La paciente negaba náuseas, disnea, fiebre o dolor abdominal. No tenía antecedentes de importancia para el padecimiento actual ni recibía tratamiento farmacológico. La paciente refería última menstruación hacía 25 años. Los antecedentes médicos y quirúrgicos no eran destacables. También negaba antecedentes personales y familiares de neoplasias, mieloma múltiple u otras enfermedades relevantes.
Al examen físico se apreciaba tumor en la región externa de los labios mayores de la vulva de 4 x 3 centímetros, doloroso, violáceo, móvil, elástico, bien delimitado y sin afectación de uretra ni vagina (figura 1). No se palpaban ganglios linfáticos en la región pélvica, supraclavicular, axilar, fosa cubital, inguinal y fosa poplítea. El examen con espéculo puso de manifiesto el cuello uterino hipotrófico, de color rosa pálido y sin lesiones visibles. El tacto bimanual fue inespecífico, sin palpación de masas en el hipogastrio ni indicios de afectación parametrial. El resto de la exploración física fue normal.
Las pruebas de hematología completa, recuento leucocitario y plaquetario, perfil lipídico y de coagulación, electrolitos, ácido úrico, función tiroidea, proteína C reactiva y velocidad de sedimentación globular estaban dentro de límites normales. Las pruebas de inmunoelectroforesis séricas y urinarias fueron negativas. El frotis de sangre periférica también estaba dentro de límites normales. Los valores de marcadores tumorales (antígeno carcinoembrionario, alfafetoproteína, CA19-9 y CA-125) estaban dentro de rango normal. Los análisis de orina para la proteína de Bence-Jones fueron negativos. Se cuantificaron además ferritina, albúmina, inmunoglobulinas (Ig) G y M, proteínas totales y β2-microglobulina, encontrándose todos dentro de los rangos de referencia.
La ecografía de partes blandas mostró tumoración sólida de 6 x 4 centímetros en tejido subcutáneo en la región externa del labio derecho vulvar, con signos de necrosis. El útero y anexos de morfología y tamaño normales, sin patología macroscópica asociada. La ecografía doppler color demostró intensa vascularización (Figura 2). Las imágenes de tomografía axial computada confirmaron la presencia de tumoración de partes blandas en el labio derecho vulvar, de características malignas. La radiografía de tórax y el mapa óseo no demostraron la presencia de lesiones líticas y/o blásticas ni evidencia de enfermedad metastásica ósea.

Figura 2 Ecografía de partes blandas de la vulva. A). Tumoración sólida de 6 x 4 centímetros en tejido subcutáneo en la región externa del labio derecho vulvar. B) Doppler color que muestra intensa vascularización.
En vista de los hallazgos se decidió realizar biopsia de la lesión. Los hallazgos histopatológicos revelaron infiltración de células inflamatorias y células atípicas, que incluían numerosos gránulos de eosinófilos compatibles con PEM de localización vulvar. En vista de los hallazgos se decidió realizar resección ampliada.
La paciente se sometió a cirugía escisional y reconstructiva de la vulva. El tumor no estaba adherido a estructuras profundas y fue separado fácilmente de la pared vaginal anterior, utilizando solución salina normal como medio de expansión. La resección incluyó una porción adyacente del tejido vulvar para una evaluación completa.
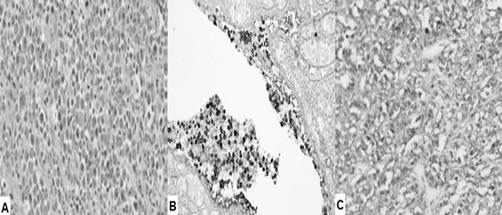
La histopatología mostró una infiltración difusa del parénquima vulvar por células plasmáticas atípicas, caracterizadas por núcleos excéntricos, escaso pleomorfismo y presencia de células binucleadas con nucléolos prominentes. Se observó además una marcada eosinofilia. La inmunohistoquímica demostró positividad para CD138, CD56 y CD79a, y negatividad para CD20 y CD19 (figura 3). Además, se observó restricción ligera de cadena λ. Los hallazgos fueron compatibles con PEM vulvar.
El estudio hematológico descartó mieloma múltiple, evidenciando un mapa óseo sin lesiones líticas, niveles de calcio sérico normales, función renal preservada y ausencia de anemia. La aspiración y biopsia de médula ósea reveló 2 % de células plasmáticas y 14 % de linfocitos sin indicios de mieloma. La electroforesis de proteínas séricas reveló un pico monoclonal de IgM- Kappa de 0,95 g/dL, con niveles normales de IgA e IgG. La relación de cadenas ligeras libres séricas fue de 2,96.
La paciente ha mostrado una evolución clínica satisfactoria desde la cirugía, sin presentar complicaciones posoperatorias ni signos de progresión de la enfermedad durante los últimos dos años de seguimiento.

Figura 3 Imágenes de histopatología del plasmocitoma extramedular de vulva. A) Infiltrado difuso de células inflamatorias y plasmáticas atípicas bien diferenciadas con núcleos excéntricos y ligero polimorfismo nuclear (Coloración hematoxilina-eosina, 100X. B) Inmunohistoquímica que muestra células neoplásicas con tinción positiva a CD56. C) Células neoplásicas que muestran positividad difusa a la tinción CD138.
DISCUSIÓN
El plasmocitoma solitario es una neoplasia caracterizada por la proliferación clonal de células plasmáticas en hueso o tejido blando, sin evidencia de enfermedad sistémica. Se clasifica en plasmocitoma óseo solitario y PEM. Este último representa alrededor del 5 % de las proliferaciones de células plasmáticas y se localiza con mayor frecuencia en cabeza y cuello, especialmente en cavidad nasal, senos paranasales y nasofaringe. Sin embargo, puede surgir en cualquier tejido blando, incluyendo el tracto gastrointestinal, piel y ganglios linfáticos. Los plasmocitomas primarios del aparato reproductor femenino, particularmente los vulvares, son extremadamente raros 9,10. Los pacientes con tumores localizados presentan una mayor tasa de supervivencia libre de enfermedad 1.
La clínica de los PEM vulvares suele caracterizarse por lesiones firmes, de superficie lisa o nodular, y coloración variable entre azul-rojizo y amarillo-grisáceo. Al ser lesiones submucosas, la hemorragia y la ulceración son complicaciones tardías. Los tumores de crecimiento más rápido tienden a ser blandos y ulcerarse con mayor facilidad. En los plasmocitomas vulvovaginales, los síntomas pueden incluir sangrado vaginal, dispareunia y dolor pélvico. Sin embargo, estos síntomas son inespecíficos y requieren un amplio diagnóstico diferencial, que incluye otras patologías ginecológicas como causa más frecuente de sangrado genital, dolor y dispareunia 11.
El diagnóstico de PEM se basa en un conjunto de pruebas de laboratorio que incluyen: hemograma completo, frotis de sangre periférica, perfil bioquímico (incluyendo calcio sérico, creatinina, lactato deshidrogenasa y β2- microglobulina) y estudios de proteinuria de Bence Jones mediante electroforesis de proteínas en suero y orina de 24 horas con inmunofijación. La aspiración de médula ósea es fundamental para descartar mieloma múltiple. Se considera el diagnóstico de PEM cuando se acompaña de infiltración de células plasmáticas clonales en la médula ósea menor al 10 % 12.
La radiografía convencional, la tomografía computarizada y la resonancia magnética son herramientas diagnósticas fundamentales para establecer el diagnóstico, estadificación y extensión local del PEM. En las imágenes de resonancia magnética, el PEM suele manifestarse como una lesión hipointensa en secuencias T1 e hiperintensa en secuencias T2 13. Sin embargo, debido a la rareza de estos tumores ginecológicos, no existen características imagenológicas patognomónicas. La tomografía por emisión de positrones con 18-fluorodesoxiglucosa (PET-FDG) puede ser útil para detectar enfermedad diseminada y monitorizar a las pacientes, ya que es más sensible que otras técnicas para identificar depósitos de células plasmáticas. No obstante, presenta limitaciones en la detección de lesiones óseas líticas pequeñas, especialmente en el cráneo, y tiene menor sensibilidad para detectar afectación temprana de la médula ósea 2.
El diagnóstico definitivo de PEM vulvar se establece mediante el estudio histopatológico, que revela un infiltrado de células plasmáticas monoclonales en un estroma rico en capilares. Estas células plasmáticas suelen presentar un aspecto característico, con un índice núcleo- citoplasma elevado, escasa formación en “rodaja de salchicha” y un tamaño superior al normal. La presencia de células plasmáticas multinucleadas es frecuente en estos tumores. Además de la confirmación histológica, es esencial descartar la presencia de enfermedad sistémica mediante estudios complementarios, como hemograma, bioquímica sanguínea (incluyendo calcio y creatinina) y aspirado de médula ósea. Este último permite evaluar la extensión de la enfermedad y descartar un mieloma múltiple, que se define por la presencia de más del 5 % de células plasmáticas clonales en la médula ósea. La inmunohistoquímica es fundamental para diferenciar las células plasmáticas neoplásicas de las reactivas, y para caracterizar el clon monoclonal involucrado 3,14.
Debido a la rareza del PEM vulvar, los protocolos de tratamiento aún no están estandarizados. Por lo tanto, la elección del tratamiento debe individualizarse en cada caso, considerando la extensión local de la enfermedad y la presencia o ausencia de metástasis. La combinación de cirugía y radioterapia coadyuvante suele ofrecer los mejores resultados en términos de supervivencia global y tiempo libre de enfermedad. La cirugía, por sí sola, puede ser suficiente cuando la resección es completa. Sin embargo, se recomienda la radioterapia coadyuvante en casos de resecciones incompletas o cuando la cirugía está contraindicada 15. Aunque existen pocos estudios al respecto, la quimioterapia coadyuvante no parece reducir el riesgo de progresión a mieloma múltiple 16. Por lo tanto, su papel en el tratamiento del PEM vulvar aún no está claramente definido.
Los objetivos de la radioterapia en el PEM incluyen minimizar la morbilidad, controlar el dolor, estabilizar las estructuras óseas y, en algunos casos, lograr el control local del tumor. Esta modalidad terapéutica se considera de primera línea para plasmocitomas solitarios que no han evolucionado a mieloma múltiple 17. Dada su alta radiosensibilidad, el PEM presenta tasas de control local que oscilan entre el 79 % y el 91 %. No obstante, la irradiación profiláctica de la cadena ganglionar en ausencia de afectación linfática aún es objeto de debate 2,13. La dosis total recomendada es de 40 a 45 Gy, aunque en tumores mayores de 5 centímetros pueden considerarse dosis más elevadas (hasta 50 Gy) (2,9.
Debido al riesgo de progresión a mieloma múltiple en pacientes con PEM del aparato reproductor femenino, un seguimiento riguroso postratamiento es fundamental. A pesar de la variabilidad en la supervivencia, que depende en gran medida de la localización tumoral, aún no se han establecido criterios de pronóstico definitivos para este tipo de tumor. Si bien el PEM presenta un riesgo menor de transformación a mieloma múltiple (10 % - 30 % a 10 años), la recurrencia local es más frecuente 9. Aunque no se han descrito casos de plasmocitoma en vagina o vulva con diseminación a múltiples localizaciones, es importante destacar que el PEM puede dar lugar a un cuadro metastásico en aproximadamente el 30 % de los casos 14.
En conclusión, el PEM vulvar es una neoplasia infrecuente con un pronóstico generalmente favorable y baja probabilidad de evolucionar a enfermedad sistémica. La inmunohistoquímica es fundamental para confirmar el diagnóstico. Hasta la fecha, no se han evidenciado diferencias significativas en los resultados de pacientes tratadas con cirugía o radioterapia. Debido al riesgo de recurrencia o progresión a mieloma múltiple, se recomienda un seguimiento clínico estrecho y personalizado para cada paciente.















