SciELO - Scientific Electronic Library Online

 
vol.85 número2Lesión intraepitelial cervical de alto grado y embarazo: reporte de un caso y revisión de la literaturaTeratoma quístico maduro con fistula vesical: una complicación excepcional índice de autoresíndice de materiabúsqueda de artículos
Home Pagelista alfabética de revistas  

Servicios Personalizados

Revista

Articulo

Indicadores

Links relacionados

  • No hay articulos similaresSimilares en SciELO

Compartir


Revista de Obstetricia y Ginecología de Venezuela

versión impresa ISSN 0048-7732

Rev Obstet Ginecol Venez vol.85 no.2 Caracas jun. 2025  Epub 06-Nov-2025

https://doi.org/10.51288/00850218 

CASOS CLÍNICOS

Tuberculosis genital asociada a infertilidad: reporte de dos casos

Genital tuberculosis associated with infertility: report of two cases

Alejandro Teppa Garrán1 
http://orcid.org/0009-0004-3047-5370

1Doctor en Ciencias Médicas. Policlínica Metropolitana, Caracas. Fertigenetics, Venezuela


RESUMEN

La tuberculosis genital, es una enfermedad infecciosa poco frecuente en la población femenina. No obstante, ante el aumento de los casos de tuberculosis en el país, su frecuencia debe haber aumentado paralelamente. Su diagnóstico se establece solamente si existe alta sospecha clínica. El objetivo de la presente publicación es dar a conocer la existencia de esta patología en Venezuela, claramente subdiagnosticada, y dar a conocer las herramientas disponibles para su manejo adecuado. La importancia del diagnóstico radica en las consecuencias de la fertilidad a futuro, ya que la funcionalidad del aparato reproductor se ve afectada en la mayoría de los casos.

Palabras clave: Tuberculosis; genital tuberculosis; Micobacteriosis; diagnóstico; adenosina desaminasa; Venezuela

SUMMARY

Genital tuberculosis is an infectious disease that is rare in the female population. However, given the increase in cases of tuberculosis in our environment, its frequency must have increased in parallel. However, its diagnosis is established only if there is high clinical suspicion. Therefore, the objective of this publication is to advertise the existence of this pathology again in our environment, clearly underdiagnosed, and to publicize the tools available for its adequate management. The importance of diagnosis lies in the consequences of fertility in the future, since the functionality of the reproductive system is affected in most cases.

Keywords: genital tuberculosis; Mycobacteriosis; diagnosis; adenosine deaminase; Venezuela

INTRODUCCIÓN

La tuberculosis (TBC) genital es una forma de TBC, habitualmente secundaria a un foco primario pulmonar. Puede presentarse sin manifestación alguna, o producir síntomas, como infertilidad, dolor pélvico, alteraciones menstruales, flujo patológico, entre otros. En la mayoría de los casos, se alcanza la esfera genital por diseminación hematógena y/o linfática, lo cual depende de múltiples factores, como la virulencia de la cepa y el estado inmunológico del huésped. Suele afectar las trompas de Falopio (65 % - 100 %), endometrio (40 % - 60 %), y los ovarios (20 % - 46 %), cérvix (5 % - 23 %), y en raras ocasiones el periné y la vulva 1,2,3.

Es interesante la frecuente asociación de la TBC genital con infertilidad, que se observa, como promedio, 1 a 2 años antes del diagnóstico. Aproximadamente, la cuarta parte de las pacientes presentan antecedentes familiares. En Venezuela, Aure y Pollak 4, en 1975, ya hicieron referencia a la asociación de TBC genital con infertilidad y, en 1989, Aure y cols. 5 realizaron un estudio de causas de infertilidad en 300 pacientes que acudieron al Servicio de Fertilidad de la Maternidad Concepción Palacios (MCP), aislando el Mycobacterium tuberculosis en aproximadamente el 7 % de los casos. La relación con infertilidad es múltiple. En las trompas, con la presencia de cambios inflamatorios leves, puede ocasionar embarazos ectópicos. Mientras si la afección es grave, resulta en obstrucción (60 % de los casos), y daño total de la trompa, con adherencias peritubáricas y masas anexiales (47,2 %). Las trompas se pueden ver afectadas de diferentes formas, siendo la más común la presencia de líquido en su interior. Es decir, de acuerdo al estadio de los cambios inflamatorios, puede condicionar la sintomatología y la aparición de diferentes imágenes en los estudios, por lo cual se debe estar preparado para adecuarse a diferentes escenarios. La infección puede ocasionar distorsión anatómica del aparato reproductor femenino, entre los cuales se han descrito: masas pélvicas, hidrosálpinx, obstrucción tubárica, adherencias. Sobre este particular, resalta el conocido síndrome de Netter o de Musset-Netter, descrito como una oclusión de la cavidad uterina secundaria a una endometritis tuberculosa 6. Adicionalmente, existen estudios que muestran alteraciones hormonales y disminución de la reserva ovárica en pacientes con TBC genital a las cuales se les realizan procedimientos de reproducción asistida (RA). Sobre este particular, Malhotra y cols. 7 estudiaron la reserva ovárica en 104 mujeres con TBC genital y la compararon con 104 mujeres sanas, reportando menor reserva ovárica ajustada por edad, en las mujeres con TBC genital. Interesantemente, Malik 8, describió que en los estadios preclínicos pueden coexistir algunas alteraciones de la función tubárica, endometrial o uterina, fallas en la implantación por alteración de la inmunomodulación, aumento de citocinas, alteraciones endocrinas, activación de anticuerpos antifosfolipídicos y microtrombosis.

Por tanto, es fundamental tratar la TBC genital en fase inicial y, pese al tratamiento correcto, las pacientes suelen requerir técnicas de RA, porque la restauración de la fertilidad es poco frecuente 9. Indudablemente, para pacientes con este tipo de alteraciones tubáricas, la fertilización in vitro (FIV), es la mejor opción para lograr el embarazo y, en forma similar a la conducta clásica en presencia de hidrosálpinx, ocasionado por el ambiente embriotóxico en las trompas de Falopio que afecta la implantación embrionaria, la salpingectomía previa al tratamiento de FIV representa una opción viable para incrementar las tasas de embarazo, implantación y recién nacido vivo de pacientes con TBC genital ya tratada que van a FIV 10. Sobre este particular, Tripathy y cols. 11 reportaron, en un grupo de 97 pacientes con TBC genital, una incidencia de infertilidad en el 58 %, con tasa de embarazo de 19 % y de nacido vivo muy reducida de 7,2 %. Desafortunadamente, la infertilidad es muy común, incluso después de terapia multidroga bien realizada, así como también se presentan complicaciones en caso de embarazo, destacando abortos, parto pretérmino y otras complicaciones maternofetales 12. No obstante, se han descrito casos de embarazos a término aún en pacientes infectadas 13.

La sintomatología de la TBC genital no es nada específica y puede afectar todo el cuerpo. Podría ser asintomática, pero se han descrito: anorexia, fiebre vespertina, astenia, dolor abdominal, infertilidad, amenorrea, dismenorrea, leucorrea, sangrado intermenstrual y masas pélvicas. Como TBC extrapulmonar, a nivel de la vista, se han descrito alteraciones en los ojos, con un espectro muy amplio y, a nivel de la piel, está expuesto el eritema indurado de Bazin, una vasculitis nodular frecuente en mujeres edad reproductiva con hipersensibilidad al patógeno, que usualmente se observa en la parte posterior de las piernas 14. Específicamente, si se habla solo de la TBC genital, la manifestación clínica más frecuente es la distención provocada por la ascitis, mientras en los casos que se presentan fue la infertilidad.

CASO CLÍNICO 1

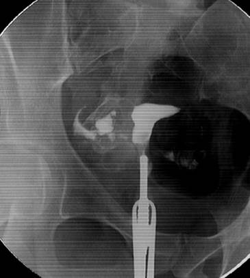
Paciente de 34 años al momento de su primera consulta de fertilidad en centro privado, con una gesta y un aborto, antecedente de legrado a los 21 años, antecedentes familiares no contributorios, e infertilidad de 3 años. La pareja masculina tenía 4 hijos mayores. Ninguna sospecha inicial de TBC. El ultrasonido transvaginal era normal. Se solicitó el plan básico de estudios para infertilidad: laboratorio, histerosalpingografía (HSG), y espermatograma. Al regresar a consulta control para evaluar todos los estudios solicitados, llamó la atención las imágenes de la HSG, destacando, en la cavidad uterina, imágenes de defecto y, en las trompas, imágenes de trompas arrosariadas con un barrido trabecular persistente durante todo el estudio que otorgan la sospecha para un importante factor tuboperitoneal, a decartar TBC, las cuales se reevaluaron con otros médicos (Figura 1).

Figura 1 imagen de histerosalpingografía de la paciente del caso 1. Se destaca la imagen arrosariada, especialmente de la trompa izquierda. El Cotte es positivo, bilateral, con barrido trabecular irregular. 

A continuación, se realizó reinterrogatorio de los antecedentes personales y familiares, negando nuevamente contactos de TBC, motivo por los cuales se insiste en la importancia de descartar TBC y se solicita resonancia magnética nuclear (RMN), con contraste y marcadores tumorales. Se realizó nuevo control, no observando en la RMN solicitada patología tumoral o adenopatías y los marcadores tumorales fueron negativos. El nuevo plan presentado a la paciente fue descartar patología genital mediante histeroscopia/ laparoscopia y toma de muestras, plan no aceptado por la paciente, quien no realiza más estudios y desaparece de la consulta. Finalmente, 6 meses después, en el seguimiento vía telefónica, la paciente comunica que realizó estudios de descarte para TBC, con Mantoux/ Ziehl Neelsen positivos y revelando el antecedente de familiar fallecido por TBC pulmonar y antecedente personal de TBC pulmonar tratada 5 años antes, que había ocultado, manteniendo control y nuevo tratamiento por el Hospital Dr. José Ignacio Baldó (El Algodonal). Actualmente, han pasado 2 años, la paciente presenta estudios de TBC negativos, pero al no tener pareja, no ha continuado el protocolo de fertilidad y tampoco ha aceptado realizar preservación de la fertilidad (vitrificación de oocitos), que forma parte de los procedimientos que se realizan de rutina en el centro de RA.

CASO CLÍNICO 2

Asiste a primera consulta de fertilidad en centro privado con 36 años, infertilidad primaria 3 años, con buena reserva ovárica. Tenía una HSG de 2 años atrás, con informe reportado como normal, Cotte bilateral positivo; los espermatogramas eran normales, motivo por los cuales la manejaron con varios ciclos de relaciones dirigidas e inseminaciones, todas negativas. Se reevaluaron minuciosamente las imágenes de esta HSG donde fue evidente la rigidez durante el estudio y la distribución irregular del contraste en cavidad, no reportadas previamente, que proporcionan la sospecha de patología tuboperitoneal (Figura 2). Se solicitaron estudios de descarte de TBC a la paciente y a su pareja, que los realizaron en el Hospital Victorino Santaella, en los Teques, con Mantoux/Ziehl Neelsen ambos, positivos. A continuación, se realizó el tratamiento de ambos miembros de la pareja para TBC con triple terapia.

Figura 2 imagen de la primera histerosalpingografía de la paciente del caso 2: de manera discreta existe rigidez de las trompas, persistentes en su posición, ligeras formas arrosariadas, especialmente trompa izquierda, con Cotte bilateral positivo como signo confusor del estudio, todo sugestivo de posible factor tuboperitoneal. 

Asistieron a reevaluación un año después, con estudios de TBC negativos postratamiento, para continuar la búsqueda de embarazo. Se realizó vaginohisteroscopia en el consultorio, el endometrio tenía apariencia normal, la cavidad lucía normal y se resecaron dos pólipos endometriales con láser. El estudio de anatomía patológica fue normal, sin ninguna sospecha de TBC (pólipos funcionales, sin células gigantes multinucleadas o granulomas ni atipias, endometrio normal). Ante la negativa de la pareja de realizar FIV de entrada, para demostrar el daño anatómico de las trompas y descartar las inseminaciones, se solicitó nueva HSG, la cual reportó: llenado de ambas trompas en forma segmentaria, con trayecto irregular y tortuoso. Trompa derecha con sactosálpinx, dilatada en el tercio distal, mostrando imagen por exceso peritubárica, compatible con fistula tubárica. La trompa izquierda tenía un trayecto tortuoso, dilatación proximal, permeable, con imagen en rosario (dilataciones en tercio medio), visible en la proyección oblicua. Cotte positivo, con retención en trompa derecha y barrido irregular. Indudablemente, la opción de inseminaciones estaba descartada y la conducta ideal era la salpingectomia, seguida de FIV.

DISCUSIÓN

López y cols. 15 publicaron el caso de una paciente de 18 años, con TBC genital asociada a infertilidad, de origen boliviano, en España. Con 2 familiares tratados con TBC en su país. Resalta la descripción a la ecografía transvaginal de trompas de Falopio engrosadas, morfología arrosariada y vascularización aumentada. Confirmaron el diagnóstico mediante Mantoux y PCR (reacción en cadena de polimerasa) positivo e identificación de bacilos ácido alcohol resistentes, en cultivos cervicovaginales, endometriales y biopsia de endometrio con reporte de endometritis crónica granulomatosa. Finalmente, la paciente recibió tratamiento con isoniazida, rifampcina, pirazinamida y etambutol. Por su parte, Navarro y cols. 16 publicaron un caso de TBC genital, en Chile, de 47 años, sintomatología abdominopélvica, con hallazgos al ultrasonido transvaginal de contenido intracavitario escaso asociado a imágenes trabeculares sugerentes de piometra con sinequias. El contenido purulento se aspiró y el reporte fue de inflamación crónica granulomatosa necrotizante, granulomas epitelioides con presencia de necrosis de tipo caseoso y células gigantes multinucleadas de tipo Langhans, con PCR y cultivos posteriores positivos. Le indicaron tratamiento con etambutol, isoniacida, pirazinamida y rifampicina durante 2 meses y pirazinamida e isonicida por 7 meses adicionales.

En la Revista de Obstetricia y Ginecología de Venezuela se presentó un caso de TBC diseminada, cuyo manejo inicial fue como cáncer de ovario metastásico, pero que, las biopsias tomadas durante la laparotomía, mostraron un proceso granulomatoso crónico, con estudio de esputo positivo para M. tuberculosis, remitiendo el cuadro totalmente con tratamiento antituberculoso posterior 17, caso muy similar al publicado por Rodríguez y cols. 1 de una paciente de 50 años, con ascitis grave y pérdida de peso, manejada como protocolo de ovario, pero cuyo análisis histopatológico arrojó TBC genital. Se llama la atención sobre este caso que ocurrió en España, que a pesar de llevar un excelente programa de control para TBC, no está exenta de tener retrasos en el diagnóstico de TBC genital.

Efectivamente, los casos clínicos que se presentan están caracterizados por retraso del diagnóstico, desconocimiento de la enfermedad, estigma social de la TBC, muy evidente en el caso 1, poco conocimiento de los ginecólogos sobre los nuevos métodos diagnósticos para TBC y donde se encuentran, ya sea a nivel privado o público. Ambos casos, provenientes de la consulta privada, tienen a la patología tubárica como causa de la infertilidad. Por tanto, el autor cree importante difundir nuevamente el conocimiento sobre TBC entre los ginecólogos, hacer énfasis en el aumento de casos generales de TBC y señalar la presencia activa de la TBC genital en la población de mujeres venezolanas.

Mediante el examen físico no es posible establecer un diagnóstico cierto de TBC genital, pero sí es factible lograrlo en determinadas circunstancias, siempre y cuando se piense en dicha enfermedad, apoyándose en estudios complementarios. Por consiguiente, el diagnóstico de la TBC genital se establece por fuerte sospecha clínica, asociando todo el espectro de los hallazgos en la historia clínica. El diagnóstico es fundamental, por comprometer seriamente la salud general, el riesgo de mortalidad y la funcionalidad del aparato reproductor. Inicialmente puede tratarse de una paciente con antecedente de TBC pulmonar, pero en otros casos, no se tienen los antecedentes personales o familiares positivos, como en los casos clínicos presentados, pero se puede sospechar de TBC a partir de pruebas que se usan en ginecología regularmente.

En el caso de la laparoscopia, clásicamente se observan 3 tipos de imágenes: miliar, nodular y las adherencias. Lo más frecuente es observar granulaciones blanquecinas a amarillentas, limitadas al útero, ovarios, peritoneo y trompas, así como las adherencias peritubáricas 12. Adicionalmente, la laparoscopia permite la toma de muestras para estudio. Otra opción es el uso de técnicas de imagen, donde a nivel pélvico se describen trompas dilatadas engrosadas, engrosamiento interno irregular, material caseoso intraductal y calcificaciones. El material caseoso emite moderada a alta señal por el contenido lipídico 18. Moreno y cols. 19 recomendaron que, en las formas extrapulmonares, el diagnóstico se apoye en técnicas de imágenes como la tomografía axial computarizada y la resonancia magnética nuclear, para aproximación diagnóstica y obtención de muestras mediante punción, así como en el aislamiento del bacilo de Koch en medio gástrico, o guiarse por punción con aguja fina de ganglios que pueden reportar necrosis caseosa sugestiva de TBC.

En pacientes con infertilidad, es muy común el uso de la HSG. Es un elemento diagnóstico extremadamente útil para los ginecólogos, pero debe ser siempre confirmado con los exámenes histológicos y bacteriológicos. Como guía inicial, se pueden usar los criterios de Klein y cols. 20 para el diagnóstico de la TBC genital por HSG: obstrucción de las trompas en la zona de transición istmo/ ampolla, nódulos linfáticos calcificados o calcificaciones nodulares en zona de anexos, constricciones múltiples a lo largo de las trompas de Falopio y, en cavidad, adherencias, deformidad u obliteración, en ausencia de legrados. Por su parte, Thangappah y cols. 21 describieron como hallazgos más característicos en la HSG, la cavidad uterina distorsionada, las trompas en rosario, la oclusión tubarica y la intravasación del contraste (linfática o vascular). Mientras Sharma y cols. 22, recientemente, en una serie de 87 casos con TBC genital, observaron con mayor frecuencia la obstrucción tubárica, trompas normales, intravasación del contraste, e hidrosálpinx, seguido de alteraciones de la cavidad uterina y, menos frecuentemente, salpingitis ístmica nodosa (engrosamiento nodular de la porción ístmica), trompas en rosario o rígidas, así como las calcificaciones. El autor añade la importancia de observar características inusuales o sospechosas de las trompas, como rectificación, rigidez o persistencia, engrosamiento, orientación vertical (debido a adherencias peritubáricas), y fistulas, así como la apariencia de cuentas en rosario o de múltiples divertículos debida a ulceración caseosa de las trompas. Finalmente, buscar imágenes extrañas de las trompas, como parecidos a palos de golf y calcificaciones, así como las características del barrido en el Cotte, si lo presenta. La mayoría se consideran alteraciones irreversibles y progresivas. Y siempre se recomienda considerar todo el perfil de la pareja, muy atentos con infertilidad prolongada sin factor masculino y buena reserva ovárica, como el caso clínico número dos. La ecografía transvaginal/ pélvica, sumada a los nuevos equipos 3D, también es de fuerte ayuda, siempre a la mano del ginecólogo, donde se pueden buscar imágenes sospechosas, como trompas de Falopio engrosadas, morfología arrosariada, vascularización aumentada, hidrosalpinx, trompas dilatadas, alteraciones en la cavidad, masas, líquido en cavidad, etc. 23. Modernamente, la vaginohisteroscopia de consultorio permite visualizar la cavidad uterina, dejar evidencia de los detalles de posibles deformaciones de la cavidad, alteraciones del endometrio y permite la toma de muestras dirigidas sospechosas para el diagnóstico, así como realizar correcciones en la cavidad para un futuro embarazo 24. Por último, se menciona que la medición de Ca125 puede ser de utilidad para ayudar en el proceso diagnóstico y en el monitoreo del tratamiento, cuando existe confusión con procesos malignos, como los casos de sospecha de cáncer de ovario presentados 25.

CONCLUSIONES

Con base a la sospecha clínica de TBC genital, se deben seleccionar los métodos recomendados previamente. En caso de no tener aún el diagnóstico de TBC, se recomienda realizar, o prueba de tuberculina o de interferón gamma. A continuación, si resulta positiva una de estas pruebas, realizar una radiografía de tórax y tomar muestras de esputo para baciloscopia y el cultivo de M. tuberculosis. Es importante siempre realizar pruebas de farmacoresistencia, a través de cultivo o mediante los nuevos equipos Xpert. A la par, pruebas más específicas del área ginecológica, como ultrasonido transvaginal, HSG, laparoscopia, e histeroscopia, con adecuada toma y manejo de las muestras tisulares y su envío al laboratorio específico. El diagnóstico de TBC genital es muy difícil de establecer y poco frecuente. Los hallazgos clínicos y radiológicos que se observan en los pacientes con TBC genital no aportan siempre datos patognomónicos que permitan su diagnóstico. Por consiguiente, es fundamental ampliar la educación de los especialistas, el reconocimiento del mayor número de casos en Venezuela y la importancia de guiarse con la intuición y una fuerte sospecha clínica. En resumen, si no se sospecha, no se diagnostica

Agradecimiento

Se agradece la revisión del documento al Dr. Jacobus H. de Waard, Director del Departamento de Tuberculosis, Instituto de Biomedicina, UCV.

REFERENCIAS

1. Rodríguez, G, Aparicio, Z, González, M, Enríquez, R. Tuberculosis genital. A propósito de un caso. Arch Med Internet (Internet). 2007 (consultado 20 de diciembre de 2024);3(6):1-7. Disponible en: https://www.redalyc.org/pdf/503/50330602.pdfLinks ]

2. Das, P, Ahuja, A, Gupta, SD. Incidence, etiopathogenesis and pathological aspects of genitourinary tuberculosis in India: A journey revisited. Indian J Urol. 2008;24(3):356 61. DOI: 10.4103/0970-1591.42618. [ Links ]

3. Efared, B, Sidibé, IS, Erregad, F, Hammas, N, Chbani, L, El Fatemi, H. Female genital tuberculosis: a clinicopathological report of 13 cases. J Surg Case Rep. 2019;2019(3):rjz083. DOI: 10.1093/jscr/rjz083. [ Links ]

4. Aure, M, Pollak, L. Mycobacterium tuberculoso y esterilidad. Rev Obstet Ginecol Venez. 1975;35:411-418. [ Links ]

5. Aure, M, Aure, T, Aure, B, Aure, C. Factores de esterilidad y/o infertilidad. Rev Obstet Ginecol Venez. 1989;49(3):127-130. [ Links ]

6. Ahmadi, F, Zafarani, F, Shahrzad, G. Hysterosalpingographic Appearances of Female Genital Tract Tuberculosis: Part II: Uterus. Int J Fertil Steril (Internet). 2014 (consultado 20 de diciembre de 2025);8(1):13-20. Disponible en: https://pmc.ncbi.nlm.nih.gov/articles/PMC3973174/Links ]

7. Malhotra, N, Sharma, V, Bahadur, A, Sharma, JB, Roy, KK, Kumar, S. The effect of tuberculosis on ovarian reserve among women undergoing IVF in India. Int J Gynaecol Obstet. 2012;117(1):40-4. DOI: 10.1016/j.ijgo.2011.10.034. [ Links ]

8. Malik, S. Genital tuberculosis and implantation in assisted reproduction. Rev Gynaecol Pract. 2003; 3(3):160-164. DOI: 10.1016/S1471-7697(03)00059-5 [ Links ]

9. SEGO. Protocolos Asistenciales en Ginecología. Protocolo 51: Tuberculosis genital femenina. Progr Obstet Ginecol (Internet). 2003 (consultado 20 de diciembre de 2025);46:523-530. Disponible en: https://www.elsevier.es/index.php?p=revista&pRevista=pdf-simple&pii=S0304501303759433&r=151Links ]

10. Caliskan, E, Cakiroglu, Y, Sofuoglu, K, Doger, E, Akar, ME, Ozkan, SO. Effects of salpingectomy and antituberculosis treatments on fertility results in patients with genital tuberculosis. J Obstet Gynaecol Res. 2014;40(10):2104-9. DOI: 10.1111/jog.12450.. [ Links ]

11. Tripathy, SN, Tripathy, SN. Infertility and pregnancy outcome in female genital tuberculosis. Int J Gynaecol Obstet. 2002;76(2):159-63. DOI: 10.1016/s00207292(01)00525-2. [ Links ]

12. Wang, Y, Shao, R, He, C, Chen, L. Emerging progress on diagnosis and treatment of female genital tuberculosis. J Int Med Res. 2021;49(5):3000605211014999. DOI: 10.1177/03000605211014999. [ Links ]

13. García-López, SJ, Pérez-Martínez, A, Chávez-Martínez, S, Sereno-Coló, JA. Tuberculosis genital y embarazo a término. Reporte de caso (Genital tuberculosis and pregnancy to term. Case report). Ginecol Obstet Mex (Internet). 2014 (consultado 20 de diciembre de 2025);82(4):261-7. Spanish. Disponible en: https://www.medigraphic.com/pdfs/ginobsmex/gom-2014/gom144h.pdfLinks ]

14. Majzoobi, MM, Akbarzadeh, S, Ebrahimi, G, Ghasemibasir, HR, Alirezaei, P. Tuberculous Uveitis, Erythema Induratum, and Persistent Genital Warts in a Female Patient: A Rare Case Report. Adv Biomed Res. 2019;8:70. DOI: 10.4103/abr.abr_154_19. [ Links ]

15. López, MA, Gómez, MT, Sánchez, JM, González, G. Tuberculosis genital: diagnóstico e implicaciones en fertilidad. A propósito de un caso. Ginecol Obstet Mex (Internet). 2017 (consultado 20 de diciembre de 2025);85(3):196-201. Disponible: https://www.scielo.org.mx/scielo.php?script=sci_arttext&pid=S0300-90412017000300196Links ]

16. Navarro, B, Sanz, R, Idrovo, F, Plaza, J, Albi, M. Endometritis tuberculosa sin foco primario y dolor pélvico crónico. Rev Chil Obstet Ginecol. 2016;81:388-392. DOI: 10.4067/S0717-75262016000500007 [ Links ]

17. Rodríguez, LA, Romero, MY, Arroyo, GE. TBC diseminada simulando cáncer de ovario avanzado. Presentación de un caso. Rev Obstet Ginecol Venez (Internet). 2018 (consultado 20 de diciembre de 2025);78(2):152-156. Disponible en: https://www.sogvzla.org/wp-content/uploads/2023/03/2018_vol78_num2_10.pdfLinks ]

18. Liang, ZY, Zou, K, Lin, TL, Dong, JK, Huang, MQ, Zhou, SM, et al. Crucial computed tomography and magnetic resonance imaging findings of fallopian tubal tuberculosis for diagnosis: a retrospective study of 26 cases. Quant Imaging Med Surg. 2024;14(2):1577-1590. DOI: 10.21037/qims-23-775. [ Links ]

19. Moreno, K, Gil, J, Yanes, A, Huaman, L. Tuberculosis Pulmonar y Extrapulmonar. Reporte de un caso. Rev Vitae (Internet). 2022 (consultado 20 de diciembre de 2025);(76). Disponible en: http://saber.ucv.ve/ojs/index. php/rev_vit/article/view/25154. [ Links ]

20. Klein, TA, Richmond, JA, Mishell, DR Jr. Pelvic tuberculosis. Obstet Gynecol. 1976;48(1):99-104. [ Links ]

21. Thangappah RB, Madhava TV, Sundaravadivelu P, Sowparnika AS, Ravichandran MR. Hysterosalpingographic findings in infertile women diagnosed with genital tuberculosis. Int J Reprod Contracept Obstetr Gynecol. 2022;11(4):1141-1144. DOI: 10.18203/2320-1770.ijrcog20220893 [ Links ]

22. Sharma, JB, Kumari, S, Jaiswal, P, Dharmendra, S, Hari, S, Singh, UB. Hysterosalpingography Observations in Female Genital Tuberculosis with Infertility. J Hum Reprod Sci. 2022;15(4):362-369. DOI: 10.4103/jhrs.jhrs_111_22. [ Links ]

23. Schaefer, G. Female genital tuberculosis. Clin Obstet Gynecol. 1976;19(1):223-39. DOI: 10.1097/00003081 197603000-00016. [ Links ]

24. Fowler, ML, Mahalingaiah, S. Case report of pelvic tuberculosis resulting in Asherman's syndrome and infertility. Fertil Res Pract. 2019;5:8. DOI: 10.1186/s40738-019-0061-0. [ Links ]

25. Huang, WC, Tseng, CW, Chang, KM, Hsu, JY, Chen, JH, Shen, GH. Usefulness of tumor marker CA-125 serum levels for the follow-up of therapeutic responses in tuberculosis patients with and without serositis. Jpn J Infect Dis. 2011;64(5):367-72. DOI:10.7883/yoken.64.367 [ Links ]

Recibido: 13 de Enero de 2025; Aprobado: 07 de Mayo de 2025

*Correo para correspondencia: ateppa@gmail.com; 04166388375.

0

El autor no declara conflictos de interés.

Creative Commons License Este es un artículo publicado en acceso abierto bajo una licencia Creative Commons