INTRODUCCIÓN
Los teratomas quísticos maduros son tumores benignos de células germinales. Son los tumores ováricos más comunes, comprendiendo entre el 10 % - 25 % de todos los casos 1. Con frecuencia cursa de forma asintomática; suele presentarse como hallazgo incidental en mujeres jóvenes que consultan por otro motivo, con edad media al diagnóstico de 35 años 2.
Tienen una tasa de malignidad muy baja, en comparación con los teratomas inmaduros. Se ha demostrado que son bilaterales alrededor del 10 % de las veces, con transformación maligna en el 0,06 % al 2 % de los casos. La torsión es la complicación más común, cuya tasa aumenta en dependencia con el tamaño de la tumoración 2,3,4,5. Sin embargo, la formación de fistulas a órganos vecinos es una complicación rara. Estos quistes pueden formar una comunicación fistulosa con la vejiga urinaria y el intestino delgado y grueso 6,7.
En los últimos años, el diagnóstico ecográfico transvaginal de los teratomas quísticos maduros junto con el abordaje laparoscópico ha mejorado enormemente el tratamiento de esta lesión benigna 2,8.
CASO CLÍNICO
Paciente de 31 años de edad, quien consultó por presentar dolor pélvico crónico y pilimicción de 1 año de evolución. Como antecedente refirió infecciones urinarias a repetición. Negó intervenciones quirúrgicas previas. Entre los antecedentes gineco-obstétricos se encontró: menarquia: 13 años, ciclos menstruales: regulares, 30/4 días, sangrado moderado, uso de 3 toallas/día con dismenorrea. Sexualidad: heterosexual, negó dispareunia o sinusorragia. Anticoncepción: anticonceptivos orales combinados (etinilestradiol/ acetato de clormadinona) por dos meses (noviembre de 2022). Citología: en 2023, negativa. Nuligesta.
En la exploración física, los hallazgos pertinentes en el tacto bimanual: vagina normotérmica, normotónica, cérvix renitente, de bordes lisos y regulares no doloroso a la movilización. Útero en anteversoflexión, intrapélvico, en fondo de saco vesico-uterino, se palpó tumoración móvil, redondeada de bordes regulares, a 3 cm de la sínfisis del pubis, de 8 x 5 cm, aproximadamente.
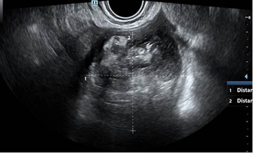
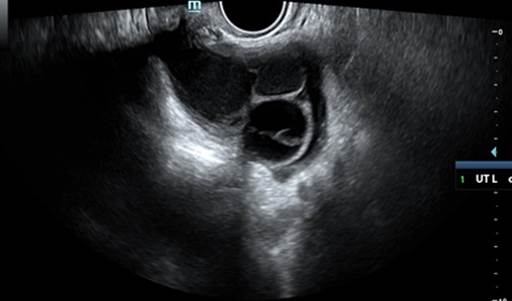
La evaluación ecográfica reportó el útero sin patología. En ovario derecho: se evidenció imagen ecomixta, predominantemente sólida, redondeada, de bordes regulares de 67 x 64 mm, con áreas hiperecogénicas centrales (Figura 1), score doppler 2, sugestiva de teratoma. En ovario izquierdo: se evidenció imagen multilocular ovalada, anecoica (vidrio esmerilado), con tabique completo de 2 mm, paredes internas lisas, bordes regulares, de 67 x 42 mm (Figura 2), score doppler 1.

Figura 1 Ovario derecho con imagen ecomixta, predominantemente sólida, redondeada, bordes regulares de 67 x 64 mm.

Figura 2 Ovario izquierdo con imagen multilocular ovalada, anecoico (vidrio esmerilado), tabique completo de 2mm, de dimensiones 50 x 42mm.
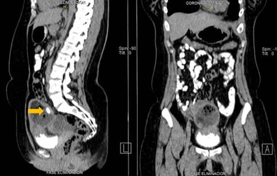
La tomografía axial computarizada (TAC) abdomino pélvica con doble contraste reportó, lesión ocupante de espacio (LOE) parauterina derecha, densidad heterogénea de 7,5 x 6,1 cm, con presencia de imágenes de densidad grasa, densidad de partes blandas y una imagen calcificada en su interior (Figura 3). Además, reportó LOE a nivel anexial izquierdo de aspecto quístico, de rango líquido, tabicada, con paredes delgadas, tamaño aproximado 5,7 x 4,8 cm (Figura 4).
TERATOMA QUÍSTICO MADURO CON FISTULA VESICAL: UNA COMPLICACIÓN EXCEPCIONAL

Figura 3 Tomografía axial computarizada en corte sagital y coronal donde muestra lesión ocupante de espacio parauterina derecha, con presencia de imágenes de densidad grasa, densidad de partes blandas y una imagen calcificada en su interior (flecha).

Figura 4 Tomografía axial computarizada en corte sagital y coronal donde muestra lesión ocupante de a nivel anexial izquierdo de aspecto quístico, de rango líquido, tabicada, con paredes delgadas (flecha).
Se realizó evaluación conjunta con el servicio de urología, quienes realizaron cistoscopia, donde se describió lesión eritematosa en techo con vellos y grumos, concluyendo como tumor de ovario (teratoma) que infiltra a vejiga.
Se realizó exploración laparoscópica, con abordaje de 4 puertos, constatando los siguientes hallazgos: tumor de ovario derecho de aproximadamente 7 x 6 cm, cuya cara anterior estaba en relación con la vejiga (Figura 5). Superficie peritoneal con edema, eritema y aumento de la vascularización. Además de tumoración quística en ovario izquierdo de aproximadamente 5 x 4 mm.
Posterior a adherensiólisis, se evidenció solución de continuidad en comunicación con vejiga, que permitió la aspiración del contenido del sugestivo teratoma (Figura 6). Se realizó ooforosalgingectomía derecha con extracción de la lesión in bag a través de puerto de 10 mm; cistectomía parcial y reparación de vejiga (Figura 7). Se realizó tumerectomía de lesión en ovario izquierdo, con rotura y evidencia de salida de contenido achocolatado, extrayendo la cápsula de la misma (Figura 8).
La paciente evolucionó satisfactoriamente, y egresó a los 7 días. El diagnóstico histopatológico final reportó teratoma quístico maduro sin hallazgos de malignidad.
DISCUSIÓN
Los teratomas quísticos maduros, también llamados quistes dermoides, son un tipo de tumor de células germinales que comprende tejidos bien diferenciados y tres capas de células germinales: ectodermo, mesodermo y endodermo. La palabra “teratoma” se deriva de la palabra griega “teraton” que significa monstruo y el término “quiste dermoide” fue acuñado por Leblanc en 1831. Después de los teratomas sacrococcígeos (57 %), los teratomas de gónadas (29 %) son los más frecuentes, por lo que se consideran el segundo sitio más común 9. Son las neoplasias de ovario más comunes y representan del 10 % al 25 % de todos los tumores de ovario y casi el 60 % de las neoplasias de ovario benignas en todos los grupos de edad 1,2.
Tienen una tasa de malignidad muy baja, en comparación con los teratomas inmaduros. Se ha demostrado que son bilaterales en alrededor del 10 % de las veces, con transformación maligna en el 0,06 % al 2 % de los casos 2. Los teratomas no complicados suelen ser asintomáticos y son relativamente fáciles de diagnosticar mediante imágenes y de tratar. Los síntomas se desarrollan una vez que aparecen las complicaciones y estas pueden causar dilemas diagnósticos. La torsión (16 %) es la complicación más común. Otras complicaciones poco frecuentes incluyen rotura del tumor (1 % a 4 %), infección (1 %), invasión de vísceras adyacentes (< 1 %) y, muy raramente, anemia hemolítica autoinmune y síndrome paraneoplásico 5.
La invasión y rotura del tumor puede afectar estructuras pélvicas y abdominales adyacentes, más comúnmente la formación de fistulas a la vejiga urinaria, expresada en su síntoma patognomónico como lo es la pilimicción 10. También hay informes de casos de afectación del recto, vagina, intestino delgado, colon sigmoide, pared abdominal anterior y cavidad peritoneal 6,7,11,12,13.
Se han descrito mecanismos que parecen influir en la patogénesis de la formación de fístulas como lo son: ruptura o perforación del quiste, fuga del contenido que causa una densa adhesión entre el quiste y los órganos circundantes, alteración en la circulación de las paredes de estas estructuras debido a la necrosis e inflamación resultantes, y por último la formación de fístulas en las paredes de estas estructuras. Además, han mencionado que la ruptura o perforación del quiste probablemente sea causada por trastornos circulatorios o infección debido a factores como torsión parcial, transformación maligna y compresión crónica 14,15.
La proximidad anatómica de la vejiga urinaria a los ovarios la hace vulnerable a la afectación directa por tumores de origen ovárico. La presentación clínica de este raro fenómeno depende del grado de afectación de la vejiga y de la naturaleza biológica del tumor 7.
El diagnóstico puede sospecharse por la presentación clínica, apoyado de estudios de imagen como el ultrasonido y tomografía computarizada, esta última demuestra explícitamente grasa y calcificaciones, así como la invasión de la vejiga puede verse claramente como una fístula.
El manejo expectante con una ecografía de seguimiento puede ser apropiado en los teratomas maduros asintomáticos. Sin embargo, si se asocia con torsión, dolor o rotura que conduce a peritonitis química (3 % a 7 %), puede ser necesario un tratamiento quirúrgico. Por lo tanto, el tratamiento depende más de sus síntomas y hallazgos clínicos que del riesgo muy pequeño de malignidad real 8.
La laparoscopia representa la mejor opción de abordaje quirúrgico por su menor invasividad, menor dolor posoperatorio y hospitalización más corta. La cirugía de ovario es uno de los procedimientos laparoscópicos realizados con mayor frecuencia en la práctica habitual 8,16.
La mayoría de los casos de teratoma de ovario se pueden tratar por vía laparoscópica, lo que se asocia con una menor tasa de complicaciones quirúrgicas. A pesar del mayor riesgo de derrame del quiste con un abordaje mínimamente invasivo, la peritonitis química es una complicación poco común que, generalmente, con el uso de una bolsa endoscópica para extraer la muestra, se disminuye el riesgo teórico de esta 2.
CONCLUSIONES
Este caso representa una complicación rara del teratoma ovárico. Aunque es muy raro como síntoma de presentación, la pilimición es un signo patognomónico de teratomas vesicales primarios o secundarios. Por lo tanto, se requiere un alto índice de sospecha en pacientes con teratoma ovárico que presentan molestias urinarias. Debe realizarse una evaluación exhaustiva de las posibles causas y con la debida atención para evitar un tratamiento excesivo. El abordaje laparoscópico es la mejor alternativa para la resolución quirúrgica de esta entidad


















