INTRODUCCIÓN
La endometriosis es una de las patologías benignas más frecuentes en ginecología, se define como la presencia de tejido endometrial implantado en localizaciones fuera de la cavidad uterina 1. La prevalencia de endometriosis está entre el 6 % y 10 % de la población femenina, principalmente en mujeres en edad reproductiva 2. Dependiendo de dónde se encuentren dichas implantaciones, la endometriosis se puede definir como endopélvica o extrapélvica 3.
La endometriosis cutánea representa el 1 % de los casos de endometriosis y se define como la presencia de glándulas o estroma endometrial en la piel 4. Es un hallazgo poco común, y frecuentemente aparece en cicatrices de cirugías abdominales como cesáreas o cualquier cirugía de pared abdominal 5.
CASOS CLÍNICOS
Se realizó un estudio retrospectivo descriptivo desde el 1 de enero de 2021 hasta el 31 de diciembre de 2023, siendo 4 las pacientes intervenidas en la unidad de cirugía mayor ambulatoria (CMA) de las tumoraciones de partes blandas, con diagnóstico de endometriosis cutánea, siendo el objetivo de este estudio. La edad media de las pacientes fue de 40 años, con un rango entre 37 y 44 años. A continuación, se presentan los casos.
Caso clínico 1
El primer caso corresponde con una mujer de 41 años con antecedentes de endometriosis ovárica en tratamiento con dienogest 2 mg y etinilestradiol 0,03 mg. La paciente acudió a consulta por aparición de hernia supraumbilical y tumoración abdominal. Como antecedentes quirúrgicos, había sido intervenida de herniorrafía umbilical, cesárea y dehiscencia de los músculos rectos. A la exploración, presentaba una pequeña tumoración epigástrica con maniobra de Valsalva, compatible con hernia subcentimétrica, completamente reductible, no dolorosa. Por otro lado, había un nódulo de 2 cm, superficial, en pared abdominal a nivel de la fosa ilíaca izquierda, móvil, doloroso, compatible con foco de endometriosis justo en el borde izquierdo de cicatriz de una cesárea anterior.
Se realizó ecografía y tomografía computarizada (TC) en Valsalva, donde se apreció pequeño saco herniario supraumbilical de 1,1 cm, sin más defectos fasciales ni sacos. En el tejido celular subcutáneo de la región inguinal izquierda, se observó un nódulo hiperdenso de 2 cm que se definió como foco de endometriosis en pared. Los ovarios eran globulosos por endometriomas (Figura 1).
Se decidió tratamiento quirúrgico con realización de hernioplastia supraumbilical y exéresis del nódulo cutáneo de 2 cm en borde izquierdo de la cicatriz de la cesárea. Se envió la pieza a anatomía patológica para estudio histopatológico que reportó tejido fibroadiposo con fascículos nerviosos y estructuras vasculares con focos de mucosa y glándulas endometriales.

Figura 1: Ecografía en modo B y ecografía power-doppler. A) En el tejido celular subcutáneo de la pared abdominal, ligeramente por encima del ligamento inguinal izquierdo y adyacente a la cicatriz de cesárea previa, se visualiza un nódulo de ecogenicidad heterogénea, predominantemente hipoecoico, de contorno irregular. B) Presenta aumento de vascularización en doppler, con vasos con flujo de alta resistencia en doppler pulsado.
Caso clínico 2
El segundo caso corresponde a una mujer de 44 años con antecedente de anticoagulación y alergia a ácido acetilsalicílico. Como antecedentes quirúrgicos, había presentado apendicitis y cesárea. Acudió a consulta por aparición de una tumoración abdominal desde hacía unos meses, con sensación de aumento de tamaño y refiere que desde su aparición molesta más con la menstruación. A la exploración, no se apreció salida de material purulento.
La lesión nodular era de 1,5 cm x 1,5 cm, de consistencia gomosa, hiperpigmentada y dolorosa. De forma subyacente se palpó hernia infraumbilical pequeña, no complicada y profunda, de 1 cm, dolorosa; además presentaba diástasis de los músculos rectos del abdomen.
Se intervino quirúrgicamente con exéresis del nódulo umbilical bajo anestesia general, realizándose finalmente onfalectomía por imposibilidad de disecar la tumoración, separándola de la piel. También se realizó hernioplastia umbilical. La pieza se envió a anatomía patológica para estudio histopatológico, que reportó fragmento de piel umbilical en cuyo interior se identificó presencia de estroma endometrial hemorrágico sin atipia.
Caso clínico 3
El tercer caso corresponde con una mujer de 40 años, con antecedente de asma bronquial para la que se encuentra en tratamiento activo. Como antecedente quirúrgico solo refirió que ha sido intervenida por cesárea. Acudió a consulta por aparición de tumoración dolorosa de un mes de evolución, sin referir supuración. A la exploración, presentaba una tumoración dura de 5 cm x 2 cm, en región suprapúbica, no móvil, no propulsa con Valsalva, dolorosa a la palpación, en el borde de cicatriz de cesárea. Además, también presentaba eventración infraumbilical y diástasis de los músculos rectos.
Se le realizó una ecografía en la que la lesión parecía depender de la pared. También se realizó tomografía axial computarizada que informó lesión con afectación de grasa subcutánea y del músculo recto anterior izquierdo, de bordes irregulares, de 5 cm x 3 cm x 3 cm, con densidades basales de partes blandas y con realce positivo. Ante los hallazgos se planteó posible diagnóstico de endometriosis, sin poder descartar tumor de otro tipo (Figura 2).
Se decidió realizar hernioplastia tipo Rives y exéresis de tumoración de pared que se remitió a anatomía patológica para su estudio histopatológico, el cual reportó nódulo constituido por tejido fibroso entremezclado con estroma y glándulas de tipo endometrial.
Caso clínico 4
El último caso correspondió con una mujer de 37 años, con antecedentes de hipotiroidismo, en tratamiento con levotiroxina, y asma bronquial, en tratamiento con inhalador de salbutamol. Refirió dolor pélvico localizado en hipogastrio en relación con síndrome menstrual de años de evolución. Quirúrgicamente, ha sido intervenida por una cesárea y fibroadenoma de mama derecha. La paciente acudió a consulta por aparición de nódulo abdominal en el borde de cicatriz de cesárea, refiriendo dolor que se acentuaba con la menstruación.
A la exploración presentaba una tumoración en fosa iliaca derecha pequeña, muy dolorosa y profunda, de unos 2 cm de diámetro. Se decidió realizar biopsia de la lesión con resultados de tejido endometrial en la misma, por lo que se realizó exéresis con márgenes del nódulo, enviándose pieza a anatomía patológica para su estudio histopatológico, el cual reportó tejido fibroadiposo junto con glándulas y estroma de morfología endometrial.
DISCUSIÓN
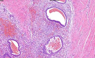
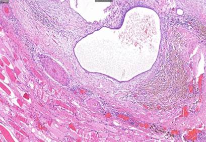
Respecto al caso 1, tras el análisis de la lesión, la descripción macroscópica coincide con un nódulo de tejido adiposo de 2 cm x 2cm que presenta áreas blanquecinas y otras rojizas al corte. Mientras que microscópicamente se describe como tejido fibroadiposo que incluye algunos fascículos nerviosos y estructuras vasculares, con numerosos focos de mucosa endometrial con glándulas focalmente dilatadas rodeadas por estroma celular y compacto. El diagnóstico final fue endometriosis subcutánea en relación con cicatriz de cesárea. Respecto a los resultados macroscópicos y microscópicos de los casos 2, 3 y 4, la conclusión respecto a su análisis acaba siendo, en todos los casos, lesiones nodulares de consistencia firme, de tamaños 2,5 cm x 2 cm; 6 cm x 6 cm, y 4 cm x 4 cm, respectivamente; con diagnóstico final de endometriosis cutánea, encontrándose tejido y estroma endometrial y glándulas, además de tejido hemorrágico, fibroso y adiposo (Figuras 3, 4, 5).

Figura 4 HE 21x. Glándulas endometriales dilatadas, revestidas por epitelio cilíndrico, que contienen material hemático en su interior. También se observa material hemático extravasado en el estroma circundante.

Figura 5 HE 10x. Tejido de músculo estriado (esquina inferior izquierda) próximo a glándulas endometriales dilatadas con material hemático en su interior (centro) y a histiocitos con hemosiderina (margen derecho).
Como resumen de las características y descripción de los resultados de los casos, se ha desarrollado el cuadro 1, donde se clasifica y describe cada uno de ellos.
La endometriosis es una condición crónica, benigna y neuroinflamatoria muy frecuente en ginecología, y se define como la presencia de tejido endometrial implantado en localizaciones fuera de la cavidad uterina, siendo una enfermedad estrógeno-dependiente y con gran variedad de manifestaciones clínicas 1,6.
La prevalencia de endometriosis se refleja entre un 6 % y 10 % de la población femenina, principalmente mujeres en edad reproductiva 2.
La mayor parte de diagnósticos de endometriosis son los de implantación endopélvica, pudiendo aparecen en el peritoneo pélvico (80 % de los casos), ovarios, ligamentos uterinos, pelvis o trompas de Falopio 7,8. Pero las lesiones de endometriosis también pueden aparecer con implantaciones extrapélvicas, mucho menos frecuentes, y que pueden aparecen en los órganos abdominales, pared abdominal, diafragma, pleura, tracto digestivo y urinario, incluso en mucosa nasal 1,8. Hoy en día, no se ha encontrado una clara relación entre mujeres que presentan implantes de endometriosis extrapélvica con el diagnóstico previo de endometriosis o existencia previa de endometriosis pélvica. Sin ir más lejos, de los 4 casos, solo una de las mujeres resultó estar diagnosticada de endometriosis y tomar medicación por ello. Por lo tanto, sería lógico realizar una evaluación ginecológica completa a aquellas mujeres con hallazgo de endometriosis extrapélvica 4.
La etiología exacta de la enfermedad sigue siendo desconocida, y aunque se han desarrollado varias teorías para justificar la etiopatogenia de la endometriosis, la evidencia demuestra que están involucrados diversos procesos genéticos, epigenéticos, mecanismos inmunológicos y angiogénicos tanto en el desarrollo como la progresión de la enfermedad. Hoy en día, la teoría de la menstruación retrógrada de Sampson sigue siendo la más aceptada hasta la fecha 6,9 la cual explica que durante la menstruación las células endometriales fluyen retrógradamente a través de las trompas de Falopio hasta llegar a la cavidad peritoneal 2.
Respecto a la endometriosis cutánea, representa el 1 % de los casos de endometriosis y se define como la presencia de glándulas o estroma endometrial en la superficie cutánea 4. En general, es un hallazgo poco común. La endometriosis cutánea se clasifica en primaria (aparece sin historia quirúrgica previa), la cual es muy infrecuente 2; o secundaria siendo esta más de 70 % de los casos 1, apareciendo frecuentemente en cicatrices de cirugías abdominales como cesáreas o cualquier otra cirugía 5. Habitualmente se presenta como un pequeño nódulo, firme, de coloración violácea, dependiendo de la profundidad de la lesión, y no mayor de 3 cm de diámetro 3.
La endometriosis cutánea es especialmente frecuente en la zona umbilical (30 % - 40 %) 10. Como en el segundo caso, justo a este nivel. La patogenia de la endometriosis primaria sigue siendo desconocida, barajando diferentes teorías, como la de los restos embrionarios, la menstruación retrógrada ya mencionada, la teoría de metaplasia celómica, y la teoría de la patogénesis migratoria y proliferación celular. En caso de las endometriosis secundarias, la etiología y patogenia más comúnmente aceptada es la implantación de células endometriales tras una cirugía abdominal (tanto abierta como por laparoscopia) 3, o procedimientos invasivos del útero, como puede ser una amniocentesis, a través de diseminación vascular o linfática, metaplasia, etc. 1. Respecto a los casos que se presentan en este estudio, las 4 pacientes habían presentado cesárea previa a la aparición del nódulo cutáneo, formado años o meses después de la misma.
La clínica comprende dolor abdominal intenso, distensión abdominal, náuseas, que normalmente empeoran con la menstruación 2. Una de las características clínicas más frecuentes de la endometriosis es la dismenorrea, siendo la causa más frecuente de dismenorrea secundaria 3, que se puede acompañar de dolor pélvico profundo agudo o crónico y dispareunia 4. En caso de endometriosis cutánea, la paciente puede presentar edema, dolor y aumento de la sensibilidad en la zona en la que se encuentra el tejido ectópico en la piel, pese a ello la mayoría de los casos suelen ser asintomáticos y casos únicos 2,11. En los casos presentados, las pacientes acudieron a consulta por aparición de una tumoración que en cuestión de meses había aumentado de tamaño, y en dos de los casos, las pacientes referían que, pese a sentir una continua molestia en la zona donde estaba la tumoración, aumentaba el dolor en los días de menstruación.
Aunque el diagnóstico es histopatológico, la ecografía puede ayudar a descartar fístula o hernia además de definir el tamaño, localización, y la extensión si la lesión no es superficial 1. En dos de los casos se realizaron ecografías, en uno para ver si la lesión dependía de la pared o era más profunda, y en otro para realizar la biopsia del nódulo. Además, entrarían en juego una gran serie de diagnósticos diferenciales como queloides, dermatofibromas, abscesos, lipomas, hernias, tumoraciones cutáneas benignas incluso malignas. Por todo ello, es necesario analizar la pieza en estudio 1,4. Es necesaria la histología de la lesión, que demuestre glándulas o estroma endometrial con epitelio cilíndrico que normalmente se acompaña de tejido inflamatorio y hemorrágico que rodea al tejido fibroso de la lesión 1,11. En todos casos, las pacientes fueron tratadas bajo la misma elección y analizadas las muestras enviadas a anatomía patológica, con diagnósticos finales de endometriosis cutáneas, presentando tejido y glándulas endometriales. Respecto al caso 4, se realizó antes de la exéresis de la lesión una biopsia de la misma, dando esta ya como resultado tejido endometrial.
El tratamiento de la endometriosis cutánea es la exéresis de la lesión con márgenes estrechos. La técnica de exéresis que se utilice dependerá del tamaño y extensión de la lesión y su localización en la pared abdominal 11. En los casos presentados, la exéresis con márgenes estrechos fue la elección, a excepción del caso dos, en el que, por imposibilidad de retirar solo la lesión porque estaba unida estrechamente a la piel del ombligo, fue preciso realizar una onfalectomía para retirar la lesión. Se puede valorar la necesidad de incluir tratamientos hormonales como agonistas hormonales o anticonceptivos, antes de la cirugía para disminuir el tamaño de la lesión 1,5.
CONCLUSIONES
La endometriosis cutánea es un tipo de endometriosis poco frecuente, no por ello poco importante. Aparece con más frecuencia de forma secundaria a intervenciones quirúrgicas abdominales, destacando haber presentado cesárea previa, por lo que es importante preguntar por antecedentes obstétricos a mujeres con aparición de nódulos abdominales. No es necesario que la paciente que presenta endometriosis cutánea haya presentado clínica o diagnóstico previo de endometriosis, aunque una vez diagnosticada la endometriosis cutánea, vendría bien, en caso de no tenerlo, un estudio ginecológico. Además, ante la aparición de un nódulo o tumoración abdominal, es necesario realizar un diagnóstico diferencial ante distintos posibles diagnósticos antes de sospechar endometriosis cutánea, siendo finalmente la inmunohistoquímica tras analizar la pieza lo que da el diagnóstico real. La ecografía u otra prueba de imagen puede ayudar en el diagnóstico. Respecto al tratamiento, la exéresis de esta es la principal solución.

















