INTRODUCCIÓN
Los defectos müllerianos representan un amplio espectro de anomalías que incluyen agenesia o duplicación uterina y vaginal, así como anomalías uterinas menores que ocurren en aproximadamente el 7 % de las mujeres en edad reproductiva, asociándose el 40 % a anomalías renales. La combinación de útero didelfo, hemivagina obstruida y aplasia renal ipsilateral es una entidad rara 1.
El término OHVIRA (Obstructed Hemivagina and Ipsilateral Renal Anomaly) fue sugerido por Smith y Laufer 2, en 2007, para describir la asociación entre anomalías uterinas obstructivas y renales como displasia o atrofia renal, riñón pélvico y uréter ectópico. La incidencia de este síndrome es desconocida, pero se estima entre un 0,1 % - 3,5 % de todas las malformaciones müllerianas 3,4. La asociación de estos tres componentes es secundaria a una anomalía en el desarrollo embriológico causada por la proximidad de las estructuras derivadas del primordio mesonéfrico (conducto de Wolf) y el primordio paramesonéfrico (conducto de Müller) 3.
Su origen embriológico es complejo, implica el desarrollo anormal de estructuras genitourinarias durante las etapas iniciales del desarrollo fetal. El daño al desarrollo de las estructuras müllerianas puede ser el resultado de una herencia poligenética y multifactorial. Los estudios de análisis de parentesco han sugerido que hay un aumento de 12 veces en el número de parientes de primer grado de personas afectadas con anomalías müllerianas 5. La teoría clásica del desarrollo de los órganos reproductores femeninos explica el desarrollo del útero, las trompas de Falopio y el tercio superior de la vagina a partir del conducto mülleriano/paramesonéfrico, y los dos tercios inferiores de la vagina a partir del seno urogenital. Sin embargo, según esta teoría, las complejas malformaciones uterovaginales asociadas con la malformación renal de OHVIRA no se explican completamente 6.
Durante la embriogénesis, el tercio superior de la vagina se desarrolla a partir de dos sistemas müllerianos que se fusionan para formar una sola estructura. Las anomalías en este proceso de fusión pueden resultar en obstrucciones o malformaciones en la vagina, lo que puede llevar a la acumulación de sangre en la cavidad vaginal (hematocolpos). La anomalía renal ipsilateral puede estar relacionada con defectos en la diferenciación de los riñones durante el desarrollo embrionario. La interacción entre las vías urinarias y los conductos genitales puede resultar en malformaciones concurrentes en ambos sistemas, lo que se observa en esta condición. Según describen Sharma y cols. 6, en 1992, Acien propuso una hipótesis embriológica para OHVIRA donde describe que una falla temprana en el desarrollo del divertículo metanéfrico (alrededor de 5 semanas) a partir del conducto mesonéfrico da como resultado agenesia de la yema ureteral, lo que conduce a agenesia del uréter y el riñón ipsilaterales y por su función inductora habrá malformaciones uterinas asociadas 7.
En resumen, este conjunto de malformaciones sugiere una interrupción en la secuencia normal de eventos durante la embriogénesis, donde principalmente ocurre falla en el desarrollo de los conductos de Müller ocasionando alteración en la organogénesis, fusión y resorción del tabique uterino, que resulta en la presentación clínica característica de este síndrome.
La European Society of Human Reproduction and Embryology (ESHRE) y la European Society for Gynaecological Endoscopy (ESGE), en 2013, publicaron un consenso de clasificación de las malformaciones genitales femeninas, basada en la anatomía, en la que se incluyen malformaciones del cuello uterino y de la vagina en forma independiente, describiéndose esta entidad como U3b C2 V2 8.
En 2021, la Sociedad Americana de Fertilidad (ASRM) publicó un nuevo consenso en el que se estandariza la nomenclatura, se amplía el espectro de las anomalías y se simplifica la clasificación. Incluye en cada categoría sus variantes, anomalías con presentación similar y la forma de presentación de estas, considerando los síntomas, los hallazgos en la exploración física y los diagnósticos diferenciales, las imágenes y las alternativas de tratamiento. Según este consenso, OHVIRA estaría englobado en el apartado de “úteros didelfos”, específicamente descrito como útero didelfo con hemivagina obstruida 8.
La presentación habitual es durante la adolescencia con dolor pélvico progresivo, dismenorrea y alteraciones menstruales, aunque estas últimas pueden estar ausentes si la obstrucción es incompleta. Sin embargo, en los últimos años a raíz del mejor conocimiento, existe mayor número de casos diagnosticados a edad temprana, sospechándose en aquellos pacientes con anomalías renales 9.
El diagnóstico se realiza mediante examen físico y estudios de imagenología pélvica y renal 9. La cavidad uterina puede estudiarse mediante histeroscopia e histerosalpingografía. El fondo uterino, mediante laparoscopia y laparotomía. Solo la resonancia magnética (RM) y el ultrasonido 3D son capaces de evaluar simultáneamente la cavidad y el fondo uterino 10.
A pesar de su alta especificidad y precisión, la laparoscopia es un procedimiento invasivo con potencial morbilidad, lo que dificulta justificar su uso únicamente con fines diagnósticos. La RM es una técnica de imagen no invasiva para el diagnóstico de anomalías uterinas, sin embargo, es costosa, requiere mucho tiempo y no está ampliamente disponible. La ecografía 3D ha demostrado ser una herramienta muy eficaz para el diagnóstico de anomalías uterinas. Su principal ventaja es la posibilidad de obtener una vista coronal del útero, algo imposible con la ecografía 2D debido a la pelvis ósea. Esta vista delinea claramente el contorno externo del útero y proporciona información precisa sobre la forma de la cavidad 11.
La histeroscopia es un procedimiento que aprovecha el canal endocervical como vía de acceso natural a la cavidad uterina, ventaja única para la visualización directa en el diagnóstico y tratamiento de patologías, disminuyendo el riesgo de resoluciones parciales o inadecuadas 12. La vagino-histeroscopia se ha identificado como una herramienta valiosa en el manejo de los casos de OHVIRA, permitiendo la resolución quirúrgica mediante resección del tabique vaginal, con un abordaje vaginoscópico. La resección por vía histeroscópica mediante el uso de un resectoscopio, otorga un resultado exitoso, logrando corregir totalmente la permeabilidad vaginal a través de un procedimiento sencillo, con mejoría de la sintomatología de la paciente, y sin complicaciones 13.
Se presentan tres casos, evaluados en conjunto entre la unidad de ginecología de mínima invasión y disfunción del piso pélvico del servicio de ginecología y el servicio de ginecología infanto-juvenil, del Hospital General del Este Dr. Domingo Luciani, para garantizar el manejo multidisciplinario.
CASO 1
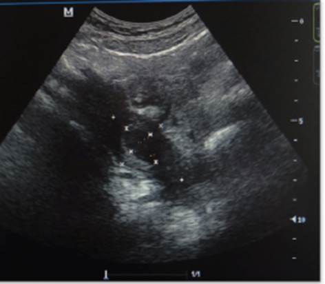
Se trata de escolar femenina de 9 años de edad, con diagnóstico de malformación ano rectal (ano anterior), que ameritó anorectoplastia sagital posterior a los 2 años, y agenesia renal derecha documentada a los 7 años. Acudió por dolor pélvico intenso un mes posmenarquia, asociado a sangrado genital escaso, al examen físico, el abdomen estaba doloroso a predominio en hipogastrio, la membrana himeneal era anular y la vagina estaba permeable. El ultrasonido pélvico transabdominal 2D y 3D, mostró evidencia de útero doble, el útero derecho y la hemivagina derecha (no comunicante) con hematómetra y hematocolpos; el útero izquierdo de aspecto normal (Figuras 1, 2 y 3).
CASO 2
Escolar femenina de 10 años, con antecedente de agenesia renal derecha diagnosticada antenatalmente, quien manifestó dolor pélvico de fuerte intensidad, no asociado a la menarquia. Al examen físico, el abdomen estaba doloroso en hipogastrio y fosa ilíaca derecha, el himen era anular, la vagina estaba permeable. Se practicó ultrasonido pélvico transbadominal 2D y 3D en el cual se apreció el útero doble: el útero derecho con imagen anecoica en su interior, el útero izquierdo de aspecto normal, sin colecciones vaginales (Figura 4).
CASO 3
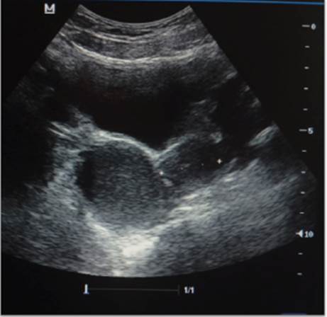
Escolar femenina de 11 años de edad, quien refirió menarquia a los 10 años y 6 meses, conocida con diagnóstico de agenesia renal izquierda, quien consultó por dismenorrea intensa. Al examen físico, en el abdomen había dolor en hipogastrio, el himen era anular, la vagina estaba permeable. En el ultrasonido 2D y 3D se apreció la presencia de útero doble: el útero izquierdo y la hemivagina izquierda (no comunicante) con hematómetra y hematocolpos, el útero derecho de aspecto normal (Figura 5).

Figura 5 Ecografía 2D. Paciente del caso número 3. Hemiútero izquierdo y hemivagina izquierda no comunicantes con hematómetra y hematocolpo.
Se estableció el siguiente protocolo para los tres casos:
Explicación detallada y didáctica de los hallazgos a la evaluación y del procedimiento a los representantes.
Cosentimiento escrito de los representantes de las pacientes, donde se detalló el siguiente plan de trabajo: Bajo sedación anestésica, realizar vaginohisteroscopia diagnóstica, resección de tabique vaginal, drenaje y evaluación de anatomía de cérvix y hemiúteros.
Procedimiento:
En el área quirúrgica, bajo sedación inhalatoria, en posición de litotomía, asepsia y antisepsia más vaciamiento vesical con sonda de Foley:
Con el uso del set de histeroscopia tipo Bettocchi, óptica de visión foroblicua Hopkins® II 30º, se realizó tiempo vaginal con visualización del tabique oblicuo derecho o izquierdo dependiendo del caso; con respecto al hemiútero no obstruido se pudo apreciar tiempo cervical normal, tiempo uterino con visualización de cavidades cilíndricas, patrón histeroscópico endometrial según el día del ciclo, ostium visibles (Figura 6).
Posteriormente, con el uso del miniresectoscopio de 18 Fr y asa de Collins, energía bipolar, óptica de visión foroblicua Hopkins® II 12º, en el tiempo vaginal, se procedió a realizar resección de proximal a caudal de tabique, tomando muestras para biopsia, drenaje de cavidades, lavado e inspección de cérvix y evaluación de morfología uterina interna, cavidad aumentada de tamaño con revestimiento endometrial edematizado y ostium visible (Figura 7).

Figura 7 Vaginohisteroscopia quirúrgica. Paciente caso 1. Resección del tabique vaginal derecho, drenaje de hematocolpo y hematómetra.
En todos los casos, la evolución fue satisfactoria, egresando luego de la recuperación anestésica. Han permanecido asintomáticas hasta la actualidad, con evaluaciones posoperatorias a los 15 días, al mes, a los tres y a los seis meses, sin evidencia de colecciones intrauterinas a la ecografía control. En cuanto al estudio de anatomía patológica, reportaron fragmentos de pared vaginal con estructuras glandulares de aspecto Mulleriano sin atipias.
DISCUSIÓN
El diagnóstico de OHVIRA en la edad prepuberal es difícil ya que la gran mayoría son asintomáticas, no habiendo informes en la literatura sobre la detección prenatal. Según Han y cols. 14, el diagnóstico de esta patología se realiza con mayor frecuencia durante la adolescencia (10 - 14 años) concordando con los casos clínicos presentados anteriormente, cuya edad varió de los 9 a 11 años de edad. Adicionalmente, se sospecha en niñas con historia conocida de alguna patología renal previa a la menarquia, dada su alta asociación con anomalías müllerianas 9.
Al igual que en el trabajo presentado por Pérez y cols. 3, el síntoma principal es el dolor cíclico secundario a la obstrucción vaginal que aparece tras la menarquia.
Por otra parte, el ultrasonido 3D es una técnica que tiene un alto grado de concordancia con la resonancia magnética en el diagnóstico de malformaciones müllerianas. La Sociedad Española de Ginecología y Obstetricia reporta sensibilidad entre 79 % y 100 %, y especificidad entre 66 % y 100 %. En este estudio la ecografía 2D y 3D fue el método de confirmación diagnóstica, siendo 100 % sensible y específico 15.
Borges y cols. 1, en una revisión de la literatura, mencionan que el drenaje del lado obstruido y resección del tabique con el uso de la histeroscopia quirúrgica, es el patrón de oro, permitiendo el estudio de la morfología interna vaginal y uterina y la resolución de los síntomas de manera definitiva.
CONCLUSIONES
OHVIRA, es una entidad clínica única que requiere un enfoque multidisciplinario para su diagnóstico y manejo. La comprensión de la enfermedad, ha permitido un enfoque mínimamente invasivo exitoso.
Tanto el ultrasonido 2D y 3D como la histeroscopia son herramientas diagnósticas importantes en el manejo de pacientes con OHVIRA. Estas técnicas permiten una evaluación detallada de las anomalías genitourinarias asociadas con esta condición y juegan un papel crucial en la planificación del tratamiento y seguimiento.
Permiten además del diagnóstico, tratamiento temprano, seguro y eficaz, con disminución de los síntomas asociados, respetar la integridad himeneal y vulvar en estas jóvenes pacientes sin uso del espéculo, así como la prevención de complicaciones y resultados adversos de fertilidad o la realización de cirugías innecesarias.



















