INTRODUCCIÓN
La placenta previa (PP), definida como la implantación placentaria en el segmento uterino inferior que ocluye parcial o totalmente el orificio cervical interno (OCI), constituye una complicación obstétrica de relevancia clínica. Su presencia se asocia a un incremento significativo en el riesgo de hemorragia indolora durante el tercer trimestre, parto pretérmino, desprendimiento placentario y hemorragia posparto. Además, el acretismo placentario, caracterizado por la invasión anómala de las vellosidades coriónicas en el miometrio, puede coexistir con la PP, lo que complica el manejo y eleva el riesgo de hemorragia masiva y la necesidad de histerectomía. Por consiguiente, la evaluación prenatal exhaustiva, el diagnóstico oportuno y el abordaje multidisciplinario son esenciales para optimizar los resultados maternos y perinatales 1,2.
CASO CLÍNICO
Se trata de paciente de 38 años de edad, III gestas, I aborto, I cesárea, con embarazo de 37 semanas + 1 día por fecha de última regla recalculada (3/09/2022), con diagnóstico de placenta centro oclusiva total, confirmado a las 34 semanas. Acude al Hospital Central de San Cristóbal y es valorada por el Servicio de Medicina Materno Fetal donde realizan ecografía obstétrica y observan: placenta previa oclusiva total, sin evidencia de lagunas placentarias, pared vesical de 3 milímetros (mm), miometrio altamente vascularizado y pared vesical posterior irregular en parte superior, con alto riesgo de acretismo placentario. Indicaron hospitalización y monitoreo hemodinámico estricto no invasivo para planificar finalización de la gestación.
Entre los antecedentes de importancia destaca una cesárea segmentaria electiva en 2018, a las 37 semanas por insuficiencia placentaria. El embarazo actual fue planificado, con ocho consultas de control prenatal. La paciente refiere haber presentado el día 29/04/2023 sangrado a través de genitales, tipo mancha, asociado a dolor abdominal tipo contracciones uterinas, motivo por el cual acudió a la institución, donde, después de la evaluación, decidieron el ingreso para cumplir esquema para uteroinhibición, requiriendo hospitalización por 4 días.
En su examen físico de ingreso presentó tensión arterial (TA): 110/80 mm de Hg, TA media: 90 mm de Hg, frecuencia cardiaca: 90 latidos por minuto (lpm), frecuencia respiratoria: 19 respiraciones por minuto, temperatura: 36,5°C, peso: 59 kg, talla: 1,65 m, índice de masa corporal: 21,6 Kg/m2. Estaba en condiciones clínicas estables, afebril, hidratada, eupneica. Se evidenció abdomen globoso a expensas de útero grávido, altura uterina: 31 cm, feto único, en situación longitudinal, presentación cefálica, con dorso derecho, frecuencia cardiaca fetal (FCF): 141 lpm, movimientos fetales presentes, dinámica uterina ausente. Genitales externos normoconfigurados, no se evidenció pérdida de líquido ni sangre a través de los mismos. Al examen con espéculo, el cuello era de aspecto macroscópicamente sano, no se había sangrado ni perdida de líquido a través del orificio cervical externo, se observó secreción blanquecina fluida en moderada cantidad no fétida en canal vaginal.
Se realizaron estudios complementarios: ecografía y resonancia magnética.
En el reporte de la ecografía se describe un feto único en situación longitudinal, presentación cefálica, posición izquierda. Biometría fetal: diámetro biparietal: 101 mm, circunferencia cefálica: 337 mm, circunferencia abdominal: 316 mm, longitud del fémur: 71,5 mm, FCF 143 lpm. Peso estimado fetal: 3484 g, entre percentil (P) 50 y 90, cercano a P50. Placenta central, grado III, índice de líquido amniótico 11,6 cm3, máximo bolsillo vertical: 4,9 cm3 (Figuras 1 - 3).

Figura 1 Reporte ecográfico de la paciente a las 23 semanas de gestación (07/03/2023): A: Corte sagital fetal, se observa la longitud total del fémur fetal. B: Corte coronal de la cara fetal, donde se evidencia placenta de inserción baja en cara anterior: donde se visualiza pérdida de la clear zone (plano hipoecogenico retroplacentario), así mismo no se visualiza miometrio retroplacentario.

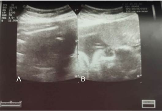
Figura 2 Reporte ecográfico de la paciente a las 23 semanas de gestación (07/03/2023). A: Corte longitudinal. Borde placentario que cubre el orificio cervical interno. B: Corte coronal a nivel del cerebelo. Cráneo fetal en contacto con placenta oclusiva total. C: Corte axial de porción caudal del feto donde se evidencia signo de la hamburguesa (sugestivo de sexo femenino). D: Corte coronal de la cabeza fetal en contacto con la placenta.

Figura 3 Reporte ecográfico de la paciente a las 27 semanas + 1 día de gestación por biometría fetal. Imagen ecográfica por vía transvaginal en plano sagital, donde se observa la placenta insertada en el segmento uterino inferior, delante de la presentación fetal, que ocluye por completo el orificio cervical interno.
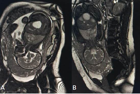
La resonancia magnética suministrada al momento del ingreso reportó: útero grávido, placenta en posición anteroinferior hasta el cérvix, vejiga urinaria parcialmente plenificada, sin evidencia de lesiones parietales e intraluminales, ampolla rectal centrada, de paredes delgadas, sin lesiones parietales ni intraluminales (Figura 4).

Figura 4 Resonancia magnética abdominopélvica realizada el día 12/05/2023. A: Corte sagital a nivel abdominal en T1, donde se evidencia útero grávido con feto en posición cefálica, sin anormalidades visibles en sus órganos internos. Placenta en posición anteroinferior hasta el cérvix. B: Corte coronal de abdomen donde se evidencia feto sin anormalidades visibles y en contacto con placenta
La paciente se mantuvo hospitalizada en el servicio de alto riesgo obstétrico, con monitoreo hemodinámico estricto no invasivo, para planificación de cesárea segmentaria. Se solicitó paraclínica preoperatoria, radiografía de tórax, valoración preoperatoria por neumología y cardiología, interconsulta por el servicio de cirugía general, urología y por la unidad de cuidados intensivos, así como tipiaje sanguíneo y solicitud de protocolo para transfusión masiva.
Los exámenes de laboratorio preoperatorios (27/05/23) reportaron hemoglobina: 12,7 mg/dl, hematocrito: 39,6 %, glóbulos blancos: 10 540 ul (neutrófilos 77,0 %, linfocitos 16,0 %), plaquetas 150 000 ul. Química sanguínea: creatinina: 0,66 mg/dl, urea: 16,0 mg/dl, glicemia: 81 mg/dl. Coagulación: tiempo de protrombina: 12,00 segundos, tiempo de tromboplastina: 29,90 seg (32 ± 2 seg). Se recibió valoración por el servicio de neumología, cardiología y anestesiología quienes no contraindicaron el acto quirúrgico, así mismo la paciente fue valorada por el servicio de hematología, quienes prepararon el protocolo de transfusión masiva.
La paciente fue intervenida el 31/05/2023. Se evidenció el útero gestante con invasión placentaria a cara posterior de vejiga. Se realizó cesárea segmentaria y se obtuvo recién nacido femenino vivo, quien respiró y lloró espontáneamente al nacer, APGAR de 7 y 9 puntos al primer y quinto minuto, respectivamente. Peso al nacer 2600 g, talla al nacer 49 cm. Se hizo alumbramiento manual de placenta incompleta. En segundo tiempo se realizó histerectomía obstétrica total, donde se evidenció placenta centro oclusiva total.
Durante el acto quirúrgico se produjo lesión vesical incidental de aproximadamente 6 cm, por lo que se realizó cistorrafia en 3 planos, con posterior comprobación de indemnidad vesical mediante instilación de 200 mm3 de azul de metileno. Se dejó dren en fosa iliaca izquierda. Gasto hemático de 5000 mm3, TA 119/63 mm de Hg. Durante el acto operatorio se transfundieron 4 unidades de concentrado globular, 4 unidades de plasma fresco congelado y 1 unidad de crioprecipitado, se administró gluconato de calcio y vasoactivos.
Al finalizar el acto quirúrgico, en vista de las condiciones hemodinámicas de la paciente, fue trasladada a la unidad de cuidados intensivos bajo ventilación mecánica, recibió el protocolo de transfusión masiva con hemoderivados (total: 5 unidades de concentrado globular, 4 unidades de plasma fresco congelado, 1 unidad de plaquetas y 1 unidad de crioprecipitado). En vista de que la evolución clínica fue satisfactoria y había estabilidad hemodinámica, la paciente fue extubada 24 horas después de la cirugía y trasladada al servicio de Sala de Parto donde se aplicó monitoreo hemodinámico estricto no invasivo, recibió tratamiento médico con ceftriaxone, ácido tranexámico y flavoxato. En vista de mejoría clínica se trasladó al servicio de maternidad y posteriormente se decidió el alta médica con revaloración en 21 días.
Posterior a alta médica, el día 06/06/2023 se recibió el informe de biopsia (útero más anexos) que reportó: placenta íncreta focal, superficie endometrial cubierta por decidua verdadera la cual penetra focalmente el miometrio; miometrio con vasos sanguíneos de gran tamaño marcadamente dilatados, algunos con material fibrinohemorrágico luminal, no adherido a la pared, sin signos de embolismo amniótico; edema y disociación del intersticio muscular por sobredistensión, cambios de las fibras musculares lisas por fibras hipertróficas, con núcleos pleomórficos, sin connotación maligna. Cuello uterino con erosión aguda y transformación decidual del estroma, resto sin lesiones histológicas.
DISCUSIÓN
El término PP se utiliza cuando la placenta se inserta parcial o totalmente en el segmento inferior del útero. Es importante diferenciar este término de la placenta de inserción baja, que se caracteriza por un borde placentario a ≤ 2 cm del OCI. La prevalencia de la PP es del 0,25 % - 0,5 % en gestaciones únicas (aproximadamente 4 por cada 1000 nacimientos). El riesgo es mayor en caso de cesárea previa y aumenta proporcionalmente al número de cesáreas. También existe un mayor riesgo en otros casos de cirugía uterina, como miomectomía, legrado, extracción manual de placenta o placenta previa en gestaciones anteriores (1- 3). Otros factores de riesgo incluyen la edad materna, el tabaquismo, el origen étnico (afroamericano y asiático), la multiparidad, las gestaciones múltiples, el tratamiento de reproducción asistida, la endometriosis, el consumo de cocaína y antecedentes de embolización 1,2.
La PP representa el 20 % de las hemorragias en el tercer trimestre y se considera una causa frecuente de transfusión materna y de histerectomía obstétrica, con una morbimortalidad perinatal significativa. Las mujeres con PP tienen casi diez veces más riesgo de presentar sangrado durante el tercer trimestre, y las complicaciones fetales están principalmente asociadas con la prematuridad 1,3.
Se desconoce la causa subyacente de la PP; sin embargo, existe una asociación entre el daño endometrial y la cicatrización uterina. La implantación de un cigoto (óvulo fertilizado) requiere un ambiente rico en oxígeno y colágeno. La capa externa del cigoto en división, el blastocisto, está formada por células trofoblásticas que se desarrollan en la placenta y las membranas fetales 2. Anderson-Bagga y cols. 2 refieren que el trofoblasto se adhiere a la decidua basal del endometrio, formando un embarazo normal. Las cicatrices uterinas previas proporcionan un ambiente propicio para la adhesión del trofoblasto, lo que puede llevar a que la placenta cubra el orificio cervical o invada las paredes del miometrio.
La PP aumenta el riesgo de acretismo placentario, que se define como un trastorno de adhesión o invasión de la placenta al útero (miometrio) o a estructuras adyacentes. Tanto la PP como el acretismo placentario son condiciones en las que las vellosidades coriales se adhieren de manera anormal a la pared uterina. El riesgo de acretismo placentario aumenta en mujeres con PP y partos por cesárea en embarazos anteriores. En pacientes con una cicatriz de cesárea anterior y PP en el embarazo actual, el riesgo de acretismo placentario es del 20 %, mientras que, en aquellas con más de una cicatriz de cesárea anterior y PP, el riesgo es del 40 % o más 1,2.
La manifestación clínica más frecuente de la PP es el sangrado aislado de sangre roja brillante, de origen materno. En 10 % - 30 % de los casos se asocia con dinámica uterina clínica. El 30 % de las pacientes presentan sangrado antes de las 30 semanas, el 30 % entre las 30 y las 36 semanas, y el 30 % después de las 36 semanas. El 10 % permanece asintomáticas. Aunque se desconoce completamente el mecanismo de sangrado, se considera que se asocia a la aparición de contracciones, aunque sean subclínicas 1.
Para el diagnóstico, se debe determinar la localización de la placenta mediante ecografía en el segundo y tercer trimestre. Ante la sospecha de PP, en placentas bilobuladas y en gestaciones gemelares, se debe realizar una ecografía transvaginal para confirmar la ubicación del borde placentario con respecto al OCI tras la micción y medir la longitud cervical aplicando la menor presión posible al cérvix, además de realizar un diagnóstico diferencial entre PP y hematoma cercano al OCI 4.
De acuerdo a Altraigey y cols. 4, la evaluación de la longitud cervical podría ser un paso crucial en el estudio y la toma de decisiones para embarazos complicados con placenta anormalmente situada y/o adherente, ya que está fuertemente asociada con una amplia gama de morbilidades maternas y neonatales.
Ante el diagnóstico ecográfico de PP o de inserción baja a < 10 mm, se debe programar un control ecográfico en el tercer trimestre, alrededor de la semana 28, para confirmar el diagnóstico y ajustar las recomendaciones (reposo relativo, evitar relaciones sexuales, prevención de anemia materna, informar sobre la posible aparición de sangrado). Por lo tanto, es recomendable que en estos casos se haga constar la localización de la placenta en el informe ecográfico. El control específico del tercer trimestre no será necesario en placentas de inserción baja entre 10-20 mm asintomáticas debido a la alta probabilidad de migración (más del 90 %, especialmente en las de cara anterior). Si a las 28 semanas se confirma el diagnóstico, se reforzarán las recomendaciones y se programará un seguimiento ecográfico mensual o con mayor frecuencia, según la clínica y la longitud cervical 1.
En la PP asintomática, el control ecográfico deberá ser mensual desde las 28 hasta las 36 semanas, descartando complicaciones asociadas. A las 36 semanas se realizará la valoración de la vía del parto y del momento de finalización. En la PP sintomática, tras la valoración inicial de la paciente (descartando el compromiso materno-fetal y orientándose como una PP con sangrado y estabilidad hemodinámica), se decidirá si la paciente debe permanecer en observación o ser ingresada, teniendo en cuenta el grado de sangrado y los antecedentes de la paciente (1).
En la PP asintomática se recomienda realizar una cesárea electiva entre las 37 y 38 semanas. A diferencia de la PP sintomática, donde se indicará cesárea electiva entre las 36 y 37 semanas, tomando en cuenta la maduración pulmonar fetal, siguiendo los protocolos específicos 1.
En los casos de placenta de inserción baja situada entre 11-20 mm del OCI, puede plantearse la opción de parto vaginal espontáneo, con una tasa de éxito descrita del 69 %, explicando la posibilidad de cesárea durante el parto por hemorragia intraparto 1.
Se deben considerar las complicaciones asociadas a este tipo de anomalías placentarias: mayor morbimortalidad perinatal: ruptura prematura de membranas y parto prematuro; malposición fetal; hemorragia grave, con necesidad de drogas vasoactivas y transfusión y desarrollo de shock hipovolémico; presencia de acretismo placentario, vasa previa o inserción velamentosa del cordón; hemorragia posparto debida a la inserción placentaria en el segmento inferior; histerectomía urgente y embolia de líquido amniótico 1,5-8.
El término acretismo placentario abarca un espectro de patologías que resultan de una adherencia anormal de la placenta al miometrio en lugar de a la decidua, presentando diferentes grados de penetración en las paredes uterinas. Se puede hablar de placenta ácreta (verdadera), que se adhiere sin invadir el miometrio; placenta íncreta, que implica la invasión de la placenta hasta el miometrio; y placenta pércreta, que invade la serosa y potencialmente otros tejidos circundantes. La fisiopatología detrás del acretismo placentario no está del todo definida; sin embargo, el resultado es la adherencia patológica del trofoblasto al miometrio 5-7.
Se ha demostrado una asociación entre el aumento del número de cesáreas y el riesgo de acretismo placentario en la siguiente gestación, donde se piensa que la cicatrización o reparación defectuosa del miometrio y/o la decidua basal son responsables de que, en el siguiente embarazo, el citotrofoblasto invada el endometrio, pero no encuentren la capa esponjosa de la decidua que actúa como señal para detener la invasión, por lo que estas células continúan su invasión. Aunque el acretismo placentario puede presentarse sin la presencia de PP, esta última aumenta el riesgo de placentación anormal. Otras formas de cirugía uterina, como curetaje, miomectomía e histeroscopia, pueden implicar cierto riesgo de padecer acretismo placentario en futuros embarazos 5,6,8.
La manifestación clínica más frecuente es el sangrado transvaginal durante el primer o segundo trimestre; sin embargo, si no se presenta dicho signo, esta patología se detectará al momento del parto, mostrándose una placenta mal adherida. El diagnóstico puede incluir el uso de ultrasonido y resonancia magnética, siendo la histopatología quien proporciona el diagnóstico definitivo, ya que demuestra y comprueba la invasión de las vellosidades coriales en el miometrio 1,9,10. El momento del diagnóstico abarca desde la semana 18 en pacientes de riesgo; sin embargo, alrededor de la semana 32 se logra obtener un diagnóstico más certero. La utilización de ultrasonido con doppler color como predictor de la invasión placentaria en el miometrio puede revelar la presencia de grandes lagunas vasculares con flujo turbulento, generalmente en el segundo trimestre de embarazo, e implantación baja del saco gestacional sobre una cicatriz uterina, junto con múltiples espacios vasculares de forma irregular en el primer trimestre 5.
El manejo clásico y universalmente aceptado para el acretismo placentario, siempre que la paciente no desee conservar su fertilidad, es la cesárea-histerectomía programada, la cual debe ser planificada por el profesional de la salud una vez se tenga el diagnóstico de acretismo placentario. Esto debe incluir un equipo de atención multidisciplinario, que incluya cirujanos especializados y unidades sanguíneas listas para compensar una posible hemorragia masiva, que es común en estos casos 1,6,10.
CONCLUSIÓN
Este caso clínico destaca la complejidad del manejo de la PP oclusiva total complicada con acretismo placentario, subrayando la importancia de la evaluación prenatal exhaustiva y la realización de ecografía y resonancia magnética para la identificación temprana de factores de riesgo. La estrategia de manejo multidisciplinario que incluye la preparación para transfusión masiva y la disponibilidad de un equipo quirúrgico especializado, es crucial para mitigar la morbimortalidad materna asociada a la hemorragia obstétrica masiva. La confirmación histopatológica de placenta íncreta focal enfatiza la necesidad de considerar el espectro completo del acretismo placentario en la planificación del manejo obstétrico. La relevancia de este reporte radica en la demostración de la eficacia de un abordaje estructurado y proactivo en la optimización de los resultados maternos en presencia de estas complicaciones obstétricas de alto riesgo.














