Acta Botánica Venezuelica
versión impresa ISSN 0084-5906
Acta Bot. Venez. v.31 n.2 Caracas dic. 2008
Megasporogénesis y megagametogénesis en hymenocallis caribaea (l.) Herb. (amaryllidaceae) y algunas características de su desarrollo seminal
Megasporogenesis and megagametogenesis in Hymenocallis caribaea (L.) Herb. (Amaryllidaceae) and some characteristics of its seminal development
María B. Raymúndez U., Marcia Escala J. y Nereida Xena de Enrech
Universidad Central de Venezuela, Facultad de Ciencias, Instituto de Biología Experimental, Centro de Botánica Tropical, Apartado 47114, Los Chaguaramos, Caracas, Venezuela. maria.raymundez@ciens.ucv.ve
RESUMEN
El presente trabajo tuvo por objeto tipificar los procesos de megasporogénesis y megagametogénesis en Hymenocallis caribaea y algunos caracteres de su desarrollo seminal. Para ello, se siguió la metodología anatómica sugerida por Johansen (1940) en estudios embriológicos. Los óvulos de H. caribaea son bitégmicos y pseudocrasinucelados. El tegumento externo se mantiene indiferenciado hasta la etapa postfertilización y se encuentra profusamente vascularizado. El micrópilo se forma en zig-zag con la intervención de ambos tegumentos que se encuentran desalineados, carácter considerado evolutivamente primitivo. La meiosis se produce mientras la yema floral está completamente inmersa en el bulbo. La célula madre de las megásporas proviene directamente del megasporocito, del cual se forman cuatro megásporas reducidas y sólo la situada en el polo calazal se mantiene funcional (megasporogénesis monospórica), dando origen al saco embrionario. La megagametogénesis sigue un patrón del tipo Polygonum, con ocho células en el saco embrionario maduro: tres células micropilares (dos sinérgidas y una ovocélula), tres calazales (antípodas) y dos núcleos polares en el centro-lateral del saco embrionario. Esporádicamente se produce más de un saco embrionario por óvulo, pero éstos no parecen culminar con la formación de más de un embrión por semilla. El desarrollo y diferenciación del óvulo de H. caribaea para formar una semilla verde, carnosa, con baja relación peso/volumen, profusamente vascularizada,con embrión rudimentario hasta bien adelantado su desarrollo y a veces vivípara, parece reflejar una adaptación al medio particular donde se desarrollan estas plantas.
Palabras clave: Amaryllidaceae, embriología, Hymenocallis, megagametogénesis, megasporogénesis
ABSTRACT
The main objective of the present research was to characterize the processes of megasporogenesis and megagametogenesis in Hymenocallis caribaea and some characteristics of its seed development. To achieve it, there were followed the anatomical methodology suggested by Johansen (1940) for embryological purposes. Ovules of H. caribaea are bitegmic and pseudocrassinucelate. Outer integument rests undifferentiated until the postfertilization stage and it is profusely vascularized. Both integuments form a zig-zag micropile, which is considered evolutionarily primitive. Meiosis occurs while flower buds are completely immersed in the bulb. Megaspore mother cell origins directly from megasporocite. During megasporogenesis four megaspores are formed and only the one at the chalazal pole remains functional (monosporic type), giving rise to the embryo sac. Megagametogenesis follows the Polygonum pattern, with eight cells in the mature embryo sac: three micropilar cells (two sinergids and the egg cell), three chalazal cells (antipodes),and two polar nuclei in the center-side of the embryo sac. More than one embryo sac per ovule sporadically occurs, but they do not appear to lead to the formation of more than one embryo per seed. Development and differentiation of the ovule of H. caribaea to form a green, fleshy, low weight/volume, profusely vascularized seed, with a rudimentary embryo until its development is well advanced, appears to reflect an adaptation to the particular environment where these plants grow.
Key words: Amaryllidaceae, embryology, Hymenocallis, megagametogenesis, megasporogenesis
INTRODUCCIÓN
La utilidad sistemática de los estudios embriológicos está orientada a dilucidar más claramente las relaciones filogenéticas entre grupos. El comportamiento durante la megasporogénesis, megagametogénesis y microsporogénesis suele ser común a un grupo de evolución conjunta. La caracterización de este tipo de patrones reproductivos permite establecer relaciones de parentesco importantes en taxa de diferentes jerarquías, pues se supone que son caracteres adquiridos tempranamente durante la evolución; suelen ser además altamente conservados en taxa de rangos taxonómicos altos (Davis 1966; Herr 1984; Johri & Ambegaokar 1984).
Las fuentes de información embriológica se han utilizado sobre todo en el establecimiento de relaciones evolutivas en diferentes jerarquías taxonómicas, más comúnmente a niveles de orden y familia, y menos frecuentemente a nivel de especie, de forma de confirmar la posición jerárquica de un taxon definido previamente con base en la combinación de otro tipo de caracteres morfológicos distintos a los embriológicos (Cave 1948; Davis 1966; Björnstad 1970; Arroyo 1982; Tobe & Raven 1983; Herr 1984; Tobe 1989). Las bases de datos embriológicos pueden proveer decenas de caracteres complejos diferentes, pero a pesar de su evidente valor sistemático aun se carece de información en un porcentaje importante de familias de angiospermas, que podría llegar hasta 30% de ellas, o bien ésta es incompleta (Tobe 1989).
La embriología comparada representa un tesoro en estudios evolutivos sobre la diversidad estructural en plantas, de forma que la morfología y la morfogénesis complementan la información que se deriva de estudios moleculares y del registro fósil. En un futuro próximo se espera lograr una visión sintética de la evolución de las plantas superiores basada en estas tres fuentes de evidencia conjunta (Endress 2005).
A pesar de que las Amaryllidaceae comprenden alrededor de 50-60 géneros y unas 800 especies (Mabberley 1993; Watson & Dallwitz 2008; Judd et al. 2007), no se dispone de mucha información sobre el desarrollo del óvulo y del saco embrionario en especies de esta familia. El principal aporte lo han realizado especialistas en embriología de la escuela india de morfología, B.S.M. Dutt y su grupo, trabajando con especies del género Crinum, Zephyrantes y Pancratium, así como los grupos europeos del Instituto de Botánica Komarov, en San Petersburgo (Rusia), K.V.O. Dahlgren y H. Stenar en Suecia, y A. dAmico y M. Cini en Italia, que han caracterizado especies de Amaryllis, Galanthus, Haemanthus, Nerine y Phaedranassa (dAmico 1947; Cini 1949; Stenar 1951a, b; Dutt 1957a, b, 1958, 1959, 1964, 1970, 1971; Savchenko & Komar 1965; Dahlgren 1980; Dahlgren et al. 1985; Howell & Prakash 1990; Johri et al. 1992; Shamrov 1999). El escaso conocimiento embriológico en la familia se ha visto recientemente incrementado con Leucojum aestivum, un grupo hasta ahora no abordado (Ekici & Dane 2008).
Por lo anteriormente señalado, es importante destacar que este trabajo parece ser el primero que se realiza en esta área de la megasporogénesis y megagametogénesis en un miembro del género Hymenocallis, del cual sólo se conocen con anterioridad aspectos muy someros relacionados con la microsporogénesis y la embriogenia (Davis 1966). Por lo tanto, la presente investigación tuvo por objeto tipificar estos procesos en Hymenocallis caribaea (L.) Herb., comparándolos con los patrones ya conocidos para otros miembros de las Amaryllidaceae, y establecer si existe alguna variación con respecto a los modelos conocidos para esta familia o para las angiospermas.
MATERIALES Y MÉTODOS
Se escogió como objeto del estudio embriológico a H. caribaea frente a otras especies del género presentes en Venezuela por ser la especie que mayor disponibilidad de material ofrece, debido al gran número de flores por inflorescencia que produce y a su accesibilidad en zonas urbanas, ya que es una planta comúnmente utilizada en el ornato público.
El estudio abarca fundamentalmente las etapas prefertilización del desarrollo del óvulo; por lo tanto, el material vegetal consistió de inflorescencias de H. caribaea recolectadas en diferentes estados de desarrollo de sus yemas florales, desde aquéllas donde sólo comenzaban a diferenciarse las anteras y los óvulos aún estaban en una fase muy incipiente (de primordios), hasta inflorescencias donde las flores estaban maduras y listas para la antesis.
Debido a que en Amaryllidaceae la meiosis se produce cuando las yemas florales están aún inmersas en el bulbo, los mismos fueron examinados cuidadosa-mente in situ, sin necesidad de extraerlos del suelo y diseccionarlos enteramente cada vez que se recolectaron las inflorescencias inmaduras. Para ello, se dejó expuesta la yema apical de forma parcial con la ayuda de pinzas largas y estrechas, forzando un poco la separación y apertura de los primordios foliares para mantener el acceso al centro de la yema y seguir la formación de la inflorescencia sin alterar el crecimiento vegetativo de la planta. Al emerger el ápice de las dos brácteas más externas que rodean a la inflorescencia, la planta era marcada con una cinta para proceder a la recolección de la inflorescencia al día siguiente, justo cuando comenzaba a emerger levemente de la yema apical expuesta, debido al inicio de la expansión del escapo floral. De esta forma se evitó la extracción inútil de gran cantidad de bulbos y se logró recolectar el material lo más joven posible, aún cuando no hubiera emergido del conjunto de la yema apical (Raymúndez 1997).
Así mismo, se recolectaron frutos en distintos grados de maduración, sobre todo los que estaban próximos a desgarrarse y exponer sus semillas, y/o aquellos que ya lo habían realizado, dejando expuestas las semillas casi maduras pero aún fijas al eje de la inflorescencia. También se recolectaron semillas maduras caídas en el suelo alrededor de las plantas. Esto se realizó con el fin de cuantificar el número de embriones presentes en cada semilla y el estado de desarrollo de los mismos desde el momento de la liberación de la semilla hasta su germinación. Fueron recolectadas 80 inflorescencias, 20 infrutescencias y 50 semillas en los jardines de
Las yemas florales, flores maduras y frutos fueron separados del eje de la inflorescencia y de las brácteas que los recubren, y se fijaron en ácido acético: etanol absoluto (1:3), durante un período no menor de tres semanas a un mes, bajo refrigeración a
Las semillas maduras recolectadas se mantuvieron en cápsulas de Petri en un ambiente aireado y luminoso, para facilitar su seguimiento y la disección a mano alzada de las diferentes etapas de desarrollo hasta su germinación, de forma de verificar el número de embriones formados y/o emergidos de la semilla al momento de su germinación.
Se siguió, en líneas generales, el protocolo riguroso para el estudio embriológico descrito por Johansen (1940), con las modificaciones para el procedimiento de deshidratación y rehidratación propuestas por Sánchez (1995) y Raymúndez (1997), de modo que los óvulos fueron procesados mediante la preparación de láminas seriadas de cortes longitudinales y transversales del ovario y su contenido, obtenidos al micrótomo de rotación. Las semillas en diferentes grados de maduración fueron diseccionadas directamente a mano alzada bajo un microscopio estereoscópico.
El procedimiento descrito por Johansen (1940) es riguroso en el sentido de que este autor considera imprescindible tomar consideraciones especiales que aseguren que los resultados sean confiables a la hora de interpretar el proceso embriológico en trabajos de este tipo. Para asegurar que se cumplieran las pautas sugeridas por este autor, se tomaron las siguientes consideraciones metodológicas:
-Se procesó un número aproximado de 150-200 óvulos de diferentes edades: desde primordios seminales hasta óvulos maduros en etapa preantesis.
- Los óvulos fueron seccionados en sentido longitudinal, es decir, en el plano paralelo al eje micropilar-calazal; ocasionalmente también se realizaron secciones transversales de los mismos, sobre todo para observar detalles en los estados más avanzados de desarrollo.
Las secciones longitudinales y transversales de los óvulos fueron realizadas con un espesor de 15-25 µm, dependiendo del estado de desarrollo del óvulo. La coloración se realizó con azul de toluidina o bien con safranina-orange G-fast green (en ambos casos en solución alcohólica); estas últimas láminas fueron diferenciadas con ácido pícrico, según el protocolo de Sánchez (1995). Las muestras fueron montadas de forma permanente, utilizando Euparal o DPX como medios de montaje (Raymúndez 1997).
Las láminas producidas según el procedimiento anterior fueron evaluadas sistemáticamente, para así tener una visión total y ordenada de las estructuras que forman parte del óvulo y de su interior a medida que avanza el proceso de megasporogénesis y megagametogénesis. Las observaciones y fotomicrografías fueron realizadas en un microscopio Nikon Optiphot 2, con cámara automática y cámara de video incorporadas.
RESULTADOS
Óvulos
Las flores de H. caribaea presentan ovario ínfero, tricarpelar, trilocular, como es característico en toda la familia Amaryllidaceae y la mayor parte de las monocotiledóneas. Por lo común, en cada lóculo se forman dos óvulos, pudiendo eventualmente desarrollarse hasta tres. Los óvulos son anátropos, bitégmicos y pseudocrasinucelados (Fig. 1, 2, 3).
El tegumento externo se encuentra profusamente vascularizado y la traza vascular del óvulo no se agota en la cálaza, como es característico en otros óvulos anátropos, sino que penetra hasta el extremo opuesto del tegumento, a manera de células prosenquimáticas de tejido procambial que no va a diferenciarse hasta bien avanzado el desarrollo del óvulo (Fig. 4). Este tegumento está formado por células de núcleo prominente, poco diferenciadas aún hasta el momento de la madurez del saco embrionario, fundamentalmente isodiamétricas al comienzo de la megasporogénesis, tornándose algo más alargadas en el sentido del eje longitudinal del óvulo a medida que madura el saco embrionario (Fig. 2, 4, 5).
Al igual que el tegumento externo, el interno está inicialmente formado por células más o menos isodiamétricas a rectangulares, que comienzan a diferenciarse luego de la culminación de la megasporogénesis, formando células muy vacuoladas, cuadradas a rectangulares, de paredes delgadas y núcleo reducido a medida que avanza la formación del saco embrionario (Fig. 2).
Ambos tegumentos toman parte en el desarrollo del micrópilo, formando el externo un canal ancho llamado exostoma; este pasaje externo no se encuentra alineado con el paso estrecho que forma el tegumento interno (endostoma), por lo que el canal micropilar se dispone en su totalidad en forma de zig-zag (Fig. 5).
Megasporogénesis
La secuencia de eventos de la megasporogénesis en H. caribaea se inicia aproximadamente en el intervalo entre el fin de la fase I de la meiosis (telofase I) en las anteras y el momento en que se empieza a desarrollar la fase II (formación de la primera placa ecuatorial de pared celular para formar una díada). En este instante, los primordios seminales comienzan a diferenciar los dos tegumentos y en la zona central del óvulo se distingue la nucela. Luego de definidas estas áreas, se diferencia el megasporocito internamente a las tres capas externas de la nucela, en el centro de ella; esto ocurre aparentemente sin mediar ninguna división periclinal previa que dé origen a alguna célula parietal intermedia. El megasporocito funciona directamente como célula madre de las macrósporas (Fig. 6), experimentando meiosis para formar cuatro mega o macrósporas orientadas en línea según el sentido longitudinal del óvulo (polo calazal-polo micropilar).
El megasporocito, o célula madre de la megáspora, está profundamente embebido en el centro de la nucela; presenta un tamaño muy grande con respecto al resto de las células de ésta y del primordio seminal (7-10 veces el tamaño de una célula regular de la nucela), un citoplasma denso y un núcleo prominente, con un solo nucléolo (Fig. 6).
Una vez formadas las cuatro megásporas, tres de ellas degeneran (las tres más cercanas al polo micropilar), quedando funcional solamente la correspondiente al polo calazal que se agranda y se vacuoliza, haciéndose más prominente su núcleo. Mientras tanto, las otras tres van siendo reabsorbidas por la nucela circundante hasta desaparecer (Fig. 7-8). Con este evento culmina la megasporogénesis. La megáspora funcional comienza entonces el proceso mitótico sucesivo para la formación del saco embrionario que caracteriza a la megagametogénesis.
Megagametogénesis
La primera división mitótica origina dos núcleos, que luego de divididos se sitúan en los extremos opuestos del saco embrionario formando unidades independientes originadas por el alargamiento del citoplasma de la megáspora funcional. Estos dos nuevos núcleos, dispuestos de forma polar, sufren a su vez otro evento mitótico que da origen a cuatro núcleos, situados dos a dos en los polos del saco embrionario. Nuevamente, se produce un tercer y último evento mitótico, que origina cuatro núcleos en cada extremo del saco embrionario. De éstos, tres se mantienen allí en forma de células individuales, y uno (de cada extremo) migra hacia la gran vacuola central, situándose cercanos uno a otro, pero sin entrar momentáneamente en contacto (Fig. 9). Se sitúan en la zona central del saco embrionario, algo desplazados lateralmente.
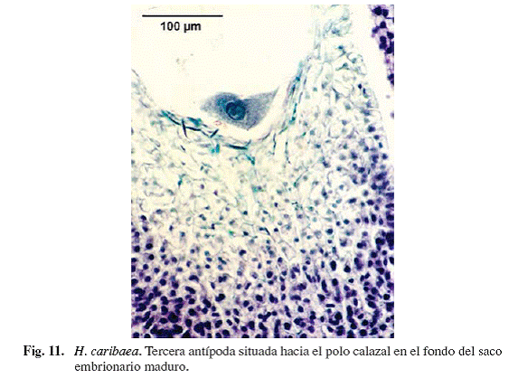
Las tres células que se mantienen en el polo calazal van a constituir las antípodas. Presentan una forma semiesférica, con un citoplasma denso y un núcleo prominente; están siempre situadas en el fondo del saco embrionario, alineadas con el extremo calazal del óvulo (Fig. 10, 11).
Los dos núcleos centrales -los llamados núcleos polares- permanecen como núcleos separados por una pared delgada justo hasta el momento previo a la antesis de la flor (Fig. 9), cuando se disuelve la pared que los separa y se mantienen embebidos en una misma unidad citoplasmática (Fig. 12). No fue posible verificar si en ellos se producía en realidad una fusión nuclear previa a la fertilización.
Las tres células que se sitúan en el polo micropilar constituyen el llamado aparato ovular, y están diferenciadas en dos sinérgidas y la ovocélula propiamente dicha. Las dos sinérgidas presentan una forma flabelada, y sus extremos más estrechos están insertos en el vértice del saco embrionario, donde comienza el canal micropilar formado por el tegumento interno (Fig. 13, 14, 15). Las sinérgidas muestran como característica más resaltante un aparato filiforme bien desarrollado en el extremo en forma de cuña, citoplasma denso y un núcleo prominente, situado en posición distal de la célula con respecto al micrópilo (Fig. 13, 14). La ovocélula se encuentra situada entre las dos sinérgidas, un poco desplazada distalmente con respecto al micrópilo, orientada hacia el interior del saco embrionario (Fig. 13, 14); presenta una forma semi-circular a semi-elíptica, con un núcleo prominente y una gran vacuola (a veces dos) que ocupa casi todo el volumen de la célula; el citoplasma en ella es escaso (Fig. 13).
El desarrollo de la megasporogénesis y megagametogénesis antes descrito está tipificado en la clasificación convencional como del tipo Polygonum (Johri 1963; Strasburger 1879, cit. por Gifford & Foster 1989): formado a partir de una sola megáspora calazal funcional y un saco constituido por ocho células.
Formación simultánea de más de un saco embrionario por óvulo
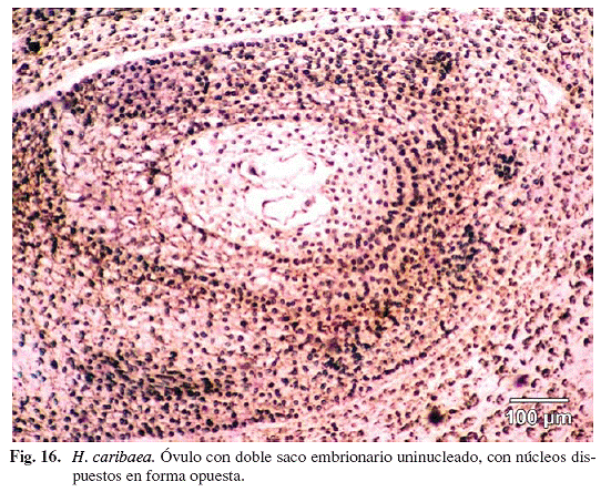
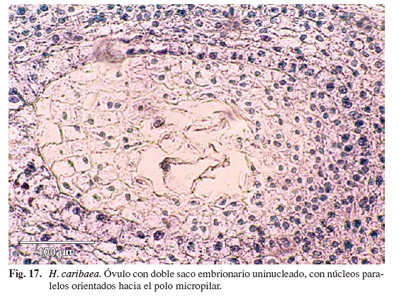
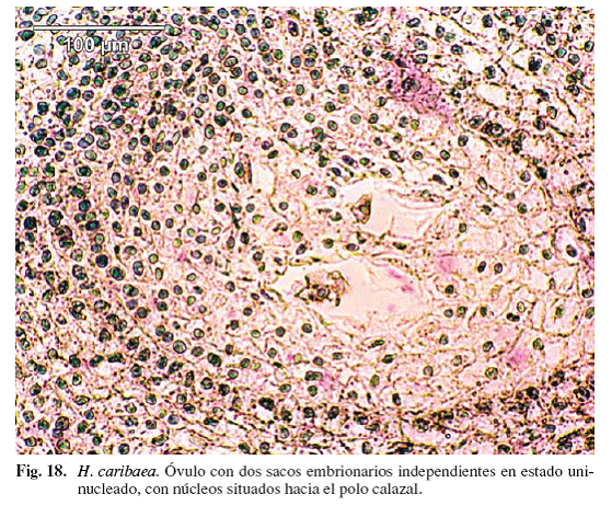
Además del patrón general descrito con anterioridad, se observó un fenómeno que no es extraño dentro de otros grupos de angiospermas y que parece producirse esporádicamente también en los óvulos de H. caribaea. Se trata de la formación de sacos embrionarios múltiples en un sólo óvulo.
De la población de entre
Características seminales y de la germinación
Otra observación que debe ser mencionada como característica del desarrollo embrionario de H. caribaea -y posiblemente de todo el género Hymenocallises que el tegumento externo permanece indiferenciado durante el desarrollo de la megasporogénesis y la formación del saco embrionario, notándose la ausencia total de estomas en su superficie, siendo éstos más tarde característicos de la cubierta seminal en la semilla madura.
Durante el proceso de maduración del fruto y la formación de la semilla, el tegumento externo va a proliferar y diferenciarse con un mesofilo ancho, aerenquimático y fotosintético, y con estomas en su epidermis. Por su parte, el tejido vascular se diferencia en cordones que van a surcar paralelamente toda la superficie del tegumento externo, que origina la cubierta seminal.
El embrión no se desarrolla hasta que la semilla ha sido diseminada (en ocasiones por corrientes de agua en su ambiente natural), estando a punto de germinar; a pesar de ello, según lo observado, las semillas no requieren haber estado en contacto con una fuente de humedad hasta el momento que se inicia el proceso de germinación.
El fruto es una cápsula trilocular, de paredes delgadas y membranáceas que se secan y se rasgan tempranamente por presión de las semillas en crecimiento. Las semillas desnudas terminan de desarrollarse expuestas directamente a la luz solar y realizan fotosíntesis mientras permanecen fijas sobre el receptáculo, aún antes de que se produzca el desgarramiento de las paredes del fruto.
Una vez escindida la semilla del receptáculo floral (sobre el que quedan res-tos de placenta), ésta cae al suelo y tarda de quince a veinte días en germinar. Si se disecciona una semilla en el período inmediato a su liberación, se puede notar cómo en el centro de la misma existe una cavidad que no ha sido ocupada por el embrión, que se encuentra en estado rudimentario en el extremo micropilar de la semilla. Pasados quince a veinte días de la escisión y expuestas las semillas a la luz, se puede observar que el embrión ocupa toda la cavidad central y germina espontáneamente. Algunas veces, la germinación ocurre mientras las semillas permanecen adheridas al escapo floral, expuestas a la intemperie, de forma que los nuevos esporófitos emergen sin contacto con el suelo (viviparía).
El embrión es largo y recto en su madurez, siguiendo la forma de la cavidad central de la semilla. La semilla es verde, fotosintética, de superficie suave y membranácea, de forma más o menos arriñonada a globosa, y presenta el micrópilo en un extremo. El volumen de la semilla está representado en su mayoría por la cubierta seminal formada fundamentalmente a partir del tegumento externo; presenta un mesofilo proliferativo de tipo aerénquima con contenido mucilaginoso.
Por lo común, la radícula no emerge por el micrópilo, sino que se abre paso a través de los tejidos circundantes, irrumpiendo lateralmente a la zona micropilar; algunas veces también emerge más alejada lateralmente de la zona del micrópilo, pero sin llegar al polo calazal. Después, la radícula crece de manera limitada hasta unos dos a tres centímetros, luego de lo cual cesa su crecimiento en longitud dando paso a la emergencia del bulbilo, que protrude por la misma región por don-de emergió la radícula, pero con un retraso de varios días.
El bulbilo emerge lateralmente, y sólo corrige esta posición una vez que termina de emerger la plúmula en su totalidad. Una serie de raíces adventicias comienzan a proliferar en su base, tiempo después de culminada su salida del interior de la semilla y de que se haya desplegado el primer primordio foliar. Las raíces adventicias sustituyen a la radícula, y a partir de ese momento comienza lentamente su necrosis de forma regresiva desde el ápice. Las primeras raíces adventicias son de menor porte que la radícula, que ha crecido vigorosa y bien desarrollada.
No se observó en ningún caso la emergencia de más de un embrión de cada semilla puesta a germinar en el laboratorio, tal como podría haberse esperado de la observación de más de un saco embrionario incipiente en algunos de los óvulos procesados.
DISCUSIÓN
Megasporogénesis y megagametogénesisLas características del proceso de formación y maduración de los óvulos de Hymenocallis
caribaea siguen de forma general el patrón conocido para otras Amaryllidaceae y para la mayoría de las monocotiledóneas (Davis 1966; Dutt 1970; Dahlgren et al. 1985). Coincide con éstas en la presencia de óvulos anátropos y bitégmicos, pero, a diferencia de otros géneros conocidos de la familia donde la nucela es descrita como crasinucelada (Dahlgren et al. 1985; Ekici & Dane 2008),en H. caribaea ésta se presenta pseudocrasinucelada, según la acepción del término acotada por Davis (1966) y Gifford & Foster (1989).
El término pseudocrasinucelado no es común para designar a un tipo de nucela, y según Gifford & Foster (1989), se refiere a los casos en los que se presentan variaciones específicas en el desarrollo de la nucela de tipo crasinucelado. De acuerdo a estos autores, no todos los óvulos con nucela masiva desarrollan células parietales durante la formación del megasporocito; por lo tanto, los óvulos pseudocrasinucelados son aquellos en los que a pesar de que la nucela es proliferativa, no se originan capas de células parietales durante la formación del megasporocito, sino se diferencian directamente sin sufrir una división para formar una(s) célula(s) hipodérmica(s) intermedia(s) entre el resto de la nucela y la célula madre de la megáspora. Entre las Amaryllidaceae, la nucela pseudocrasinucelada ha sido reportada también para Sternbergia lutea (Dane 1999).
El proceso de megasporogénesis y megagametogénesis observado en H. caribaea se produce según la secuencia de eventos típicos que describe un desarrollo del saco embrionario de origen monospórico calazal, que caracteriza al saco embrionario de ocho células tipo Polygonum (Davis 1966; Dutt 1970). No se presentaron variaciones del tipo normal, y el saco embrionario en su madurez no presentó ninguna característica especial como para distinguirlo de la tipología descrita originalmente en la clasificación que resume estos procesos. Es por tanto, un perfecto representante del desarrollo embrionario del tipo Polygonum, que es el más extendido entre las monocotiledóneas (Dahlgren et al. 1985). Este modelo de desarrollo monospórico es considerado el más primitivo en las angiospermas, y se encuentra en 70% de los géneros para los que se conoce este carácter (Maheshwari 1950).
Los resultados aquí descritos apoyan la proposición de Dutt (1970), que establece al tipo Polygonum como el saco embrionario característico de la familia Amaryllidaceae, aunque es posible conseguir miembros de la familia que presentan un desarrollo de origen bispórico del tipo Allium, e incluso del tipo Endymion (Dane 1999; Ekici & Dane 2008).
Algunas de las características embriológicas que definen el comportamiento de H. caribaea son consideradas como condiciones ancestrales; entre ellas, micrópilo en zig-zag, desarrollo de estomas en la cubierta seminal y anteras, además de otras características que definen a la microsporogénesis (Raymúndez et al. 2008), como el polen con exina dimórfica y el polen liberado en estado binucleado (Maheshwari 1950; Davis 1966).
En otros detalles relativos a la megasporogénesis, Dahlgren et al. (1985) refieren que en especies de los géneros Crinum, Eucharis y Narcissus la célula arquesporial primaria o megasporocito funciona directamente como célula madre de las megásporas, al igual que en el proceso observado para H. caribaea.
Reportes previos de la bibliografía difieren de lo observado en H. caribaea en lo que respecta a la formación de la célula madre de las megásporas. Dutt (1964) en una reevaluación de la megasporogénesis de Pancratium maritimum, hace referencia a que la célula arquesporial no funciona directamente como célula madre de las megásporas, sino que se divide y forma una célula parietal hacia la zona externa de la nucela, mientras que hacia el interior da origen al megasporocito, luego de lo cual, éste último seguirá la división meiótica para originar cuatro megásporas. La diferencia entre estos dos comportamientos al inicio del proceso de megasporogénesis no aporta ningún cambio apreciable en la culminación del proceso meiótico, que puede seguir su ruta normal una vez que la célula madre de las megásporas se haya definido en la nucela de alguna de las dos maneras antes expuestas.
Formación simultánea de varios sacos embrionarios en un mismo óvulo
El fenómeno referente a la formación de múltiples sacos embrionarios en un solo óvulo no parece ser frecuente en la familia, a juzgar por la escasa información al respecto en la bibliografía. Este fenómeno sólo ha sido referido para varias especies del género Crinum (Howell & Prakash 1990) y aparentemente en ningún otro género de la familia estudiado hasta la fecha. Davis (1966) cita la poliembrionía como frecuente en la familia, sin detallar el origen embriológico de la misma.
El proceso de formación de varios sacos embrionarios dentro de la nucela de un mismo óvulo en H. caribaea puede ser explicado según varios modelos hipotéticos basados en variaciones en el patrón morfogenético en diferentes etapas de la megasporogénesis y megagametogénesis. El primero de ellos supone la diferenciación en la nucela de más de una célula arquesporial, primaria o derivada, que siguen caminos paralelos durante la meiosis sin que ninguna sufra su degradación, formando sacos embrionarios gemelos. En este caso, como las dos células madre realizan meiosis independiente, las megásporas viables resultantes de este proceso pueden ser idénticas morfológica y funcionalmente, pero sus cualidades genéticas deben ser distintas entre sí puesto que se originan aisladamente como consecuencia de un proceso previo de recombinación genética individual.
Otra posibilidad consiste en que, luego de la definición de la megáspora funcional en el polo calazal al finalizar la megasporogénesis, una de las tres megásporas restantes persista también sin degenerar, y en vez de formar un sólo saco de origen bispórico, tipo Allium, la megáspora extra persistente pasa a formar otro saco embrionario reducido (haploide), de origen monospórico, similar al originado por la megáspora funcional. Dependiendo de la posición relativa entre la megáspora funcional y la otra megáspora persistente, los sacos embrionarios serían paralelos u opuestos, con relación a la posición de los núcleos que van a formar el saco embrionario maduro. La condición genética de los dos sacos no resulta idéntica en este modelo hipotético, puesto que cada saco se forma a partir de una célula haploide independiente.
Las variantes observadas en los resultados de la presente investigación podrían originarse de los siguientes patrones de división de una única megáspora funcional: si el plano de división de la megáspora persistente es opuesto al eje longitudinal del óvulo se van a originar dos células paralelas al eje del mismo, formando dos sacos embrionarios individuales al independizarse, cuyos núcleos originales estarán situados en polos opuestos del óvulo. Si por el contrario, el plano de división de esa célula es paralelo al eje longitudinal del óvulo, se van a originar dos células paralelas en sentido perpendicular al eje del mismo, surgiendo dos sacos embrionarios cuyos primeros núcleos estarían dispuestos en la misma posición (calazal o micropilar, dependiendo de la posición de la megáspora funcional), y como sería de esperarse en este caso (dado que la megáspora funcional está situada en el extremo calazal), los dos sacos embrionarios tendrían su primer núcleo orientado hacia el extremo calazal, tal y como fue observado en uno de los tres casos.
El fenómeno también podría producirse más tarde, durante la primera mitosis de la megagametogénesis; en este momento se originarían dos sacos embrionarios independientes a partir de cada una de las células idénticas formadas durante la primera división de la megáspora funcional, seguida por la vacuolización y extensión de cada saco embrionario, y el aislamiento funcional de los dos núcleos originados por mitosis para generar dos sacos embrionarios independientes en una misma unidad tegumentaria. Los sacos embrionarios producidos según estos dos últimos modelos serían genéticamente idénticos entre sí, puesto que la dualidad surge después del evento meiótico, a través de un evento mitótico que conserva completamente los atributos genéticos de la megáspora funcional.
Una posibilidad más remota - dadas las características de los sacos embrionarios observados -, es que el saco embrionario supernumerario se haya desarrollado a partir de la diferenciación directa de una célula cualquiera de la nucela, por cambios locales en la polaridad del óvulo sin intervención de la meiosis, formando un saco paralelo al proveniente de la meiospora (megáspora funcional), pero con una condición genética muy distinta de éste; en este caso, existiría un saco embrionario de carga genética reducida (haploide), y otro cuyas células presentarían el número cromosómico esporofítico, puesto que no ha mediado en su formación el proceso de meiosis.
Esta última observación luce más improbable (pero no imposible) puesto que en todos los casos observados, no sólo ambos sacos embrionarios son exactamente iguales, sino que además se encuentran sincronizados en el mismo estado de desarrollo, no importa cuál sea la posición de los núcleos que lo forman.
A pesar de no conocer el origen preciso de la proliferación atípica de los sacos embrionarios en el óvulo, parece claro que es un evento que tiene baja probabilidad de éxito en su culminación, puesto que en ninguno de los casos evaluados se encontró un óvulo con más de un saco embrionario maduro o una semilla con más de un embrión, por lo que el cese del desarrollo de este tipo de óvulos (o al menos de alguno de los sacos supernumerarios) parece ser temprano dentro del proceso de maduración del óvulo.
Menos probable todavía, pero posible, podría ser que eventualmente las paredes que colindan entre ellos se disuelvan, luego de alcanzar cierto grado de desarrollo paralelo entre los dos sacos embrionarios, y sus contenidos se fusionen antes de culminar el proceso de división, de forma que finalmente se obtiene un sólo saco embrionario normal.
En cualquier caso, sería necesario realizar estudios más profundos y rigurosos con una numerosa población de óvulos y semillas de esta especie evaluados en distintas etapas de desarrollo, para poder concluir si alguno de los modelos propuestos puede explicar cuál es el origen de este fenómeno, y cuál es el destino final de estos sacos embrionarios múltiples dentro de una sola unidad seminal.
Características seminales y de la germinación
La familia Amaryllidaceae se caracteriza, en general, por presentar semillas de cubierta seminal seca, esclerófila, de formas comprimidas o globosas, elipsoidales u ovoides, a veces con apéndices en forma de ala poco pronunciada, con formación de corcho en su madurez y con una capa de fitomelanina (deposición acelular oscura en la cubierta seminal) que les confiere una coloración marrón a casi negra (Dahlgren et al. 1985).
Las semillas de Hymenocallis se separan del patrón típico del grupo ya que son verdes, fotosintéticamente activas, con contenido de agua entre 70-90% (Dahlgren et al. 1985), y carecen de la capa de corcho y de fitomelanina comunes en otros grupos de Amaryllidaceae. Se caracterizan también por presentar una condición contrastante al resto de casi toda la familia: el desarrollo de una cubierta seminal que se origina por la proliferación de capas del mesofilo del tegumento externo, formando un mesofilo aerenquimatoso ancho, donde las capas externas tienen función fotosintética, y cuya epidermis además posee estomas. A diferencia de otras semillas de la familia, es característico el desarrollo de haces vasculares que abarcan la totalidad de la región periférica de la semilla, no restringiéndose a la zona de la cálaza y el rafe.
Biológicamente, estas características seminales de Hymenocallis concuerdan muy bien con el hábitat que explotan estas especies, donde es muy favorable su condición ligera y globosa, que junto con el aerénquima les confiere un bajo peso para su tamaño (baja relación peso/volumen), permitiéndoles flotar en el agua que rodea a estas plantas al menos estacionalmente, o bien ser desplazas por corrientes de agua cercanas (Raymúndez et al. 2000), siendo el medio para su dispersión.
Con relación al fenómeno de viviparía observado en H. caribaea, así como en otras especies del género que crecen en Venezuela (M. Raymúndez, datos no publicados), el fruto favorece este comportamiento pues es una cápsula de paredes muy delgadas que se secan tempranamente, rasgándose y dejando expuestas a las semillas en formación sobre la placenta, las cuales realizan actividad fotosintética desde momentos muy tempranos de su desarrollo.
El retraso en la formación del embrión, la capacidad fotosintética de la cubierta seminal y la viviparía aseguran que una vez que haya sido transportada esta semilla lejos de su progenitor dispone de lo necesario para tener oportunidad de asegurar su establecimiento. A su vez, esto le brinda la capacidad de alargar el tiempo que media entre la fertilización y la implantación, puesto que se retrasa la formación del embrión, ofreciédole más oportunidad de éxito a la dispersión dadas las limitaciones de protección del embrión de este tipo de semillas, que por ser carnosas no poseen tejido mecánico que proteja físicamente la unidad de dispersión, sobre todo de la desecación y muerte del embrión una vez formado.
Estas semillas parecen aprovechar las condiciones de humedad de su entorno, desarrollando en vez de una cubierta dura y seca, una cubierta seminal fotosintéticamente activa con suplemento de agua a través del mucílago acumulado en el aerénquima y capacidad de intercambio gaseoso por el desarrollo de los estomas en la epidermis.
Esta estrategia alternativa de las semillas carnosas puede darse en Hymenocallis porque no están sometidas a restricciones hídricas durante el período de formación y dispersión de las semillas, ya que su etapa reproductiva coincide con la presencia de agua abundante en el entorno. Esto sugiere que estas plantas pueden prescindir de la formación de tejidos metabólicamente más costosos en su cubierta seminal (tejido mecánico) y favorecer alargar su período de supervivencia a expensas de la actividad fotosintética de la cubierta seminal.
Algunos caracteres presentados por las semillas de Hymenocallis se consideran derivados dentro de las Amaryllidaceae, pues la condición más extendida dentro de la familia y grupos relacionados es la formación de semillas con las características anteriormente mencionadas (Dahlgren et al. 1985). La presencia de fitomelanina es considerada ancestral, pues es una sinapomorfía para las Asparagales en general,que se ha perdido en cinco oportunidades en la familia Amaryllidaceae, siendo una de ellas en los miembros de la tribu Hymenocallideae (salvo Leptochiton) (Meerow et al. 1999). Otra condición considerada como derivada es la formación de semillas carnosas en Hymenocallis y otros géneros de la familia pertenecientes a las tribus Amaryllideae, Haemantheae, Lycorideae y Eucharideae (Meerow 1989). Esta característica no es sinapomórfica en los grupos mencionados, pues el origen de la condición carnosa es distinto en cada uno. Mientras en las Hymenocallideae se deriva de la proliferación de un mesofilo aerenquimático originado por el tegumento externo, en la mayoría de las otras tribus la carnosidad es derivada de la acumulación de agua (Haemantheae) o de la presencia de un mayor volumen de endosperma (Amaryllideae), algunas veces de tipo oleoso (Cryptostephanus - Haemantheae, Lycorys - Lycorideae, Griffinia - Hippeastreae y una especie de Hippeastrum - Hippeastreae) (Meerow et at. 1999).
AGRADECIMIENTOS
Al Postgrado en Botánica de
BIBLIOGRAFIA
1. Arroyo, S.C. 1982. Anatomía vegetativa de Ixiolirion Fisch. ex Herb. (Liliales) y su significado taxonómico. Parodiana 1(2): 271-286. [ Links ]
2. Björnstad, I.N. 1970. Comparative embryology of Asparagoideae-Polygonateae, Liliaceae. Nytt. Mag. Bot. 17: 169-207. [ Links ]
3. Cave, M. 1948. Sporogenesis and embryo sac development of Hesperocallis and Leucocrinum in relation to their systematic position. Amer. J. Bot. 35: 343-349. [ Links ]
4. Cini, M. 1949. Osservazioni sul lembriologia di Nerine rosea e di Amaryllis belladonna (Amaryllidaceae). Nuovo G. Bot. Ital. 56: 441-50. [ Links ]
5. Dahlgren, R.M.T.
6. Dahlgren, R.M.T., Clifford, H.T. & Yeo, P.F. 1985. The families of monocotiledons: Structure, evolution and taxonomy. Springer-Verlag, Berlin-Heidelberg.
7. Dane, F. 1999. Sternbergia lutea (L.) Ker-Gawl. ex Sprengel (Amaryllidaceae) uzerinde sitoembriyolojik inceleme. Tr. J. Biol. 23: 9-22. [ Links ]
11. Dutt, B.S.M. 1957b. Morphology of the ovule of Crinum defixum Ker. Curr. Sci. 26: 22-23. [ Links ]
12. Dutt, B.S.M. 1958. Morphology of the ovule of Zephyranthes citrina Baker. Curr. Sci. 27: 501-502. [ Links ]
13. Dutt, B.S.M. 1959. Ovule and embryosac of Crinum latifolium L., a reinvestigation. Curr. Sci. 28: 293-294. [ Links ]
14. Dutt, B.S.M. 1964. Ovule and embryo sac of Pancratium maritimum L., a reinvestigation. Curr. Sci. 33: 150-151. [ Links ]
15. Dutt, B.S.M. 1970. Amaryllidaceae L. Symposium on comparative embryology of angiosperms. Bull. Indian Nat. Sci. Acad. 41: 365-367. [ Links ]
16. Dutt, B.S.M. 1971. Embryology of Pancratium longiflorum. Phytomorph. 20(1): 1-5. [ Links ]
17. Ekici, N. & Dane, F. 2008. Cytological and histological studies on female gametophyte of Leucojum aestivum (Amaryllidaceae). Biologia (Sect. Botany) 63(1): 67-72. [ Links ]
18. Endress, P.K. 2005. Links between embryology and evolutionary floral morphology. Curr. Sci. 89(5): 749-754.
20. Herr, J.M. Jr. 1984. Embryology and taxonomy. In: Embryology of angiosperms (Johri, B.M., ed.), pp. 647-696. Springer-Verlag, Berlin-Heidelberg. [ Links ]
21. Howell, G. & Prakash, N. 1990. Embryology and reproductive ecology of the Darling Lily, Crinum flaccidum Herbert. Austral. J. Bot. 38: 433-444. [ Links ]
22. Johansen, D.A. 1940. Plant microtechnique. Mc Graw-Hill Book Company, New York-London. [ Links ]
23. Johri, B.M. 1963. Female gametophyte. In: Recent advances in the embryology of Angiosperms (Maheshwari, P., ed.), pp. 69-103. International Society of Plant Morphologists.
24. Johri, B.M. & Ambegaokar, K.B. 1984. Embryology: then and now. In: Embryology of angiosperms (Johri, B.M., ed.), pp. 1-52. Springer-Verlag, Berlin.
25. Johri, B.M., Ambegaokar, K.B. & Srivastava, P.S. 1992. Comparative embryology of angiosperms. Springer-Verlag.
26. Judd, W.S., Campbell, C.S., Kellogg, E.A., Stevens, P.F. & Donoghue, M.J. 2007. Plant systematics: a phylogenetic approach. 3rd ed., Sinauer Assoc.
27. Mabberley, D.J. 1993. Mabberleys Plant-book: a portable dictionary of plants, their classifications, and uses. 3rd
28. Maheshwari, P. 1950. An introduction to the embryology of angiosperms. Mc Graw-Hill, New York.
29. Meerow, A.W. 1989. Systematics of the Amazon lilies, Eucharis and Caliphruria (Amaryllidaceae). Ann.
30. Meerow, A., Fay, M.F., Guy, C.L., Li, Q-B., Zaman, F.Q. & Chase, M.W. 1999. Systematics of Amaryllidaceae based on cladistic analysis of plastid sequence data. Amer. J. Bot. 86(9): 1325-1345.
31. Raymúndez, M.B. 1997. Estudios citogenéticos, embriológicos y morfoanatómicos en especies venezolanas del género Hymenocallis Salisb. (Amaryllidaceae). Tesis Doctoral. Facultad de Ciencias. Universidad Central de Venezuela. Caracas. [ Links ]
32. Raymúndez, M.B., Escala J., M. & Xena de Enrech, N. 2008. Microsporogénesis en Hymenocallis caribaea (L.) Herb. (Amaryllidaceae). Acta Bot. Venez. 31(2): 409-424. [ Links ]
33. Raymúndez, M.B., Xena de Enrech, N. & Escala, M. 2000. Estudios morfoanatómicos foliares en especies del género Hymenocallis Salisb. (Amaryllidaceae) presentes en Venezuela. Relación entre los caracteres morfoanatómicos foliares y el ambiente en el que se desarrollan las plantas. Acta Bot. Venez. 23(1): 69-88. [ Links ]
34. Sánchez, C. 1995. Guías de Laboratorio del Curso: Microtecnia Vegetal. Facultad de Agronomía, Postgrado en Botánica Agrícola, Maracay. Mimeografiado. [ Links ]
35. Savchenko, M.I. & Komar, G.A. 1965. Morphology of the monocotyledonous ovules. In: Flower morphology and reproductive process of angiosperms (Yakovlev, M.S., ed.), pp. 74-113. Akad. Nauk. SSSR. [ Links ]
36. Shamrov, I.I. 1999. The ovule and seed development in some representatives of the orders Liliales and Amaryllidales. Bot. Zhurn. 84(2): 13-33. [ Links ]
37. Stenar, H. 1951a. Zur die Embryologie von Haemanthus cathaerine Bak., nebst Erorterungen uber das helobiale Endosperm in den Amaryllidaceae und Liliaceae. Act. Hort. Berg. 16(2): 57-72. [ Links ]
38. Stenar, H. 1951b. Zur die Embryologie der Gattung Phaedranassa nebst einer Ubersicht uber den Endosperm - Typ bei den Amaryllidaceae. Bot. Noti. ser 104: 209-28. [ Links ]
39. Tobe, H. 1989. The embryology of angiosperms: its broader application to the systematic and evolutionary study. Bot. Mag. 102: 351-367. [ Links ]
40. Tobe, H. & Raven, P.H. 1983. An embryological analysis of Myrtales: its definition and characteristics. Ann.
41. Watson, L. & Dallwitz, M.J. 2008. The Families of Flowering Plants. http://deltantkey.com/angio/www/amaryllid. [ Links ]











uBio 


















