Interciencia
versão impressa ISSN 0378-1844
INCI v.31 n.6 Caracas jun. 2006
EFFECTS OF Aeromonas caviae CO-CULTURED IN MOUSE SMALL INTESTINE
Aurora Longa-Briceño, Zulma Peña-Contreras, Delsy Dávila-Vera, Rosa Virginia Mendoza-Briceño and Ernesto Palacios-Prü
Aurora Longa-Briceño. Bioanalist and doctoral student, in Basic Medical Sciences, Universidad de Los Andes (ULA), Venezuela. Researcher and Professor, ULA, Venezuela.
Zulma Peña-Contreras. M.Sc. in Basic Medical Sciences, ULA, Venezuela. Researcher and Professor, ULA, Venezuela.
Delsy Dávila-Vera. Biologist, ULA, Venezuela. Researcher, Center for Electron Microscopy, ULA, Venezuela.
Rosa Virginia Mendoza-Briceño. MD, ULA, Venezuela. Professor, ULA, Venezuela.
Ernesto Palacios-Prü. Doctor in Medical Sciences, ULA, Venezuela. Professor and Director of the Center for Electron Microscopy, ULA, Venezuela. Address: Apartado 175, Mérida 5101-A, Venezuela. e-mail: prupal@ula.ve
SUMMARY
The ultrastructural aspects generated by the interaction between two strains of Aeromonas caviae with mouse intestinal mucosa are described. One of the strains was isolated from an asymptomatic patient and the other one from a patient with diarrhea. Both strains were separately inoculated in closed cylinders of mouse small intestine and the whole preparations were incubated in Eagles culture medium. The intestinal cylinders were divided into two groups, one was incubated for 24h and the other for 48h. Samples of the co-cultures were processed for analysis using high resolution light microscopy and transmission electron microscopy. The strain isolated from the asymptomatic patient showed variable alterations in the intestinal mucosa, according to the different periods of incubation, whereas the one obtained from the patient with diarrhea always produced severe enteropathogenic effects.
EFECTOS DE Aeromonas caviae CO-CULTIVADA EN INTESTINO DELGADO DE RATÓN
RESUMEN
Se describen los hallazgos ultraestructurales producidos por la interacción de dos cepas de Aeromonas caviae con la mucosa intestinal de ratón. Una de las cepas fue aislada de un paciente asintomático y la otra de un paciente con diarrea. Ambas fueron inoculadas por separado en pequeños cilindros cerrados de intestino delgado de ratón, los cuales fueron incubados en medio de cultivo de Eagle. Los cilindros intestinales fueron divididos en dos grupos, uno fue cultivado por 24h y el otro por 48h. Muestras de estos cultivos fueron procesadas para microscopía de luz de alta resolución y microscopía electrónica de transmisión. La cepa aislada del paciente asintomático mostró alteraciones menores en la mucosa intestinal, de acuerdo a los diferentes períodos de incubación; mientras que la muestra obtenida del paciente con diarrea produjo siempre severos efectos enteropatológicos.
EFEITOS DE Aeromonas caviae CO-CULTIVADA NO INTESTINO DELGADO DE RATO
RESUMO
Descrevem-se as descobertas ultraestruturais produzidas pela interação de duas cepas de Aeromonas caviae com a mucosa intestinal de rato. Uma das cepas foi isolada de um paciente assintomático e a outra de um paciente com diarréia. Ambas foram inoculadas por separado em pequenos cilindros fechados de intestino delgado de rato, os quais foram incubados em cultivo de meio de Eagle. Os cilindros intestinais foram divididos em dois grupos, um foi cultivado por 24h e o outro por 48h. Amostras de estes cultivos foram processadas para microscopia de luz de alta resolução e microscopia eletrônica de transmissão. A cepa isolada do paciente assintomático mostrou alterações menores na mucosa intestinal, de acordo aos diferentes períodos de incubação; enquanto que a amostra obtida do paciente com diarréia produziu sempre severos efeitos enteropatológicos.
KEYWORDS / Aeromonas caviae / Co-cultures / Enterocytes /
Received: 10/10/2005. Modified: 04/10/2006. Accepted: 04/22/2006.
Introduction
The genus Aeromonas comprises gram-negative bacteriae that can be isolated from water and a diversity of foods. Some strains are important diarrhea producers, particularly in children under five years and in older adults (Kirov et al., 2000). The clinical manifestations of diarrhea vary from autolimited symptoms to severe cases with presence of mucus and blood in faeces, suggesting that, as in Escherichia coli pathogenic types, Aeromonas' virulence is multifactorial (Janda and Abbott, 1998; Kirov et al., 1999). The Aeromonas enteropathogenic capability is usually underrated (Janda and Abbott, 1998; Kirov et al., 1999). Although a great variety of virulence factors have been described, the more important ones are the toxins produced by the bacterial strains. For example, the toxin of Aeromonas hydrophila can induce apoptosis, which denotes the pathogenic potential of this species. Toxin production is a feature of virulence observed in invasive microorganisms like Salmonella, Shigella, Yersinia sp., enterohemorrhagic E. coli and Helicobacter pylori (Heczco et al., 2001; Galindo et al., 2004). The pathogenicity of the Aeromonas genus is controversial because only some specific Aeromonas strains are pathogenic to humans (Joseph and Carnahan, 2000). Approximately 85% of Aeromonas strains isolated from patients having diarrhea belong to the species of A. hydrophila, A. veronii bv sobria and A. caviae (Janda and Abbott, 1998).
Information about decisive diarrhea virulence factors is limited, due to lack of appropriate animal models for the study of Aeromonas genus. With the models developed up to now, it has not been possible to reproduce the symptoms of diarrhea (Merino et al., 1996; Sanderson et al., 1996; Graf, 1999). Recently, colonization models have been reported in which Aeromonas spp. grew but did not cause diarrhea in streptomycin-treated mice and germ-free chickens (Almeida and Nunes, 1996; Graf, 1999). In this regard, the development of an in vitro model to explore the mechanisms related to the colonization of the digestive tract by Aeromonas spp., as well as the determination of the mechanisms of interaction with the host epithelium, provides a valuable tool in the study of Aeromonas' pathogenicity (Graf, 1999). On the other hand, the critical steps in the pathogenesis of virulent strains involve the adhesion and colonization of the intestinal mucosa by Aeromonas. As there is scarce information about the interaction between the host and Aeromonas spp., the present focuses in the analysis of the mechanism causing the pathogenicity of A. caviae in co-cultures of isolated bacteriae with intestinal cells, using high resolution light microscopy and transmission electron microscopy.
Materials and Methods
Bacterial strains and growth conditions
Two strains of Aeromonas caviae were used, one (A) isolated from an asymptomatic patient and the other one (D) from a patient with diarrhea in which the isolated Aeromonas was the only enteropathogen. The strains were inoculated in trypticase soya agar (HIMEDIA Laboratories Ltd., Bombay, India 400 086) at a concentration of 1.5×108 CFU/ml and incubated for 24h. After incubation the media were gently filtered and the corresponding Aeromonas strain resuspended in 1ml Basal Medium Eagle (BME).
Tissue culture procedure
Segments of the small intestine were removed from the abdominal cavity of young adult NMRI mice to prepare small intestine cylinders of ~3cm in length that were sterilized with a 10% chlorine solution. One end of each intestinal cylinder was tied with sterile surgical thread and the cavity was filled with 1.5×108 CFU/ml of a given one of the two Aeromonas strains suspended in BME. After filling, the cylinders were tied close with surgical thread. The whole preparations were co-cultured in 50ml of tissue culture media containing 90% BME with Earle's salts and L-glutamine, 10% horse serum, 5000IU/ml penicillin and 5mg/ml streptomycin, 360mOsm, pH 7.2, at 37ºC, under constant rotation at 70rpm, for 24h and 48h. During the incubation period, the media were oxygenated every 4h during daytime. Control small intestine cylinders were cultured for 48h under the same conditions but without Aeromonas inside.
Once the programmed culture time was accomplished, the intestinal cylinders were removed from the flasks and immediately immersed in a fixing solution containing 3% glutaraldehyde and 3% formaldehyde in 0.1M cacodylate buffer, pH 6.3 (Palacios-Prü and Mendoza-Briceño, 1972) during 6h at 4ºC.
The intestinal cylinders were cut in small sections of approximately 3mm3, washed in 0.1M cacodylate buffer, pH 7.2, and postfixed for 24h in 1% osmium tetroxide prepared in the same buffer. The tissue was then dehydrated in ascending concentration ethanol solutions, followed by propylene oxide and finally embedded in Epon 812. Sections of 1µm were stained with 1% toluidin blue and observed under a high resolution light microscope. Sections of 90nm were contrasted with uranyl acetate (Watson, 1958) and lead citrate (Reynolds, 1963) using a modification of this classic method (Palacios-Prü et al., 1981) and were analyzed using a Hitachi-7000 transmission electron microscope.
Results
Light microscopical observations revealed a varying degree of histological alterations of the intestinal wall, according to the severity of the damage. The major tissue damage is shown in Figure 1, where a large bacterial cluster can be seen occupying the crypts between intestinal folds. In most cases, the intestinal wall showed a high degree of generalized cellular atrophy with tissue lysis when the diarrhea producing strain (D) was used. These images were seen at 24h as well as at the 48h samples of incubation.
In cases of moderate damage, the basic cytoarchitecture of the intestinal mucosa was preserved and it was possible to recognize enterocytes, mucous cells and germinative or mother cells (Figures 2 and 3). The villi as well as the majority of the crypts were seen, although some of them were shorter and thicker (Figures 2 and 3). These mild damages were caused when the strain A from the asymptomatic species was employed for the co-culture.
Microvilli were seen forming part of the apical surface of the enterocyte as well as cytoplasmic protrusion that come from the apical portion of the enterocytes (Figure 4). Some segments of the intestinal cylinder co-cultured with Aeromonas strains showing a higher degree of alterations contains clusters of spheroidal cells associated to bacterial elements (Figures 3 and 6).
Transmission electron microscopy revealed minor alterations of the intestinal mucosa when the strain from asymptomatic patients (A) was co-cultured. Most enterocytes were seen with typical ultrastructural characteristics, however, they showed numerous apical protrusion detachments (Figures 2 and 4). In more damaged regions, there was a progressive atrophy of the epithelial cells showing loss of microvilli and large cellular vacuoles loaded with cellular detritus (Figure 5).
In the intestinal regions having intermediate epithelial alterations, globular cells identified as blood and lymphatic cells were observed in the gut lumen associated to Aeromonas and cellular debris (Figures 3 and 6). Eosinophils were seen with multilobular nuclei and their characteristic lysosomes with crystal-like structures (Figures 7 and 8). In Figure 8 phagocytated Aeromonas within the eosinophilic cytoplasm are clearly visible.
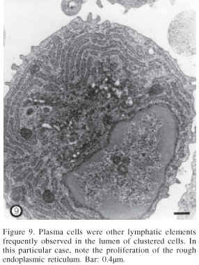
Cells identified as lymphocytes (Figure 7) and others as plasma cells (Figure 9) were also observed as part of the clusters of globular cells found in the small intestine cylinder lumen after two days of culture.
In Figure 10 an image is shown of a cylinder of small intestinal segment incubated for 48h using the same culture conditions but without Aeromonas in its lumen, with the purpose to compare the control cylinders to the ones co-cultured with the bacteriae. No atrophic cells are seen and there are no visible epithelial protrusions, extraepithelial cells nor microulcerations of the intestinal wall. The villi and crypts show minor changes due to the culture conditions.
Discussion
Although the genus Aeromonas shows high levels of virulence expressed by several factors according to some authors (Joseph, 1993; Kirov et al., 2000; Neves et al., 1994), its capability to produce gastrointestinal illness has been underestimated since its precise mechanism of pathogenicity is not well known. The different clinical manifestations of the diarrheas associated with Aeromonas spp. are caused by a combination of several virulence factors (Tso and Dooley, 1995). Chakraborty et al. (1984) reported that the presence and/or production of virulence determinants can vary in different Aeromonas strains, depending on genetic and environmental factors. Joseph and Carnahan (2000) elaborated a theory based on the idea that only specific subsets of Aeromonas strains are pathogens to humans and explained the contradictions of the pathogenicity of this genus.
More recently, a toxin (Atc) produced by an A. hydrophila strain was reported to induce intracellular signaling for apoptosis of intestinal epithelial cells (Galindo et al., 2004). Little information exists on the ultrastructural aspects of the interaction between the host and Aeromonas in the gastrointestinal tract. The analysis of the morphological alterations produced by enteric infections is a useful tool to evaluate bacterial pathogenicity, as has been demonstrated in the study of the pathogenic mechanisms involved in bacterial infections of Vibrio cholerae, Shigella, Salmonella and Yersinia (Polotsky et al, 1994).
The experimental model employed in this study using co-cultures of mouse intestinal mucosa with Aeromonas caviae revealed important information on the pathogenicity of this species in gastrointestinal infections. The strain A, isolated from the asymptomatic patient, produce minor to mild alterations of the intestinal wall, while more pronounced alterations were found at both periods of incubation when strain D, from the patient with diarrhea, was used to prepare the co-cultures. The damage produced was demonstrated by the alteration of the integrity of intestinal microvilli, disruption of the epithelium and presence of mucosal microulcerations, which were brought about by the fact that this strain is a high cytotoxin producer and may possess other virulence factors as well (Kirov et al., 1999, 2000; Merino et al., 1996).
These strains belong to the A. caviae species and were considered of lesser virulence than other strains of this species (Abbott et al., 1992). Several studies have demonstrated that A. caviae could cause illness in humans (Pal et al., 1992; Karunakaran and Devi, 1995). The pathogenicity of Aeromonas has been confirmed in the present study and its virulence has been corroborated as strain-specific and not species-specific. Among other factors, Chakraborty et al. (1984) demonstrated through the cloning of the enterotoxin gene of a strain of Aeromonas spp., that the enterotoxic, cytotoxic and haemolytic characteristics of these strains were determined by different genes located in three different segments of the bacterial genome. As described in other bacterial genera, the size of the inoculum is important (Polotsky et al., 1994) and, as shown in the present analysis, more lesions of the epithelium were seen when bacteriae isolated from the symptomatic patient were used.
When the intestinal epithelium lesions were observed no bacteriae adhered to the cells were seen, indicating that direct bacteria-epithelial cell contact was not required for tissue alterations; on the contrary, it seems that Aeromonas triggers a chemotactic response which activates migratory actions to the lymphatic cells from the adjacent lymphatic plaques. Chemotactic substances and the endotoxins released by Aeromonas could stimulate the production of histolysin, which enables the eosinophilic granulocytes and mononuclear cells to phagocytose bacteria in the intestinal cavity.
The lymphatic submucous plaques and the autonomous defensive structures are able to act in culture conditions even in the absence of circulatory blood elements, bone marrow cells or other lymphatic organs. Among the defense elements that migrate in answer to the chemotactic stimulus are the eosinophilic granulocytes, which have been reported to participate only in parasitic diseases. In the present report their capability to defend intestinal cells against bacterial aggressions (Gil-Castro et al., 1991; Persson et al., 2001) is ultrastructurally documented.
The strain isolated from the patient with diarrhea produced important alterations in the intestinal mucosa, indicating its enteropathogenic potential. This strain is a cytotoxin producer and, as has been pointed out for Shigella, a correlation exists between the severity of the lesions of the mucosal membrane and the toxigenicity of a particular strain (Polotsky et al., 1994). It is concluded that the genus Aeromonas has great enteropathogenic potential, although additional studies are necessary to know more about the pathogenicity of other Aeromonas strains.
ACKNOWLEDGEMENTS
The authors thank Nancy Pacheco and José Benigno Ramírez for their technical and photographic assistance. This study was partly supported by CDCHT-ULA grant M-727-01-03-B from the Universidad de Los Andes, Venezuela.
REFERENCES
1. Abbott SL, Cheung W, Kroske S, Malekzadeh T, Janda JM (1992) Identification of Aeromonas strain to the genospecies level in the clinical laboratory. J. Clin. Microbiol. 30: 1262-1266. [ Links ]
2. Almeida V, Nunes M (1996) Behaviour of Aeromonas spp. after animal passage. Mem. Inst. Oswaldo Cruz. 97: 499-500. [ Links ]
3. Chakraborty T, Montenegro M, Sanyal S, Helmuth R, Bulling E, Timmis K (1984) Cloning of enterotoxin genes from Aeromonas hydrophila provides exclusive evidence of production of a cytotoxic enterotoxin. Infect. Immun. 46: 435-441. [ Links ]
4. Galindo C, Fadl A, Sha J, Gutiérrez C, Popov V, Boldogh I, Aggarwal B, Chopra A (2004) Aeromonas hydrophila cytotoxic enterotoxin activates mitogen-activated protein kinases and induces apoptosis in murine macrophages and human intestinal epithelial cells. J. Biol. Chem. 10: 1074. [ Links ]
5. Gil Castro A, Esaguy N, Macedo P, Aguas A, Silva M (1991) Live but heat-killed mycobacteria cause rapid chemotaxis of large numbers of eosinophils in vivo and are ingested by the attracted granulocytes. Infect. Immun. 59: 3009-3014. [ Links ]
6. Graf J (1999) Symbiosis of Aeromonas veronii biovar sobria and Hirudo medicinalis. The medicinal leech: a novel model for digestive tract associations. Infect. Immun. 67: 1-7. [ Links ]
7. Heczco U, Carthy Ch, O´Brien B, Finlay B (2001) Decreased apoptosis in the ileum and ileal Peyer´s patches: a feature after infection with rabbit enteropathogenic Escherichia coli O103. Infect. Immun. 69: 4580-4589. [ Links ]
8. Janda JM, Abbott SL (1998) Evolving concepts regarding the genus Aeromonas: an expanding panorama of species, disease presentations, and unanswered questions. Clin. Infect. Dis. 27: 332-344. [ Links ]
9. Joseph SW (1993) Aeromonas: Current and future perspectives. Med. Microbiol. Lett. 2: 196-199. [ Links ]
10. Joseph SW, Carnahan AM (2000) Update on the genus Aeromonas. ASM News. 66: 218-223. [ Links ]
11. Karunakaran T, Devi B (1995) Proteolytic activity of Aeromonas cavia. J. Basic Microbiol. 35: 241-247. [ Links ]
12. Kirov S, ODonovan L, Sanderson K (1999) Functional characterization of type IV pili expressed on diarrea-associated isolates of Aeromonas species. Infect. Immun. 67: 5447-5454. [ Links ]
13. Kirov S, Barnett T, Pepe C, Strom M, Albert J (2000) Investigation of the role of type IV Aeromonas pilus (Tap) in the pathogenesis of Aeromonas gastrointestinal infection. Infect. Immun. 68: 4040-4048. [ Links ]
14. Merino S, Rubires X, Aguilar A, Guillot JF, Tomás JM (1996) The role of the o-antigen lipopolysaccharide on the colonization in vivo of the germfree chicken gut by Aeromonas hydrophila serogroup O:34. Microb. Pathog. 20: 325-333. [ Links ]
15. Neves M, Nunes M, Milhomen A (1994) Aeromonas species exhibit aggregative adherence to hep-2 cells. J. Clin. Microbiol. 32: 1130-1131. [ Links ]
16. Pal A, Ramamurthy T, Ghosh A, Pal S, Takeda Y, Balarish M (1992) Virulence traits of Aeromonas strain in relation to species and source of isolation. Zbl. Bakt. 276: 418-428. [ Links ]
17. Palacios-Prü EL, Mendoza-Briceño RV (1972) An unusual relationship between glial cells and neuronal dendrites in olfactory bulbs of Desmodus rotundus. Brain Res. 36: 404-408. [ Links ]
18. Palacios-Prü EL, Palacios L, Mendoza-Briceño RV (1981) Synaptogenetic mechanism during chick cerebellar development. J. Submicrosc. Cytol. 13: 145-167. [ Links ]
19. Persson T, Andersson P, Bodelsson M, Laurell M, Malm J, Egesten A (2001) Bactericidal activity of human eosinophilic granulocytes against Escherichia coli. Infect. Immun. 69: 3591-3596. [ Links ]
20. Polotsky Y, Dragunsky E, Khavkin TH (1994) Morphologic evaluation of the pathogenesis of bacterial enteric infections. Crit. Rev. Microbiol. 20: 161-208. [ Links ]
21. Reynolds E (1963) The use of lead citrate at high pH as an electron opaque stain in electron microscopy. J. Cell Biol. 17: 208-212. [ Links ]
22. Sanderson K, Ghazali FM, Kirov S (1996) Colonization of streptomycin-treated mice by Aeromonas species. J. Diarrhea Dis. Res. 14: 27-32. [ Links ]
23. Tso M, Dooley J (1995) Temperature-dependent protein and lipopolysaccharide expression in clinical Aeromonas isolates. J. Med. Microbiol. 42: 32-38. [ Links ]
24. Watson HL (1958) Staining of tissue sections for electron microscopy with heavy metals. J. Biophys. Biochem. Cytol. 4: 475-478. [ Links ]











uBio 






