Services on Demand
Journal
Article
Indicators
-
Cited by SciELO -
Access statistics
Related links
-
Similars in
SciELO
uBio
Share
Investigación Clínica
Print version ISSN 0535-5133
Invest. clín vol.44 no.2 Maracaibo June 2003
A study about the effect of Vitamin E on hyperlipidemia and atherosclerotic lesions in New Zealand white rabbits fed with a 1% cholesterol rich diet.
Marysabel Torres1, Mercedes Márquez1, Rosalía Sutil1, Maira Carrizales1, María Leal1 y Aldo Reigosa2.
1Departments of Pharmacology and 2Pathologic Anatomy, School of Medicine, University of Carabobo, Valencia, Venezuela.
ABSTRACT
The purpose of this study was to determine whether the administration of Vitamin E (200mg/day) for 4 weeks could decrease hypercholesterolemia and inhibit atherosclerosis in male hypercholesterolemic New Zealand White rabbits. Plasmatic Total Cholesterol (TC) and LDL-Cholesterol (LDLc) were determined by enzymatic methods and Vitamin E was determined in plasma by HPLC at weeks 0, 4 and 8. A histopathological study was carried out at week 8 (w8), using a hematoxylin-eosin method. Forty rabbits were divided randomly into 5 groups and fed different diets. These diets included a Normal diet, a 1% Cholesterol rich diet, a Normal diet + Vitamin E and 1% Cholesterol rich diet + Vitamin E. The findings did not show a reduction of Total Cholesterol and LDLc in the groups of rabbits that received Vitamin E (III and IV) at weeks 4 and 8. At the end of the experiment, all the animals were deeply anesthetized with hydrochloride ketamina (60 mg/kg body wt) in order to carry out a histopathological study. Regarding the atherosclerotic lesions, Vitamin E did not induce inhibition of the atherosclerotic plaque development or any modification in the lesion type induced by the hypercholesterolemic diet. In conclusion, the results suggest that additional studies need to be carried out with higher doses and/or treatments for a longer period in order to clarify in detail whether Vitamin E really has a hypocholesterolemic effect and inhibits atherosclerosis.
Key words: Atherosclerosis, New Zealand rabbits, hyperlipidemia, vitamin E.
Efecto de la vitamina E sobre la hiperlipidemia y lesiones ateroescleróticas en conejos blancos Nueva Zelandia alimentados con una dieta rica en colesterol al 1%.
RESUMEN
El propósito de este estudio fue determinar si la administración de Vitamina E (200mg/día) por 4 semanas podía disminuir la hipercolesterolemia e inhibir la aterosclerosis en conejos machos Nueva Zelandia. El Colesterol total plasmático (CT) y el LDL-colesterol (LDLc) fueron determinados por método enzimático y la Vitamina E en plasma por HPLC a la semana 0, 4 y 8. A la semana 8 (8s) un estudio histopatológico fue llevado a cabo usando el metodo de hematoxilina-eosina. Cuarenta conejos fueron divididos al azar en 5 grupos y alimentados con diferentes dietas. Estas dietas incluyen una dieta normal, dieta rica en 1% de Colesterol, una dieta normal + vitamina E y una dieta rica en 1% de Colesterol + vitamina E. Los hallazgos de este trabajo no muestran una reducción del CT y LDLc en los conejos que recibieron Vitamina E a las semanas 4 y 8. Al final del experimento, a fín de realizar el estudio histopatológico, todos los animales fueron profundamente anestesiados con hidrocloruro de ketamina (60 mg/Kg/peso corporal). Con respecto a las lesiones ateroscleróticas, la Vitamina E no indujo inhibición del desarrollo de la placa aterosclerótica ni modificaciones en los tipos de lesiones inducidas por la dieta hipercolesterolémica. En conclusión, los resultados sugieren que serían necesario realizar estudios adicionales con mayores dosis y/o tratamientos mas prolongados para clarificar en detalle si la Vitamina E realmente posee efecto hipocolesterolémico e inhibe la aterosclerosis.
Palabras claves: Ateroesclerosis, conejos Nueva Zelandia, hiperlipemia, vitamina E.
Recceived: 05-11-01. Accepted: 14-10-02.
INTRODUCTION
Hypercholesterolemia is a major risk factor for atherosclerosis (1). An increased rate of low density-lipoprotein cholesterol (LDLc) oxidation may increase the risk of premature atherosclerosis (2). The premise that oxidative stress, among several other factors, plays an important role in atherogenesis implies that the development and progression of atherosclerosis can be inhibited by antioxidants (3).
Vitamin E is the major liposoluble antioxidant active in biological systems (4) and may benefit rabbits that are fed an atherogenic diet by inhibiting the development of atherosclerotic lesions (5). The purpose of this study was to determine whether vitamin E could decrease hypercholesterolemia and inhibit aortic atherosclerotic lesions in hypercholesterolemic New Zealand White rabbits.
MATERIALS AND METHODS
Forty male New Zealand White rabbits (8-10 weeks old) were obtained from the Venezuelan Institute for Scientific Investigation (IVIC), Caracas, Venezuela. Procedures and care used in animals were in compliance with the Guide for the Care and Use of Laboratory Animals (6). The University of Carabobos Research Ethics Committee, Venezuela approved the study. The animals were housed individually in steel cages under controlled light, and acclimatized 1 week prior to the study. They were fed normal rabbit chow (ND) (Protinal, Valencia, Venezuela) and divided randomly into 5 groups, which received an average of 150g/day of different diets. See Table I for a description of each group. The chow was weighed before and after being consumed. A hypercholesterolemic diet was prepared weekly by adding Cholesterol (Sigma, St. Louis, MO) to the normal diet and stored until used at 4°C. Vitamin E, 200mg/day (Elmor Laboratories, Venezuela) was added daily to the corresponding diet. All animals were weighed weekly.
Hystological analysis
At the end of the treatment, the rabbits were deeply anesthetized with ketamine hydrochloride (60-mg/kg body wt). The descendent aorta was removed; each aortic segment was cleaned of adventitial tissue, rinsed with isotonic saline and opened along the intercostals. The opened aortas were flattened on strips of paper with the intimal side up. After adherence to the paper strips, the vessels were fixed face down overnight with 10% buffered formalin at room temperature. The fixed aortas were dyed with hematoxylin-eosin (7). Then, the lesions were identified by a microscopic eyepiece micrometer and classified following the American Heart Association criteria (8), which considers Type II lesions as early lesions. Type III lesions, known as intermediate lesions or preatheromas, form the bridge between early and advanced lesions. Type IV lesions, known as atheroma, are the first lesions considered advanced by histological criteria. In this classification the term advanced lesion is used as an umbrella term for lesions that disrupt initial structure, i.e., all lesions following Type IV). Type V lesions show substantial reparative fibrous connective tissue layers, in addition to one or more lipid cores that may be labeled Type Va (fibroatheroma) or Type Vb lesions, characterized by calcified lesions.
Lipid determination
At weeks 0 (prior to the study), 4 and 8 (after receiving the diets) blood samples were taken from the ear marginal vein and Total Cholesterol and LDLc were determined in plasma using enzymatic and colorimetric methods (Wiener Laboratories S.A.I.C., Argentina).
Vitamin E determination
Serum alpha tocopherol in all animals was measured by an isocratic reverse phase HPLC method (9). The samples were analyzed using a Hewlett-Packard HPLC system, equipped with Sherisorb C-18 column. Mobile phase (filter and degassed), methanol/water (95:5 v/v) was determined using eluted tocopherol. The flow rate was set to 1,5 mL/min and the wavelength of the eluate was monitored at l = 292 nm. Serum levels of tocopherol were standardized with media plasmatic Cholesterol + plasmatic Triglycerides (10).
Statistical analysis
Differences in lipid values among groups were tested using one-way ANOVA in conjunction with Tukey-Kramer Multiple Comparisons. (Instat 1.1, Graph PAD Software, San Diego, CA). The statistical probability of p < 0.05 was considered significant. Atherosclerotic lesions were observed in each group and the results expressed in %, taking into account the total number of lesions in each group and classified by type and their respective percentage.
RESULTS
Total cholesterol (TC) and LDLc
Group I did not show changes in TC and LDLc concentrations at w4 and w8 (p > 0.05). Group II showed a significant increase in TC and LDLc at w4 and w8 (p < 0.001). Group III showed a significant increase in TC at w4 (p<0.001), this group received Vitamin E + 1% Cholesterol rich diet between w4 and w8 and did not diminish significantly TC and LDLc levels at w8 in relation to w4 (p>0.05). Group IV increased TC levels at w4 (p<0.001); when the hypercholesterolemic diet was suspended between w4 and w8 and a normal diet + Vitamin E was administered, TC and LDLc levels decreased significantly at w8 in relation to w4 (p < 0.001), but did not reach baseline values. Group V increased significantly its TC and LDLc levels at w4 (p < 0.001), the suspension of 1% Cholesterol rich diet at w4 and the administration of a normal diet between w4 and w8 decreased significantly TC and LDLc levels at w8 in relation to w4 (p<0.001). This groups TC and LDLc values at w8 did not show significant differences with baseline values. Maximum decrease of TC and LDLc concentrations was not reached with the administration of Vitamin E, although it was reached with a normal diet (Figs. 1 and 2).
Vitamin E
Baseline values of Vitamin E in all groups were similar. Group I did not show significant differences at any point during the study. Group II, which received a hypercholesterolemic diet during the whole experiment, did not exhibit significant differences between baseline values and w4 values (p0.05); in contrast, it showed significant differences between baseline values and w8 values (p<0.001), and between the values of w4 and w8 (p<0.001). Group III did not present significant differences between baseline values and w4 values (p>0.05) while it did show significant differences between baseline values and w8 values (p<0.001), and between the values of w4 and w8 (p<0.001). This group had the highest Vitamin E value. Group IV did not show significant differences between baseline values and w4 values, while significant differences were found between baseline values and w8 values (p<0.001), and between the values of w4 and w8 (p<0.001). Group V showed a tendency to increase its baseline values at 4 weeks, but the increase was not statistically significant (p>0.05); similarly, this group did not show significant differences during other periods (Table II).
Histopathological study
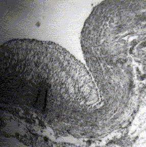
There were no consistent differences in the percentage of lesions by type among the groups (Table III). All groups, except control group (I) showed predominantly Type III (Fig. 3) and Type IV (Fig. 4) lesions.
DISCUSSION
Vitamin E is a highly effective antioxidant, carried in the plasma by lipoproteins, including LDLc, where it works as a protector of polyunsaturated fatty acids, present mainly in phospholipids and cholesterol esters that protect against free radical damage (11). The concentration of Vitamin E in LDL particles may be an important determinant of atherosclerosis risk (12).
In the present study, the administration of 1% Cholesterol rich diet to New Zealand White rabbits for 4 weeks induced a hypercholesterolemic condition, fact that corresponds with other studies (12, 13).
It was assessed whether oral supplementation with 200 mg/day of Vitamin E between weeks 4 and 8 in New Zealand White rabbits fed with 1% Cholesterol rich diet for 4 weeks could decrease significantly TC and LDLc levels and protect against atherosclerosis. The results showed a higher reduction of TC and LDLc levels in rabbits whose hypercholesterolemic diet was suspended at w4 and received a normal diet between weeks 4 and 8 in relation to rabbits that received, during the same period and conditions, a normal diet plus Vitamin E.
Fig 3. Type III lesión. Foam cells surrounded by intracellular lipids of searce to moderate quantity.
Fig 4. Type IV lesion, foam cell collections with great accumulation of intra and extracellular lipids ean be observed.
The fact that incorporation of Vitamin E between weeks 4 and 8 in Group IV prevented an increase of TC and LDLc at week 8 in relation to week 4 does not mean that the administration of Vitamin E has any effect since Group V, which did not receive Vitamin E, but a normal diet, showed similar results. This means, at least in the experimental model used in this research, that an adequate diet represents a better way for controlling hypercholesterolemia than supplementation with Vitamin E.
The results of this research coincide with an earlier study in rabbits, which reported that mean plasma total cholesterol in an alpha-tocopherol treated group was not significantly lower than controls (13). However, other studies on rabbits and mice (14-16) reported that supplementing a diet with vitamin E improved some important plasma lipids parameters but did not have an effect on the atherosclerotic plaque formation.
Regarding the histological study of this investigation, when comparing the results of Groups II and III, it is observed that in the former group, Type IV/Type III lesions relationship was higher (1.22) than groups III (0.47). In this sense, it is important to notice that Type IV lesions are more advanced than Type III lesions. However, when comparing Group IV and V it is observed that in group IV, which incorporated Vitamin E between w4 and w8 showed that Type IV /Type III lesions relationship is higher (0.6) than groups V (0.26). Group V results could be attributed to the fact that advanced structural damage induced by the hypercholesterolemic diet cannot not be reverted by a normal diet only. Therefore, these results do not permit to conclude that Vitamin E reduces atherosclerotic plaque development.
Results on atherosclerotic plaque coincide with other studies done in New Zealand rabbits (17,18), Watanabe heritable hyperlipidemic rabbits (19) and mice (16); but differs with two studies in rabbits, which reported significant inhibition of atherosclerosis by Vitamin E (20,21). Besides, it is relevant to mention that the histological study of this research had as a limitation, the quantification of atherosclerotic lesions by frequency and type, which does not measure extension of atherosclerotic lesions.
On the other hand, several epidemiological studies, like the Cambridge Antioxidants Study (21) and Vitamin E and coronary mortality in the elderly (22, 23) showed that there is an inverse relation between Vitamin E and the risk of atherosclerosis.
These results may be due to several factors: the amount of plasma cholesterol concentration (about 1600 mg/dL) reached in this study with a 1% Cholesterol rich diet was very high. Therefore, to obtain a successful pharmacological intervention with Vitamin E may require carrying out a study under these same conditions but for a period longer than 6 months or several years (19). The reduction of hyperlipidemia and atherosclerosis only occurs when antioxidants are given in relative high amounts. Hence, the degree of antioxidant protection provided by 200mg/day of Vitamin E for 4 weeks was insufficient to influence hyperlipidemia and atherogenesis (19). However, the data obtained in this study are in agreement with previous extensive clinical studies (24, 25).
The absence of a significant protection by Vitamin E cannot be attributed to poor enrichment of serum lipoproteins since plasmatic concentrations were markedly higher (65 fold) in Group III and 15 fold in Group IV, which had Vitamin E supplementation. Groups III higher concentrations of Vitamin E in relation to group IV could be explained since vitamin E is liposoluble and its absorption is higher when it is administered jointly with a Cholesterol rich diet as shown in this group.
In conclusion, the results show that additional studies are needed in order to clarify in detail whether Vitamin E supplementation does decrease hypercholesterolemia and attenuates atherosclerosis progression.
ACKNOWLEDGMENT
CDCH University of Carabobo, Grant 96008, sponsored this research.
The authors wish to thank Lidia Bagur, Ruben Toro, José Luis Macias, Robinsón Oviedo, Marisol Flores and Luis Lara for their technical assistance.
REFERENCES
1. Sharma N, Desigan B, Ghosh S, Sanyal SN, Ganguly NK, Majumdar S. Effect of antioxidant Vitamin E as a protective factor in experimental atherosclerosis in rhesus monkeys. Ann Nutr Metab 1999; 43(3):181-190. [ Links ]
2. El-Swefy S, Schaefer E J, Seman LJ, Van Dongen D, Sevanian A, Smith DE, Ordovas JM, El Swedy M and Meydani M. The effect of Vitamin E, probucol and lovastatina on oxidative status and aortic fatty lesions in hyperlipidemic-diabetic hamsters. Atherosclerosis 2000; 149(2):277-286. [ Links ]
3. Carr AC, Zhu BZ, Frei B. Potential antiatherogenic mechanism of ascorbate (vitamin C) and alpha-tocopherol (vitamin E). Circ Res 2000; 187(5):349-354. [ Links ]
4. Janero DR. Therapeutical potential of Vitamin E in the pathogenesis of spontaneous atherosclerosis. Free Radical Biol Med 1991; 11:129-144. [ Links ]
5. Schwenke DC, Behr SR. Vitamin E combined with selenium inhibits atherosclerosis in hypercholesterolemic rabbits independently of effects on plasma cholesterol concentrations. Circ Res 1998 24; 83(4): 366-377. [ Links ]
6. Guide for the care and use of animals. 1996. Institute of Laboratory Animal Resources. National Research Council. National Academy Press, Washington DC, USA. [ Links ]
7. Luna L. The Histological Staining Manual. Methods of the Armed Forces Institute of Pathology. 1968 Cap 1-4: 11-37. Editions Mc Graw Hill. New York. USA. [ Links ]
8. Stary H, Blakley C, Dinsmore R, Fuster V, Glagov S, Insul W, Rosenfeld M, Schawartz C, Wagner W, Wissler R. A definition of advanced type of atherosclerotic lesions and histological classification of atherosclerosis. A report from the Committee on vascular lesions of council on Atherosclerosis American Heart Association. Atherioscler Thromb and Vasc Biol 1995; (9):1512-1531. [ Links ]
9. Bieri JG, Evarts RP. Gamma tocopherol: metabolism, biological activity and significance in human vitamin E nutrition. J Clin Nutr 1974; 27:980-986. [ Links ]
10. Gey KF. Prospects for the prevention of free radical disease, regarding cancer and cardiovascular disease. Br Med Bull 1993; 49(3), 679-699. [ Links ]
11. Wiseman SA, Van Den Boom MAP, De Fouw NJ, Wassink MJ, Op Den Kamp JAF, Tuburg LBM. Comparison of the effects on dietary vitamin E on in vivo and in vitro parameters of lipid peroxidation in rabbits. Free Radical Biology & Medicine 1995; 19: 5, 617-626. [ Links ]
12. Anderson TL, Matz J, Ferns GAA, Angaard EE. Vitamin E reverses cholesterol-induced endothelial dysfunction in the rabbit coronary circulation. Atherosclerosis 1994; 111:39-45. [ Links ]
13. Parker RA, Sabrah T, Cap M, Gill BT. Relation of vascular oxidative stress tocopherol, and hypercholesterolemia to early atherosclerosis in hamsters. Arterioscler Thromb Vasc Biol 1995; 15:349-358. [ Links ]
14. Schwenke DC, Behr SR. Vitamin E combined with selenium inhibits atherosclerosis in hypercholesterolemic rabbits independently of effects on plasma cholesterol concentrations. Cir Res 1998; 24; 84(4): 366-377. [ Links ]
15. Ismail NM, Abdul-Ghafar N, Jaarrin K, Khine JH, Top GM. Vitamin E and factors affecting atherosclerosis in rabbits fed cholesterol rich diet. Int J Food Sci Nutr 2000; 51(Suppl): S79-S94. [ Links ]
16. Paul A, Calleja L, Joven J, Vilella E, Ferre N, Capms J, Girona J, Osada J. Supplementation with Vitamin E and/or zinc does not atenúate atherosclerosis in apoliprotein E-deficient mice fed a high-fat, high-cholesterol diet. Int J Vitam Nutr Res 2001; 71(1):45-52. [ Links ]
17. Morel DW, De la Llera Moya M, Friday KE. Treatment of cholesterol-fed rabbits with dietary Vitamins E and C inhibits lipoprotein oxidation but not development of atherosclerosis. J Nutr 1994; 124:2123-2130. [ Links ]
18. Djahansouzi S, Bresen JH,Koenig K,Beissiegel U, Kontush A. The effect of pharmacological doses of different antioxidants on oxidation parameters and atherogenesis in hyperlipidemic rabbits. Atherosclerosis 2001; 54(2):387-399 [ Links ]
19. Kleinveld HA, Hak-Lemmers HLM, Hectors MPS, de Fouw NJ, Demacker PNM, Stalenhoef AFH. Vitamin E and fatty acid intervention does not attenuate the progression of atherosclerosis in Watanabe heritable hyperlipidemic rabbits. Artherioescler Thromb Vasc Biol 1995; 15:290-297. [ Links ]
20. Chen L,Haught WH, Yang B, Saldeen TG, Parathasarathy S, Mehta JL. Preservation of endogenous antioxidant activity and inhibition of lipid peroxidation as common mechanism of antiatherosclerotic effects of Vitamin E, lovastatin and amlodipine. J Am Coll Cardiol 1997; 30(2):569-575. [ Links ]
21. Prasad K, Kaira J. Oxygen free radicals and hypercholesterolemic atherosclerosis. Effect of Vitamin E. Am Heart J 1993; 125: 958-973. [ Links ]
22. Stephens NG, Parsons A, Schofield PM. Randomized, controlled trial of vitamin E in patients with coronary disease: Cambridge Heart Antioxidant Study (CHAOS). Lancet 1996; 347: 781-786. [ Links ]
23. Losonczy KG, Harris TB, Havlik RJ. Vitamin E and vitamin C supplementation use and risk of all-cause and coronary heart disease mortality in older persons: the established populations for epidemiological studies of the elderly. Am J Clin Nutr 1996; 52:557-563. [ Links ]
24. MRC/BHF Heart Protection Study of cholesterol-lowering therapy and of antioxidant vitamin supplementation in a wide range of patient at increased risk of coronary heart disease death: early safety and efficacy experience. Eur Heart J 1999, 20(10):725-741. [ Links ]
25. Brown G, Zhao X-Q, Chait A, Fisher LD, Cheung MC, Morse JS, Dowdy AA, Marino EK, Bolson EL, Alaupovic P, Frohlich J, Albers JJ. Simvastatin and niacin, antioxidants vitamins, or the combination for the prevention of coronary disease. N Eng J Med 2001; 345:1583-1592. [ Links ]
Corresponding author: Marysabel Torres, Urbanización el Bosque, Av. 114, Residencias Vulcano, Torre A, Apto. 3D, Valencia, Estado Carabobo, Venezuela. Fax number: 0241-8666258. telephone number: 0241-8666530, 0414-4368392, 0241-6172739. E-mail: mtorres@uc.edu.ve


















