Investigación Clínica
versión impresa ISSN 0535-5133versión On-line ISSN 2477-9393
Invest. clín v.52 n.2 Maracaibo jun. 2011
Carcinoma hepatocelular sincrónico con mixoma auricular. Informe de un caso.
Minerva Lazos-Ochoa, Ana Guadalupe Cruz-Gordillo, Mario Murguía-Perez.
Departamento de Anatomía Patológica, Hospital General de México y Facultad de Medicina, Universidad Nacional Autónoma de México, México, D.F.
Autor de correspondencia: Minerva Lazos-Ochoa. Departamento de Anatomía Patológica, Hospital General de México. Dr. Balmis 148, Colonia Doctores, Delegación Cuauhtémoc. CP 06726, México, DF. Correo electrónico: minervalao@yahoo.com.mx.
Resumen.
Se presenta el caso de una mujer de 60 años que ingresó al Hospital General de México con diagnóstico de cirrosis hepática criptogénica y tumor hepático de estirpe no determinada, quien falleció por hemorragia digestiva alta secundaria a várices esofágicas. En la autopsia se encontró un hepatocarcinoma y un mixoma auricular izquierdo con elementos glandulares. Se hace una revisión de la literatura, buscando la asociación de estas dos neoplasias entre sí, y con otros tumores.
Palabras clave: hepatocarcinoma, mixoma cardiaco, tumores sincrónicos.
Synchronic hepatocellular carcinoma with atrial myxoma. A case report.
Abstract.
The case of a 60-year-old woman with history of cryptogenic hepatic cirrhosis and a probable hepatic tumor, who died of upper gastrointestinal bleeding secondary to esophageal varices, is presented. An autopsy study was carried out, which showed a hepatocellular carcinoma and a left atrial cardiac myxoma with glandular elements. A review of the literature, searching for the association between these two tumors, in addition to other tumors, is presented.
Key words: hepatocellular carcinoma; cardiac myxoma; synchronic tumors.
Recibido: 16-02-2011. Aceptado: 07-04-2011
INTRODUCCIÓN
El carcinoma hepatocelular (HC) es uno de los tumores malignos con factores de riesgo mejor conocidos a nivel mundial. La Organización Mundial de la Salud (OMS) lo tiene catalogado como un problema de salud pública, ya que está asociado a infección por virus de la hepatitis B y C, alcoholismo y cirrosis hepática. Es bien conocido que el HC se puede asociar con otras enfermedades de diversos orígenes; pero son pocos los casos publicados que lo asocian con otros procesos neoplásicos benignos o malignos.
El mixoma (MX) es el tumor cardiaco más frecuente y se localiza en el ventrículo izquierdo en 75 a 80% de los casos (1, 2). La mayor parte de los MX son esporádicos, pero del 4,7 al 6,3% de los casos pueden formar parte del Síndrome de Carney (SxC). En estas condiciones, los MX se pueden asociar con otras neoplasias que forman parte de este síndrome (2).
DESCRIPCIÓN DEL CASO
Se trató de una mujer de 60 años, con clínica e imágenes sugestivas de cirrosis hepática, que ingresó al Hospital General de México, con hemorragia de tubo digestivo alto. A su ingreso presentó anemia y pruebas de laboratorio que sugerían insuficiencia hepática. A pesar del manejo médico continuó con hematemesis y falleció.
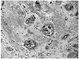
En la autopsia, se encontraron 3000 mL de ascitis serohemática. El corazón era de tamaño y peso normal. En la aurícula izquierda había una lesión exofítica, que ocupaba aproximadamente el 70% de la cavidad y midió 3 × 2,5 × 2,3 cm, era papilar, de consistencia blanda, color blanco grisáceo y se encontraba adherida a la pared medial por un pedículo de 0,3 × 0,2 × 0,1 cm (Fig. 1). Microscópicamente se identificó una neoplasia de aspecto mixoide, poco celular, mezclada con glándulas, las cuales se encontraron en aproximadamente 20% del tejido examinado. Las glándulas estaban formadas por epitelio cúbico, con núcleos pequeños, ovoides, de localización basal, con escasas células caliciformes. Con las tinciones de PAS (Fig. 2) y hierro coloidal se demostró positividad para mucosubstancias. El resto de la lesión estaba constituida por células fusiformes o estelares, inmersas en una matriz mixoide. De forma aislada, había macrófagos con hemosiderina y células gigantes multinucleadas. Las reacciones de inmunohistoquímica en el componente glandular resultaron positivas para antígeno carcinoembrionario y citoqueratina 7 y negativas para Hepat y a-fetoproteína (Fig. 3).
Fig. 1. Aurícula izquierda con lesión papilar que ocupa gran parte de la cavidad.
Fig. 2. Aspecto microscópico del mixoma que muestra elementos glandulares y estroma mixoide. PAS 100x.
Fig. 3. Inmunohistoquímica positiva para CK7 en elementos glandulares del mixoma auricular. Aumento 100x.
El hígado estaba aumentado de peso y tamaño, con aspecto cirrótico. En el lóbulo izquierdo se observó una lesión neoplásica, ovoidea, de 10 × 7 × 6,5 cm, de bordes bien definidos, color verde amarillento con áreas de color café, de consistencia blanda (Fig. 4). Los ganglios linfáticos del hilio hepático, peripancreáticos y mesentéricos presentaban aspecto metastático. Microscópicamente se observó una neoplasia epitelial maligna, con varios patrones: pseudoglandular (Fig. 5) sólido y en cordones. Las células neoplásicas eran grandes, con pérdida de la relación núcleo-citoplasma, pleomorfismo nuclear, nucléolo evidente y abundantes mitosis. En el resto del hígado, además de cirrosis inactiva, había múltiples nódulos de células neoplásicas en las que focalmente se identificó angioinvasión así como extensas áreas de necrosis. Las reacciones de inmunohistoquímica fueron positivas para Hepat y antígeno carcinoembrionario y negativas para a fetoproteína (Fig. 6). Con el conjunto de datos macroscópicos, microscópicos y de inmunohistoquímica se emitieron los siguientes diagnósticos: hepatocarcinoma bien diferenciado multicéntrico con patrón trabecular, acinar y sólido, asociado a cirrosis hepática de nódulos mixtos inactiva, con trombosis tumoral en venas hepáticas y metástasis en ganglios linfáticos peripancreáticos, del hilio hepático y mesentéricos; y mixoma auricular izquierdo con elementos glandulares.
Fig. 4. Hígado cirrótico y con el lóbulo derecho casi totalmente substituido por la lesión neoplásica.
Fig. 5. Patrón acinar en hepatocarcinoma. HE 400x.

Fig. 6. Inmunohistoquímica positiva para Hepat en hepatocarcinoma. Aumento 400x.
DISCUSIÓN
La asociación entre neoplasias benignas y malignas es rara, excluyendo a síndromes genéticos tales como el de Li-Fraumeni, los de poliposis colónica familiar y el Síndrome de Lynch. El HC se ha relacionado con diversas enfermedades no neoplásicas como cirrosis secundaria a infecciones por el virus de la hepatitis B o C, glucogenosis, deficiencia de a1-antitripsina, a las porfirias, los síndromes colestásicos crónicos, hemocromatosis, ataxia-telangiectasia y a la telangiectasia hemorrágica hereditaria (3). Recientemente se publicó un caso de sarcoidosis y HC fibrolamelar, asociación extremadamente rara (3).
En el tracto gastrointestinal se han descrito tumores sincrónicos con relativa frecuencia. La asociación más frecuente es la de adenocarcinoma gástrico con tumor del estroma gastrointestinal o con tumores neuroendocrinos. La segunda es la coexistencia de adenocarcinoma gástrico y linfoma (4). En relación con el HC son pocos los casos que señalan su asociación con otras neoplasias. Chong y col. informaron el caso de una neoplasia sincrónica triple, que consistió en HC, adenocarcinoma gástrico difuso y linfoma gástrico (4). Miura informó una neoplasia sincrónica en un hombre con HC y carcinoma epidermoide de pulmón con metástasis hepáticas (5). La variante de células claras de HC puede ser difícil de diferenciar del carcinoma renal de células claras y excepcionalmente pueden coexistir, como en el caso de Hou y col. (6), quienes reportaron un carcinoma de células claras del riñón y un HC de células claras que pudieron distinguirse por medio inmunohistoquímica.
La incidencia de los tumores cardíacos es del 0,0017 al 0,28% (0,5%/1.000.000/ año) en series de autopsias, y de éstos, el MX es el tumor más frecuente (7). Los MX esporádicos se presentan entre los 40 y 50 años; sin embargo, si forman parte del SxC, se presentan entre los 20 y 30 años (1, 7). El 7% de los MX forman parte del SxC, que es una enfermedad hereditaria con carácter autosómico dominante en la que está afectado el gen PRKAR1A, que se encuentra en el cromosoma 17q22-24 y que se encarga de codificar la subunidad reguladora de la proteina cinasa A 1-a (PKA) (2). En el SxC, además de MX se pueden encontrar mixomas cutáneos múltiples, fibroadenomas mamarios, tumores suprarrenales, ováricos y testiculares así como lesiones cutáneas pigmentadas (2). Estos pacientes también pueden cursar con hiperplasia o adenomas corticoadrenales funcionales, tumores de células de Sertoli y adenomas hipofisiarios productores de hormona de crecimiento. Se conocen 3 casos de MX esporádico sincrónico, uno con adenocarcinoma de pulmón (8), otro con carcinoma colorrectal (9) y otro con linfoma plasmacitoide (7).
Los diagnósticos diferenciales de una lesión cardíaca mural son MX, sarcoma, metástasis y trombo mural. En casos con antecedentes de cáncer, es importante descartar la presencia de metástasis. Las metástasis cardíacas son 30 a 40% más frecuentes que las neoplasias primarias. La incidencia de metástasis en corazón en series de autopsias es del 10 al 18%. El primario más frecuente es el melanoma, seguido por leucemias, linfomas y carcinoma colorrectal (10). Este último es el carcinoma que con mayor frecuencia metastatiza en corazón, sobre todo al ventrículo derecho (9). En el presente caso, el MX se encontraba en la aurícula izquierda, por lo que era poco probable que se tratara de un émbolo neoplásico del HC, ya que hubiera afectado a la aurícula derecha, o causado tromboembolia pulmonar.
El MX que presentó este caso tenía elementos glandulares, variedad que representa cerca del 3% de todos los MX. La posibilidad de que dichas glándulas fueran metástasis del HC, se descartó debido a que estaban formadas por células sin atipia con escasas células caliciformes y fueron positivas para mucosubstancias; además las áreas pseudoglandulares del HC estaban compuestas por células grandes y pleomórficas y la inmunohistoquímica resultó diferente en cada componente.
Hasta donde fue posible investigar, no se ha publicado un caso de HC y MX sincrónicos. Este caso pone de relieve un hallazgo significativo en material de autopsia y enfatiza la necesidad de descartar una metástasis cardíaca en presencia de otra neoplasia sincrónica.
REFERENCIAS
1. Alarcón-Galván G, Sepúlveda-Rodríguez LA, Hernández-Batres F, Flores-Gutiérrez JP, Garza-Guajardo R, Rendón-Elías FG, Barbosa-Quintana O, Ancer-Rodríguez J. Mixoma auricular con elementos glandulares. Patología 2010; 48(2): 111-114. [ Links ]
2. Vargas-Barrón J, Vargas-Alarcón G, Roldán FJ, Vázquez-Antona C, Vázquez-Ortiz Z, Erdmenger-Orellana J, Romero-Cárdenas A. Cardiac Myxomas and the Carney Complex. Rev Esp Cardiol 2008; 61(11): 1205-1209. [ Links ]
3. Pila-Pérez R, PilaPeláez R, Rosales-Torres P, Holguín-Prieto VA, Alzate-Giraldo LF. Sarcoidosis y carcinoma fibrolamelar del hígado. An Med Interna 2007; 24(9): 431-434. [ Links ]
4. Chong VH, Idros A, Telisinghe PU. Triple synchronous gastrointestinal malignancies: a rare occurrence. Singapore Med 2010; 51(10): 176-178. [ Links ]
5. Miura H. Synchronous Hepatocellular Carcinoma and Metastatic Squamous Cell Carcinoma With Life-Threatening Hypercalcemia. Clin Gastroenterol Hepatol 2010; 8(2): A24. [ Links ]
6. Hou TC, Wu CC, Yang CR, Wang J. Synchronous renal cell carcinoma and clear cell hepatocellular carcinoma mimicking metastatic disease. Pathol Res Pract 2010; 206(5): 342-345. [ Links ]
7. White RW, Hirst NA, Edward S, Nair UR. Plasmacytoid lymphoma within a left atrial myxoma: a rare coincidental dual pathology. Interact Cardiovasc Thorac Surg 2010; 10(1): 140-141. [ Links ]
8. Mejuto-Martí MJ, Fernández-Rial A, Yáñez-Wonenburger JC, Pazos-Mareque JM. Adenocarcinoma de pulmón asociado a mixoma auricular derecho. An Med Int 2001; 18(10): 534-536. [ Links ]
9. Nuño IS, Kang TY, Arroyo H, Starnes VA. Synchronous Cardiac Myxoma and Colorectal Cancer. Tex Heart Inst J. 2001; 28: 215-217. [ Links ]
10. Choi PW, Kim CN, Chang SH, Chang WI, Kim CY, Choi HM. Cardiac metastasis from colorectal cancer: A case report. World J Gastroenterol 2009; 15(21): 2675-2678. [ Links ]











uBio 






