INTRODUCCIÓN
La hernia de Amyand es el hallazgo del apéndice cecal dentro de una hernia inguinal 1. Su incidencia es baja, entre 0,2 y 2%, y su hallazgo ocurre por lo general en la etapa intraoperatoria y con mayor frecuencia en hombres 2. La incidencia de complicaciones como perforaciones o abscesos es aún menor, alrededor del 0,1%, pueden ser causadas por el aumento de la presión intraabdominal y la consecuente compresión del apéndice, provocando isquemia y aumento de la replicación bacteriana 3.
El diagnóstico preoperatorio de esta entidad es difícil, pues no cursa con signos o síntomas específicos, presentándose generalmente como una hernia inguinal derecha irreductible. En aquellos casos en que se asocia a apendicitis aguda, puede cursar con distensión y dolor abdominal, náuseas y vómitos 3. El manejo quirúrgico es variable en función del tipo de hernia. La clasificación de Losanoff-Basson 4 que toma en cuenta el estado inflamatorio del apéndice, sugiere procedimientos que van desde la simple reducción de la hernia, en los casos en que el apéndice esté normal, hasta apendicectomía con laparotomía exploratoria en casos de apendicitis aguda asociada a sepsis abdominal 5.
En Venezuela son escasos los reportes de hernia de Amyand, encontrándose solo 6 casos publicados 3,6-8, por lo que los hallazgos de esta patología son de gran interés. Se presenta el caso de un paciente masculino de 61 años de edad, con hallazgo intraoperatorio de hernia de Amyand tipo I, realizado en el Centro Médico Sinergia, Mérida, Venezuela.
Presentación de caso
Caso clínico: paciente masculino de 61 años de edad, con enfermedad actual de año y medio de evolución, caracterizado por aumento de volumen en región inguinal derecha, acompañado de dolor de leve intensidad al esfuerzo físico, reductible a la sedestación. Al examen físico no se evidenciaron signos de flogosis. El paciente no cursó con signos de obstrucción intestinal.
Antecedentes personales: hipertensión arterial, controlado con valsartán 160 mg OD + hidroclorotiazida 12,5 mg OD. Niega diabetes mellitus y asma. Refiere alergia a la penicilina. Niega intervenciones quirúrgicas y patologías oncológicas.
Paraclínicos preoperatorios: hemoglobina 16,1 g/dL, hematocrito 44%, leucocitos 7.600 /µL, hematíes 5.360/µL, neutrófilos 63,1%, linfocitos 30%, plaquetas 244.000/µL, TP 13,5 s (control: 12,6 s), TPT 33,4 s (control: 32,4 s), glicemia basal 98,1 mg/dL, urea 20,5 mg/dL, creatinina 0,81 mg/dL.
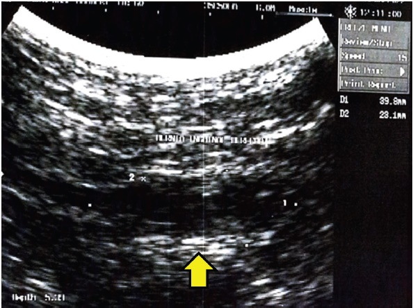
Hallazgos imagenológicos: el ultrasonido de piel y partes blandas reportó protrusión de asa intestinal a través del anillo inguinal superficial derecho, posterior a maniobras de Valsalva (Fig. 1).

Fig. 1 Ultrasonido de piel y partes blandas de región inguinal derecha. Se utilizó un transductor de 6.0 Megahercios multifrecuencia. Se evidenció imagen hipoecoica de 4,0 cm x 2,3 cm.
Es conducido a cirugía en septiembre de 2022, bajo diagnóstico preoperatorio de hernia inguinal indirecta derecha. Se realizó profilaxis antibiótica con cefalosporina de 1ra generación.
Transoperatorio: se procedió a la disección del contenido del conducto inguinal derecho, identificándose saco herniario, lipoma pre-herniario y cordón espermático. Se abrió el saco herniario observándose, en primera instancia, el apéndice cecal (Fig. 2) aumentado de tamaño, con múltiples bandas formando adherencias sobre el saco herniario y el mesoapéndice, el cual se encontraba engrosado. El ciego se hallaba adherido a la pared del saco herniario; se liberaron las adherencias. Se realizó la apendicectomía ápico-basal + invaginación del muñón apendicular en zetaplastia. Se utilizó la maniobra de Chatle 9. Se reintrodujo el saco herniario previa disección y se reparó la hernia con la pared posterior del conducto inguinal y el ligamento inguinal. Se efectuó una técnica mixta de Lichtenstein con Bassini 10. Se realizaron controles médicos a los 8 y 15 días del procedimiento, evidenciándose un adecuado proceso de cicatrización sin complicaciones durante el posoperatorio mediato.
DISCUSIÓN
La hernia de Amyand es el hallazgo del apéndice cecal inflamado o no, dentro de una hernia inguinal. Es llamada así por Claudius Amyand, quien describió esta entidad en un niño de 11 años con una apendicitis perforada dentro del saco de una hernia inguinal, realizando exitosamente, por primera vez, una apendicectomía a través del abordaje de la ingle 11. El primer reporte de un apéndice cecal sin inflamación dentro de una hernia inguinal fue realizado por René-Jacques Croissant de Garengeot en 1731 12.
Hutchinson en 1993 13, realizó una disertación sobre la conducta a tomar frente a una hernia de Amyand con un apéndice no inflamado. Los argumentos a favor de la apendicectomía “profiláctica o reglada” implican una disminución de la morbimortalidad y de costos, sin aumento del riesgo quirúrgico y anestésico; tampoco supone mayor complejidad quirúrgica la extirpación del apéndice a través del saco.
Además, debe considerarse que aunque el apéndice no revele signos macroscópicos de inflamación, no se pueden descartar signos microscópicos causados por la compresión e isquemia del cuello herniario7. Los argumentos en contra, plantean un incremento del riesgo de complicaciones sépticas dada la resección de un órgano con contenido fecal; riesgo derivado de convertir una cirugía limpia, como lo es la hernioplastia inguinal, en una cirugía limpia contaminada, como la apendicectomía 8. Hutchinson tambien reportó casos que cursaron con apendicitis aguda postoperatoria, debido a la manipulación del apéndice asintomático durante la herniorrafia; por ello se puede plantear la apendicectomía como una alternativa favorable. No obstante, dicho abordaje y conducta continúa siendo un tema controversial en la actualidad y prácticamente queda bajo criterio de cada cirujano.
En 2018, se reportó un caso de hernia de Amyand tipo 1 en un paciente masculino de 80 años de edad, a quien se le realizó apendicectomía pese a no estar indicada según la clasificación de Losanoff y Basson; sin embargo, se planteó dicha conducta para reducir el riesgo de futura reintervención quirúrgica 14.
En Venezuela, la frecuencia de la hernia de Amyand es mayor en la edad adulta, en promedio a los 55 años (Tabla 1); sin embargo, en la literatura se reporta que es tres veces más probable el diagnóstico en niños que en adultos dada la permeabilidad del proceso peritoneo-vaginal 15. En la Tabla 1 también se muestra que la mayor incidencia ocurre en hombres (67%), como se describe ampliamente. Es llamativo que en Venezuela se realizó apendicectomía en el 83% de los casos.
Tabla 1 Casos de hernias de Amyand reportados en Venezuela.
| Autores | Edad | Sexo | Tipo | Apendicectomía | Técnica |
|---|---|---|---|---|---|
| López 2015 7 | 56 | M | T2 | Sí | Lichtenstein |
| Lujan y col. 2016 8 | 18 | M | T1 | Sí | Halsted I |
| 55 | F | T1 | Sí | Lotheissen - Mc Vay | |
| 66 | F | T1 | No | Lotheissen - Mc Vay | |
| Jaramillo y col. 2020 3 | 65 | M | T3 | Sí | Cierre preperitoneal - Pouchet |
| Amato y col. 2021 6 | 62 | M | T1 | Sí | Laparoscopia - Veress |
M = masculino, F = femenino.
El síntoma más común fue el aumento de volumen, generalmente acompañado de dolor en la región inguinal, tal como ocurrió en el paciente del presente caso. La literatura coincide en que, al examen físico, se pone en evidencia la irreductibilidad de la hernia; sin embargo, en este caso era reductible a la sedestación.
En relación a las complicaciones que pueden derivar de esta hernia, se han descrito apéndice perforado o absceso intraabdominal, fascitis necrosante de la región anterior de la pared abdominal, orquiepidimitis o absceso testicular, y rara vez, trombosis arterial in situ. Se reporta una mortalidad del 6-15% 2.
El diagnóstico preoperatorio es difícil; por clínica, habitualmente se manifiesta como una hernia inguinal derecha irreductible y, en caso de asociarse apendicitis aguda, los síntomas típicos suelen estar ausentes. En relación a las técnicas de imagen, estas tampoco tienen buena sensibilidad ni especificidad para hacer el diagnóstico; sin embargo, hay escasos reportes de diagnóstico por imagen de manera incidental 16 aunque casi siempre se trata de un hallazgo intraoperatorio. Es importante tener en consideración los diagnósticos diferenciales tales como hernia incarcerada, estrangulada, hernia de Ritcher, adenitis inguinal, epididimitis aguda, orquiepidimitis, hidrocele agudo, torsión testicular, entre otros 8.
La clasificación de la hernia de Amyand fue propuesta por Losanoff y Basson, y modificada por Rikki (Tabla 2). Según esta clasificación, el abordaje quirúrgico depende del estado del apéndice evidenciado durante el transoperatorio. El caso en estudio se clasificó como una hernia tipo 1, dada la ausencia de apendicitis aguda. En cuyo caso el manejo más ampliamente descrito consiste en reducción de la hernia y reparación con malla; sin embargo, en pacientes jóvenes se recomienda la apendicectomía. No obstante, el manejo quirúrgico debe determinarse contextualizando al paciente y tomando en consideración, además del estado del apéndice, factores como las características de la hernia y presencia de comorbilidades. El paciente del caso presentado, fue un adulto mayor, hipertenso, en quien se procedió a realizar apendicectomía, dada la evidencia de cambios tróficos y signos de inflamación debidos a un proceso crónico de daño mecánico ejercido por el ciego que se hallaba adherido, formando parte del saco herniario.
Tabla 2 Clasificación de Rikki de la hernia de Amyand a partir de la clasificación de Losanoff y Basson 4,17,18.
| Clasificación | Descripción | Manejo quirúrgico |
|---|---|---|
| Tipo 1 | Apéndice normal dentro de una hernia inguinal | Reducción de hernia, reparación con malla, apendicectomía en pacientes jóvenes |
| Tipo 2 | Apendicitis aguda dentro de una hernia inguinal, sin sepsis abdominal | Apendicectomía por hernia, reparación primaria de hernia, sin malla |
| Tipo 3 | Apendicitis aguda dentro de una hernia inguinal, pared abdominal o sepsis peritoneal | Laparotomía, apendicectomía, reparación primaria de hernia, sin malla |
| Tipo 4 | Apendicitis aguda dentro de una hernia inguinal, patología abdominal relacionada o no | Manejar como hernia de los tipos 1 a 3, investigar o tratar la segunda patología según corresponda |
| Tipo - 5a | Apéndice normal dentro de una hernia incisional | Apendicectomía a través de hernia, reparación primaria de hernia incluyendo malla |
| Tipo - 5b | Apendicitis aguda dentro de una hernia incisional, sin sepsis abdominal | Apendicectomía por hernia, reparación primaria de hernia |
| Tipo - 5c | Apendicitis aguda dentro de una hernia incisional, pared abdominal o sepsis peritoneal o en relación con una cirugía previa | Manejar como hernia tipo 4 |
Con base en lo anteriormente descrito, se puede concluir que la hernia de Amyand es una entidad poco frecuente e infradiagnosticada, hecho favorecido por la tendencia actual de reducir el contenido herniario sin apertura del saco. La forma de presentación clínica es similar a la de una hernia inguinal atascada, por lo que debe sospecharse siempre que se tenga una patología herniaria derecha con leucocitosis y neutrofilia.











uBio 



