SciELO - Scientific Electronic Library Online

 
vol.65 número2Mecanismos de muerte celular programada: vías estructurales y funcionales. Una revisión narrativa. índice de autoresíndice de assuntospesquisa de artigos
Home Pagelista alfabética de periódicos  

Serviços Personalizados

Journal

Artigo

Indicadores

Links relacionados

Compartilhar


Investigación Clínica

versão impressa ISSN 0535-5133versão On-line ISSN 2477-9393

Invest. clín vol.65 no.2 Maracaibo jun. 2024  Epub 07-Jun-2024

https://doi.org/10.54817/ic.v65n2a10 

Revisiones

Valor de la 18F-FDG-PET/CT en la estadificación inicial de pacientes con cáncer de tiroides de moderado/alto riesgo con subtipos histológicos agresivos.

Value of the 18F-FDG-PET/CT in the initial staging of patients with high-risk thyroid cancer with aggressive histological subtypes.

1Universidad del Zulia. Maracaibo. Venezuela.

2Universidad de Sao Paulo, Sao Paulo, Brasil.

3Pontificia Universidad Javeriana de Cali. Cali, Colombia.

4Universidad Central de Venezuela. Caracas, Venezuela.

5Hospital de la Universidad Nacional de Colombia. Bogotá, Colombia.

6Universidad de Montevideo. Montevideo. Uruguay.


Resumen

En los últimos años, la tomografía por emisión de positrones / tomografía computarizada (18F-FDG-PET/CT o 18Fluoro-2-deoxi-D-glucosa-PET/ CT) se ha convertido en una herramienta importante para el tratamiento postoperatorio de pacientes con cáncer de tiroides diferenciado (CDT) y es ampliamente utilizado en situaciones clínicas seleccionadas. El papel más valioso que desempeña la 18F-FDG -PET / CT en la práctica clínica es que puede ser utilizada para obtener información pronóstica en pacientes con niveles crecientes de tiroglobulina (Tg), así como un rastreo corporal con yodo radiactivo (131I) negativo y ablación con 131I. La 18F-FDG -PET / CT también puede tener un papel potencial en la estadificación inicial y el seguimiento de los pacientes de intermedio y alto riesgo con subtipos histológicos agresivos, en la identificación de los pacientes con mayor riesgo de mortalidad específica por enfermedad y en el manejo de pacientes con enfermedad refractaria al 131I. Varios artículos apoyan la hipótesis de que la captación de 18F-FDG puede tener valor pronóstico en CDT. Por un lado, la captación de 18F-FDG en el cáncer de tiroides primario está relacionada con la expresión y diferenciación del transportador de glucosa (GLUT) y, por otro lado, se ha encontrado una asociación entre la captación de 18F-FDG y las características histológicas agresivas, el tamaño del tumor y las metástasis a los ganglios linfáticos.

Palabras clave: cáncer de tiroides agresivo; 131I; transportadores de glucosa; tiroglobulina; TgAb

Abstract

In recent years, positron emission tomography / computed tomography (18F-FDG-PET / CT) or 2-(18F) -fluoro-2-deoxy-D-glucose has become an essential tool for the postoperative treatment of patients with differentiated thyroid cancer (CDT), and it is widely used in selected clinical situations. The most valuable role that 18F-FDG -PET / CT plays in clinical practice is that it can be used to obtain prognostic information in patients with increasing levels of thyroglobulin (Tg) and negative radioactive iodine (131I) body scan and ablation with 131I. The 18F-FDG -PET / CT may also have a potential role in the initial staging and monitoring of high-risk patients with aggressive histological subtypes, identifying patients with a higher risk of disease-specific mortality, and managing patients with disease refractory to 131I. Several articles support the hypothesis that the uptake of 18F-FDG may have prognostic value in CDT. On the one hand, the uptake of 18F-FDG in primary thyroid cancer is related to the expression and differentiation of the glucose transporter (GLUT). On the other hand, an association has been found between the uptake of 18F-FDG and the aggressive histological characteristics, tumor size, and lymph node metastases.

Keywords: aggressive thyroid cancer; 131I; glucose transporters; thyroglobulin; TgAb

INTRODUCCIÓN

El carcinoma diferenciado de tiroides (CDT) es la neoplasia maligna endocrina más común, representa del 80 al 90% de los cánceres de tiroides y muestra un aumento notable en la prevalencia en las últimas décadas. Aunque el CDT generalmente tiene una naturaleza indolente y un pronóstico favorable, un subconjunto de pacientes enfrenta un alto riesgo de recurrencia y mortalidad. Aproximadamente entre el 20% y el 30% de las personas experimentan una recaída y el 7% sucumben dentro de una década del diagnóstico inicial. El seguimiento posoperatorio que incluye tiroidectomía total y ablación con yodo radiactivo es estándar, y la elevación de la tiroglobulina (Tg) sérica indica enfermedad persistente o recurrente. Sin embargo, surgen desafíos cuando las metástasis no absorben yodo radiactivo, lo que indica una posible resistencia o desdiferenciación celular 1,2.

La incapacidad de atrapar yodo radiactivo en el CDT a menudo se asocia con metástasis y disminución de la supervivencia, y estos casos exhiben un comportamiento agresivo. En particular, entre el 10% y el 30% de los pacientes con CDT recurrente presentan yodo radiactivo negativo y niveles elevados de Tg en la gammagrafía, lo cual reduce drásticamente a 3-5 años la mediana de supervivencia después de la detección de metástasis 2.

Por otro lado, la presencia de anticuerpos antitiroglobulina (TgAb) en el momento del diagnóstico, que se encuentran en el 25-30% de los pacientes con CDT, complica la confiabilidad del análisis de Tg sérica. Estos anticuerpos, teóricamente desencadenados por el tejido tiroideo secretor de Tg, podrían reflejar indirectamente la masa tumoral. Después de la cirugía y de la ablación con yodo radiactivo, los niveles de TgAb generalmente disminuyen, pero pueden persistir durante un promedio de tres años. La evidencia emergente sugiere que cuando las pruebas de Tg en suero se ven obstaculizadas por la presencia de TgAb, las tendencias de concentración de anticuerpos podrían servir como un marcador tumoral CDT sustituto 3.

Hallazgos recientes también proponen una correlación entre los títulos de TgAb y la agresividad del CDT; los pacientes positivos para TgAb con frecuencia caen en categorías de mayor riesgo y exhiben diseminación del tumor extratiroideo. Un estudio multicéntrico confirmó además que la positividad de TgAb después del tratamiento primario se correlaciona, significativamente, con la recaída de la enfermedad durante el seguimiento posterior 4,5.

La estratificación del riesgo, según la Asociación Estadounidense de Tiroides, sugiere un riesgo intermedio a alto de enfermedad persistente/recurrente según el estadio y la integridad de la resección quirúrgica, como lo refleja la extensión extratiroidea.

De manera similar, la Asociación Europea de Tiroides clasifica a los pacientes con extensión extratiroidea como de alto riesgo de enfermedad persistente 6,7.

Factores como el tamaño del tumor, la multifocalidad, la invasión extratiroidea, las variantes histológicas (p. ej., células altas, esclerosantes difusas, células tiroideas oncocíticas, anteriormente conocidas como células de Hürthle 8 y la resistencia al 131I son determinantes pronósticos fundamentales en el CDT. La presencia de metástasis linfática o a distancia en el momento del diagnóstico es un factor de pronóstico negativo significativo, que se correlaciona positivamente con los resultados de 18F-FDG-PET/CT 9,10 (Tabla 1).

Tabla 1 Factores de mal pronóstico en el cáncer diferenciado de tiroides. 

Factores de mal pronóstico
Tamaño Clínicos >1cm
Multifinalidad Clínicos Más de dos lesiones
Invasión vascular Clínicos Factor de Crecimiento
Diseminación linfática Clínicos Factor de Crecimiento
Metástasis a distancia Clínicos Factor de Crecimiento
Variantes histológicas Histológico Grado de desdiferenciación y tipos de célula
Citología indeterminada Citología RAI negativo
Resistencia al 131I Metabólicos >de 10ng/dL
Elevación de los TgAb Metabólicos
Persistencia o elevación de la Tg
18F-FDG-PET positivo Metabólicos >de 10mg/dL

A pesar de la creciente evidencia científica sobre la utilidad de la 18F-FDG-PET/CT en el manejo de pacientes con CDT de riesgo alto/intermedio, las guías clínicas a menudo incorporan esta indicación con limitaciones o la omiten por completo. Este artículo proporciona una descripción general de los datos moleculares y clínicos de Pubmed, tesis académicas y directrices estadounidenses y europeas sobre el uso de 18F-FDG-PET/CT en el tratamiento de pacientes con CDT de riesgo moderado a alto.

18 F-FDG PET/CT y cáncer de tiroides

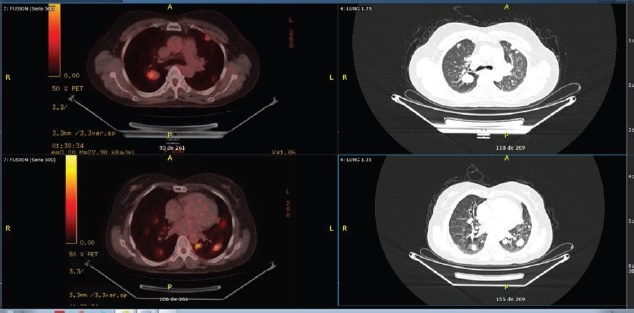
Como la primera técnica validada de “imágenes metabólicas”, tanto en la ciencia básica como en entornos clínicos, la FDG es el trazador PET más utilizado para la obtención de imágenes de tumores malignos. Una tasa acelerada del metabolismo de la glucosa, mediada por la regulación positiva de enzimas y transportadores glucolíticos (GLUT), es característica de la transformación maligna, un fenómeno reconocido desde hace más de ocho décadas. Sin embargo, en los tumores de tiroides, el aumento de la captación de FDG se limita a neoplasias malignas más agresivas y de alto grado, y los tumores bien diferenciados muestran una captación insignificante del trazador. Se cree que la relación inversa entre la captación de 131I y 18F-FDG en el carcinoma de tiroides, conocida como fenómeno “flip-flop”, se debe a una pérdida de la capacidad de concentración de 131I durante la desdiferenciación combinada con una mayor demanda de glucosa por parte de las células tumorales 11 (Fig. 1).

Fig. 1 Ilustra un caso extraído de nuestra práctica clínica habitual, correspondiente a una paciente de 57 años diagnosticada con carcinoma folicular bien diferenciado. En octubre de 2010, se sometió a una tiroidectomía total. El examen histopatológico reveló la presencia de un adenoma folicular con un patrón trabecular y células oncocíticas, sin invasión capsular ni evidencia de invasión vascular. En 2015, una radiografía de tórax reveló un nódulo pulmonar de 3 cm. Para octubre de 2018, los niveles de tiroglobulina se encontraban elevados, y un rastreo con yodo radiactivo (131I) no mostró captación del radioisótopo. Posteriormente, se realizó un estudio con 18F-FDG PET/CT, que demostró la presencia de múltiples nódulos pulmonares hipermetabólicos, con un Valor de Captación Estándar (SUVmax) 8.1, con diámetros de hasta 33 mm y se distribuían en las regiones centrales y periféricas de ambos campos pulmonares. Dichos hallazgos son indicativos de un proceso de desdiferenciación y progresión de la enfermedad oncológica. 

Importancia del tamaño, multimodalidad e invasión vascular tumoral, diseminación linfática y metástasis a distancia

La American Thyroid Association (ATA) incluye la 18F-FDG-PET como una herramienta fundamental en la detección temprana de carcinomas tiroideos de escasa diferenciación y variantes oncocíticas 6. Investigaciones han evidenciado que la PET/CT con 18F-FDG, realizada al inicio del seguimiento de pacientes con CDT de riesgo alto o intermedio, puede modificar sustancialmente la estrategia de tratamiento al revelar datos cruciales que no se detectan con métodos convencionales. Se ha demostrado que el tamaño del tumor, la invasión vascular y la diseminación metastásica son factores determinantes en la positividad de la 18F-FDG PET/CT, subrayando su relevancia en la estratificación del riesgo y la toma de decisiones clínicas.

Rosenbaum-Krumme y col. 12, en un estudio prospectivo estudiaron el beneficio de la 18F-FDG PET/CT realizada después de la terapia ablativa con 131I en 90 pacientes con CDT de alto riesgo, encontrando que el 29% de los pacientes estudiados presentaron un estudio 18F-FDG PET/CT positivo y cambió la estrategia de tratamiento en el 21% de ellos. Del mismo modo, Iwano y col. 13 estudiaron 54 pacientes con CDT a los que le realizaron un estudio 18F-FDG PET/CT con la estimulación de TSH 3-4 días antes de la ablación con 131I, y encontraron que el estudio fue positivo en 33% de los pacientes.

La presencia de invasión vascular en el análisis histológico, la afectación ganglionar cervical y la afectación metastásica a distancia en el momento del diagnóstico, son los principales factores asociados con un estudio 18F-FDG PET/CT positivo 9.

TSH, Tiroglobulina y Anti-tiroglobulina

Los niveles de Tiroglobulina (Tg) posquirúrgicos son indicativos del tejido tiroideo residual. Se ha enfatizado la relevancia de Tg y TSH para optimizar la precisión del 18F-FDG PET/CT. Este último se indica principalmente para el seguimiento de pacientes con CDT bajo el síndrome TENIS (Thyroglobulin Elevated with Negative radioiodine Scintigraphy), acorde a las directrices de la ATA 6. Un Tg elevado (> 10 ng/mL) o su duplicación rápida son factores que potencian la detección de la 18F-FDG-PET/CT, incluso con niveles bajos de Tg. Aproximadamente un tercio de los pacientes con Tg sérica elevada podrían modificar su tratamiento posoperatorio basándose en los resultados de la 18F-FDG PET/CT, particularmente en etapas avanzadas del CDT 2,9. La PET/CT es también prometedora en la evaluación del CDT con terapia de ablación con yodo negativa y TgAb elevados, reflejando un metabolismo glucémico tumoral activo y posiblemente una mayor agresividad del tumor 14. Los TgAb pueden actuar como marcadores sustitutos y su disminución post-tratamiento sugiere un menor riesgo de recurrencia o enfermedad persistente.

Diferenciación vs Desdiferenciación

El proceso de desdiferenciación del CDT, se establece con la existencia del metabolismo de la glucosa regulado al alza, (activación de los GLUTs) combinado con el metabolismo del iodo regulado a la baja (inhibición de los NIS) 2 (Tabla 2).

Tabla 2 Comportamiento metabólico tumoral de la metástasis del CDT. 

Comportamiento tumoral 18 F-FDG PET/ CT Rastreo con 131I Comportamiento histológico
MT. con Avidez a la Glucosa y Iodos Positivo Positivo Poco diferenciado.
MT. con Avidez a la Glucosa y refractario al Iodo Positivo Negativo Des diferenciado.
MT. con Avidez al iodo y refractario a la glucosa. Negativo Positivo Diferenciado

En los últimos tiempos, una comprensión cada vez mayor de la oncología molecular ha impulsado el uso de agentes dirigidos y nuevas estrategias de Re-diferenciación para el tratamiento de diferentes tipos de carcinomas de tiroides avanzados. Uno de los cambios oncogénicos más comunes observados en cáncer papilar de tiroides es el reordenamiento RET/ PTC, que resulta en una autofosforilación constitutivamente activa de RET Y1062, y reduce la expresión del gen NIS. Ruan y col. 15, aclararon parcialmente el mecanismo subyacente del fenómeno de “flip-flop” confirmando que la expresión de los genes de diferenciación tiroidea aumentan significativamente después del tratamiento con sorafenib o cabozantinib, lo que indica que ambos fármacos podrían restaurar efectivamente la expresión de los genes que manejan yoduro tiroideo y, por lo tanto, la captación de radioyodo en el cáncer de tiroides. En ese estudio, la expresión génica y proteica de GLUT1 y GLUT3 y la captación de 18F-FDG disminuyeron significativamente en las células BHP 2-7 y K1 después del tratamiento con sorafenib o cabozantinib, lo que indica que la respuesta del tratamiento de seguimiento a la terapia TKI utilizando 18F -FDG PET es posible 15.

Variantes histológicas (células altas, esclerosante difusa, células oncocíticas de la tiroides)

Los carcinomas de tiroides con histología agresiva, incluyendo variantes como el carcinoma mal diferenciado, células altas, células columnares, células oncocíticas, células insulares, esclerosis difusa y carcinoma oncocítico, son propensos a no captar radioyodo, presentando tasas elevadas de enfermedad persistente o recurrente. En el 22%-65% de estas pacientes se presentan enfermedades persistentes o recurrentes después del tratamiento definitivo 1. Estas variantes, ávidas de FDG, requieren de 18F-FDG PET/CT para evaluar el alcance de la enfermedad y pronosticar su curso. Estudios destacan la alta sensibilidad del PET/CT con FDG en el carcinoma oncocítico de tiroides y sugieren que una intensa captación de FDG indica un pronóstico desfavorable. La PET/ CT con FDG se convierte así en una herramienta diagnóstica crucial para estos subtipos, mejorando la estrategia terapéutica y la precisión en la evaluación pronóstica 16.

El carcinoma de células oncocíticas de la tiroides es un subtipo histológico agresivo de cáncer de tiroides, con un alto riesgo de metástasis y un peor pronóstico en comparación con el CDT. El carcinoma de células oncocíticas de la tiroides parece incapaz de concentrar 131I, pero es un tumor ávido por FDG. La localización precisa de la enfermedad es esencial en el carcinoma de células oncocíticas de la tiroides, ya que la cirugía y la radioterapia de haz externo pueden ser beneficiosas.

Varios estudios han demostrado una alta sensibilidad de la PET con FDG para el carcinoma de células oncocíticas de la tiroides, en relación con otras modalidades de imagen. Un estudio multicéntrico realizado por Rieman y col. encontraron una sensibilidad del 92% y una especificidad del 95% para la PET/ CT con FDG en el carcinoma de tiroides de células de Hürthle, mientras que los valores correspondientes para 131I fueron 65% y 94% y los de ultrasonido fueron 37% y 94% 17.

Carcinoma de tiroides anaplásico (ATC) vs carcinoma medular

El carcinoma anaplásico de tiroides (ATC) representa el 5% de todos los carcinomas tiroideos, destacándose como uno de los más letales con una supervivencia promedio de apenas 3 meses sin tratamiento efectivo. Generalmente, la mortalidad se asocia con la diseminación metastásica más que con el crecimiento local. Estudios han demostrado que la PET/CT con 18F-FDG supera en precisión a la CT convencional para la detección temprana de metástasis, en especial en ganglios linfáticos mediastínicos y cervicales. Además, la intensidad de captación de FDG y el SUV max resultan ser predictores significativos de la supervivencia, ofreciendo así una herramienta valiosa tanto en la estadificación inicial como en la respuesta al tratamiento 18.

Bogsrud y col. 19, investigaron el papel de 18F-FDG PET / CT en el manejo de 16 pacientes con ATC al comparar los datos de PET con otras herramientas de diagnóstico y con el seguimiento clínico. En todos los pacientes, los registros de PET fueron verdaderos positivos para tumores primarios, y en el 50% de los pacientes, los datos de la PET influyeron en el manejo clínico. Estos autores concluyeron que la 18F-FDG PET/CT podría mejorar la estadificación de la enfermedad y, por lo tanto, cambiar potencialmente el manejo clínico de los pacientes con ATC.

El valor de la PET/CT con FDG en el cáncer medular de tiroides (MTC) radica en su utilidad para detectar recurrencias o metástasis del MTC, particularmente en aquellos casos donde las células tumorales han adquirido características metabólicas que les permiten captar la FDG. Aunque otros trazadores como la dihidroxifenilalanina (FDOPA) y los análogos de somatostatina son frecuentemente utilizados, la FDG-PET/ CT puede ser especialmente útil en casos de MTC avanzado y en situaciones donde se sospecha una enfermedad más agresiva y menos diferenciada 20.

Refractariedad al 131I

La refractariedad al 131I en el contexto del carcinoma diferenciado de tiroides metastásico se refiere a la incapacidad de algunas metástasis para absorber el radioyodo; hasta el 10% de las metástasis se vuelven radioyodo refractario y no pueden beneficiarse de la terapia con 131I con mayor riesgo de efectos adversos. Por lo tanto, la terapia con 131I debe limitarse a pacientes con CDT seleccionados con metástasis ávidas con 131I 2. Esta resistencia al 131I conduce a un pronóstico menos favorable, por lo que es crucial identificar y explorar alternativas terapéuticas para los pacientes afectados. La selección cuidadosa de pacientes para la terapia con 131I es esencial y dependerá la captación o no del FDG.

La refractariedad al radioyodo (131I) en el cáncer diferenciado de tiroides (DTC) puede ocurrir debido a la pérdida de características diferenciadas de las células tiroideas, lo que incluye la captación y organificación de yodo. Esto significa que las células cancerosas ya no expresan el transportador de yodo sódico (NIS) adecuadamente o que los mecanismos que permiten la captación y el almacenamiento del yodo dentro de la célula están alterados o ausentes.

Una proporción pequeña pero significativa de cánceres de tiroides diferenciados se vuelven refractarios al tratamiento con radioyodo, ya sea porque pierden la capacidad de captar yodo con el tiempo o porque, a pesar de mantener la capacidad de captación, el efecto del radioyodo se pierde en términos de reducción de la carga tumoral. Estos pacientes generalmente reciben pocos y transitorios beneficios de otras terapias convencionales y especialmente de la quimioterapia.

En la última década, se han descubierto y probado en ensayos clínicos varios nuevos fármacos, principalmente moléculas inhibidoras de la cinasa proteica, que se deberían proponer a pacientes avanzados y progresivos con cáncer de tiroides refractario a 131I, inscribiéndolos en ensayos clínicos o mediante el uso “fuera de etiqueta” del fármaco 21.

18 F-FDG-PET positivo y SUV (Valor de captación estándar)

Las localizaciones de CDT a menudo se caracterizan por una baja captación de 18F-FDG, especialmente en pacientes jóvenes afectados por subtipos de cáncer de tiroides bien diferenciados 22. Teóricamente, el nivel de metabolismo de la glucosa puede ser evaluado en forma cualitativa (evaluación visual) o cuantitativamente (medición del SUV) por 18F-FDG PET / CT.

El volumen de lesiones FDG-ávidas, valor de captación estándar máxima (SUV max) número y la ubicación de las metástasis pueden correlacionarse con el resultado y la supervivencia en los análisis uní variados y multivariados. Stangierski y col.23 encontraron que el SUVmax se correlacionó significativamente con un alto volumen de enfermedad ávida por FDG, lo que sugiere que los tumores con la mayor actividad metabólica podrían ser los que tienen el potencial de crecimiento más rápido y menor pronóstico.

Otros trabajos han demostraron que la captación de FDG es altamente pronóstica para la supervivencia y que el SUV max y el número de lesiones ávidas de FDG también se relacionaron con la agresividad y pronóstico. Estos datos resaltan la importancia clínica de 18F-FDG-PET / CT en el tratamiento de pacientes con cáncer de tiroides metastásico 24.

De hecho, las metástasis ávidas por FDG se asocian con un mayor riesgo de mortalidad y las variables absolutas derivadas de la PET, como SUV mean y SUV max, se han relacionado directamente con el aumento del comportamiento agresivo en varios tipos de tumores, incluido el CDT 5. Múltiples estudios han tratado de establecer un punto de corte del SUV que defina malignidad vs benignidad en el caso de los nódulos o pronóstico a grado de agresividad en metástasis con avidez del FDG.

Múltiples estudios han publicado sobre el tema, pero no hay un consenso. Liu 25 refiere que con un valor de corte de SUVmax 4.0, si la metástasis fuera mayor que 4.0, se debe sospechar una lesión de CDT metastásico no ávida al 131I y podría estar indicada una terapia adyuvante para mejorar o restau- rar la capacidad de atrapar 131I.

Evaluación de Nódulos

Un tercio de los hallazgos evaluados son malignos. No se ha identificado un límite adecuado de valor de captación estandarizado (SUV) capaz de distinguir entre lesiones benignas y malignas Kim y col.26 refieren que las imágenes de la 18F-FDG PET/CT que muestra el aumento captación de FDG en nódulos con volúmenes ≥ 1 cm y un SUVmáx mayor que 6, la probabilidad de malignidad es muy alta.

TSH Recombinante Humano y 18F-FDG PET/CT

El principal desafío al inducir un estado de hipotiroidismo extremo en pacientes para el tratamiento con yodo radiactivo o estudio con 18F-FDG PET/CT, es la amplia gama de efectos secundarios que pueden afectar significativamente su calidad de vida. Los pacientes a menudo experimentan síntomas psicológicos y emocionales severos, como depresión, ansiedad y problemas de memo- ria. Además, pueden presentar alteraciones cognitivas y emocionales que impactan en su vida laboral, extendiendo a veces la baja laboral por un período considerable.

Frente a estos desafíos, el uso de la TSH recombinante humana emerge como una al- ternativa viable. Esta opción permite evitar los efectos secundarios del hipotiroidismo, manteniendo la eficacia del tratamiento con yodo radiactivo y minimizando los impactos negativos en la calidad de vida del paciente27. La TSH recombinante humana es una glicoproteína producida mediante tecnología de ADN recombinante y se sintetiza en células de ovario de hámster. Sus propiedades son idénticas a las de la TSH humana natural. Se une a los receptores de TSH de las células tiroideas y ha sido aprobada para fines diagnósticos, como el rastreo de células tiroideas, desde 1998. Desde 2008, la FDA también ha aprobado su uso como parte del tratamiento complementario con yodo ra- diactivo en pacientes con cáncer de tiroides.

CONCLUSIÓN

La 18F-FDG PET/CT se está posicionando como una herramienta indispensable en la estrategia de manejo del carcinoma diferenciado de tiroides (CDT), no solo durante la evaluación inicial y postquirúrgica, sino también como un medio efectivo para monitorear la progresión de la enfermedad y la respuesta al tratamiento. Su aplicación es especialmente valiosa en la identificación de recurrencias y en la valoración de tumores con tiroglobulina elevada en ausencia de captación en el rastreo con radioyodo.

Es evidente que la 18F-FDG PET/CT tiene una función destacada en diferentes etapas de la enfermedad; desde el diagnóstico inicial, especialmente en tipos histológicos agresivos, hasta el seguimiento longitudinal, donde su capacidad para detectar recaídas tempranas influye directamente en las estrategias terapéuticas a seguir. Además, este enfoque de imagen puede guiar la terapia personalizada y adaptativa, tomando en cuenta las características histológicas únicas y la dinámica clínica de cada paciente con CDT. Su integración en la práctica clínica continúa enriqueciendo el espectro diagnóstico y terapéutico, permitiendo intervenciones más precisas y oportunas que mejoran los resultados de los pacientes.

AGRADECIMIENTO

El autor dedica este manuscrito a la Memoria de nuestra siempre colaboradora editorial Lic. Mercedes Berrios. 18/12/1964 - 23/04/2023

REFERENCIAS

1. Okuyucu K, Ince S, Alagoz E, Emer O, San H, Balkan E, Ayan A, Meric C, Haymana C, Acıkel C, Gunalp B, Karacalioglu AO, Arslan N. Risk factors and stratification for recurrence of patients with differentiated thyroid cancer, elevated thyroglobulin and negative I131 whole-body scan, by restaging 18F-FDG PET/CT. Hell J Nucl Med 2016;19(3):208-217. [ Links ]

2. Liu M, Cheng L, Jin Y, Ruan M, Sheng S, Chen L. Predicting 131I-avidity of metastases from differentiated thyroid cáncer using 18F-FDG PET/CT in postoperative patients with elevated thyroglobulin. Sci Rep 2018; 8(1): 4352. doi: 10.1038/s41598-018-22656-4. [ Links ]

3. Chiovato L, Latrofa F, Braverman LE, Pacini F, Capezzone M, Masserini L, Grasso L, Pinchera A. Disappearance of humoral thyroid autoimmunity after complete removal of thyroid antigens. Ann Intern Med 2003;139(5 Pt 1):346-351. [ Links ]

4. Durante C, Tognini S, Montesano T, Orlandi F, Torlontano M, Puxeddu E, Attard M, Costante G, Tumino S, Meringolo D, Bruno R, Trulli F, Toteda M, Redler A, Ronga G, Filetti S, Monzani F; PTC Study Group. Clinical aggressiveness and long-term outcome in patients with papillary thyroid cancer and circulating anti-thyroglobulin autoantibodies. Thyroid 2014;24(7):1139-1145. [ Links ]

5. Morbelli S, Ferrarazzo G, Pomposelli E, Pupo F, Pesce G, Calamia I, Fiz F, Clapasson A, Bauckneht M, Minuto M, Sambuceti G, Giusti M, Bagnasco M. Relationship between circulating anti-thyroglobulin antibodies (TgAb) and tumor metabolism in patients with differentiated thyroid cáncer (DTC): prognostic implications. J Endocrinol Invest 2017;40(4):417-424. [ Links ]

6. Haugen BR, Alexander EK, Bible KC, Doherty GM, Mandel SJ, Nikiforov YE, Pacini F, Randolph GW, Sawka AM, Schlumberger M, Schuff KG, Sherman SI, Sosa JA, Steward DL, Tuttle RM, Wartofsky L. 2015 American Thyroid Association Management Guidelines for Adult Patients with Thyroid Nodules and Differentiated Thyroid Cancer: The American Thyroid Association Guidelines Task Force on Thyroid Nodules and Differentiated Thyroid Cancer. Thyroid 2016;26(1):1-133. doi: 10.1089/thy.2015.0020. [ Links ]

7. Pacini F, Fuhrer D, Elisei R, Handkiewicz-Junak D, Leboulleux S, Luster M, Schlumberger M, Smit JW. 2022 ETA Consensus Statement: What are the indications for post-surgical radioiodine therapy in differentiated thyroid cancer? Eur Thyroid J 2022; 11(1): e210046. doi: 10.1530/ETJ-21-0046. [ Links ]

8. Wong KS, Barletta JA. The new endocrine WHO classification: What does this mean for thyroid cytology? Cancer Cytopathol 2022;130: 658-662. https://doi.org/ 10.1002/cncy.22634Links ]

9. Triviño Ibáñez EM. Utilidad de la 18F-FDG PET/CT precoz en el manejo terapéutico y estratificación dinámica del riesgo de pacientes con carcinoma diferenciado de tiroides de riesgo alto/intermedio. Universidad de Granada, Facultad de Medicina Departamento de Medicina. Granada, 2015. Tesis Doctoral. [ Links ]

10. Colmenter L, Bastianello M, Estrada E. Conceptualizando VII: Papel de la glucosa y la 18F-FDG en tumores malignos, con enfoque en cáncer de tiroides (Parte I). Alasbimn Journal, 30 de julio, 2012. [ Links ]

11. Feine U, Lietzenmayer R, Hanke JP, Wöhrle H, Müller-Schauenburg W. 18FDG-Ganzkörper-PET bei differenzierten Schilddrüsenkarzinomen. Flipflop im Speichermuster von 18FDG und 131J [18FDG whole-body PET in differentiated thyroid carcinoma. Flipflop in uptake patterns of 18FDG and I]. Nuklearmedizin 1995;34(4):127-134. [ Links ]

12. Rosenbaum-Krumme SJ, Görges R, Bockisch A, Binse I. 18F-FDG PET/CT changes therapy management in high-risk DTC after first radioiodine therapy. Eur J Nucl Med Mol Imaging 2012;39(9):1373-1380. [ Links ]

13. Iwano S, Kato K, Ito S, Tsuchiya K, Naganawa S. FDG-PET performed concurrently with initial I-131 ablation for differentiated thyroid cancer. Ann Nucl Med 2012;26(3):207-213. [ Links ]

14. Liu Y. The role of 18F-FDG PET/CT in the follow-up of well-differentiated thyroid cáncer with negative thyroglobulin but positive and/or elevated antithyroglobulin antibody. Nucl Med Commun 2016;37(6):577-582. [ Links ]

15. Ruan M, Liu M, Dong Q, Chen L. Iodide- and glucose-handling gene expression regulated by sorafenib or cabozantinib in papillary thyroid cancer. J Clin Endocrinol Metab 2015;100(5):1771-1779. [ Links ]

16. Nascimento C, Borget I, Ghuzlan AA, Deandreis D, Hartl D, Lumbroso J, Berdelou A, Lepoutre-Lussey CH, Mirghani H, Baudin E, Schlumberger M, Leboulleux S. Postoperative fluorine-18-fluorodeoxyglucose positron emission tomography/computed tomography: an important imaging modality in patients with aggressive histology of differentiated thyroid cancer. Thyroid 2015; 25(4):437-444. doi: 10.1089/thy.2014.0320. [ Links ]

17. Riemann B, Uhrhan K, Dietlein M, Schmidt D, Kuwert T, Dorn R, Sciuk J, Kodalle T, Schober O. Diagnostic value and therapeutic impact of 18F-FDG-PET/CT in differentiated thyroid cancer. Results of a German multicentre study. Nuklearmedizin. 2013;52(1):1-6. [ Links ]

18. Pryma DA, Schöder H, Gönen M, Robbins RJ, Larson SM, Yeung HW. Diagnostic accuracy and prognostic value of 18F-FDG PET in Hürthle cell thyroid cancer patients. J Nucl Med 2006;47(8):1260-1266. [ Links ]

19. Bogsrud TV, Karantanis D, Nathan MA, Mullan BP, Wiseman GA, Kasperbauer JL, Reading CC, Hay ID, Lowe VJ. 18FFDG PET in the management of patients with anaplastic thyroid carcinoma. Thyroid 2008;18(7):713-719. [ Links ]

20. Giovanella L, Treglia G, Iakovou I, Mihailovic J, Verburg FA, Luster M. EANM practice guideline for PET/CT imaging in medullary thyroid carcinoma. Eur J Nucl Med Mol Imaging 2020;47(1):61-77. doi: 10.1007/s00259-019-04458-6. Epub 2019 Sep 4. [ Links ]

21. Oh JM, Ahn BC. Molecular mechanisms of radioactive iodine refractoriness in differentiated thyroid cancer: Impaired sodium iodide symporter (NIS) expression owing to altered signaling pathway activity and intracellular localization of NIS. Theranostics 2021;11(13):6251-6277. doi: 10.7150/thno. [ Links ]

22. Piccardo A, Puntoni M, Bertagna F, Treglia G, Foppiani L, Arecco F, Giubbini R, Naseri M, Cistaro A, Cabria M, Bardesono F, Ceriani L, Orlandi F, Giovanella L. 18F-FDG uptake as a prognostic variable in primary differentiated thyroid cáncer incidentally detected by PET/CT: a multicentre study. Eur J Nucl Med Mol Imaging 2014;41(8):1482-1491. [ Links ]

23. Stangierski A, Woliński K, Czepczyński R, Czarnywojtek A, Lodyga M, Wyszomirska A, Janicka-Jedyńska M, Bączyk M, Ruchała M. The usefulness of standardized uptake value in differentiation between benign and malignant thyroid lesions detected incidentally in 18F-FDG PET/CT examination. PLoS One 2014; 9(10):e109612. doi: 10.1371/journal.pone.0109612. [ Links ]

24. Deandreis D, Al Ghuzlan A, Auperin A, Vielh P, Caillou B, Chami L, Lumbroso J, Travagli JP, Hartl D, Baudin E, Schlumberger M, Leboulleux S. Is 18Ffluorodeoxyglucose- PET/CT useful for the presurgical characterization of thyroid nodules with indeterminate fine needle aspiration cytology? Thyroid 2012; 22(2):165-172. doi: 10.1089/thy.2011.0255. Epub 2012 Jan 18. [ Links ]

25. Liu Y. The role of 18F-FDG PET/CT in the follow-up of well-differentiated thyroid cancer with negative thyroglobulin but positive and/or elevated antithyroglobulin antibody. Nucl Med Commun 2016; 37(6):577-582. [ Links ]

26. Kim TH, Ji YB, Song CM, Kim JY, Choi YY, Park JS, Tae K. SUVmax of 18F-FDG PET/CT in the differential diagnosis of benign and malignant thyroid nodules according to tumor volume. World J Surg Oncol 2015;13:217. [ Links ]

27. Leboulleux S, Borget I, Schlumberger M. Postoperative radioactive iodine administration in patients with low-risk thyroid cancer. Nat Rev Endocrinol 2022;18(10):585-586. doi: 10.1038/s41574-022-00709-z. [ Links ]

Financiamiento

No recibe financiamiento.

Contribución de los autores

LFCR: propuesta, concepto y diseño del trabajo; SZ JV y SD analizaron los artículos y participaron activamente en la revisión del manuscrito enviando sus comentarios y sugerencias.

Recibido: 05 de Julio de 2023; Aprobado: 04 de Febrero de 2024

Autor de correspondencia: Luis Felipe Colmenter R. Pontificia Universidad Javeriana de Cali. Educación continua. Cali, Colombia. Teléfono 058 3118291840. Correo electrónico: luiscolmenter@hotmail.com

Conflicto de interés

No existe ningún conflicto de interés

Creative Commons License Este es un artículo publicado en acceso abierto bajo una licencia Creative Commons