Services on Demand
Journal
Article
Indicators
-
Cited by SciELO -
Access statistics
Related links
-
Similars in
SciELO
uBio
Share
Boletín de Malariología y Salud Ambiental
Print version ISSN 1690-4648
Bol Mal Salud Amb vol.47 no.1 Maracay Jan. 2007
Nota Científica
DNA degradation of Anopheles darlingi collected at high relative humidity and preserved in isopropanol
José Rivero1, Normig Zoghbi1, Yasmin Rubio-Palis1,2, Ludmel Urdaneta3 & Flor Herrera1*
1 Instituto de Investigaciones Biomédicas (BIOMED), Facultad de Ciencias de la Salud, Universidad de Carabobo, Sede Aragua. Dirección Postal: Apartado 2351, Maracay, Aragua.
2 Dirección de Salud Ambiental y Contraloría Sanitaria, Ministerio de Salud y Desarrollo Social, Maracay, Aragua, Venezuela.
3 Department of Microbiology, Colorado State University, Fort Collins, Colorado, USA.
*Autor de Correspondencia: flormhq@gmail.com
Anopheles darlingi mosquitoes, exposed to variable relative humidity (RH) in the field, were preserved during transportation to the laboratory using two different methods: 100% isopropanol at ambient temperature or frozen in liquid nitrogen or dry ice. The DNA isolated from samples collected at RH greater than 91% and preserved in isopropanol was degraded, while DNA isolated from insects kept in liquid nitrogen or dry ice maintained its integrity when collected under conditions of up to 95% RH.
Key words: Anopheles darlingi; relative humidity; mosquito preservation; DNA integrity, mosquito transportation.
Degradación de ADN de Anopheles darlingi colectados a una humedad relativa alta y preservados en isopropanol
RESUMEN
Mosquitos Anopheles darlingi, expuestos a humedades relativas diferentes en campo, fueron transportados al laboratorio utilizando dos métodos distintos: isopropanol al 100% a temperatura ambiente o congelados en nitrógeno líquido o hielo seco. El ADN aislado de las muestras colectadas a humedades relativas mayores que 91% y preservadas en isopropanol se degradó; mientras que el ADN aislado de insectos colectados a humedades relativas hasta 95% y transportados congelados, mantuvieron su integridad.
Palabras claves: integridad de ADN, Anopheles darlingi, transporte de mosquitos, preservación de mosquitos.
Recibido el 01/02/2007 Aceptado el 12/03/2007
The preservation of DNA from insects is an essential prerequisite in using molecular biology techniques for taxonomy, evolutionary, and population genetic studies (Copeland et al., 1992. J. Med. Entomol. 29: 361-363; Cooper, 1998, J. Am. Mosq. Control Assoc. 14: 58-60). Ideally, insect samples should be transported from the field to the laboratory, either alive or frozen, using liquid nitrogen or dry ice. Endemic regions, however, present problems for efficient transportation of insect material. For example, time consumed during transportation may result in high mortality and thus the degradation of fragile insects like mosquitoes. Similarly, the use of dry ice or liquid nitrogen to preserve the samples is convenient only for collection trips of limited duration, because of the non-availability of liquid nitrogen or dry ice in rural areas of developing countries. Thus, the possible use of anhydrous isopropanol (Post et al., 1993, Biochem. Syst. Ecol. 21: 85-92) to preserve the samples in the field is an attractive possibility for facilitating the transportation of insects from distant and isolated localities to the laboratory. Here we report on an investigation into this procedure as applied to genetic studies of the mosquito Anopheles darlingi, the primary malaria vector in Venezuela. This insect is mainly localized in the southern states of Bolívar and Amazon. Since these localities are very far away (approximately 900 km) from our laboratory, we decided to collect and preserve wild-caught An. darlingi in 100% isopropanol (HPLC solvent) for transportation to the laboratory.
Mosquitoes from the areas of Puerto Fortín, Corobal, El Banco and El Piñal of Bolívar State were trapped alive using a mouth aspirator, transferred to a container, and killed by freezing. Some of the mosquitoes were immediately placed in 1.5-mL microcentrifuge tubes containing approximately 1 mL of isopropanol, transported to the laboratory at ambient temperature (25-30°C), and finally stored at -80°C. The rest of the mosquitoes were placed in cryotubes (1.5 mL each) and brought to the laboratory in liquid nitrogen or dry ice. For isolation of DNA, an individual mosquito was macerated with a plastic pestle in a pH 8.0 buffer containing 50 mM Tris, 5 mM EDTA, 100 mM NaCl, 1% SDS. The DNA was then extracted using a phenol/chloroform method according to standard procedures modified by Rivero et al. (2004, Intl. J. Trop. Insect Sci. 24: 266-269), resuspended in 60 μL of sterilized water and stored at -80ºC. The DNA was then separated on 1 % agarose gels by electrophoresis and visualized by staining in an ethidium bromide solution.
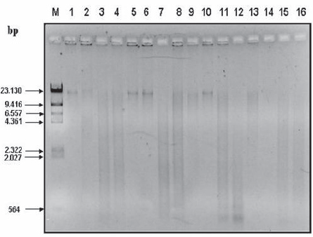
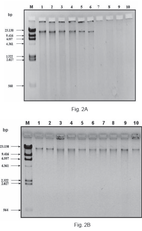
The majority of the DNA samples obtained from An. darlingi stored in isopropanol were degraded (Fig. 1). As high relative humidity (RH), characteristic of the Bolivar State, may cause DNA degradation, we decided to investigate the role of variable RH in the observed degradation of the insect DNA. For this study, mosquitoes were trapped and killed as described above and then exposed to RH in the field at two different intervals (0 and 30 min) prior to placing them in isopropanol. For comparison, a duplicate set of mosquitoes that were similarly exposed to RH were placed in cryotubes for transportation in liquid nitrogen or dry ice and subsequently stored at 80°C in the laboratory. As can be seen (Fig. 2A), a RH greater than 91% affects the quality of the DNA extracted from samples preserved in isopropanol (lanes 7-10) even at 0 time, when the mosquitoes are freshly killed (lanes 7 and 9). In contrast (Fig. 2B), DNA isolated from samples kept in liquid nitrogen maintained its integrity at levels of RH up to 95% at both intervals (lanes 7-10). The isopropanols effects on DNA structure were present even at lower RH. Figure 2A (lanes 1- 6) shows a small degradation smear below the major band of DNA. Dean & Ballard (2001. Entomologia Experimentalis et Applicata. 98: 279283) also observed that DNA yields extracted from Drosophila simulans specimens exposed to alcohol were poor. They argued that the hygroscopic nature of alcohol set up a moist environment to facilitate the action of DNA-damaging nucleases on insect cells.
Fig. 1. Quality of Anopheles darlingi DNA preserved in isopropanol and collected from different localities of Bolivar State. Ethidiumbromide- stained agarose gel of 1 μg of DNA from An.darlingi adult mosquitoes. The electrophoresis was performed with 16 different mosquito samples. Lanes 1-4 are samples from Puerto Fortin, Lanes 5-8 are samples from Corobal, Lanes 9-12 are samples from El Banco, Lanes 13-16 are samples from El Piñal. Lane M corresponds to base pairs markers (Lambda DNA Hind III markers from Promega) with the markers (bp) as indicated.

Fig. 2: Comparison of An. darlingi DNA from mosquitoes preserved in isopropanol or liquid N2 as a function of the RH. Ethidium-bromide-stained agarose gel of DNA from An.darlingi adult mosquitoes. The electrophoresis was performed with different mosquitoes from Corobal. (A) Samples preserved in isopropanol were collected, exposed at the ambient RH for 0 and 30 min and placed in isopropanol as described in the text. The first and second lanes of each experiment represent the 0 and 30 min respectively. Lanes 1-2 at 87% RH, lanes 3-4 at 89% RH, lanes 5-6 at 91% RH, lanes 7-8 at 93% RH, lanes 9-10 at 95% RH. (B) Samples preserved in liquid N2 were collected, exposed at the ambient RH for 0 and 30 min and placed in liquid N2 as described in the text. Lanes 1-2 at 87% RH, lanes 3-4 at 89% RH, lanes 5-6 at 91% RH, lanes 7-8 at 93% RH, lanes 9-10 at 95% RH. Lane M corresponds to the same base pairs markers indicated in Fig. 1.

The quality of the DNA from samples either preserved in liquid nitrogen at 95% RH or collected in isopropanol at lower RH was confirmed by PCRamplification of specific DNA fragments. In both cases, the amplicons obtained were similar in quantity and quality (data not shown).
The catalytic activity of some endonucleases is strictly dependent on divalent cation-water cluster (Cowan, 1998, Inorg. Chim. Acta. 275-276: 24-27; Miller et al., 1999, J. Mol. Biol. 288: 975-987; Truglio et al., 2005, EMBO J. 24: 885-894; Chen et al., 2007, Biopolymers. 85: 241-252). In some cases amino acid residues of the active site of the enzyme and several water molecules are located around the metal atom forming part of a coordinated octahedron-like complex (Miller et al., 1999, J. Mol. Biol. 288: 975-987; Truglio et al., 2005, EMBO J. 24: 885-894).
Our results are consistent with the hypothesis that the catalytic activity of one (or more) An. darlingi endonuclease is dependent upon a metal ion-water cluster interacting with the active site of the enzyme. According to this idea, water introduced into anhydrous isopropanol at 91% RH promotes the activation of a mosquito endonuclease that now is able to cleave DNA in ambient conditions.
The preservation of mosquitoes in isopropanol in the field clearly offers several advantages: it is simple, inexpensive, and facilitates easy transportation to the laboratory. However, this study strongly suggests that this method (using a highly pure isopropanol) is convenient only in regions where the RH does not exceed a value of 91%. In these cases, the traditional methods of preservation (liquid nitrogen or dry ice) shoud be used since they guarantee the stability of the samples for prolonged period of time so that the resulting isolated DNA from the insects is suitable for PCR-based techniques.
ACKNOWLEDGEMENTS
To Dr. Heriberto Correia and Lic. Rafael Medina for helpful discussions and to Victor Sánchez and Hernán Guzmán for collecting the samples. This research was supported in part by the Fondo Nacional de Ciencia, Tecnología e Investigación, by the Consejo de Desarrollo Científico y Humanístico-Universidad de Carabobo and by the Proyecto Control de Enfermedades Endémicas-Instituto de Altos Estudios Dr. Arnoldo Gabaldón.












