Introducción
La oclusión se establece como resultado de la interacción de factores genéticos y ambientales, variando de acuerdo con las características individuales de cada sujeto. El desarrollo de la oclusión se ve afectada por la presencia de lesiones cariosas en la dentición primaria y en muchas ocasiones con la pérdida prematura de diversos órganos dentales. 1,2
La dentición primaria es de suma importancia para el mantenimiento de la oclusión, estética, fonética y bienestar psico-emocional del niño. La pérdida precoz de la dentición primaria causa un desequilibrio estructural y funcional, manifestándose como una pérdida o disminución de la arcada. 3-5
En el maxilar los primeros molares permanentes erupcionan inicialmente desde distal hasta que la cúspide mesial aparece en boca para posteriormente girar hacia mesial contactando con la cara distal del segundo molar primario superior, por lo tanto, no es necesaria la colocación de algún mantenedor de espacio para guiar la erupción de este, sin embargo, en la arcada inferior el primer molar primario erupciona hacia mesial, siendo el segundo molar primario esencial para guiar la erupción de este.2
Los efectos causados por la pérdida prematura de un molar primario fueron descritos en 1887, siendo el apiñamiento, pérdida del 70% de la longitud de arco dental, erupción ectópica, inclinación del primer molar primario y discrepancias en la línea media dental. 2,3,6-8
La caries activa y extensa en segundos molares primarios puede conducir a su pérdida prematura, estos molares juegan un papel importante en la preservación del espacio libre. Un primer molar primario en erupción activa migrará mesialmente ante la falta de un segundo molar primario provocando la pérdida localizada del espacio.3,7,9 Por lo tanto, es importante mantener el espacio del segundo molar primario antes de la erupción del primero molar primario para una oclusión normal a futuro.9
Los mantenedores de espacio están indicados para ser colocados en maxilar y mandíbula para ayudar a mantener la longitud de arco posterior a la extracción dental de un diente primario por caries dental o alguna otra patología y así minimizar tratamientos ortodónticos en un futuro. El término fue utilizado por primera vez en 1941 por Brauer, describiéndolo como el proceso de mantenimiento del espacio en un arco dental previamente ocupado por un diente o un grupo de dientes.10
El uso de un mantenedor está indicado después de una valoración clínica y radiográfica y de la necesidad de colocar el mismo. El tipo de mantenedor de espacio se utilizará según la cantidad de dientes perdidos, la ubicación de estos, el estado de salud general del paciente y el riesgo a caries dental.3 Un mantenedor de espacio debe mantener las siguientes características: mantener la dimensión mesiodistal deseada del espacio, mantener el movimiento funcional de los órganos dentales, debe ser higiénico, tener durabilidad y tener un bajo costo.8
El mantenedor de espacio indicado para la pérdida prematura de los segundos molares primarios inferiores es el llamado zapata o zapatilla distal, de apoyo distal, intraalveolar, infra gingival, o propioceptivo.3 Este aparato resulta ser beneficioso para controlar la erupción de un primer molar primario no erupcionado desde la dentición primaria hasta la mixta temprana.8 Gerber introdujo por primera vez la zapatilla distal como un dispositivo que guía la erupción de un primer molar primario a su posición adecuada en el arco dental.9
Existen algunas desventajas de su uso, la poca o nula cooperación del paciente para mantener una adecuada higiene bucal, falta de cooperación del paciente o de los padres, pérdida de varios órganos dentales, discrasias sanguíneas, inmunosupresión, riesgo a presentar endocarditis bacteriana, la incompleta epitelización alrededor de la extensión intraalveolar de la aparatología y su inflamación crónica.3,9
Para la elaboración de la zapatilla distal se requiere una adaptación de una banda o corona preformada en el diente que será pilar para la zapatilla, tomar un modelo preciso y una radiografía dentoalveolar para la conformación de la zapatilla con alambre de calibre 0,36 y posteriormente soldar.3
La colocación de la zapatilla distal posterior a la extracción dental es lo ideal ya que existe analgesia local por el anestésico, se realiza en una sola cita, recuperación postoperatoria simultánea, riesgo reducido de pérdida de espacio y una mejor aproximación para la colocación intraalveolar del zapato distal 7, es necesario tomar una radiografía posterior a la colocación para verificar que la zapatilla se encuentre en contacto con la cara mesial del primer molar primario no erupcionado.
Caso Clínico
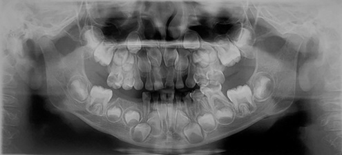
Paciente masculino de 5,4 años se presenta a Clínica de Odontopediatría y Ortodoncia de la Universidad de Ixtlahuaca CUI, acompañado de su tutora quien niega antecedentes heredofamiliares. Al interrogatorio indirecto refieren que 6 meses atrás presentó proceso infeccioso de lado inferior derecho relacionado a molares, fue intervenido de forma intrahospitalaria en donde se realizó abordaje quirúrgico para el manejo y control del proceso infeccioso, resultando en la extracción del primer y segundo molar primario inferior derecho (Figura 1).

Figura 1 Radiografía Panoramica Inicial. Se observa ausencia de molares primarios inferior derecho asi como el primer molar primario en estadio 7 de Carmen Nolla.
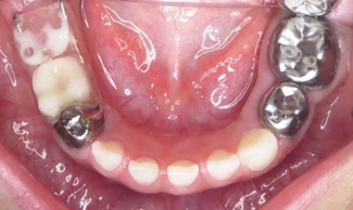
A la exploración intrabucal presentó dentición primaria incompleta, múltiples lesiones cariosas activas en molares superiores e inferiores, ausencia clínica de primer y segundo molar primario inferior derecho (Figuras 2, 3 y 4). Previo consentimiento informado, leído, explicado y firmado por tutora, se rehabilitó cavidad bucal de menor en cuatro citas diferentes mediante técnicas decir-mostrar- hacer y refuerzo positivo.

Figura 2 Fotografía oclusal superior. Se observan lesiones cariosas activas en molares, con destrucción parcial de la corona.

Figura 3 Fotografía oclusal inferior. Se observan lesiones cariosas activas en molares inferiores lado izquierdo y ausencia clínica de molares lado derecho.
Se decide colocar mantenedor de espacio fijo tipo zapatilla distal modificada para el estímulo de la percepción nosocomial y la recuperación de la guía de erupción del primer molar primario, así como también preservar el espacio para la erupción de premolares. Una vez explicado la función, ventajas y desventajas del mantendor de espacio a la tutora del menor, acepta tratamiento, así mismo se explica al paciente a base de imágenes y videos la necesidad de colocación de la aparatología y cuál es la función que realizaría, dando su asentimiento verbal por edad.
En sillón dental, se ajustó corona de acero cromo preformada para canino inferior derecho, se tomó impresión con alginato para la obtención de modelos de trabajo, así como radiografía dentoalveolar inferior derecha para elaborar mantenedor de espacio.
En laboratorio dental, se confeccionó zapatilla distal con alambre de acero calibre 0,36, el largo del zapato se midió en radiografía dentoalveolar con regla milimétrica desde la cresta ósea a la cara mesial del primer molar primario sin erupcionar (Figura 5), se realizó fresado en modelo de trabajo para simular incisión y así adaptar zapato distal a la longitud deseada (Figura 6). Se fijó doblez de aparatología con yeso al modelo y se soldó a la corona prefabricada con soldadura de plata, se recortó excedente con piedra mizzy, se pulió con piedra rosa, disco de hule y rojo inglés para un alto brillo. Se colocaron molares de acrílico sobre la extensión de la zapatilla distal, fijando con cera roja, se acriló con técnica de espolvoreado cubriendo por completo la extensión con polímero rosa número 66 (MDC Dental®, México). Se recortarón excedentes con fresón de flama y se pulió con polyacril y blanco españa para un alto brillo.

Figura 5 Radiografía dentoalveolar inferior derecha, se observa medida milimétrica del largo del zapato distal.

Figura 6 Fotografia lateral de modelo de trabajo, se observa corona de acero cromo ajustada en modelo de trabajo y zapatilla distal ajustada en el sitio del primer molar.
Una vez terminada la fase de laboratorio, en sillón dental se procedió a la colocación del mantenedor de espacio, se bloqueó localmente mucosa a base de lidocaína con epinefrina al 2% de 1:100 000, se realizó un corte transversal con bisturí del número 15 en mucosa a nivel aparente de la cara mesial del primer molar primario, se colocó aparatología y se tomó radiografía dentoalveolar para evaluar posición de la zapatilla distal, quedando en el sitio deseado (Figura 7), se cementó corona de acero cromo con ionómero de vidrio tipo 1 (Ketac Cem®3M, USA) se retiraron excedentes y se procedió a dar ajuste interoclusal del acrílico (Figuras 8, 9 y 10).

Figura 7 Radiografía dentoalveolar inferior derecha, se observa zapato distal en contacto con la cara mesial del primer molar primario.

Figura 8 Fotografía oclusal posterior al cementado de la zapatilla distal modificada y anclada a corona de acero cromo.

Figura 9 Fotografía lateral en donde se observa recuperación del espacio intermaxilar en zona posterior.

Figura 10 Radiografia panorámica final, en donde se observan restauraciones de acero cromo ajustadas y zapatilla distal en posición correcta.
Para la alimentación se indicó iniciar con dieta blanda evolucionando a dieta habitual para una adaptación del paciente al aparato y así poder reestablecer la función masticatoria en el sector posterior derecho.
Se indicó uso de hilo dental Superfloss® (Oral B) para eliminar restos alimenticios en la zona del acrílico explicando la técnica a tutora y a menor, se citó a paciente posterior a quince días para evaluar higiene bucal y función de la aparatología en donde se observaron restos alimenticios (Figura 11), por lo que se indicó continuar con el uso de Superfloss® y se implentó el uso de un irrigador bucal (Waterpick®).

Figura 11 Fotografía lateral en donde se observan restos alimenticios en la base de la aparatología.
Posterior a 5 meses se valoró nuevamente a paciente, en donde a la exploración se observó erupción pre-funcional de primer molar primario, en radiografía dentoalveolar se observó una adecuada función del zapato, evitando una migración mesial y una mayor pérdida de la longitud de arco. (Figuras 12 y 13)

Figura 12 Fotografia oclusal inferior en donde se observa erupción del primer molar primario en posición correcta.
Debido a la erupción del primer molar primario, la zapatilla distal perdió su funcionalidad pues se logró el objetivo deseado, por lo tanto se colocará un mantenedor de espacio bilateral fijo tipo arco lingual. En las figuras 14 y 15 se puede observar una recuperación mínima de la dimensión vertical y del espacio intermaxilar, el cual se espera logré aumentar con la erupción del primer molar primario superior.

Figura 14 Fotografía lateral en oclusión en donde se observa una recuperación milimétrica del espacio intermaxilar.

Figura 15 Fotografía en máxima intercuspidación, en donde se observa una recuperación del plano oclusal.
En controles radiográficos del canino no se observó problema periapical, ni reabsorciones radiculares ya que la fuerza de oclusión no estaba soportada por este, sino por la base de acrilico que se colocó en la extensión del brazo de la aparatología, distribuyendo las fuerzas oclusales a través de esta (Figura 16).
Discusión
La pérdida prematura de segundos molares primarios suele causar una alteración en la erupción de los primeros molares, ya que estos sirven de guía, estableciendo una adecuada posición de este en la arcada dental. El abordaje con zapatilla distal ante la falta de los segundos molares primarios debido a una agenesia, pérdida prematura por caries dental a temprana edad o por algún síndrome, es ideal ya que se logra conservar el espacio correspondiente de los órganos dentales faltantes y guíar correctamente al primer molar primario.
La erupción activa de los primeros molares permanentes comienza a los 4 ½ años de vida y continua hasta que están en contacto oclusal completo, es decir, entre los 6 ½ y los 7 años. Cuanto más temprana es la pérdida de los órganos dentales mayor es el problema del manejo del espacio.2
En un estudio realizado por Mazhari en 2022, en donde llevó a cabo la evaluación de la erupción de los primeros molares permanentes de 505 radiografías de niños entre 2 a 16 años observando el proceso eruptivo, concluyó que en pacientes de 2 a 5 años cuando el primer molar primario se encuentra envuelto en hueso basal no provocará pérdida de espacio. Con la formación completa de la corona, el primer molar primario presenta un movimiento hacia el plano oclusal de modo que su cresta marginal se coloca por debajo del tercio cervical distal del segundo molar primario, para posteriormente llevar a cabo la ruptura de la cripta y la emergencia gingival. Después de esto, se lleva a cabo el brote eruptivo post-emergente, a medida que el diente erupciona, siguiendo la superficie distal del segundo molar primario. Por lo tanto, se puede inferir que la pérdida de espacio ocurre muy probablemente posterior a la emergencia ósea y cuando el segundo molar primario se ha perdido prematuramente.9
Con respecto al caso presentado, la corona del primer molar primario ya se encontraba totalmente formada y con ruptura de la cripta alveolar, como se observa en la imagen 1, el inicio de la erupción activa del primer molar iba comenzando, por lo que el abordaje con la zapatilla distal fue el correcto para evitar continuar con una mesialización para buscar su guía eruptiva.
En determinadas situaciones clínicas, los diseños convencionales no se adaptan a las necesidades del paciente y es necesario llevar a cabo la modificación de estos para lograr el objetivo, llevando a un éxito del tratamiento.10 Con respecto al presente caso, el diseño convencional de la zapatilla distal se modificó para cumplir con el objetivo ya que ante la pérdida prematura de los molares primarios y a la falta de un antagonista para los molares superiores se comenzaba la extrusión de los mismos, provocando una disminución del espacio intermaxilar y por ende una disminución en la dimensión vertical.
Del mismo modo la función de la zapatilla distal como guía eruptiva para el primer molar se cumplió, abordando en el momento exacto de la ruptura de la cresta ósea posterior a la formación completa de la corona.
Conclusiones
La pérdida de segundos molares primarios debido a procesos infecciosos crónicos o agudos como en el caso del paciente presentado aumentan la posibilidad de generar una mal oclusión dental a futuro por falta de seguimiento por parte del facultativo tratante y de los padres. La información de los efectos secundarios a la pérdida de molares primarios a los padres y el seguimiento posterior al abordaje quirúrgico por parte del médico es fundamental, ya que permite llevar a cabo un control eruptivo y el restablecimiento de la guía eruptiva del primer molar primario.
Los diseños convencionales de los mantenedores de espacio no son una regla, se pueden llegar a modificar para satisfacer las necesidades de atención del paciente aunado a un seguimiento estrecho por parte del facultativo estableciendo un vínculo entre los padres y el paciente para un control preventivo, radiográfico y eruptivo logrando un éxito en el tratamiento integral del paciente, no solo con el seguimiento de la erupción del primer molar primario sino hasta el establecimiento de la dentición permanente.











uBio 





