Revista de Odontopediatría Latinoamericana
versión On-line ISSN 2174-0798
Rev Odontoped Latinoam vol.14 Bogotá dic. 2024 Epub 10-Abr-2025
https://doi.org/10.47990/rrq96987
Cases Report
Intrusive luxation in primary dentition: clinical report
1Departamento de Medicina Oral e Odontologia Infantil, Universidade Estadual de Londrina (UEL), Londrina, PR, Brasil.
2Departamento de Medicina Oral e Odontologia Infantil, Universidade Estadual de Londrina (UEL), Londrina, PR, Brasil.
3Departamento de Medicina Oral e Odontologia Infantil, Universidade Estadual de Londrina (UEL), Londrina, PR, Brasil.
4Clínica de Especialidades infantiles/Bebê Clinica de la Universidad Estadual de Londrina
5Departamento de Medicina Oral e Odontologia Infantil, Universidade Estadual de Londrina (UEL), Londrina, PR, Brasil.
6Departamento de Medicina Oral e Odontologia Infantil, Universidade Estadual de Londrina (UEL), Londrina, PR, Brasil.
7Departamento de Medicina Oral e Odontologia Infantil, Universidade Estadual de Londrina (UEL), Londrina, PR, Brasil.
8Departamento de Medicina Oral e Odontologia Infantil, Universidade Estadual de Londrina (UEL), Londrina, PR, Brasil.
Intrusive dislocation is the most frequent type of traumatic injury in the primary dentition, characterized by displacement of the tooth into the alveolus. Intrusions require a thorough physical examination, radiographs of diagnostic value, and follow-up of the case, since the prognosis is unfavorable, mainly due to the probability of damage to the permanent tooth germ. This work aims to report a clinical case of intrusive dislocation in the primary dentition, from diagnosis to follow-up. This is a male patient, 3 years old, who attended in the Emergency of the Children’s Specialty Clinic - State University of Londrina (UEL) due to dento-alveolar trauma in the antero-superior region that occurred three days ago. On clinical examination, tooth 61 had grade II intrusion (one-third of the crown visible), and tooth 62 with grade I intrusion, with more than one-third of the crown visible. Radiographically, a buccal inclination was observed, with no fracture of the bone plate. Thus, we opted for conservative treatment, waiting for the spontaneous re-eruption of the teeth involved. Furthermore, parents were informed about the possible consequences of this type of trauma and the need for clinical and radiographic follow-up consultations. After eight months of follow-up, the teeth erupted satisfactorily. It is extremely important to establish a protocol for observation and control of the traumatized tooth, observing signs and symptoms of the tissues involved in the trauma to reduce sequelae in both dentitions.
Key words: deciduous tooth; tooth injuries; Pediatric Dentistry
La luxación intrusiva es el tipo más común de lesión traumática en la dentición primaria, caracterizada por el desplazamiento del diente hacia el interior del alvéolo. Requieren minucioso examen clínico, buena radiografía y seguimiento del caso, siendo el prognóstico desfavorable, principalmente por la probabilidad de daño al germen del diente permanente. Este trabajo tiene como objetivo reportar un caso clínico de luxación intrusiva en dentición primaria, desde el diagnóstico hasta el seguimiento. Se trata de un paciente masculino, de 3 años, que acudió a la Emergencia de la Clínica de Especialidades Infantiles - Universidad Estatal de Londrina (UEL) por traumatismo dentoalveolar en la región antero-superior ocurrido hace tres días. En el examen físico, se observó que el diente 61 presentaba intrusión de grado II con un tercio de la corona visible y el diente 62 intrusión de grado I, con más de un tercio de la corona visible. Radiográficamente se observa inclinación vestibular, sin fractura de la placa ósea, por lo que se optó por un tratamiento conservador, a la espera de la reerupción espontánea de los dientes afectados. Se informó a los padres sobre posibles consecuencias de este tipo de traumatismo y la necesidad de consultas de seguimiento clínico y radiológico. Después de ocho meses de seguimiento, los dientes erupcionaron satisfactoriamente. Es de suma importancia establecer un protocolo de observación y control del diente en el cual se ha identificado el trauma, observando signos y síntomas de los tejidos involucrados en el trauma para reducir secuelas en ambas denticiones.
Palabras clave: diente primario. traumatismos de los dientes; Odontología Pediátrica.
A luxação intrusiva é o tipo de lesão traumática mais frequente na dentição decídua, caracterizada pelo deslocamento do dente para o alvéolo. As intrusões requerem exame físico minucioso, radiografias de valor diagnóstico e acompanhamento do caso, pois o prognóstico é desfavorável, principalmente pela probabilidade de danos ao germe dentário permanente. Este trabalho tem como objetivo relatar um caso clínico de luxação intrusiva na dentição decídua, desde o diagnóstico até o acompanhamento. Trata-se de paciente do sexo masculino, 3 anos de idade, atendido no Pronto Socorro do Ambulatório de Especialidades Infantis da Universidade Estadual de Londrina (UEL) devido a trauma dento-alveolar em região ântero-superior ocorrido há três dias. Ao exame físico intraoral, observou-se que o dente 61 apresentava intrusão grau II (um terço da coroa visível) e o dente 62 apresentava intrusão grau I, com mais de um terço da coroa visível. Radiograficamente foi observada inclinação vestibular, sem fratura da tábua óssea. Assim, optou-se pelo tratamento conservador, aguardando a reerupção espontânea dos dentes envolvidos. Além disso, os pais foram informados sobre as possíveis consequências deste tipo de trauma e a necessidade de consultas de proservação clínica e radiográfica. Após oito meses de acompanhamento, os dentes erupcionaram satisfatoriamente. É de extrema importância estabelecer um protocolo de observação e controle do dente traumatizado, observando sinais e sintomas dos tecidos envolvidos no trauma para reduzir sequelas em ambas as dentições.
Palavras-chave: dente decíduo; traumatismos dentários; Odontopediatria
Introduction
Dental trauma is a frequent situation in Pediatric Dentistry practice and may become a traumatic experience for parents and children. As a result, such episodes require the professional dentist to master the technical procedures and the psychological ability to transmit security during emergency care1.
Traumatic injuries occur in the teeth and supporting structures and may result in fractures, dislocations, and injuries to the gums and mucosa2. Children affected by traumatic injuries experience unpleasant experiences of pain and discomfort, in addition to generating an impact on quality of life, due to loss of function and aesthetic impairment3.
The prevalence of dental trauma in childhood is high. Approximately one- third of toddlers and preschool children suffer episodes of dental trauma in primary teeth3. Children ranging from 1 to 3 years old are vulnerable to traumatic injuries because they are beginning to walk and socialize.4
Traumatic dental injuries may be classified according to the tissues involved, such as: soft tissues, dental hard tissues and pulp and supporting tissues5. In primary teeth, supporting tissue injuries are the most frequent type of dental trauma due to the elasticity and porosity of the alveolar bone and lower crown-root- relation6. Dental hard tissues and pulp lesions are more common in permanent dentition.7
Intrusive dislocation or tooth intrusion is the most frequent type of traumatic injury in primary dentition, with a prevalence of 1.5%8 to 7%9. This lesion results from dental trauma with an axial dislocation of the tooth into the alveolar bone5. Clinically, intrusive dislocation is classified, according to the visible portion of the dental crown, in: grade I - mild partial intrusion in which more than 50% of the crown is visible; grade II - moderate partial intrusion in which less than 50% of the crown is visible; grade III - severe or complete intrusion of the crown.10
The treatment of intrusive dislocation involves longitudinal clinical and radiographic follow-up. Generally, the tooth returns to the normal position within 6 months, although in some cases, it can take up to a year for its complete re-eruption11. For this reason, the correct diagnosis of dental trauma, physical examination, thorough radiographic examination and longitudinal follow- up are essential for the success of the prognosis and chosen treatment.12-14
This study aims to report a clinical case of intrusive dislocation in the primary dentition, involving diagnosis and longitudinal clinical and radiographic follow-up. Informed consent was obtained and signed by the parents of the child.
Case Report
Male patient, 3 years old, attended in Emergency of the Children's Specialty Clinic - State University of Londrina (UEL), due to the occurrence of dental trauma in the anterior-superior region. In the anamnesis, the child's mother reported that the patient fell from on the same level and hit his mouth on the handlebars of a scooter. In addition, the mother reported slight bleeding from the gums and the child was medicated with analgesics and anti- inflammatory drugs. The interval between the accident and the clinical examination was three days.
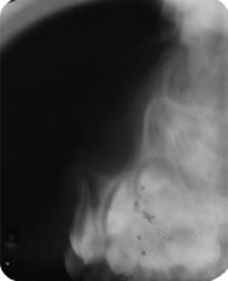
In the first appointment, clinical and radiographic examinationswere performed. Was observed swollen gums in the region of the upper incisors, was observed tooth #61 was intruded, with a third of the crown visible (grade II) and mild intrusion of tooth #62, with more than a third of the crown visible (grade I) (Figure 1A ).
Radiographically, (modified periapical anterior and Fazzi’s lateral radiograph), teeth #61 and #62, without fracture of the bone plate and injury to the germs of
the permanent teeth (Figures 1B and 2). The treatment of choice was to wait for spontaneous teeth re-eruption.
The immediate treatment performed was symptomatic, with the prescription of V.A.S.A. (gentian violet) to be applied to soft tissues and brushed with 0.12% chlorhexidine digluconate for 7 days. 3A Clinical and radiographic lollow-up was established after 1 week, 6-8 weeks, 6 months, 1 year and after eruption of permanent teeth, according to the International Association of Dental Traumatology (IADT) trauma guidelines. Parents were informed about the risk of discoloration, root resorption and especially pulp necrosis of traumatized teeth in cases of dental intrusion. In addition, they were instructed about occlusal interferences harmful to the re-eruption of teeth, such as: use of a pacifier and bottle, nail-biting habits, biting objects and sucking a finger, as well as avoiding biting hard food with the front teeth.
On clinical examination after 7 days, redness and swelling of the gingival mucosa was observed. There was no mobility #61 and #62, and #61 with a third of the crown visible. On clinical and radiographic examination after two weeks, it was possible to observe a mild re-eruption of the dental elements (Figures 3A and 4B).
After 60 days, tooth #61 almost completely re-erupted and #62 completely re-erupted (Figures 4A and 4B), without color change,

Figures 3A y 3B Clinical and radiographic aspects after two weeks following trauma showing the beginning of the re-eruption process.
complaints of pain, inflammation or fistula. In addition, the gums looked healthy. Radiographically, there is no observed presence of periapical and periodontal lesions (Figure 4C). On the 8 months follow-up, it was found that tooth #61 re erupted satisfactorily, despite being slightly above the line of occlusion and the patient presenting an anterior open bite. Absence of gingival inflammation, fistula or pain was

Figures 4A,4B y 4C Clinical and radiographic aspects after 2 months following trauma with complete re- eruption of teeth.
also observed (Figure 5A). Besides, dental biofilm accumulation, redness and swelling in the gingiva inserted around tooth #62, with gingival recession at the cervical level due to occlusal interference, grade I mobility and external root resorption was noted (Figure 5B). On radiographic examination, no signs of periapical and periodontal lesions in tooth #61 was observed. The patient was asymptomatic and there was no need for intervention. On 12-month clinical and radiographic follow-up, the patient returned for a new evaluation and was noted to have the same characteristics as the last follow-up (Figures 6A and 6B).
The child's mother reported that the child still uses a bottle and pacifier and does not feel discomfort in tooth #62. Again, hygiene instructions and guidance on the child's deleterious habits were given. The
mother received information about root resorption of the upper left lateral incisor, which should be extracted at any sign of inflammation, infection or pain. The patient will continue to be monitored by the Oral Health Program at the Department of Pediatric Dentistry at the State University of Londrina.
Discussion
Intrusive dislocations are the most common type of trauma in the primary dentition15 and affect mainly the age group between 1 and 3 years old16. In relation to gender, in a study performed by Soporowski, Allred and Needleman (1994), a prevalence almost twice as high in boys was observed17. On the other hand, Moura et al. (2011) and Altun, Esenlik and Tozum (2009) did not observe gender differences18,16. Among the most frequent causes are falls and accidental collisions19, with the anterior-superior teeth being the most affected20,21. Behavioral characteristics and presence of malocclusion are also among the predisposing factors for trauma22.
The diagnosis of dental trauma requires careful and detailed examination based on care and updated protocol. Thus, on the clinical exam, detailed information should be acquired about the history of the trauma, medical history, presence of previous trauma, systemic manifestations and painful symptoms. It is also necessary to assess the general condition of the patient and the signs and symptoms that may indicate the occurrence of lesions to the central nervous system, such as nausea, vomiting and amnesia. In these cases, it is necessary to refer the patient to the nearest hospital23.
Radiographic examination is also essential in cases of dental trauma involving the supporting tissues, to assess the root condition, the relationship with adjacent structures and the existence of periapical lesions, bone fragments and foreign bodies. The most used radiographic techniques in intrusive dislocations are modified anterior periapical and Fazzi's lateral, which make it possible to evaluate the direction of tooth palatine or buccal displacement24.
Treatment of dental trauma is a theme discussed in the literature that involves several factors, such as: time elapsed between the dental trauma and seeking treatment, age of the patient, degree of tooth mobility. One option recommended to treat a deciduous intruded tooth is to await spontaneous re eruption that can happen within six months or even a year11.
Pulp necrosis and coronal discoloration are the most observed sequelaes in the deciduous dentition after dental trauma25. When the discoloration is accompanied by changes, such as: internal root resorption, inflammatory root resorption or by replacement, periapical inflammation or fistula, the deciduous tooth must be treated endodontically26. In the present study, until now, no signs or complications were observed in the pulp tissues.
Infection control in the deciduous dentition is an important factor because the wide medullary spaces favor the spread of infection and the development of the permanent tooth germ occurs very close to the roots of these teeth, which can also lead to sequelae in the permanent successor27. Because of this, the preservation of the healthy deciduous tooth until the eruption of the permanent successor is essential for the maintenance of the esthetics, the function and the length and symmetry of the arch28.
Generally, the re-eruption process happens after a few weeks. An ankylosis process may be present when tooth movement does not occur between 1 and 6 months and the tooth must be extracted29. According to Costa, Corrêa and Ribeiro (2005), re-eruption presents in 95% of cases in the first six months, and it is important to evaluate the pulp and periodontal condition after this period7. Therefore, according to Carvalho, Jacomo and Campos (2010), the frequency of tooth extraction while waiting for the intruded deciduous tooth to re-erupt is low, being approximately 25%14. Therefore, it is essential to establish a protocol for observation and control of the traumatized tooth, while waiting for the re-eruption of the intruded tooth, observing signs and symptoms of the tissues involved.
Parents should be advised about the importance of returning if an unfavorable prognosis is observed and about the possible sequelae resulting from the dental trauma, such as: pulp necrosis, bone resorption, ankylosis and damage to the development of the permanent tooth germ30. In addition, parents should also be informed about care with food and the non-use of artificial teats (pacifier and/or bottle) after the dental trauma31.
Furthermore, the application of V.A.S.A. for treatment and analgesia of soft tissues may be performed32. In cases of fever or bone exposure, analgesics and antibiotics should be prescribed respectively29.
In the present study, it was decided to monitor the re-eruption of intruded dental elements, according to the protocol established by the guidelines of the International Association of Dental Traumatology - IADT11. We did not opt for extraction because of concern that damage to the permanent tooth bud may occur during the procedure, as well as the lack of evidence that immediate extraction will reduce damage to the permanent tooth bud. Additionally, the tooth should be allowed to reposition spontaneously, irrespective of the direction of the displacement. Spontaneous improvement in the position of the intruded tooth usually occurs within six months but can take up to one year in some cases33. The conservative treatment spontaneous recovery of intrusive luxations due to trauma can have satisfactory results, after an evaluation and analysis of all determining factors, avoiding procedures and negative consequences for the patient.34
Around three weeks after the trauma, the teeth began to erupt, which is in line with the clinical findings by IADT¹¹, which suggest the onset of re-eruption between 2 and 4 weeks. By 8 months, the tooth #61 had completed their full re-eruption. The present clinical case illustrates the relevance of protocols on dentoalveolar trauma and confirms the need for longitudinal clinical and radiographic maintenance, and that cases of intrusive dislocation can present potential inherent complications in the deciduous and permanent. Furthermore, we highlight the fact that emergency consultation in the decoration of dentoalveolar trauma is effective, assertive and based on the best scientific evidence. The pediatric dentist must be able to integrate children and the family nucleus and share information and guidance on the importance of changing the strengths of current oral habits, as well as raising awareness of the importance of longitudinal conservation.
REFERENCES
1. Kanegane K, Penha SS, Borsatti MA, Rocha RG. Ansiedade ao tratamento odontológico em atendimento de urgência. Rev Saude Publica. 2003;37(6):786-92. [ Links ]
2. Duque C. et al. Odontopediatria: uma visão contemporânea. 1ª edição. São Paulo: Editora Santos, 2013. [ Links ]
3. Andreasen JO, et al. Manual de traumatismos dental. São Paulo: Artes Médicas, 2000. [ Links ]
4. Moss SJ, Maccaro H. Examination, evaluation and behavior management following injury to primary incisors. N Y State Dent J. 1985;51(2):87-92. [ Links ]
5. Andreasen FM, Andreasen JO.Textbook and color atlas of traumatic injuries to the teeth. 3ª edição. Munksgaard: Mosby, 1994. [ Links ]
6. Gauba K, Goyal AE, Bhatia S. Intrusive dental injuries in children: manifestations and management. J Postgrad Med, 2014;48(2)53-62. [ Links ]
7. Costa LRR, Corrêa MSNP, Ribeiro RA. Traumatismo na dentição decídua. In: Corrêa MSNP. Odontologia na primeira infância. 2ª edição. São Paulo: Santos, 2005;645-667. [ Links ]
8. Kramer PF, Zembruski C, Ferreira SH, Feldens CA. Traumatic dental injuries in Brazilian preschool children. Dent Traumatol. 2003;19(6):299-303. [ Links ]
9. Borssén E, Holm A-K. Treatment of traumatic dental injuries in a cohort of 16- year-olds in northern Sweden. Dent Traumato. 2000;16(6),276-81. [ Links ]
10. Feldens CA, Kramer PF, Ferreira SH. Epidemiologia do traumatismo na dentição decídua. In: Feldens CA, Kramer PF. Traumatismos na dentição decídua: prevenção, diagnóstico e tratamento. 1ª edição. São Paulo: Editora Santos, 2005;51-62. [ Links ]
11. Bourguignon C, et al. International Association of Dental Traumatology guidelines for the management of traumatic dental injuries: 1. Fractures and luxations. Dent Traumatol. 2020;36(4):314-330. [ Links ]
12. Duarte DA, Correa MSNP, Benedetto MS, Mendes FM, Trindade C. Intrusão de dente decíduo: caso clínico. JBP, 1998;1(2),11-15. [ Links ]
13. Sanchez ALSF, Farinhas JA, Souza IPR de. Intrusão e avulsão em dentes decíduos: relato de caso. Rev Bras Odontol. 2002;59(1),54-56. [ Links ]
14. Carvalho V, Jacomo DR, Campos V. Frequency of intrusion luxation in deciduous teeth and its effects. Dent Traumatol. 2010;26(4),304-7. [ Links ]
15. Andreasen JO, Andreasen FM. Textbook and color atlas of traumatic injuries to the teeth. 3ª edição. Copenhagen/Munksgaard: Mosby, 2001. [ Links ]
16. Altun C, Esenlik E, Tozum TF. Hipoplasia of a permanent incisor produced by primary incisor intrusion: a case report. J Can Dent Assoc. 2009;75(3):215-8. [ Links ]
17. Soporowski NJ, Allred EN, Needleman HL. Luxation injuries of primary anterior teeth: prognosis and related correlates. Pediatr Dent. 1994;16(2),96-101. [ Links ]
18. Moura LB, Blasco MAP, Costa VPP, Cruz MK, Lubian CT, Torriani DD. Avaliação clínica e radiográfica de dentes decíduos intruídos por traumatismos alvéolo-dentário. PBOCI. 2011;11(4)601-606. [ Links ]
19. Pinkham JR, et al. Pediatric dentistry: infancy through adolescence. 4ª edição. Filadélfia: Elsevier Saunders, 2005. [ Links ]
20. Alencar AHG, Pereira AL, Figueiredo JH. Intrusive luxation: a case report. DentTraumatol. 2007;23(5):307- 12. [ Links ]
21. Umesan U, Chua KE, Kok E. Delayed orthodontic extrusion of a traumatically intruded immature upper permanent incisor: a case report. Dent Traumatol. 2013;30,406-10. [ Links ]
22. Olvieira MSB, Carneiro MC, Amorim TM, Maia VN, Alvarez AV, Vianna MIP, et al. Contexto familiar, traumatismo dentário e oclusopatias em crianças em idade pré-escolar: ocorrência e fatores associados. Rev Odontol UNESP. 2010;39(2): 81-88. [ Links ]
23. Andreasen JO, Andreasen FM. Lesiones dentarias traumáticas. Madri: Editorial Médica Panamericana, 1990. [ Links ]
24. Ribeiro AA, Chevitarese LMO, Souza IPR. A importância da atenção primária e do acompanhamento nos casos de intrusão traumática de dentes decíduos: relato de caso. JBP. 1998;1(4),65-72. [ Links ]
25. Sandalli N, Cildir S, Guler N. Clinical investigation of traumatic injuries in Yeditepe University, Turkey during the last 3 years. Dent Traumatol. 2005;21,188-94. [ Links ]
26. Cardoso M, Rocha MJC. Federal University of Santa Catarina follow-up management routine for traumatized primary teeth: part 1. Dent Traumatol. 2004;20(6):307-13. [ Links ]
27. Silva LAB, Nelson-Filho P, Faria G, Souza-Gugelmin MCM, Ito IY. Bacterial profile in primary teeth with necrotic pulp and periapical lesions. Braz Dent J. 2006;17(2):144-8. [ Links ]
28. Özalp N, Saroglu I, Sönmez H. Evaluation ofvarious root canal filling materials in primary molar pulpectomies: an in vivo study. Am J Dent. 2005;18(6),347-350. [ Links ]
29. Nelson-Filho P, Assed S, Silva LAB. Odontopediatria: bases científicas para a prática clínica. In: Assed S. Traumatismo na dentição decídua. 1ª edição. São Paulo: Artes Médicas, 2005;811-855. [ Links ]
30. Moura LFAD, Bezerra ACB, Amorim LFG, Moura MD, Toledo OA. Intrusive luxation of primary teeth: case report. Dent Traumatol. 2008;24(1)91- 95. [ Links ]
31. Chelotti A, Valentim C, Prokopowitsch I, Guedes-Pinto AC. Lesões traumáticas em dentes decíduos e permanentes jovens. In: Guedes-Pinto AC. Odontopediatria, São Paulo: Santos; 2003;649-87. [ Links ]
32. Holan G, Ram D. Sequelae and prognosis of intruded primary incisors: a retrospective study. Pediatr Dent.1999;21(4):242-7. [ Links ]
33. Elleray E, Brizuela M, Pepper T. Trauma to the Primary Dentition. In: StatPearls. Treasure Island (FL): StatPearls Publishing; June 1, 2023. [ Links ]
34. Mérida M, Martínez MG, Medina Díaz AC. Tratamiento conservador para intrusión severa de dientes primarios. Informe de caso. Rev. Odontopediatr. Latinoam. 2022;12(1) [ Links ]
Ethics Statement:
The authors declare that the parents gave consent for images and clinical information of the case to be reported in scientific publications. Parents understand that the child's name and initials will not be published and efforts will be made to conceal the child's identity. This article complies with the protocols of the Research Ethics Committee of the State of University of Londrina.
Received: September 05, 2023; Accepted: December 16, 2023; Published: March 24, 2024










texto en 
uBio 






