Revista de Odontopediatría Latinoamericana
versión On-line ISSN 2174-0798
Rev Odontoped Latinoam vol.14 Bogotá dic. 2024 Epub 10-Abr-2025
https://doi.org/10.47990/rrq96987
Reporte de Casos
Luxação intrusiva na dentição decídua: relato de caso clínico
1Departamento de Medicina Oral e Odontologia Infantil, Universidade Estadual de Londrina (UEL), Londrina, PR, Brasil.
2Departamento de Medicina Oral e Odontologia Infantil, Universidade Estadual de Londrina (UEL), Londrina, PR, Brasil.
3Departamento de Medicina Oral e Odontologia Infantil, Universidade Estadual de Londrina (UEL), Londrina, PR, Brasil.
4Clínica de Especialidades infantiles/Bebê Clinica de la Universidad Estadual de Londrina
5Departamento de Medicina Oral e Odontologia Infantil, Universidade Estadual de Londrina (UEL), Londrina, PR, Brasil.
6Departamento de Medicina Oral e Odontologia Infantil, Universidade Estadual de Londrina (UEL), Londrina, PR, Brasil.
7Departamento de Medicina Oral e Odontologia Infantil, Universidade Estadual de Londrina (UEL), Londrina, PR, Brasil.
8Departamento de Medicina Oral e Odontologia Infantil, Universidade Estadual de Londrina (UEL), Londrina, PR, Brasil.
A luxação intrusiva é o tipo de lesão traumática mais frequente na dentição decídua, caracterizada pelo deslocamento do dente para o alvéolo. As intrusões requerem exame físico minucioso, radiografias de valor diagnóstico e acompanhamento do caso, pois o prognóstico é desfavorável, principalmente pela probabilidade de danos ao germe dentário permanente. Este trabalho tem como objetivo relatar um caso clínico de luxação intrusiva na dentição decídua, desde o diagnóstico até o acompanhamento. Trata-se de paciente do sexo masculino, 3 anos de idade, atendido no Pronto Socorro do Ambulatório de Especialidades Infantis da Universidade Estadual de Londrina (UEL) devido a trauma dento-alveolar em região ântero-superior ocorrido há três dias. Ao exame físico intraoral, observou-se que o dente 61 apresentava intrusão grau II (um terço da coroa visível) e o dente 62 apresentava intrusão grau I, com mais de um terço da coroa visível. Radiograficamente foi observada inclinação vestibular, sem fratura da tábua óssea. Assim, optou-se pelo tratamento conservador, aguardando a reerupção espontânea dos dentes envolvidos. Além disso, os pais foram informados sobre as possíveis consequências deste tipo de trauma e a necessidade de consultas de proservação clínica e radiográfica. Após oito meses de acompanhamento, os dentes erupcionaram satisfatoriamente. É de extrema importância estabelecer um protocolo de observação e controle do dente traumatizado, observando sinais e sintomas dos tecidos envolvidos no trauma para reduzir sequelas em ambas as dentições.
Palavras-chave: dente decíduo; traumatismos dentários; Odontopediatria
La luxación intrusiva es el tipo más común de lesión traumática en la dentición primaria, caracterizada por el desplazamiento del diente hacia el interior del alvéolo. Requieren minucioso examen clínico, buena radiografía y seguimiento del caso, siendo el prognóstico desfavorable, principalmente por la probabilidad de daño al germen del diente permanente. Este trabajo tiene como objetivo reportar un caso clínico de luxación intrusiva en dentición primaria, desde el diagnóstico hasta el seguimiento. Se trata de un paciente masculino, de 3 años, que acudió a la Emergencia de la Clínica de Especialidades Infantiles - Universidad Estatal de Londrina (UEL) por traumatismo dentoalveolar en la región antero-superior ocurrido hace tres días. En el examen físico, se observó que el diente 61 presentaba intrusión de grado II con un tercio de la corona visible y el diente 62 intrusión de grado I, con más de un tercio de la corona visible. Radiográficamente se observa inclinación vestibular, sin fractura de la placa ósea, por lo que se optó por un tratamiento conservador, a la espera de la reerupción espontánea de los dientes afectados. Se informó a los padres sobre posibles consecuencias de este tipo de traumatismo y la necesidad de consultas de seguimiento clínico y radiológico. Después de ocho meses de seguimiento, los dientes erupcionaron satisfactoriamente. Es de suma importancia establecer un protocolo de observación y control del diente en el cual se ha identificado el trauma, observando signos y síntomas de los tejidos involucrados en el trauma para reducir secuelas en ambas denticiones.
Palabras clave: diente primario. traumatismos de los dientes; Odontología Pediátrica.
Intrusive dislocation is the most frequent type of traumatic injury in the primary dentition, characterized by displacement of the tooth into the alveolus. Intrusions require a thorough physical examination, radiographs of diagnostic value, and follow-up of the case, since the prognosis is unfavorable, mainly due to the probability of damage to the permanent tooth germ. This work aims to report a clinical case of intrusive dislocation in the primary dentition, from diagnosis to follow-up. This is a male patient, 3 years old, who attended in the Emergency of the Children’s Specialty Clinic - State University of Londrina (UEL) due to dento-alveolar trauma in the antero-superior region that occurred three days ago. On clinical examination, tooth 61 had grade II intrusion (one-third of the crown visible), and tooth 62 with grade I intrusion, with more than one-third of the crown visible. Radiographically, a buccal inclination was observed, with no fracture of the bone plate. Thus, we opted for conservative treatment, waiting for the spontaneous re-eruption of the teeth involved. Furthermore, parents were informed about the possible consequences of this type of trauma and the need for clinical and radiographic follow-up consultations. After eight months of follow-up, the teeth erupted satisfactorily. It is extremely important to establish a protocol for observation and control of the traumatized tooth, observing signs and symptoms of the tissues involved in the trauma to reduce sequelae in both dentitions.
Key words: deciduous tooth; tooth injuries; Pediatric Dentistry
Introdução
O traumatismo dentário é uma situação bastante frequente na prática da Odontopediatria e pode tornar-se uma experiência traumática para pais e filhos. Como resultado, tais casos exigem domínio dos procedimentos odontológicos por parte do profissional, além da sua capacidade psicológica de transmitir segurança durante o atendimento emergencial¹.
Lesões traumáticas ocorrem nos dentes e estruturas de suporte e podem resultar em fraturas, luxações e lesões nas gengivas e mucosas2. As crianças afetadas por essas lesões vivenciam experiências desagradáveis de dor e desconforto, além de gerar impacto na qualidade de vida devido à perda de comprometimento funcional e estético3.
A prevalência de traumatismo dentário na infância é alta. Aproximadamente um terço das crianças pequenas e pré-escolares sofrem episódios de traumatismo dentário em dentes decíduos3. As crianças de 1 a 3 anos, por sua vez, são mais vulneráveis a esses episódios visto que estão iniciando o processo de aprender a caminhar e se socializar4.
As lesões dentárias traumáticas podem ser classificadas de acordo com os tecidos envolvidos, como: tecidos moles, tecidos dentários e tecidos pulpares e de suporte5. Em dentes decíduos, lesões nos tecidos de suporte são o tipo mais frequente de traumatismo dentário devido à elasticidade e porosidade do osso alveolar e menor relação coroa-raiz6. Tecidos dentários e lesões pulpares são mais comumente afetados em dentição permanente7.
A luxação intrusiva ou intrusão dentária é o tipo de traumatismo mais frequente na dentição decídua, com prevalência de 1,5%8 a 7%9. Esta lesão resulta de um trauma dentário com deslocamento axial do dente para o osso alveolar5. Clinicamente, a luxação intrusiva é classificada de acordo com a porção visível da coroa dentária, sendo: grau I - intrusão parcial leve em que mais de 50% da coroa é visível; grau II - intrusão parcial moderada em que menos de 50% da coroa é visível; grau III - intrusão severa ou completa da coroa.10
O tratamento da luxação intrusiva envolve procedimentos clínicos e acompanhamento radiográfico. Geralmente, o dente retorna à posição normal dentro de 6 meses, embora em alguns casos possa levar até um ano para sua completa reerupção11. Por esta razão, o diagnóstico correto do trauma, exames físico e radiográfico completos e acompanhamento à longo prazo são essenciais para um bom prognóstico e sucesso do tratamento de escolha.12-14.
Este trabalho tem como objetivo relatar um caso clínico de luxação intrusiva na dentição decídua, envolvendo seu diagnóstico e acompanhamento clínico e radiográfico. O consentimento informado foi obtido e assinado pelos pais da criança.
Caso Clínico
Paciente do sexo masculino, 3 anos, atendido na Emergência de Especialidades Infantis - Universidade Estadual de Londrina (UEL), devido à ocorrência de traumatismo dentário na região ântero- superior. À anamnese, a mãe relatou que o paciente caiu da mesma altura e colidiu com o guidão de uma bicicleta, o que causou leve sangramento no tecido gengival. A criança foi medicada com analgésicos e anti-inflamatórios. O intervalo entre o acidente e o exame clínico foi de três dias.
Durante a primeira consulta, foram realizados exames clínico e radiográfico, observando-se inchaço no tecido gengival na região dos incisivos superiores, dentes #61 intruído, com um terço de coroa visível (grau II) e leve intrusão do dente #62, com mais de um terço de coroa visível (grau I) (Figura 1A).
Radiograficamente, (radiografia periapical anterior modificada e radiografia lateral de Fazzi), os dentes #61 e #62 apresentavam- se sem fratura da tábua óssea e lesão dos germes dos dentes permanentes (Figuras 1B e 2). Sendo assim, o tratamento de escolha foi aguardar e acompanhar a reerupção espontânea dos dentes afetados.
escolha foi aguardar e acompanhar a reerupção espontânea dos dentes afetados.
O tratamento imediato instituído foi sintomático, com prescrição de V.A.S.A. (violeta de genciana) para aplicação em tecidos moles e escovação com digluconato de clorexidina 0,12% por 7 dias. O acompanhamento clínico e radiográfico foi realizado após 1 semana, 6-8 semanas, 6 meses, 1 ano, e será realizado também após a erupção dos dentes permanentes, de acordo com as diretrizes da Associação Internacional de Traumatologia Dentária (IADT). Os pais foram informados sobre o risco de alteração de cor, reabsorção radicular e, principalmente, necrose pulpar dos dentes traumatizados. Além disso, foram orientados sobre interferências oclusais prejudiciais a reerupção dos dentes, tais como: uso de chupeta e mamadeira, hábitos de roer unhas, introdução de objetos na cavidade oral e sucção digital, além de terem sido orientados à supervisionar a alimentação da criança evitando mastigar alimentos duros com os dentes anteriores.
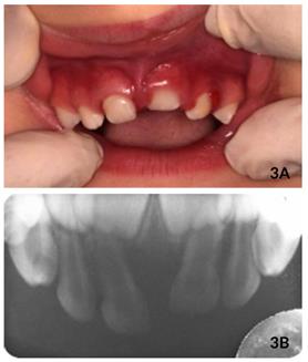
Ao exame clínico após 7 dias, foram observados vermelhidão e inchaço da mucosa adjacente. Não houve mobilidade dos dentes #61 e #62, e o dente #61 apresentava um terço de coroa visível. Ao exame clínico e radiográfico após duas semanas, foi possível observar leve reerupção dos elementos dentários envolvidos (Figuras 3A e 4B).

Figuras 3A y 3B Aspectos clínicos e radiográficos após 2 semanas de acompanhamento ilustrando o início do processo de reerupção dentária.
Após 60 dias, o dente #61 apresentava se com a coroa próxima de estar totalmente visível, enquanto o dente #62 apresentava-se totalmente reerupcionado (Figuras 4A e 4B), sem alterações de cor, queixas de sintomatologia dolorosa, inflamação ou fístula. Além disso, as gengivas apresentavam aspecto saudável. Radiograficamente, não há presença de lesões periapicais e periodontais

Figuras 4A, 4B y 4C Aspectos clínicos e radiográficos após 2 meses de acompanhamento ilustrando a reerupção dentária completa.
(Figura 4C). Ao acompanhamento de 8 meses, constatou-se que o dente #61 reerupcionou satisfatoriamente apesar de estar ligeiramente acima da linha de oclusão e o paciente apresentar mordida aberta anterior. Novamente, foram observados ausência de inflamação gengival, fístula ou sintomatologia dolorosa (Figura 5A). Além disso, em relação ao dente #62, observou se acúmulo de biofilme dental, vermelhidão e inchaço na gengiva inserida adjacente, com recessão gengival na região cervical devido à interferência oclusal, mobilidade grau I e reabsorção radicular externa (Figura 5B). Ao exame radiográfico, não há sinais de lesões periapicais e lesões periodontais no dente #61. O paciente estava
assintomático e não houve necessidade de intervenção. Ao acompanhamento de 12 meses após o trauma, o paciente retornou com as mesmas características do último atendimento (Figuras 6A e 6B).
A mãe da criança relatou a persistência do uso da mamadeira e chupeta, embora o paciente não apresente queixas de desconforto no dente #62. Novamente, instruções de higiene e orientações sobre os hábitos deletérios da criança foram dadas aos pais, além de esclarecimentos sobre a reabsorção radicular do incisivo lateral superior esquerdo, que, futuramente, deve ser extraído a qualquer sinal de inflamação, infecção ou sintomatologia dolorosa. O paciente continuará sendo monitorado pelo Programa de Saúde Oral do Departamento de Odontopediatria da Universidade Estadual de Londrina.
A mãe da criança relatou a persistência do uso da mamadeira e chupeta, embora o paciente não apresente queixas de desconforto no dente #62. Novamente, instruções de higiene e orientações sobre os hábitos deletérios da criança foram dadas aos pais, além de esclarecimentos sobre a reabsorção radicular do incisivo lateral superior esquerdo, que, futuramente, deve ser extraído a qualquer sinal de inflamação, infecção ou sintomatologia dolorosa. O paciente continuará sendo monitorado pelo Programa de Saúde Oral do Departamento de Odontopediatria da Universidade Estadual de Londrina.
Discussão
Luxações intrusivas são o tipo de trauma mais comum na dentição decídua15 e afetam principalmente a faixa etária entre 1 e 3 anos16. Em relação ao gênero, em estudo realizado por Soporowski, Allred e Needleman (1994), foi observada prevalência quase duas vezes maior em meninos17. Por outro lado, Moura et al. (2011) e Altun, Esenlik e Tozum (2009) não observaram diferenças entre os gêneros18,16. Entre as causas mais frequentes estão quedas, acidentes e colisões19, sendo os dentes ântero- superiores os mais acometidos20,21. Características comportamentais e presença de má oclusão também estão entre os fatores predisponentes para os episódios de trauma22.
O diagnóstico de traumatismo dentário requer exames clínicos e radiográficos detalhados e deve ser baseado em cuidados e protocolos atualizados. Assim, no exame clínico, informações minuciosas devem ser adquiridas sobre a história do trauma, histórico médico do paciente, presença de trauma prévio, manifestações sistêmicas e sintomatologia dolorosa. Além disso, é necessário avaliar o estado de saúde geral do paciente e os sinais e sintomas que podem indicar a ocorrência de lesões no sistema nervoso central, como náuseas, vômitos e amnésia. Nestes casos, é necessário encaminhar o paciente para atendimento hospitalar.23
O exame radiográfico também é essencial em casos de traumatismos dentários envolvendo os tecidos de suporte, a fim de avaliar a condição radicular, a relação com estruturas adjacentes e a existência de lesões periapicais, fragmentos ósseos e corpos estranhos. As técnicas radiográficas mais utilizadas nas luxações intrusivas são periapical anterior modificada e lateral de Fazzi, que permitem avaliar a direção do deslocamento do dente envolvido para palatina ou vestibular.24
O tratamento do traumatismo dentário é um tema amplamente discutido na literatura e envolve vários fatores, tais como: tempo decorrido entre o trauma dentário e a procura pelo atendimento, idade do paciente e grau de mobilidade dentária. Em casos de intrusão dentária de dente decíduo, uma boa opção de tratamento é aguardar sua reerupção espontânea que pode acontecer dentro de 6 meses ou até 1 ano11.
Necrose pulpar e alteração de cor da coroa são as sequelas mais observadas na dentição decídua após a ocorrência de um trauma dentário25. Quando a alteração de cor é acompanhada de outras alterações, tais como reabsorção radicular interna,
reabsorção radicular inflamatória ou por substituição, inflamação periapical ou aparecimento de fístula, o dente decíduo em questão deve ser tratado endodonticamente26. No presente estudo, até o momento, não há sinais ou complicações observadas nos tecidos pulpares.
O controle de infecção na dentição decídua é um fator importante uma vez que os amplos espaços medulares favorecem a propagação da infecção, além de que o desenvolvimento do germe dentário permanente ocorre muito próximo às raízes dos dentes decíduos, o que pode também levar a sequelas no sucessor27. Por este motivo, a preservação do dente decíduo hígido até a erupção do permanente é essencial para a manutenção da estética, função e do comprimento e simetria do arco.28
Geralmente, o processo de reerupção dentária acontece após algumas semanas. Uma anquilose pode estar presente quando a movimentação dentária não ocorre entre 1 e 6 meses após o trauma e o dente deve ser extraído29. Segundo Costa, Corrêa e Ribeiro (2005), a reerupção ocorre em 95% dos casos nos primeiros seis meses, e é importante avaliar a condição pulpar e periodontal após esse período7. Portanto, segundo Carvalho, Jacomo e Campos (2010), a frequência de extração do dente intruído durante o acompanhamento e espera de sua reerupção é baixa, sendo aproximadamente de 25%14. Portanto, é essencial estabelecer um protocolo para observação e controle do dente traumatizado, observando sinais e sintomas dos tecidos envolvidos.
Os pais devem ser informados sobre a importância de comparecer aos retornos caso haja um prognóstico desfavorável, além de serem esclarecidos sobre as possíveis sequelas decorrentes de um traumatismo dentário, como: necrose pulpar, reabsorção óssea, anquilose e danos ao desenvolvimento do germe dentário permanente30. Também devem ser informados sobre os cuidados com a alimentação e a não utilização de bicos artificiais (chupeta e/ou mamadeira) após o trauma31. Além disso, a aplicação do V.A.S.A. para tratamento e analgesia de tecidos moles pode ser realizada32. Em casos de febre ou exposição óssea, analgésicos e antibióticos devem ser prescritos, respectivamente.29
No presente estudo, optou-se pormonitorar a reerupção dos dentes envolvidos, de acordo com o protocolo estabelecido pelas diretrizes da Associação Internacional de Traumatologia Dentária - IADT11. A exodontia não foi o tratamento de escolha devido à possibilidade de causar danos ao germe do dente permanente durante o procedimento cirúrgico, bem como a falta de evidências de que a extração imediata reduziria ou eliminaria tais danos. Além disso, deve-se permitir que o dente se reposicione espontaneamente, independentemente da direção do seu deslocamento, o que geralmente ocorre dentro de 6 meses a 1 ano33. O tratamento conservador de reerupção espontânea de luxações intrusivas pode ter resultados satisfatórios, após avaliação e análise de todos os fatores determinantes, evitando procedimentos desnecessários e consequências negativas para o paciente.34
Neste estudo, os elementos dentários iniciaram o processo de reerupção cerca de 3 semanas após o trauma, o que está de acordo com os achados clínicos da IADT¹¹, que sugerem o início de reerupção entre 2 e 4 semanas. Aos 8 meses, o dente #61 apresentava reerupção completa. O presente caso ilustra a relevância dos protocolos sobre o trauma dentoalveolar e confirma a necessidade de estudos clínicos e acompanhamento radiográfico, visto que casos de luxação intrusiva podem apresentar complicações tanto em dentição decídua quanto permanente. Além disso, ressaltamos que a consulta de urgência para um melhor prognóstico nos casos de trauma dentoalveolar é eficaz, assertiva e baseada nas melhores evidências científicas. O odontopediatra deve ser capaz de integrar a criança e o núcleo familiar e compartilhar informações e orientações sobre a importância de alterar os hábitos bucais deletérios atuais, bem como conscientizar sobre a importância do acompanhamento a longo prazo.
REFERÊNCIAS
1. Kanegane K, Penha SS, Borsatti MA, Rocha RG. Ansiedade ao tratamento odontológico em atendimento de urgência. Rev Saude Publica. 2003;37(6):786-92. [ Links ]
2. Duque C. et al. Odontopediatria: uma visão contemporânea. 1ª edição. São Paulo: Editora Santos, 2013. [ Links ]
3. Andreasen JO, et al. Manual de traumatismos dental. São Paulo: Artes Médicas, 2000. [ Links ]
4. Moss SJ, Maccaro H. Examination, evaluation and behavior management following injury to primary incisors. N Y State Dent J. 1985;51(2):87-92. [ Links ]
5. Andreasen FM, Andreasen JO.Textbook and color atlas of traumatic injuries to the teeth. 3ª edição. Munksgaard: Mosby, 1994. [ Links ]
6. Gauba K, Goyal AE, Bhatia S. Intrusive dental injuries in children: manifestations and management. J Postgrad Med, 2014;48(2)53-62. [ Links ]
7. Costa LRR, Corrêa MSNP, Ribeiro RA. Traumatismo na dentição decídua. In: Corrêa MSNP. Odontologia na primeira infância. 2ª edição. São Paulo: Santos, 2005;645-667. [ Links ]
8. Kramer PF, Zembruski C, Ferreira SH, Feldens CA. Traumatic dental injuries in Brazilian preschool children. Dent Traumatol. 2003;19(6):299-303. [ Links ]
9. Borssén E, Holm A-K. Treatment of traumatic dental injuries in a cohort of 16- year-olds in northern Sweden. Dent Traumato. 2000;16(6),276-81. [ Links ]
10. Feldens CA, Kramer PF, Ferreira SH. Epidemiologia do traumatismo na dentição decídua. In: Feldens CA, Kramer PF. Traumatismos na dentição decídua: prevenção, diagnóstico e tratamento. 1ª edição. São Paulo: Editora Santos, 2005;51-62. [ Links ]
11. Bourguignon C, et al. International Association of Dental Traumatology guidelines for the management of traumatic dental injuries: 1. Fractures and luxations. Dent Traumatol. 2020;36(4):314-330. [ Links ]
12. Duarte DA, Correa MSNP, Benedetto MS, Mendes FM, Trindade C. Intrusão de dente decíduo: caso clínico. JBP, 1998;1(2),11-15. [ Links ]
13. Sanchez ALSF, Farinhas JA, Souza IPR de. Intrusão e avulsão em dentes decíduos: relato de caso. Rev Bras Odontol. 2002;59(1),54-56. [ Links ]
14. Carvalho V, Jacomo DR, Campos V. Frequency of intrusion luxation in deciduous teeth and its effects. Dent Traumatol. 2010;26(4),304-7. [ Links ]
15. Andreasen JO, Andreasen FM. Textbook and color atlas of traumatic injuries to the teeth. 3ª edição. Copenhagen/Munksgaard: Mosby, 2001. [ Links ]
16. Altun C, Esenlik E, Tozum TF. Hipoplasia of a permanent incisor produced by primary incisor intrusion: a case report. J Can Dent Assoc. 2009;75(3):215-8. [ Links ]
17. Soporowski NJ, Allred EN, Needleman HL. Luxation injuries of primary anterior teeth: prognosis and related correlates. Pediatr Dent. 1994;16(2),96-101. [ Links ]
18. Moura LB, Blasco MAP, Costa VPP, Cruz MK, Lubian CT, Torriani DD. Avaliação clínica e radiográfica de dentes decíduos intruídos por traumatismos alvéolo-dentário. PBOCI. 2011;11(4)601-606. [ Links ]
19. Pinkham JR, et al. Pediatric dentistry: infancy through adolescence. 4ª edição. Filadélfia: Elsevier Saunders, 2005. [ Links ]
20. Alencar AHG, Pereira AL, Figueiredo JH. Intrusive luxation: a case report. DentTraumatol. 2007;23(5):307- 12. [ Links ]
21. Umesan U, Chua KE, Kok E. Delayed orthodontic extrusion of a traumatically intruded immature upper permanent incisor: a case report. Dent Traumatol. 2013;30,406-10. [ Links ]
22. Olvieira MSB, Carneiro MC, Amorim TM, Maia VN, Alvarez AV, Vianna MIP, et al. Contexto familiar, traumatismo dentário e oclusopatias em crianças em idade pré-escolar: ocorrência e fatores associados. Rev Odontol UNESP. 2010;39(2): 81-88. [ Links ]
23. Andreasen JO, Andreasen FM. Lesiones dentarias traumáticas. Madri: Editorial Médica Panamericana, 1990. [ Links ]
24. Ribeiro AA, Chevitarese LMO, Souza IPR. A importância da atenção primária e do acompanhamento nos casos de intrusão traumática de dentes decíduos: relato de caso. JBP. 1998;1(4),65-72. [ Links ]
25. Sandalli N, Cildir S, Guler N. Clinical investigation of traumatic injuries in Yeditepe University, Turkey during the last 3 years. Dent Traumatol. 2005;21,188-94. [ Links ]
26. Cardoso M, Rocha MJC. Federal University of Santa Catarina follow-up management routine for traumatized primary teeth: part 1. Dent Traumatol. 2004;20(6):307-13. [ Links ]
27. Silva LAB, Nelson-Filho P, Faria G, Souza-Gugelmin MCM, Ito IY. Bacterial profile in primary teeth with necrotic pulp and periapical lesions. Braz Dent J. 2006;17(2):144-8. [ Links ]
28. Özalp N, Saroglu I, Sönmez H. Evaluation ofvarious root canal filling materials in primary molar pulpectomies: an in vivo study. Am J Dent. 2005;18(6),347-350. [ Links ]
29. Nelson-Filho P, Assed S, Silva LAB. Odontopediatria: bases científicas para a prática clínica. In: Assed S. Traumatismo na dentição decídua. 1ª edição. São Paulo: Artes Médicas, 2005;811-855. [ Links ]
30. Moura LFAD, Bezerra ACB, Amorim LFG, Moura MD, Toledo OA. Intrusive luxation of primary teeth: case report. Dent Traumatol. 2008;24(1)91- 95. [ Links ]
31. Chelotti A, Valentim C, Prokopowitsch I, Guedes-Pinto AC. Lesões traumáticas em dentes decíduos e permanentes jovens. In: Guedes-Pinto AC. Odontopediatria, São Paulo: Santos; 2003;649-87. [ Links ]
32. Holan G, Ram D. Sequelae and prognosis of intruded primary incisors: a retrospective study. Pediatr Dent.1999;21(4):242-7. [ Links ]
33. Elleray E, Brizuela M, Pepper T. Trauma to the Primary Dentition. In: StatPearls. Treasure Island (FL): StatPearls Publishing; June 1, 2023. [ Links ]
34. Mérida M, Martínez MG, Medina Díaz AC. Tratamiento conservador para intrusión severa de dientes primarios. Informe de caso. Rev. Odontopediatr. Latinoam. 2022;12(1) [ Links ]
Declaração de Ética:
Os autores declaram que os pais deram consentimento para o uso de imagens e informações dos exames clínicos do caso para serem relatadas em publicações científicas. Os pais entendem que o nome e as iniciais da criança não serão publicados e que serão feitos esforços para ocultar a identidade da criança. Este artigo está em conformidade com os protocolos do Comitê de Ética da Universidade Estadual de Londrina.
Recebido: 05 de Setembro de 2023; Aceito: 16 de Dezembro de 2023; Publicado: 24 de Março de 2024










texto en 
uBio 






