Revista de Odontopediatría Latinoamericana
versión On-line ISSN 2174-0798
Rev Odontoped Latinoam vol.14 Bogotá dic. 2024 Epub 10-Abr-2025
https://doi.org/10.47990/nf9dgw12
Reporte de Casos
Restoration of fractured anterior tooth with monochrome composite resin in pediatric dental patient
1Departamento de Odontologia Restauradora, Universidade Estadual de Londrina (UEL), Londrina, PR, Brasil. E-mail: beatriz.soaresgarcia@uel.br
2 Departamento de Odontologia Restauradora, Universidade Estadual de Londrina (UEL), Londrina, PR, Brasil.
3Departamento de Medicina Oral e Odontologia Infantil, Universidade Estadual de Londrina (UEL), Londrina, PR, Brasil. E-mail: lucas.fernando@uel.br
4Departamento de Odontologia, Universidade Paranaense (UNIPAR), Centro, Umuarama, PR, Brasil. E-mail: jfbesegato@gmail.com
5 Departamento de Odontologia Restauradora, Universidade Estadual de Londrina (UEL), Londrina, PR, Brasil.
Direct restoration with monochromatic composite resin is a treatment option for teeth with coronal fracture after dentoalveolar trauma. This restorative material, in principle, is capable of mimicking the color of the dental substrate. This study aimed to report and discuss the technique of direct restoration with monochromatic composite resin, in a child patient. An 8-year-old male patient attended the Emergency Room of the Baby Clinic of the State University of Londrina for immediate treatment after dentoalveolar trauma that resulted in enamel and dentin fracture, without pulp involvement. As a procedure, restoration was performed with glass ionomer cement and referral to the institution's Dental Residency program. In this service, after case planning, the restoration of the coronal fracture of the substrates was performed with the insertion of multiple increments of the Vittra APS Unique (FGM) composite, with the aid of a silicone guide prepared based on a waxing model to facilitate the reestablishment of the palatal surface form and anatomy. In the clinical follow- up evaluation, the aesthetic and functional results obtained were considered highly satisfactory by patients, relatives and dental clinicians. Thus, it can be concluded that the option for monochromatic composite resin is a viable alternative to make it easier for the dental clinicians to perform the procedure and reduce the clinical time, a relevant fact because it is a case of caring for a pediatric dentistry patient.
Key words: Composite resins; dental restoration; permanent; esthetics; dental; pediatric dentistry; tooth injuries
Restauración directa con resina compuesta monocromática es una opción de tratamiento para dientes con fractura coronal después de un traumatismo dentoalveolar. Este material restaurador, en principio, es capaz de imitar el color del sustrato dental. Este estudio tuvo como objetivo informar y discutir la técnica de restauración directa con resina compuesta monocromática, en un paciente infantil. Paciente masculino de 8 años de edad acudió al servicio de urgencia en odontopediatría de la Bebé Clínica de la Universidad Estatal de Londrina para tratamiento inmediato luego de traumatismo dentoalveolar que resultó en fractura de esmalte y dentina, sin afectación del tejido pulpar. Como procedimiento se realizó restauración con cemento de ionómero vítreo y derivación al programa de Residencia Dental de la institución. En este servicio, luego de la planificación del caso, se realizó la restauración de la fractura coronal de los sustratos con la inserción de múltiples incrementos del composite Vittra APS Unique (FGM), con la ayuda de una guía de silicona preparada en base a un modelo encerado para facilitar el restablecimiento de la forma y anatomía de la superficie palatina. En la evaluación de seguimiento clínico los resultados estéticos y funcionales obtenidos fueron considerados altamente satisfactorios por pacientes, familiares y odontólogos. De ese modo, se puede concluir que la opción por la resina compuesta monocromática es una alternativa viable para facilitar a los odontólogos la realización del procedimiento y reducir el tiempo clínico, hecho relevante porque se trata del cuidado de un paciente de odontopediatría.
Palabras clave: Estética dental; odontología pediátrica; resinas compuestas; restauración dental permanente; traumatismos de los dientes
A restauração direta com resina composta monocromática é uma opção de tratamento para dentes com fratura coronária após traumatismo dentoalveolar. Esse material restaurador, por princípio, é capaz de mimetizar a cor do substrato dentário. Assim, o objetivo desse trabalho é apresentar e discutir a técnica de restauração direta com resina composta monocromática em um paciente infantil. Paciente do sexo masculino, 8 anos, compareceu ao serviço de urgência da Bebê-Clínica da Universidade Estadual de Londrina para tratamento imediato após traumatismo dentoalveolar que resultou em fratura de esmalte e dentina, sem envolvimento pulpar. Como conduta, foi realizado restauração com cimento de ionômero de vidro e encaminhamento ao programa de Residência em Dentística da instituição. Nesse serviço, após planejamento do caso, a restauração da fratura coronária dos substratos foi realizada com a inserção de fotoativação da polimerização de múltiplos incrementos do compósito Vittra APS Unique (FGM), com auxílio de matriz palatina de silicone, confeccionada a partir do enceramento do modelo de estudo. Em fase de proservação clínica, os resultados estético e funcional obtidos foram considerados altamente satisfatórios para os pacientes, familiares e operadores. Assim, pode-se concluir que a opção por resina composta monocromática é uma alternativa viável para facilitar ao operador a realização do procedimento e reduzir o tempo clínico, fato relevante por se tratar do atendimento a um paciente odontopediátrico.
Palavras-chave: Estética dentária; odontopediatria; resinas compostas; restauração dentária permanente; traumatismos dentários
Introduction
Dentoalveolar trauma (DT), situation commonly found in childhood, represents a public health problem with potential compromises to the quality of life of children and families in social and psycho-emotional areas.1,2 In order to reduce these impacts and restore the function and aesthetics of the fractured tooth, autogenous, homogeneous bonding or direct composite resin (CR) restoration represent restorative treatment options.
The choice to perform a direct restoration, due to the polychromatic nature of the teeth, makes the selection of CR shades an important and challenging clinical step. Therefore, the layering technique is widely used as it provides aesthetic results that are more similar to natural teeth. Nonetheless, in Pediatric Dentistry, the patient profile often requires the option of simpler materials and techniques, which consume less clinical time without, however, compromising the quality of the result achieved.3,4
To meet this clinical need, monochromatic composite resin (MCR), indicated for the restoration of anterior and posterior teeth, are sold in a reduced number of shades, have modified optical properties that result in the ability to mimic the color of the restored dental substrate, such as a chameleon effect, and, consequently, in the creation of high aesthetic performance restorations.5,6 However, MCR is considered a new material and requires further laboratory and clinical studies to prove predictability, efficacy and longitudinal performance. Therefore, the aim of the present study is to present and discuss the direct restoration technique for upper central incisors with crown fractures resulting from DT using MCR, as well as longitudinal clinical follow-up of the case.
Case report
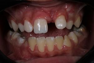
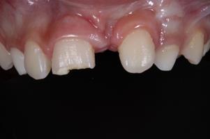
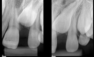
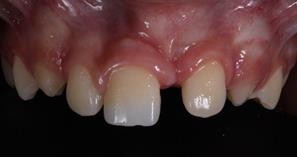
An 8-year-old male patient attended the Emergency Children's Dental Care at the Children's Specialties Clinic-Baby-Clinic of the State University of Londrina, for immediate treatment after a fracture in the right upper central incisor due to a fall during a school sports activity. On intraoral physical examination, a coronal fracture of the enamel and dentin was diagnosed without involvement of the pulp tissue (Figure 1). Response to the vertical and horizontal percussion test was not suggestive of endodontic and periodontal alterations, respectively, and impairment of the periodontal insertion was also ruled out through the mobility test in the buccal-palatal direction.On radiographic examination (Figure 2) confirmed the absence of periodontal and periapical involvement, as well as the absence of root fracture.
The urgent clinical management was, as follows: cleaning the exposed dentin of the fractured tooth with 0.12% chlorhexidine (Perioplak, Reymer, Aparecida de Goiânia- GO, Brazil) and temporary restoration with conventional glass ionomer cement (GIC)
(Maxxion R, FGM, Joinville-SC, Brazil), to protect exposed dentin and control the sensitivity reported by the patient. At the end of the session, the patient was referred to the Dental Residency program at UEL, to perform the definitive restoration.
In the first clinical session, the upper and lower arches were molded with alginate (Jeltrate Dustless, Dentsply, Pirassununga- SP, Brazil), to obtain the study models. For restorative planning, diagnostic waxing of the right upper central incisor was performed using the progressive technique.
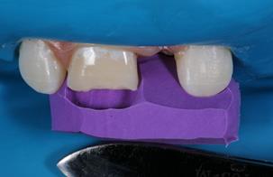
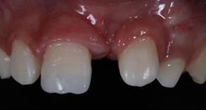
In the following session, direct restoration of the upper right central incisor was performed with MCR (Vittra APS Unique) (FGM Dental Group, Joinville-SC, Brazil). In this occasion, considering the extent of the fracture, a silicone matrix (Perfil, Coltene, Rio de Janeiro-RJ, Brazil) was used to restore the palatal face. The restorative clinical sequence covered: 1) Infiltrative anesthesia, with 2% mepivacaine (adrenaline vasoconstrictor 1:100,000), to remove the GIC, with a #2 Jet carbide drill (Labordental, São Paulo-SP, Brazil), mounted at low speed handpiece; 2) Finishing the enamel in the cavo-surface angle, with diamond tip #1190F (Kavo, Joinville-SC, Brazil); 3) Prophylaxis of the anterior superior teeth with pumice paste and water, with the aid of a Robson brush (Ultra-soft, American Burrs, Palhoça-SC, Brazil); 4) Modified rubber dam isolation; 5) Acid etching of enamel and dentin with 37% phosphoric acid (Biodinâmica, Ibiporã- PR, Brazil), for 30 seconds on enamel and 15 seconds on dentin; 6) Rinsing with a water jet to remove the conditioning agent, for 30 seconds; 7) Drying the operative field with an air jet and the conditioned dentin, with a paper filter (Melitta, São Paulo-SP, Brazil); 8) Application of two layers of the adhesive system (AS) (Adper Single Bond 2, 3M ESPE, Sumaré-SP, Brazil), with the aid of a micro-applicator brush (Cavibrush regular, FGM, Joinville-SC, Brazil), actively, for 15 seconds; 9) Removal of excess AS with the aid of a clean micro-applicator brush and time interval for solvent evaporation; 10) Light cure of the AS with a Radii-Call- SDI device (Southern Dental Industries, São Paulo- SP, Brazil), with an irradiance of 1200 mW/cm2, for 20 seconds; 11) Positioning of the silicone matrix (Figure 3) to restore the palatal face, based on the insertion of the MCR Vittra APS Unique (FGM Dental Group, Joinville-SC, Brazil), and light cure with the LED-based device; 12) Using the incremental technique, with the aid of an insertion spatula and brush, the area corresponding to the dentin was restored with MCR Vittra APS Unique (FGM Dental Group, Joinville-SC, Brazil) with characterization of the volume and anatomy (grooves development) of this substrate (Figure 4). MCR was also inserted over the cavo-surface angle to mask the
transition line between the tooth and the restored area until the entire buccal surface was completed. All CR increments were light-cured for 40 seconds; 13) Immediate finishing of the proximal surface with a #12 scalpel blade (Feather Safety Razor, Osaka, Japan), on the palatal surface with multi-bladed drill #9406 (Microdont, São Paulo-SP, Brazil) and on the buccal surface with sanding discs (Diamond Master, FGM Produtos Odontológicas, Joinville-SC, Brazil) (Figure 5).

Figure 4 Clinical condition after restoration of the area corresponding to dentin and characterization of the development grooves.
After a week, the characterization (texturing) of the buccal surface was carried out using diamond-coated (No. 3195F, KG Sorensen) carbide burs (No. 9714 FG, Microdont), silicon impregnated polishers and brushes (Jiffy polishers, Ultradent Products), and a felt disc (Diamond Flex, FGM Dental Group) in association with an aluminum oxide-based polishing paste (Diamond R, FGM Dental Group). The patient underwent clinical and radiographic follow-up sessions after 1 month, 6 months and 10 months (Figures 6 and 7), when, considering his age and need for multidisciplinary intervention, he was referred to the Integrated Children's Clinic for treatment of the upper left central incisor, which was impacted and had no space for eruption. The orthodontic
treatment plan proposed to the patient was the installation of a posterior fixed expansion device to expand the arch with the aim of gaining space, followed by orthodontic traction of the incisor with overwire through the fixed device.
Discussion
The use of CR with charge particles on a submicrometric, monochromatic scale, capable of mirroring the color of the restored tooth like a chameleon effect, in addition to providing practicality for carrying out restorative treatment in a pediatric dentistry patient, also proved to be an excellent option considering performance, aesthetics throughout the follow-up period.
The clinical case presented confirms the high incidence of DT in permanent teeth of male children. At this stage of motor and cognitive development, children are more active, a fact that, combined with poor lip sealing and accentuated overjet, leaves the upper anterior teeth more vulnerable to traumatic injuries.7,8
The fractured tooth, resulting from DT, could have been restored using the autogenous bonding technique of the tooth fragment. Nonetheless, the conservative treatment option for the coronal remnant, which was low-cost and suitable for maintaining the anatomical, functional and aesthetic characteristics of the tooth, was not carried out as the coronal fragment did not present favorable conditions. It is important to highlight that autogenous bonding has, as unfavorable consequences, the possibility of detachment of the fragment, especially in patients with parafunctional habits of the anterior teeth, and/or the inadequate positioning of the fragment in relation to the coronal remnant, which makes the line of union between fragment and coronary remnant evident.9 Indirect restoration was a discarded treatment option based on the patient's age, quality and quantity of the coronary remnant. The creation of an indirect restoration would require wear of the healthy tooth structure, creation of a temporary restoration and laboratory steps, therefore, cost to those responsible for the patient and greater clinical time for construction.10,11 Based on these considerations, the case was resolved through the creation of a direct restoration with CR.
Direct restoration with CR requires the professional to have skill and knowledge regarding the morphological characteristics of the area to be restored. It is a minimally invasive clinical option, low cost to the patient and capable of being performed in a short period of time. Although it can be performed by free-hand technique, in the reported clinical case, a silicone matrix was used to assist in the creation of the palatal face, obtained from the waxed plaster model. The silicone matrix helped control the CR volume necessary for the restoration of the palatal face and incisal edge, as well as establishing extremely relevant anatomical parameters and predictability in the results achieved. Therefore, in the case of pediatric dentistry patients, it is important to highlight that the silicone matrix reduced the clinical time needed to carry out the restoration, finishing and polishing of the palatal face.4,12 The entire restorative procedure was performed under modified absolute isolation of the operative field, as a convenience for maintaining the operative field dry during insertion, photoactivation of polymerization and initial finishing of the CR.
Considering the patient's age, the selection of CR, with different degrees of opacity and translucency, would be an important and challenging clinical step. Therefore, a MCR capable of mimicking the color of the restored dental substrate was selected as a chameleon effect. Thus, the composite made the procedure easier for the operator and optimized clinical time. In the private service, the option for a MCR may impact the cost of treatment.
MCR achieves mimicry thanks to its chromatic mirroring characteristics, in which, due to the presence of more transparent photo-initiators and a low concentration of camphorquinone, they allow for easier color transmission. To understand the process, it is important to consider that color is typically classified as a chemical or structural phenomenon. The chemical mechanism is based on pigments that selectively absorb some wavelengths of light, while reflecting others, this being the process commonly found in photopolymerizable CR.13,14
Structural color is not related to pigments. It is a physical phenomenon due to the superficial optical action of diffraction of nanometric structures,15 in which colors are produced by submicrometer structures that reflect light at one wavelength.13
MCR Vittra APS Unique (FGM Dental Group, Joinville-SC, Brazil) is a nanohybrid composite with spherical charges and has the property of transmitting light without diffusion. The phenomenon of structural color occurs due to the shape and size of the particles, which are precisely uniform, improving the color adjustment to the surrounding dental substrates in the range from yellow to red by the effect of amorphous aggregates. Development in the yellow to red range can contribute to improving restoration color matching in a complex way, where color adaptation is influenced by cavity size and depth.13,14
In a clinical case of tooth fracture, the manufacturer of the MCR recommends the insertion of a body CR to restore the palatal face, prior to the insertion of the MCR increments, to support the color. However, in the reported case, considering the CR volume, in bucco-palatal thickness, it was decided to insert only the MCR to restore saturation, opacity and color perception. After 10 months of follow-up, considering the criteria: color, adaptation and marginal pigmentation, polishing and surface texture, fracture, secondary caries and sensitivity,16 the treatment performed demonstrates satisfactory aesthetic, biological and functional results.
Conclusion
The selection of MCR demonstrated satisfactory clinical results for the anatomical and aesthetic restoration of the fractured anterior tooth after DT. The use of MCR, replacing the stratified restorative technique, with the insertion of CR with different degrees of opacity and translucency, made it easier for the operator to perform the procedure and reduced clinical time, which makes it an option of choice in patient care pediatric dentists.
REFERENCES
1. Antunes LAA, Lemos HM, Milani AJ, Guimarães LS, Küchler EC, Antunes LS. Does traumatic dental injury impact oral health-related to quality of life of children and adolescents? Systematic review and meta- analysis. Int J Dent Hyg. 2020 May;18(2):142-162. doi: 10.1111/idh.12425. Epub 2020 Jan 7. PMID: 31828930. [ Links ]
2. Silva RLC, Dias Ribeiro AP, Almeida JCF, Sousa SJL, Garcia FCP. Impact of dental treatment and the severity of traumatic dental injuries on the quality of life of Brazilian schoolchildren. Dent Traumatol. 2021;37(4):562-567. doi:10.1111/edt.12660. [ Links ]
3. Gaintantzopoulou MD, Gopinath VK, Zinelis S. Evaluation of cavity wall adaptation of bulk esthetic materials to restore class II cavities in primary molars. Clin Oral Investig. 2017 May;21(4):1063-1070. doi: 10.1007/s00784-016-1848-6. Epub 2016 May 10. PMID: 27165307. [ Links ]
4. Mishra A, Yeluri R, Garg N, Rallan M. Putty silicone as a guide in the restorative management of primary double tooth: a case report. Ann Dent Spec. 2015;3(1):21-3. [ Links ]
5. Lowe RA. OMNICHROMA: One Composite That Covers All Shades for an Anterior Tooth. Compend Contin Educ Dent. 2019 Jul/Aug;40(suppl 1):8-10. PMID: 31478684. [ Links ]
6. Oivanen M, Keulemans F, Garoushi S, Vallittu PK, Lassila L. The effect of refractive index of fillers and polymer matrix on translucency and color matching of dental resin composite. Biomater Investig Dent. 2021 Apr 1;8(1):48-53. doi: 10.1080/26415275.2021.1906879. PMID: 33855302; PMCID: PMC8018547. [ Links ]
7. Magno MB, Nadelman P, Leite KLF, Ferreira DM, Pithon MM, Maia LC. Associations and risk factors for dental trauma: A systematic review of systematic reviews. Community Dent Oral Epidemiol. 2020 Dec;48(6):447-463. doi: 10.1111/cdoe.12574. Epub 2020 Sep 6. PMID: 32893395. [ Links ]
8. Patnana AK, Chugh A, Chugh VK, Kumar P, Vanga NRV, Singh S. The prevalence of traumatic dental injuries in primary teeth: A systematic review and meta-analysis. Dent Traumatol. 2021;37(3):383-399. doi:10.1111/edt.12640. [ Links ]
9. Lise DP, Vieira LC, Araújo É, Lopes GC. Tooth fragment reattachment: the natural restoration. Oper Dent. 2012 Nov-Dec;37(6):584-90. doi: 10.2341/12-063-T. Epub 2012 Jul 7. PMID: 22770482. [ Links ]
10. Jurado C, Watanabe H, Tinoco JV, Valenzuela HU, Perez GG, Tsujimoto A. A Conservative Approach to Ceramic Veneers: A Case Report. Oper Dent. 2020 May/Jun;45(3):229-234. doi: 10.2341/19-051-T. Epub 2019 Dec 20. PMID: 31860390. [ Links ]
11. Azeem RA, Sureshbabu NM. Clinical performance of direct versus indirect composite restorations in posterior teeth: A systematic review. J Conserv Dent. 2018 Jan-Feb;21(1):2-9. doi: 10.4103/JCD. JCD_213_16. PMID: 29628639; PMCID: PMC5852929. [ Links ]
12. Felippe LA, Monteiro S Jr, De Andrada CA, Ritter AV. Clinical strategies for success in proximoincisal composite restorations. Part II: Composite application technique. J Esthet Restor Dent. 2005;17(1):11-21. doi: 10.1111/j.1708-8240.2005.tb00077.x. PMID: 15934681. [ Links ]
13. Kobayashi S, Nakajima M, Furusawa K, Tichy A, Hosaka K, Tagami J. Color adjustment potential of single- shade resin composite to various-shade human teeth: Effect of structural color phenomenon. Dent Mater J. 2021 Jul 31;40(4):1033-1040. doi: 10.4012/dmj.2020-364. Epub 2021 Apr 20. PMID: 33883353. [ Links ]
14. Yamashita A, Kobayashi S, Furusawa K, Tichy A, Oguro R, Hosaka K, Shimada Y, Nakajima M. Does the thickness of universal-shade composites affect the ability to reflect the color of background dentin? Dent Mater J. 2023 Mar 30;42(2):255-265. doi: 10.4012/dmj.2022-197. Epub 2023 Jan 7. PMID: 36624077. [ Links ]
15. Dumanli AG, Savin T. Recent advances in the biomimicry of structural colours. Chem Soc Rev. 2016 Dec 21;45(24):6698-6724. doi: 10.1039/c6cs00129g. Epub 2016 Aug 11. PMID: 27510041. [ Links ]
16. Cvar JF, Ryge G. Reprint of criteria for the clinical evaluation of dental restorative materials. 1971. Clin Oral Investig. 2005 Dec;9(4):215-32. doi: 10.1007/s00784-005-0018-z. PMID: 16315023. [ Links ]
Ethics Statement
The authors declare that the parents gave consent for images and clinical information of the case to be reported in scientific publications. Parents understand that the child's name and initials will not be published and efforts will be made to conceal the child's identity. This article complies with the protocols of the Research Ethics Committee of the State of University of Londrina
Received: January 24, 2024; Accepted: June 10, 2024; Published: August 03, 2024










texto en 
uBio 








