Revista de Odontopediatría Latinoamericana
versión On-line ISSN 2174-0798
Rev Odontoped Latinoam vol.14 Bogotá dic. 2024 Epub 10-Abr-2025
https://doi.org/10.47990/nf9dgw12
Reporte de Casos
Restauração de dente anterior fraturado com resina composta monocromática em paciente odontopediátrico
1Departamento de Odontologia Restauradora, Universidade Estadual de Londrina (UEL), Londrina, PR, Brasil. E-mail: beatriz.soaresgarcia@uel.br
2 Departamento de Odontologia Restauradora, Universidade Estadual de Londrina (UEL), Londrina, PR, Brasil.
3Departamento de Medicina Oral e Odontologia Infantil, Universidade Estadual de Londrina (UEL), Londrina, PR, Brasil. E-mail: lucas.fernando@uel.br
4Departamento de Odontologia, Universidade Paranaense (UNIPAR), Centro, Umuarama, PR, Brasil. E-mail: jfbesegato@gmail.com
5 Departamento de Odontologia Restauradora, Universidade Estadual de Londrina (UEL), Londrina, PR, Brasil.
A restauração direta com resina composta monocromática é uma opção de tratamento para dentes com fratura coronária após traumatismo dentoalveolar. Esse material restaurador, por princípio, é capaz de mimetizar a cor do substrato dentário. Assim, o objetivo desse trabalho é apresentar e discutir a técnica de restauração direta com resina composta monocromática em um paciente infantil. Paciente do sexo masculino, 8 anos, compareceu ao serviço de urgência da Bebê-Clínica da Universidade Estadual de Londrina para tratamento imediato após traumatismo dentoalveolar que resultou em fratura de esmalte e dentina, sem envolvimento pulpar. Como conduta, foi realizado restauração com cimento de ionômero de vidro e encaminhamento ao programa de Residência em Dentística da instituição. Nesse serviço, após planejamento do caso, a restauração da fratura coronária dos substratos foi realizada com a inserção de fotoativação da polimerização de múltiplos incrementos do compósito Vittra APS Unique (FGM), com auxílio de matriz palatina de silicone, confeccionada a partir do enceramento do modelo de estudo. Em fase de proservação clínica, os resultados estético e funcional obtidos foram considerados altamente satisfatórios para os pacientes, familiares e operadores. Assim, pode-se concluir que a opção por resina composta monocromática é uma alternativa viável para facilitar ao operador a realização do procedimento e reduzir o tempo clínico, fato relevante por se tratar do atendimento a um paciente odontopediátrico.
Palavras-chave: Estética dentária; odontopediatria; resinas compostas; restauração dentária permanente; traumatismos dentários
Restauración directa con resina compuesta monocromática es una opción de tratamiento para dientes con fractura coronal después de un traumatismo dentoalveolar. Este material restaurador, en principio, es capaz de imitar el color del sustrato dental. Este estudio tuvo como objetivo informar y discutir la técnica de restauración directa con resina compuesta monocromática, en un paciente infantil. Paciente masculino de 8 años de edad acudió al servicio de urgencia en odontopediatría de la Bebé Clínica de la Universidad Estatal de Londrina para tratamiento inmediato luego de traumatismo dentoalveolar que resultó en fractura de esmalte y dentina, sin afectación del tejido pulpar. Como procedimiento se realizó restauración con cemento de ionómero vítreo y derivación al programa de Residencia Dental de la institución. En este servicio, luego de la planificación del caso, se realizó la restauración de la fractura coronal de los sustratos con la inserción de múltiples incrementos del composite Vittra APS Unique (FGM), con la ayuda de una guía de silicona preparada en base a un modelo encerado para facilitar el restablecimiento de la forma y anatomía de la superficie palatina. En la evaluación de seguimiento clínico los resultados estéticos y funcionales obtenidos fueron considerados altamente satisfactorios por pacientes, familiares y odontólogos. De ese modo, se puede concluir que la opción por la resina compuesta monocromática es una alternativa viable para facilitar a los odontólogos la realización del procedimiento y reducir el tiempo clínico, hecho relevante porque se trata del cuidado de un paciente de odontopediatría.
Palabras clave: Estética dental; odontología pediátrica; resinas compuestas; restauración dental permanente; traumatismos de los dientes
Direct restoration with monochromatic composite resin is a treatment option for teeth with coronal fracture after dentoalveolar trauma. This restorative material, in principle, is capable of mimicking the color of the dental substrate. This study aimed to report and discuss the technique of direct restoration with monochromatic composite resin, in a child patient. An 8-year-old male patient attended the Emergency Room of the Baby Clinic of the State University of Londrina for immediate treatment after dentoalveolar trauma that resulted in enamel and dentin fracture, without pulp involvement. As a procedure, restoration was performed with glass ionomer cement and referral to the institution's Dental Residency program. In this service, after case planning, the restoration of the coronal fracture of the substrates was performed with the insertion of multiple increments of the Vittra APS Unique (FGM) composite, with the aid of a silicone guide prepared based on a waxing model to facilitate the reestablishment of the palatal surface form and anatomy. In the clinical follow- up evaluation, the aesthetic and functional results obtained were considered highly satisfactory by patients, relatives and dental clinicians. Thus, it can be concluded that the option for monochromatic composite resin is a viable alternative to make it easier for the dental clinicians to perform the procedure and reduce the clinical time, a relevant fact because it is a case of caring for a pediatric dentistry patient.
Key words: Composite resins; dental restoration; permanent; esthetics; dental; pediatric dentistry; tooth injuries
Introdução
O traumatismo dento-alveolar (TDA), situação comumente encontrada na infância, representa um problema de saúde pública com potenciais comprometimentos à qualidade de vida das crianças e familiares em âmbitos sociais e psicoemocionais.1,2 Com o objetivo de reduzir estes impactos e restabelecer função e estética do dente fraturado, pode-se optar pela colagem autógena, homógena ou restauração direta em resina composta (RC).
Quando da opção pela confecção de restauração direta, em consequência da natureza policromática dos dentes, a seleção das cores das RC é uma etapa clínica importante e desafiadora. Por isso, a técnica de estratificação é amplamente empregada já que propicia resultados estéticos mais semelhantes aos dentes naturais. Entretanto, em Odontopediatria, o perfil dos pacientes muitas vezes exige a opção por materiais e técnicas mais simples, que consomem menor tempo clínico sem, contudo, comprometer a qualidade do resultado alcançado.3,4
Ao encontro dessa necessidade clínica, as resinas compostas monocromáticas (RCMC), indicadas para a restauração de dentes anteriores e posteriores, são comercializadas com número reduzido de tons, apresentam propriedades ópticas modificadas que resultam na capacidade de mimetizar a cor do substrato dentário restaurado, como um efeito camaleão, e, consequentemente, na confecção de restaurações de alta performance estética.5,6 Contudo, por se tratar de um material recente, há necessidade de mais estudos laboratoriais e clínicos que comprovem a previsibilidade, eficácia e o desempenho longitudinal. Dessa forma, o objetivo do presente trabalho é apresentar e discutir a técnica de restauração direta em incisivo central superior com fratura coronária em decorrência de TDA com a utilização de RCMC, assim como, a proservação do caso.
Relato de caso
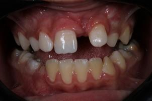
Paciente do sexo masculino, 8 anos de idade, compareceu ao Pronto Atendimento Odontológico Infantil da Clínica de Especialidades Infantis-Bebê-Clínica da Universidade Estadual de Londrina, para tratamento imediato após fratura no incisivo central superior direito devido a queda durante atividade esportiva escolar. Ao exame físico intrabucal, foi diagnosticada fratura coronária do esmalte e da dentina sem comprometimento do tecido pulpar (Figura 1). A resposta ao teste de percussão vertical e horizontal não foi sugestiva de alterações endodôntica e periodontal, respectivamente, e o comprometimento da inserção periodontal também foi descartado por meio do teste de mobilidade no sentido vestíbulo palatino. O exame radiográfico (Figura 2) ratificou o não comprometimento periodontal e periapical, bem como, a não fratura radicular.
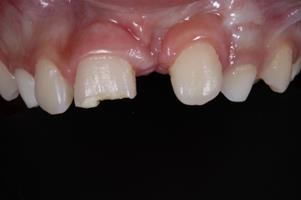
A conduta clínica urgencial foi, na sequência: limpeza da dentina exposta do dente fraturado com clorexidina 0,12% (Perioplak, Reymer, Aparecida de Goiânia- GO, Brasil) e restauração temporária
com cimento de ionômero de vidro (CIV) convencional (Maxxion R, FGM, Joinville- SC, Brasil), para proteção da dentina exposta e controle da sensibilidade relatada pelo paciente. Ao término da sessão, o paciente foi encaminhado ao programa de Residência em Odontologia em Dentística da UEL, para realização da restauração definitiva.
Na primeira sessão clínica, foi realizada moldagem da arcada superior e inferior com alginato (Jeltrate Dustless, Dentsply, Pirassununga-SP, Brasil), para obtenção dos modelos de estudo. Para o planejamento restaurador, foi realizado enceramento diagnóstico do incisivo central superior direito pela técnica progressiva.
Na sessão seguinte, foi realizada restauração direta do incisivo central superior direito com RCMC Vittra APS Unique (FGM Dental Group, Joinville-SC, Brasil). Na oportunidade, considerando a extensão da fratura, para a restauração da face palatina foi utilizada matriz de silicone (Perfil, Coltene, Rio de Janeiro-RJ, Brasil). A sequência clínica restauradora abrangeu: 1) Anestesia infiltrativa, com mepivacaína 2% (vasoconstritor adrenalina 1:100.000), para remoção do CIV, com broca esférica #2 Jet carbide (Labordental, São Paulo- SP, Brasil), montada em baixa rotação; 2) Acabamento do esmalte no ângulo cavo superficial, com ponta diamantada #1190F (Kavo, Joinville-SC, Brasil); 3) Profilaxia dos dentes anterossuperiores com pasta de pedra-pomes e água, com auxílio de escova de Robson (Ultra-soft, American Burrs, Palhoça-SC, Brasil), montada em baixa rotação; 4) Isolamento absoluto modificado; 5) Condicionamento ácido do esmalte e da dentina com ácido fosfórico 37% (Biodinâmica, Ibiporã-PR, Brasil), durante 30 segundos em esmalte e 15 segundos em dentina; 6) Lavagem com jato de água para remoção do agente condicionador, durante 30 segundos; 7) Secagem do campo operatório com jato de ar e da dentina condicionada, com filtro de papel (Melitta, São Paulo-SP, Brasil); 8) Aplicação de duas camadas do sistema adesivo (SA) (Adper Single Bond 2, 3M ESPE, Sumaré-SP, Brasil), com auxílio de pincel microaplicador (Cavibrush regular, FGM, Joinville-SC, Brasil), de forma ativa, por 15 segundos; 9) Remoção do excesso de SA com auxílio de pincel microaplicador limpo e intervalo de tempo para evaporação do solvente; 10) Fotoativação do SA com aparelho Radii-Call-SDI (Southern Dental Industries, São Paulo- SP, Brasil), com potência de 1200 mw/cm2, por 20 segundos; 11) Posicionamento da matriz de silicone (Figura 3) para restauração da face palatina, a partir da inserção da RC Vittra APS Unique (FGM Dental Group, Joinville-SC, Brasil), e fotoativação com o aparelho à base de LED; 12) Por meio da técnica incremental, com auxílio de
espátula de inserção e pincel, foi realizada a restauração da área correspondente à dentina com RC Vittra APS Unique (FGM Dental Group, Joinville-SC, Brasil) com caracterização do volume e anatomia (sulcos de desenvolvimento) desse substrato (Figura 4). A RC também foi inserida sobre o ângulo cavo superficial para mascarar a linha de transição entre dente e área restaurada até completar toda face vestibular. Todos os incrementos de RC foram fotopolimerizados por 40 segundos; e 13) Acabamento imediato da

Figura 4 Condição clínica após restauração da área correspondente à dentina e caracterização dos sulcos de desenvolvimento.
face proximal com lâmina de bisturi nº 12 (Feather Safety Razor, Osaka, Japão), da face palatina com broca multilaminada #9406 (Microdont, São Paulo-SP, Brasil) e da face vestibular com discos de lixa (Diamond Master, FGM Produtos Odontológicos, Joinville-SC, Brasil) (Figura 5).
Após uma semana, foi realizada a caracterização (texturização) da face vestibular com ponta diamantada #3195F (Fava, Parque Paulista Franco da Rocha- SP, Brasil) e polimento final, com borracha abrasiva em formato de taça, impregnada com sílica (Jiffy®, Ultradent, Indaiatuba- SP, Brasil) e disco de feltro Diamond Flex (FGM, Joinville-SC, Brasil) em associação à pasta de polimento à base de óxido de alumínio Diamond R (FGM, Joinville-SC, Brasil). O paciente foi submetido a sessões de acompanhamento clínico e radiográfico após 1 mês, 6 meses e 10 meses (Figuras 6 e 7), quando, considerando idade e necessidade de intervenção multidisciplinar, foi encaminhado para atendimento na Clínica Integrada Infantil para tratamento do incisivo central superior esquerdo, incluso e sem espaço para erupção. O plano de tratamento ortodôntico proposto ao paciente foi a instalação de um aparelho disjuntor
fixo posterior, para expansão da arcada objetivando ganho de espaço, seguido do tracionamento ortodôntico do incisivo com sobrefio através do aparelho fixo.
Discussão
A utilização de RC com partículas de carga na escala submicrométrica, monocromática, capaz de espelhar a cor do dente restaurado como um efeito camaleão, além de propiciar praticidade à realização do tratamento restaurador, em um paciente odontopediátrico, também mostrou ser excelente opção considerando a performance estética durante todo o período de acompanhamento.
O caso clínico apresentado ratifica a alta incidência de TDA em dentes permanentes de crianças do sexo masculino. Nessa fase de desenvolvimento motor e cognitivo, as crianças são mais ativas, fato que, somado ao selamento labial deficiente e overjet acentuado, deixam os dentes ântero superiores mais vulneráveis as injúrias traumáticas.7,8
O dente fraturado, decorrente do TDA, poderia ter sido restaurado por meio da técnica de colagem autógena do fragmento dentário. Entretanto, a opção de tratamento conservadora ao remanescente coronário, de baixo custo e adequada à manutenção das características anatômicas, funcionais e estéticas do dente, não foi realizada pois o fragmento coronário não apresentava condições favoráveis. Importante ressaltar que a colagem autógena tem, como consequências desfavoráveis, a possibilidade da descolagem do fragmento, principalmente em pacientes com hábitos parafuncionais dos dentes anteriores, e/ou o posicionamento inadequado do fragmento em relação ao remanescente coronário, o que deixa evidente a linha de união entre fragmento e remanescente coronário.9 A restauração indireta foi opção de tratamento descartada com base na idade do paciente, qualidade e quantidade do remanescente coronário. A confecção de restauração indireta exigiria desgaste da estrutura dentária sadia, confecção de restauração temporária e etapas laboratoriais, portanto, custo aos responsáveis pelo paciente e maior tempo clínico para confecção.10,11 Com base nessas considerações, a resolução do caso se fez por meio da confecção de restauração direta com RC.
A restauração direta com RC exige do profissional habilidade e conhecimento quanto às características morfológicas da área a ser restaurada. Trata de uma opção clínica minimamente invasiva, de baixo custo ao paciente e passível de ser realizada num curto intervalo de tempo. Embora passível de ser realizada à mão livre, no caso clínico relatado foi utilizada matriz de silicone para auxiliar na confecção da face palatina, obtida a partir do modelo de gesso encerado. A matriz de silicone auxiliou no controle do volume de RC necessário para a restauração da face palatina e do bordo incisal, bem como, estabeleceu parâmetros anatômicos de extrema relevância e previsibilidade no resultado alcançado. Portanto, em se tratando de paciente odontopediátrico, importante ressaltar que a matriz de silicone reduziu o tempo clínico necessário para a realização da restauração, do acabamento e polimento da face palatina.4,12 Todo o procedimento restaurador foi realizado sob isolamento absoluto modificado do campo operatório, como conveniência para manutenção do campo operatório seco durante a inserção, fotoativação da polimerização e acabamento inicial da RC.
Por se tratar de um paciente jovem, a seleção da RC, com diferentes graus de opacidade e translucidez, seria uma etapa clínica importante e desafiadora. Por isso, foi selecionada uma RCMC capaz de mimetizar a cor do substrato dental restaurado como um efeito camaleão. Assim, o compósito facilitou o procedimento ao operador e otimizou o tempo clínico. No serviço privado, a opção por uma RCMC pode impactar no custo do tratamento.
A RCMC alcança o mimetismo graças às características de espelhamento cromático, onde, pela presença de fotoiniciadores mais transparentes e baixa concentração de canforoquinona, permitem uma transmissão facilitada da cor. Para entendimento do processo, é importante considerar que a cor é tipicamente classificada como um fenômeno químico ou estrutural. O mecanismo químico é baseado nos pigmentos que absorvem seletivamente alguns comprimentos de ondas de luz, ao mesmo tempo que refletem outros, sendo este o processo comumente encontrado nas RC fotopolimerizáveis.13,14 A cor estrutural não está relacionada a pigmentos. Trata-se de um fenômeno físico devido à ação ótica superficial de difração das estruturas de ordem nanométrica,15 onde as cores são produzidas por estruturas submicrométricas que refletem luz a um comprimento de onda.13
A RCMC Vittra APS Unique (FGM Dental Group, Joinville-SC, Brasil) é um composto nanohíbrido de cargas esféricas e tem propriedade de transmissão de luz sem difusão. O fenômeno da cor estrutural ocorre devido à forma e tamanho das partículas, as quais são precisamente uniformes, melhorando o ajuste de cor para os substratos dentais circundantes na gama do amarelo ao vermelho pelo efeito dos agregados amorfos. O desenvolvimento no intervalo de amarelo a vermelho pode contribuir para a melhoria da correspondência de cores da restauração de uma forma complexa, onde a adaptação da cor é influenciada pelo tamanho e profundidade da cavidade.13,14
Em caso clínico de fratura dentária, o fabricante da RCMC utilizada, recomenda a inserção de RC de corpo para a restauração da face palatina, previamente a inserção dos incrementos da RCMC, para suporte da cor. Porém, no caso relatado, considerando o volume de RC, em espessura vestíbulo- palatina, optou-se pela inserção somente da RCMC para restauração da saturação, opacidade e percepção da cor. Após 10 meses de proservação, considerando os critérios: cor, adaptação e pigmentação marginal, polimento e textura superficial, fratura, cárie secundária e sensibilidade,16 o tratamento realizado demonstra resultado estético, biológico e funcional satisfatório.
Conclusão
A seleção de RCMC demonstrou resultados clínicos satisfatórios para a restauração anatômica e estética do dente anterior fraturado após TDA. A utilização da RCMC, em substituição a técnica restauradora estratificada, com a inserção de RC com diferentes graus de opacidade e translucidez, facilitou ao operador a realização do procedimento e reduziu o tempo clínico, o que a torna uma opção de escolha no atendimento de pacientes odontopediátricos.
REFERÊNCIAS
1. Antunes LAA, Lemos HM, Milani AJ, Guimarães LS, Küchler EC, Antunes LS. Does traumatic dental injury impact oral health-related to quality of life of children and adolescents? Systematic review and meta- analysis. Int J Dent Hyg. 2020 May;18(2):142-162. doi: 10.1111/idh.12425. Epub 2020 Jan 7. PMID: 31828930. [ Links ]
2. Silva RLC, Dias Ribeiro AP, Almeida JCF, Sousa SJL, Garcia FCP. Impact of dental treatment and the severity of traumatic dental injuries on the quality of life of Brazilian schoolchildren. Dent Traumatol. 2021;37(4):562-567. doi:10.1111/edt.12660. [ Links ]
3. Gaintantzopoulou MD, Gopinath VK, Zinelis S. Evaluation of cavity wall adaptation of bulk esthetic materials to restore class II cavities in primary molars. Clin Oral Investig. 2017 May;21(4):1063-1070. doi: 10.1007/s00784-016-1848-6. Epub 2016 May 10. PMID: 27165307. [ Links ]
4. Mishra A, Yeluri R, Garg N, Rallan M. Putty silicone as a guide in the restorative management of primary double tooth: a case report. Ann Dent Spec. 2015;3(1):21-3. [ Links ]
5. Lowe RA. OMNICHROMA: One Composite That Covers All Shades for an Anterior Tooth. Compend Contin Educ Dent. 2019 Jul/Aug;40(suppl 1):8-10. PMID: 31478684. [ Links ]
6. Oivanen M, Keulemans F, Garoushi S, Vallittu PK, Lassila L. The effect of refractive index of fillers and polymer matrix on translucency and color matching of dental resin composite. Biomater Investig Dent. 2021 Apr 1;8(1):48-53. doi: 10.1080/26415275.2021.1906879. PMID: 33855302; PMCID: PMC8018547. [ Links ]
7. Magno MB, Nadelman P, Leite KLF, Ferreira DM, Pithon MM, Maia LC. Associations and risk factors for dental trauma: A systematic review of systematic reviews. Community Dent Oral Epidemiol. 2020 Dec;48(6):447-463. doi: 10.1111/cdoe.12574. Epub 2020 Sep 6. PMID: 32893395. [ Links ]
8. Patnana AK, Chugh A, Chugh VK, Kumar P, Vanga NRV, Singh S. The prevalence of traumatic dental injuries in primary teeth: A systematic review and meta-analysis. Dent Traumatol. 2021;37(3):383-399. doi:10.1111/edt.12640. [ Links ]
9. Lise DP, Vieira LC, Araújo É, Lopes GC. Tooth fragment reattachment: the natural restoration. Oper Dent. 2012 Nov-Dec;37(6):584-90. doi: 10.2341/12-063-T. Epub 2012 Jul 7. PMID: 22770482. [ Links ]
10. Jurado C, Watanabe H, Tinoco JV, Valenzuela HU, Perez GG, Tsujimoto A. A Conservative Approach to Ceramic Veneers: A Case Report. Oper Dent. 2020 May/Jun;45(3):229-234. doi: 10.2341/19-051-T. Epub 2019 Dec 20. PMID: 31860390. [ Links ]
11. Azeem RA, Sureshbabu NM. Clinical performance of direct versus indirect composite restorations in posterior teeth: A systematic review. J Conserv Dent. 2018 Jan-Feb;21(1):2-9. doi: 10.4103/JCD. JCD_213_16. PMID: 29628639; PMCID: PMC5852929. [ Links ]
12. Felippe LA, Monteiro S Jr, De Andrada CA, Ritter AV. Clinical strategies for success in proximoincisal composite restorations. Part II: Composite application technique. J Esthet Restor Dent. 2005;17(1):11-21. doi: 10.1111/j.1708-8240.2005.tb00077.x. PMID: 15934681. [ Links ]
13. Kobayashi S, Nakajima M, Furusawa K, Tichy A, Hosaka K, Tagami J. Color adjustment potential of single- shade resin composite to various-shade human teeth: Effect of structural color phenomenon. Dent Mater J. 2021 Jul 31;40(4):1033-1040. doi: 10.4012/dmj.2020-364. Epub 2021 Apr 20. PMID: 33883353. [ Links ]
14. Yamashita A, Kobayashi S, Furusawa K, Tichy A, Oguro R, Hosaka K, Shimada Y, Nakajima M. Does the thickness of universal-shade composites affect the ability to reflect the color of background dentin? Dent Mater J. 2023 Mar 30;42(2):255-265. doi: 10.4012/dmj.2022-197. Epub 2023 Jan 7. PMID: 36624077. [ Links ]
15. Dumanli AG, Savin T. Recent advances in the biomimicry of structural colours. Chem Soc Rev. 2016 Dec 21;45(24):6698-6724. doi: 10.1039/c6cs00129g. Epub 2016 Aug 11. PMID: 27510041. [ Links ]
16. Cvar JF, Ryge G. Reprint of criteria for the clinical evaluation of dental restorative materials. 1971. Clin Oral Investig. 2005 Dec;9(4):215-32. doi: 10.1007/s00784-005-0018-z. PMID: 16315023. [ Links ]
Declaração ética
Os autores declaram que os pais deram seu consentimento para que as imagens e informações clínicas do caso fossem relatadas em publicações científicas. Os pais entendem que o nome e as iniciais da criança não serão divulgados e que serão feitos esforços para ocultar a identidade da criança. Este artigo obedece aos protocolos do Comitê Estadual de Ética em Pesquisa da Universidade de Londrina.
Recebido: 24 de Janeiro de 2024; Aceito: 10 de Junho de 2024; Publicado: 03 de Agosto de 2024










texto en 
uBio 








