Revista de Odontopediatría Latinoamericana
versión On-line ISSN 2174-0798
Rev Odontoped Latinoam vol.14 Bogotá dic. 2024 Epub 10-Abr-2025
https://doi.org/10.47990/j6r6df02
Relato de Casos
Reabilitação oral utilizando coroas impressas em 3D para amelogênese imperfeita: relato de caso
1Departamento de Ortodontia e Odontopediatria, Faculdade de Odontologia, Universidade de São Paulo, Brasil.
2Clínica Integrada, Departamento de Estomatologia, Faculdade de Odontologia, Universidade de São Paulo, Brasil.
3Departamento de Ortodontia e Odontopediatria, Faculdade de Odontologia, Universidade de São Paulo, Brasil.
4Departamento de Odontologia, Universidade Federal de Sergipe, Lagarto, Brasil.
5Clínica Integrada, Departamento de Estomatologia, Faculdade de Odontologia, Universidade de São Paulo, Brasil.
6Departamento de Ortodontia e Odontopediatria, Faculdade de Odontologia, Universidade de São Paulo, Brasil.
7Professor, Departamento de Ortodontia e Odontopediatria, Faculdade de Odontologia, Universidade de São Paulo, Brasil.
8Professor, Clínica Integrada, Departamento de Estomatologia, Faculdade de Odontologia, Universidade de São Paulo, Brasil.
Resumo: A amelogênese imperfeita (AI) é uma condição que afeta gravemente o esmalte dentário. Na maioria dos casos, a estética e a função são comprometidas, enquanto as soluções são escassas e têm alto custo. O objetivo deste relato de caso é descrever um caso de reabilitação de um adolescente do sexo masculino de 13 anos com AI. Foi planejada uma reabilitação oral minimamente invasiva utilizando fluxo digital de trabalho para planejamento, impressão 3D de coroas e o uso de S-PRG fillers como solução estética e funcional, com menor custo, diante do caso de AI apresentado. Relato de caso: paciente do sexo masculino com 13 anos de idade e queixa de dor, sensibilidade e estética. O paciente foi diagnosticado com Amelogênese Imperfeita Hipomaturada-Hipoplásica Tipo IV (AIHHT - OMIM: 104510). O tratamento foi dividido em 3 fases: fase preventiva e de manejo da sensibilidade, reabilitação oral seguindo princípios minimamente invasivos - CAD-CAM e por fim tratamento ortodôntico. É possível concluir que o fluxo digital e a impressão 3D têm muitos benefícios para a odontologia, como previsibilidade do tratamento, menor desperdício de material, custo e tempo de trabalho. Também pode-se concluir que a odontologia digital permite a reabilitação oral seguindo os princípios de mínima intervenção e que foi um tratamento bem-sucedido com melhorias na estética, função e qualidade de vida do paciente.
Palavras-chave: Reabilitação Bucal; Tecnologia Digital; Impressão; 3D; Amelogênese Imperfeita; S-PRG Fillers
Resumen: La amelogénesis imperfecta (AI) es una condición que afecta gravemente el esmalte dental. En la mayoría de los casos, la estética y la función están comprometidas, mientras que las soluciones son escasas y de alto costo. El objetivo de este reporte de caso es describir un caso de rehabilitación de un adolescente masculino de 13 años con AI. Se planificó una rehabilitación oral mínimamente invasiva utilizando flujo digital de trabajo para planificación, impresión 3D de coronas y el uso de S-PRG fillers como solución estética y funcional, con menor costo, frente al caso de AI presentado. Reporte de caso: paciente masculino de 13 años de edad con quejas de dolor, sensibilidad y estética. El paciente fue diagnosticado con Amelogénesis Imperfecta Hipomadurada-Hipoplásica Tipo IV (AIHHT - OMIM: 104510). El tratamiento se dividió en 3 fases: fase preventiva y de manejo de la sensibilidad, rehabilitación oral siguiendo principios mínimamente invasivos - CAD-CAM y finalmente tratamiento ortodóntico. Es posible concluir que el flujo digital y la impresión 3D tienen muchos beneficios para la odontología, como previsibilidad del tratamiento, menor desperdicio de material, costo y tiempo de trabajo. También se puede concluir que la odontología digital permite la rehabilitación oral siguiendo los principios de mínima intervención y que fue un tratamiento exitoso con mejoras en la estética, función y calidad de vida del paciente.
Palabras clave: Rehabilitación Bucal; Tecnología Digital; Impresión; 3D; Amelogénesis Imperfecta; S-PRG Fillers
Amelogenesis imperfecta (AI) is a condition that severely affects tooth enamel. In most cases aesthetics and function are compromised while solutions are scarce and have high cost. The purpose of this case report is to describe a rehabilitation case of a 13-year-old male patient diagnosed with amelogenesis imperfecta. A minimally invasive oral rehabilitation was planned using digital workflow for planning, 3D printing of crowns and S-PRG fillers as an aesthetic and functional solution, with lower cost, in the face of the AI case presented. Case report: 13-year-old male with pain, sensitivity, and aesthetics complaints, the patient has been diagnosed with Amelogenesis Imperfecta Hypomaturation-Hypoplastic, Type IV (AIHHT - OMIM: 104510). Treatment was divided into three phases, preventive and sensitivity management, minimally invasive oral rehabilitation - CAD-CAM and orthodontic treatment. It is possible to conclude that digital flow and 3D printing have many benefits for dentistry such as treatment predictability, chairside and lower material waste, cost and working time. It can also be concluded that digital dentistry allows oral rehabilitation following minimal intervention principles and that it was a successful treatment with aesthetic, function and quality of life improvements.
Key words: Mouth Rehabilitation; Digital Technology; Printing; Three-Dimensional; Amelogenesis Imperfecta; S-PRG Fillers
Introdução
Amelogênese imperfeita (AI) descreve um grupo heterogêneo de condições clínicas e genéticas que afetam o esmalte dentário e causam danos à função, devido à estrutura dental modificada, afetando a qualidade do esmalte, adesão e estética, podendo causar hipersensibilidade, perda de dimensão vertical e desvios ortodônticos1-3.
Para melhora da função e da estética, novas opções de tratamento estão surgindo e o fluxo digital com impressão 3D tem sido amplamente utilizado4-6 na produção de coroas, usando um método de fabricação aditiva, estereolitografia, que não desperdiça material, tem menor custo, resolução otimizada, precisão e traz acabamento suave à superfície7-10.
Coroas de resina composta impressas em 3D mostraram alta resistência à fratura e podem ser sugeridas como uma solução viável na odontología conservadora11. Novas resinas micro- preenchidas para impressão 3D de coroas têm benefícios como aumento das propriedades mecânicas, economia de tempo, maior precisão, encaixe, menor risco de distorções, fabricação de formas complexas (como coroas sem preparação dentária) e quase nenhum desperdício de material.
Outra nova tecnologia são os S-PRG fillers, que trazem uma combinação de cimento de ionômero de vidro e resina composta12. Esses materiais têm alta liberação de flúor e excelente adesão e estética.
O fluxo digital e as impressões 3D permitem uma reabilitação oral de mínima intervenção para a odontologia pediátrica e para os casos de defeitos de esmalte de desenvolvimento13. Diante disso, o objetivo deste artigo é relatar um caso de reabilitação oral de AI utilizando coroas de resina composta impressas em 3D seguindo os princípios da mínima intervenção.
Relato de caso
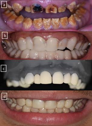
Este relato de caso foi conduzido em conformidade com a Declaração de Helsinque e foi preparado de acordo com a diretriz CARE14. Um paciente masculino de 13 anos apresentou-se à clínica com queixas de dor, sensibilidade e estética. A queixa principal do paciente era dificuldade ao se alimentar e escovar os dentes devido a alta hipersensibilidade, bem como seu relato que ao entrar na adolescência passou a sofrer bullying na escola devido ao aspecto dos seus dentes. A história médica não mostrou condições sistêmicas. O histórico odontológico do paciente indicou diagnóstico de Amelogênese Imperfeita (AI) Hipomaturada-Hipoplásica Tipo IV (AIHHT-OMIM:104510) (Figura 1) e presença de mordida cruzada anterior (elemento 12).
A AI é uma condição genética resultante de mutação em genes presentes no processo de mineralização do esmalte dental. Devido a essa característica, pessoas com essa condição apresentam má formação do esmalte em ambas as dentições (decídua e permanente). O tratamento iniciou-se aos 13 anos de idade, momento em que o paciente chegou para tratamento na Clínica de Defeitos de Esmalte da Faculdade de Odontologia da Universidade de São Paulo (FOUSP). A família relatou que há anos estavam a procura de tratamento, mas devido a baixa condição socioeconômica não foram capazes de encontrar opções de tratamento que pudessem arcar com os custos e foram informados, em diferentes locais de tratamento público e gratuito, que os profissionais não realizavam o tratamento necessário por ter alto custo e alta complexidade.
O plano de tratamento foi conduzido

Figura 1 Fotos do tratamento; a) Foto pré-operatória (inicial); b) Mockup; c) Coroas impressas; d) Foto pós-operatória (final).
conforme a linha do tempo descrita (Tabelas 1 e 2). A consulta inicial incluiu exame clínico, fotografias intra e extra- orais e exames complementares como radiografia panorâmica e escaneamento intra-oral. Uma semana após a consulta inicial iniciou-se a Fase 1 do tratamento que consistiu no preparo da cavidade oral para reabilitação, com duas sessões de raspagem supra e subgengival, com intervalos de uma semana entre as consultas, para higienização e remoção de tártaro dental. Em seguida foi realizado protocolo para manejo e tratamento da hipersensibilidade, utilizando laser infravermelho associado ao verniz de flúor (Tabela 1). Foram realizadas quatro sessões do protocolo, uma vez por semana.
Tabela 1 Plano de tratamento e protocolos.
| Exame clínico dental e discussão de caso com a equipe multidisciplinar | |||
|---|---|---|---|
| Exame clínico | Fotos digitais | Radiografia panorâmica | Escaneamento intraoral |
| Fase 1 = Manejo preventivo e de sensibilidade: protocolo de laser infravermelho para sensibilidade e tratamento gengival | |||
| Protocolo de laser infravermelho: 1 sessão por semana durante 4 semanas (780nm, 70mW, 105J/cm2 - 60 segundos por dente) | Protocolo de verniz de flúor: aplicação uma vez por semana durante 4 semanas | Pautas de higiene oral e dieta foram apresentadas | 2 sessões de tratamento gengival |
| Fase 2 = Reabilitação oral minimamente invasiva - CAD-CAM | |||
| 1. Planejamento da reabilitação | 2. Planejamento digital das características funcionais | 3. Planejamento estético | 4. Impressão dos modelos encerados e mockup com resina bisacrílica |
| 5. Preparação da resina: vibração a uma velocidade de 85rpm durante 20 minutos | 6. Parâmetros de impressão da resina - NextDent C&B MFH (Tabela 3) | 7.Posicionamento das cororas n placa de impressão | 8. Impressão das coroas: 1 hora e 30 minutos |
| 9. Processo de pós impressão: lavagem com ultrassom | 10. Processo de pós-cura: (Fonte de luz: LED UV; comprimento de onda: 405nm; saída de luz: 40W (duas lâmpadas laterais de 10W e uma lâmpada superior de 20W); frequência de aquecimento: 70W; velocidade de rotação: 15 voltas/ minuto) | 11.Polimento das coroas | 12.Cimentação das coroas sem desgaste das estruturas dentárias |
| Fase 3 = Tratamento ortodôntico | |||
A reabilitação minimamente invasiva foi realizada com o uso de scanner intraoral, software de planejamento digital e impressão 3D (Tabela 2, Figuras 2 e 3). O software de planejamento foi usado para planejar todas as características funcionais, como espessura e orientação da camada impressa, orientação e posição de impressão, ângulo de construção, dimensão vertical, tamanhos das coroas e dimensão oclusal. Os modelos encerados do paciente foram impressos e um mock- up de resina bisacrílica foi feito para experimentar as características planejadas no software (Figuras 1 e 2).
O processo de impressão e os parâmetros são explicados nas Tabelas 1 e 3. Após a impressão, as coroas foram colocadas em ultrassom (Tabela 2) com álcool a 99,5% por 5 minutos e, em seguida, no processo de pós-cura (Tabela 1) foram levadas ao forno de cura (Tabela 2 e Figura 3) por 10 minutos, finalizando com o polimento e glaze final. As coroas foram instaladas seguindo um dente por vez. O ResiCem Universal Resin Cement (Tabela 2) tem as maiores resistências de união relatadas de qualquer cimento resinoso, excelente adesão e estética, sendo customizado para ser universal para todos os materiais e contendo alta liberação de flúor e espessura de filme muito baixa (9µm).
A fase operatória e a colocação das coroas seguiram os seguintes passos: 1) Profilaxia; 2) Prova das coroas; 3) Ataque seletivo da superfície - ácido ortofosfórico a 37%; 4) Lavar e secar; 5) Adesivos de 2 etapas (Tabela 2); 6) Injeção de cimento e colocação da coroa; 7) Fotoativação 20 segundos (Tabela 2); 8) Uso de fio dental e limpeza de todos os excessos (brocas de diamante e discos/listras abrasivas); 9) Ajuste oclusal (papel carbono e brocas de acabamento); 10) Fotografias foram tiradas durante todo o processo (Figura 4). As coroas impressas foram cimentadas diretamente na estrutura dentária sem qualquer preparação dentária.
| Dispositivo/Material | Modelo e Marca |
|---|---|
| Aparelho de vibração para preparação da resina | Orbit P4, Labnet International Inc., USA |
| Software de Impressão | FlashDLPrint 2.2.1, 64 Bits (Zhejiang Flashforge 3D Technology Co, China) |
| Ultrassom | YX-2050, Super Power technologies, Paraguay |
| Cimento resinoso | Shofu’s ResiCem Universal Resin Cement (SHOFU INC. - Kyoto Japan). |
| Adesivos | ResiCem Primer A (Crown surface) and B (Tooth surface) - SHO FU INC |
| Luz LED de cura | VALO Cordless - Ultradent |
| Escâner intraoral | Straumann Virtuo Vivo, Straumann, Switzerland |
| Software de planejamento digital | EXOCAD, Exocad GmbH, Germany |
| Impressora | FlashForge Hunter, Zhejiang Flashforge 3D Technology Co, China |
| Forno de cura | Done3D |
| Resina para produção de coroas | NextDent/Vertex- Dental B.V.-NextDent Netherland |

Figura 2 Planejamento digital: a) escaneamento intraoral inicial; b) modelos encerados - software de planejamento EXOCAD para design de coroas; c) plano de impressão do modelo; d) modelo encerado impresso em 3D; e) planejamento de coroas no software de impressão; f) posições de suporte para impressão de coroas.

Figura 3 Processo de impressão 3D: a) Vibração para preparação da resina; b) Impressora 3D; c) Lavagem com ultrassom; d) Forno de cura; e) Coroas impressas (visão lateral dos suportes); f) Coroas impressas na base da impressora.

Figura 4 Resumo das etapas operatórias para reabilitação oral: a) Mockup; b) Ataque ácido superficial;c) Adesivo na superfície do dente; d) Adesivo na superfície da coroa; e) Injeção de cimento; f) Colocação da coroa;g) Ajuste oclusal; h) Polimento com brocas de acabamento.
Tabela 3 Parâmetros de impressão para a resina NextDent C&B MFH.
| Resina | Espessura da camada | Tempo de cura | Camadas de adesão | Tempo de cura para camadas de adesão | Intesidade da luz |
|---|---|---|---|---|---|
| NextDent C&B MFH | 0,05mm | 2,5 segundos | 8 camadas | 15 segundos | 90% |
Todo o processo de tratamento levou aproximadamente 3 meses e 10 consultas odontológicas, com intervalo de uma semana entre as primeiras 6 consultas (Fase 1) e intervalo de duas semanas entre as 4 consultas seguintes (Fase 2). Na Fase 1, optamos por consultas semanais para que o protocolo de sensibilidade fosse mais bem- sucedido. Na Fase 2, as consultas foram feitas a cada 15 dias devido à necessidade de planejar e produzir as coroas e para que o paciente tivesse um período mais longo de adaptação, já que houve grandes mudanças estéticas de dimensão vertical oclusal.
Este processo de reabilitação permitiu a continuidade do tratamento do paciente com a instalação de aparelhos ortodônticos fixos. Consultas de acompanhamento foram realizadas semanalmente durante o primeiro mês após a instalação da coroa. Nos dois meses subsequentes, as consultas foram realizadas a cada 15 dias e o paciente compareceu a consultas mensais para monitoramento. Após um ano de acompanhamento, foi possível instalar aparelhos ortodônticos fixos e não houve danos às coroas e à adesão nesse período. As coroas permaneceram estáveis na cavidade oral (Figura 5).
Discussão
Este relato de caso descreve o uso de nova tecnologia combinada com princípios bem definidos da odontologia, como o uso de tratamentos minimamente invasivos para a odontopediatria. As principais queixas do paciente eram hipersensibilidade, estética e função, além do alto custo da reabilitação.
Os métodos tradicionais de reabilitação oral em odontopediatria para a amelogênese imperfeita em dentes permanentes são restaurações compostas, coroas de compósito, cerâmica e zircônia, que apresentam grande melhoria estética. Entretanto, todas essas necessitam de preparação dentária, desgaste da superfície dental e possuem maior custo de produção. Até onde sabemos, não há outros relatos de casos que tenham utilizado coroas impressas em 3D para a reabilitação oral de pacientes com AI seguindo os princípios de mínima intervenção. A maioria dos casos relatados realizou procedimentos reabilitativos convencionais, incluindo preparação dentária e o uso de coroas fabricadas em laboratório4,5.
Quando o paciente chegou para tratamento, notou-se a complexidade do caso de reabilitação oral e a família não podia arcar com os custos da reabilitação convencional (coroas produzidas por laboratórios odontológicos). Portanto, tivemos que considerar uma opção de tratamento que fosse acessível, não dependesse de trabalho de terceiros (laboratórios) e pudesse ser realizada com os materiais e equipamentos disponíveis na clínica da FOUSP.
A impressão 3D já é bem utilizada na reabilitação protética e restabelece de forma bem-sucedida função e estética, também podendo ser usada, como mostrado neste artigo, como uma técnica minimamente invasiva13, uma vez que o planejamento digital permitiu a cimentação de coroas/laminados sem desgaste de tecido dental e com um custo acessível.
Em relação ao custo das coroas impressas em resina, após o investimento inicial em impressora 3D, resina, forno de cura e lavadora ultrassônica, o custo de uma coroa impressa é de $2,00 (R$10,00 - moeda brasileira). Quando comparamos com coroas metal-free produzidas em laboratório, após o investimento inicial dos equipamentos necessários para confeccioná-las, por ser um trabalho realizado por terceiros, não é possível pagar o preço de custo. Assim, o valor final de uma peça metal-free confeccionada por um laboratório no Brasil é aproximadamente de $70,00 (R$400), sendo um custo muito mais alto.
Uma grande dificuldade nos casos de AI é a adesão. As taxas de sucesso para restaurações unitárias aderidas em pacientes com AI em comparação com pacientes sem AI apresentadas por Klink, Groten & Huettig (2018)3 foram altas, nos encorajando quanto ao relato de caso apresentado e à durabilidade a longo prazo das coroas cimentadas. O cimento de resina da Shofu foi um sucesso, sem falhas de adesão após um ano de acompanhamento.
Conclusión
É possível concluir que o fluxo digital de trabalho e a impressão 3D têm muitos benefícios para a odontologia, como previsibilidade do tratamento, menor custo, menor desperdício de material, menor tempo de trabalho, independência na produção de peças protéticas e melhor comunicação com o paciente. Este caso mostra que a odontologia digital possibilitou a realização de reabilitação oral seguindo princípios de mínima intervenção e reestabelecendo não apenas a função, mas também a estética. Concluímos que o caso foi um sucesso, melhorando a estética e função do paciente, com uma melhoria na qualidade de vida, dieta e higiene devido à melhoria na hipersensibilidade.
Referencias bibliográficas
1. Aldred MJ, Savarirayan R, Crawford PJ. Amelogenesis imperfecta: a classification and catalogue for the 21st century. Oral Dis. 2003 Jan;9(1):19-23. doi: 10.1034/j.1601-0825.2003.00843.x. PMID: 12617253. [ Links ]
2. Smith CEL, Poulter JA, Antanaviciute A, Kirkham J, Brookes SJ, Inglehearn CF, Mighell AJ. Amelogenesis Imperfecta; Genes, Proteins, and Pathways. Front Physiol. 2017 Jun 26;8:435. doi: 10.3389/ fphys.2017.00435. PMID: 28694781; PMCID: PMC5483479. [ Links ]
3. Klink A, Groten M, Huettig F. Complete rehabilitation of compromised full dentitions with adhesively bonded all-ceramic single-tooth restorations: Long-term outcome in patients with and without amelogenesis imperfecta. J Dent. 2018 Mar;70:51-58. doi: 10.1016/j.jdent.2017.12.011. Epub 2017 Dec 21. PMID: 29275170. [ Links ]
4. Toupenay S, Fournier BP, Manière MC, Ifi-Naulin C, Berdal A, de La Dure-Molla M. Amelogenesis imperfecta: therapeutic strategy from primary to permanent dentition across case reports. BMC Oral Health. 2018 Jun 15;18(1):108. doi: 10.1186/s12903-018-0554-y. PMID: 29907114; PMCID: PMC6003150. [ Links ]
5. Roma M, Hegde P, Durga Nandhini M, Hegde S. Management guidelines for amelogenesis imperfecta: a case report and review of the literature. J Med Case Rep. 2021 Feb 9;15(1):67. doi: 10.1186/s13256-020- 02586-4. PMID: 33557885; PMCID: PMC7871387. [ Links ]
6. P.H. Corazza, H.L. de Castro, S.A. Feitosa, E.T. Kimpara, A. Della Bona. Influence of CAD-CAM diamond bur deterioration on surface roughness and maximum failure load of Y-TZP-based restorations. Am J Dent, 28 (2015), pp. 95-99 [ Links ]
7. Della Bona A, Cantelli V, Britto VT, Collares KF, Stansbury JW. 3D printing restorative materials using a stereolithographic technique: a systematic review. Dent Mater. 2021 Feb;37(2):336-350. doi: 10.1016/j. dental.2020.11.030. Epub 2021 Jan 19. PMID: 33353734; PMCID: PMC7855936. [ Links ]
8. van Noort R. The future of dental devices is digital. Dent Mater. 2012 Jan;28(1):3-12. doi: 10.1016/j. dental.2011.10.014. Epub 2011 Nov 26. PMID: 22119539. [ Links ]
9. Stansbury JW, Idacavage MJ. 3D printing with polymers: Challenges among expanding options and opportunities. Dent Mater. 2016 Jan;32(1):54-64. doi: 10.1016/j.dental.2015.09.018. Epub 2015 Oct 20. PMID: 26494268. [ Links ]
10. Melchels FP, Feijen J, Grijpma DW. A review on stereolithography and its applications in biomedical engineering. Biomaterials. 2010 Aug;31(24):6121-30. doi: 10.1016/j.biomaterials.2010.04.050. Epub 2010 May 15. PMID: 20478613. [ Links ]
11. Corbani K, Hardan L, Skienhe H, Özcan M, Alharbi N, Salameh Z. Effect of material thickness on the fracture resistance and failure pattern of 3D-printed composite crowns. Int J Comput Dent. 2020;23(3):225-233. PMID: 32789310. [ Links ]
12. Francois P, Fouquet V, Attal JP, Dursun E. Commercially Available Fluoride-Releasing Restorative Materials: A Review and a Proposal for Classification. Materials (Basel). 2020 May 18;13(10):2313. doi: 10.3390/ ma13102313. PMID: 32443424; PMCID: PMC7287768. [ Links ]
13. Joo HS, Park SW, Yun KD, Lim HP. Complete-mouth rehabilitation using a 3D printing technique and the CAD/CAM double scanning method: A clinical report. J Prosthet Dent. 2016 Jul;116(1):3-7. doi: 10.1016/j. prosdent.2016.01.007. Epub 2016 Mar 2. PMID: 26946918. [ Links ]
14. Gagnier JJ, Kienle G, Altman DG, Moher D, Sox H, Riley D, et al. The CARE guidelines: consensus-based clinical case report guideline development. J Clin Epidemiol. 2014;67(1):46-51. [ Links ]
15. SHOFU INC. Website - https://www.shofu.com/en/product/resicem-universal-resin-cement/ - 2022 [ Links ]
Recebido: 16 de Fevereiro de 2024; Aceito: 15 de Junho de 2024; Publicado: 03 de Agosto de 2024










texto en 
uBio 



