INTRODUCCIÓN
El tumor melanótico neuroectodérmico de la infancia (TMNI) es una neoplasia rara, generalmente benigna, que se presenta con mayor frecuencia en lactantes durante el primer año de vida. Su localización más común es en la región maxilar anterior, aunque se han descrito casos en otras localizaciones anatómicas. Esta entidad se caracteriza por su rápida tasa de crecimiento y su potencial de recurrencia local, lo cual plantea desafíos diagnósticos y terapéuticos.
Por otro lado, las neoplasias pulmonares primarias en edad pediátrica constituyen una entidad excepcional. Entre estas, los carcinomas mioepiteliales pulmonares representan un subgrupo extremadamente infrecuente de tumores de estirpe epitelial y mioepitelial, descritos en su mayoría en adultos, con muy pocos casos documentados en pacientes pediátricos. Estas neoplasias se originan en glándulas submucosas bronquiales y suelen exhibir un comportamiento clínico variable, oscilando entre patrones indolentes y otros más agresivos dependiendo de su histología y grado de diferenciación 3,6,7.
La literatura reporta múltiples casos de carcinomas mioepiteliales pulmonares primarios, con diferentes grados de diferenciación y presentación clínica 1,5,6,10. Sin embargo, los reportes en pacientes pediátricos son escasos. En un estudio de caso, Kridis et al. Documentan una presentación ambigua de esta entidad en un niño, destacando la dificultad diagnóstica ante la ausencia de criterios morfológicos específicos y la necesidad de estudios inmunohistoquímicos exhaustivos para su confirmación (12). Del mismo modo, Filisetti et al. describen el primer caso documentado de carcinoma mioepitelial primario que comprometió la totalidad del pulmón en un paciente pediátrico, requiriendo tratamiento quirúrgico radical con colocación de prótesis 14.
La coexistencia de un tumor melanótico neuroectodérmico con una neoplasia pulmonar maligna en la infancia representa una asociación inédita y clínicamente desafiante. Esta situación abre interrogantes sobre la posible predisposición biológica o sindrómica que pueda conectar ambas entidades, así como sobre las implicaciones diagnósticas, terapéuticas y pronósticas de su presentación simultánea. El presente trabajo tiene como objetivo reportar y analizar un caso clínico de TMNI asociado a una neoplasia pulmonar en edad pediátrica, constituyendo una asociación extremadamente infrecuente que amerita discusión desde el punto de vista clínico, radiológico, anatomopatológico y terapéutico. Asimismo, se realiza una revisión de la literatura sobre los tumores pulmonares mioepiteliales en población pediátrica, en función de contextualizar este hallazgo y aportar a la escasa evidencia disponible en la literatura médica actual 12-14.
MATERIALES Y METODOS
Se realizó un estudio de tipo descriptivo, observacional y retrospectivo, centrado en la presentación clínica de un paciente pediátrico diagnosticado con tumor melanótico neuroectodérmico de la infancia (TMNI), asociado de forma concomitante a una neoplasia pulmonar primaria. El caso fue atendido en una institución hospitalaria de tercer nivel, y su abordaje fue llevado a cabo por un equipo multidisciplinario conformado por especialistas en pediatría, oncología, cirugía torácica, radiología y anatomía patológica. La información clínica fue obtenida a través de la revisión detallada del expediente médico, incluyendo la historia clínica, estudios de imágenes (radiografías, tomografía computarizada), reportes quirúrgicos y anatomopatológicos, así como los resultados de estudios inmunohistoquímicos.
El diagnóstico de ambas lesiones se sustentó en hallazgos histopatológicos e inmunohistoquímicos conforme a los criterios de la Organización Mundial de la Salud para tumores de tejidos blandos y pulmón. Paralelamente, se llevó a cabo una revisión narrativa de la literatura científica con el fin de contextualizar el caso y contrastarlo con reportes similares. Para ello, se utilizaron bases de datos biomédicas como PubMed, Scopus y SciELO, empleando palabras clave como "pulmonary myoepithelial carcinoma", "melanotic neuroectodermal tumor of infancy", "pediatric lung neoplasm" y "case report". Se incluyeron artículos en inglés y español publicados entre 1970 y 2023, seleccionando aquellos que presentaran casos clínicos o revisiones relevantes. Las referencias seleccionadas fueron citadas conforme a las normas de Vancouver 1-15.
Este estudio cumple con los principios éticos establecidos en la Declaración de Helsinki, así como con las normas de buena práctica clínica. Se garantizó la confidencialidad y anonimato del paciente, y se obtuvo el consentimiento informado por escrito por parte de los padres o representantes legales para la utilización de la información clínica y la publicación del presente reporte con fines científicos.
PRESENTACIÓN DEL CASO
Motivo de consulta y enfermedad actual
Escolar masculino de 6 años de edad, quien inicia enfermedad actual el 2 de junio de 2023, caracterizada por fiebre que no remitía con analgésicos comunes, posteriormente tos seca, dolor torácico y dificultad respiratoria progresiva, acudiendo a emergencia del hospital 2 meses posterior al inicio de la sintomatología donde es ingresado.
Antecedentes relevantes
Al año de edad presentó tumoración redondeada vascularizada a nivel de región parietal izquierda, cuya biopsia y estudio inmunohistoquímica reportaron: Tumor melanótico neuroectodérmico de la infancia: con inmunorreactividad positiva a: Citoqueratina (CK) AE1/AE3, vimentina, melan A, sinaptofisina, enolasa y proteína S100 en las células tumorales e inmunorreactividad negativa a: actina del musculo liso (AML), desmina CD99, HMB45, antígeno carcinoembrionario (CEA), CD117 y receptor de andrógenos en las células tumorales. Ki67 con actividad proliferativa 90%. Se realiza tratamiento con resección y cauterización

Imagen 3 A Tumor melanótico neuroectodérmico recidivante en cuero cabelludo a los 2 años de vida y B exéresis del tumor.
A los 2 años de edad, presentó recurrencia de la tumoración de mayor tamaño con áreas necróticas, a los 4 años de edad se realizó resección quirúrgica completa de la lesión.
Diagnósticos de ingreso
Neumonía adquirida en la comunidad bilateral complicada con derrame
Tumor melanótico neuroectodérmico de la Infancia (resuelto)
Examen físico: Paciente ingresa en medianas condiciones generales, eutérmico, hidratado, palidez cutánea, mucosa leve. Presentaba cicatriz residual con alopecia en región parietal derecha, predominantemente, con lesiones descamativas en su superficie. Tórax: simétrico, con tiraje subcostal e intercostal leve. Ruidos respiratorios audibles en ambos hemitórax, sin broncofonía, disminuidos en región basal posterior bilateral. Vibraciones vocales normales en ambos hemitórax. Abdomen blando, depresible, sin megalias. Neurológico: activo, buena respuesta a estímulos.
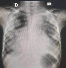
Se realiza estudio radiológico de tórax, apreciándose lesiones radiopacas, redondeadas, múltiples en región mediastínica y periférica del tórax. Es evaluada por el servicio de Neumonología considerándose patología neoplásica pulmonar, por lo que se solicita ecografía y Tomografía Axial Computarizada (TAC) de tórax.
La ecografía torácica (Imagen 4) muestra lesiones de aspecto gelatinoso de bordes irregulares en pleura visceral y parietal de aspecto mamelonado, compatible con infiltración pleural y discreto derrame pleural de aproximadamente 20 ml. Estudio del líquido pleural: Citoquímico normal, inmunohistoquímica negativa, citomorfológico negativo para células malignas.
El estudio tomográfico de tórax revela lesiones infiltrativas de aspecto tumoral bilateral cerca del área de mediastino en el lado derecho y lesiones periféricas cerca del área pleural, bilateral.

Imagen 6 Vista sagital de la tomografía computarizada que muestra lesiones parenquimatosas y periféricas

Imagen 7 Gammagrama óseo: imágenes obtenidas muestran captación homogénea y simétrica de radio trazador concluyendo: estudio gammagráfico normal sin evidencia de diseminación ósea de enfermedad de base.
En vista de cuadro respiratorio se inicia quimioterapia a los 3 días de su ingreso al centro (8 en total hasta la documentación) con ciclofosfamida, vincristina, doxorrubicina, 1 mes después desaparece síntomas respiratorios, hay presencia de derrame pleural en nuevo estudio radiológico por lo que se decide realizar toracocentesis, se realiza nuevo citoquímico e inmunohistoquímico donde reportan dentro de la normalidad, 2 meses posterior le realizan nuevo control tomográfico donde se evidencia: lesiones infiltrativas de predominio del campo pulmonar derecho y disminución de las lesiones tumorales del lado izquierdo, se realiza nuevo estudio ecográfico que reporta lesiones tumorales de aspecto gelatinoso en pleura visceral y parietal de menor tamaño que estudio por lo que deciden hacer estudio de biopsia citología y estudio inmunohistoquímico.
Biopsia pleuropulmonar: Infiltración por neoplasia de patrón arquitectural tubular y glomeruloide observada en el 95% del total de los cilindros examinados, infiltrando fragmentos de tejido fibroconectivo y focalmente con relación a parénquima pulmonar. Proliferación de células cuboideas de citoplasma eosinofílico claro de bordes poco definidos, núcleos hipercromáticos variables en tamaño e irregulares con mitosis. No hay embolismo tumoral.
Citología e inmunohistoquímica pulmonar: citocentrifugados constituidos por eritrocitos, linfocitos típicos, escasos neutrófilos, hemosiderófagos y atípicos celulares. Con inmunorreactividad citoplasmática positiva a: CK, AE1/AE3, AME, anticuerpo monoclonal CD99, proteína S100, proteína INI1, proteína p63 en las células tumorales y negativa a: desmina, sinaptofisina, enolasa, melan A, anticuerpo monoclonal HMB45, CEA, Factor de Transcripción Tiroidea 1 (TTF1), gen ERG, CD34, CD31. Actividad proliferativa a proteína nuclear (Ki67) del 4 %. Diagnóstico inmunohistoquímico compatible con: Neoplasia primaria pulmonar de origen mioepitelial con histogénesis distinta al tumor melanótico neuroectodérmico diagnosticado en el 2018. Las características inmunohistoquímicas se reportaron como sugestivas de carcinoma pulmonar primario mioepitelial.
DISCUSIÓN
El TNMI de la infancia comúnmente tiene un patrón de crecimiento infiltrativo y las limitaciones anatómicas a menudo conducen a una resección incompleta y recurrencia local, lo que requiere múltiples operaciones quirúrgicas, debido a que esta patología puede imitar una neoplasia maligna y tratada de forma agresiva, el reconocimiento de este tumor raro es crucial para los patólogos. Su metástasis es poco común y solo se han reportado diseminación a ganglios linfáticos y SNC. La literatura seleccionada no reporta asociación a tumores primarios pulmonares.
Por su parte, el CMPP es una neoplasia que surge de las glándulas bronquiales del tracto respiratorio inferior, extremadamente rara. Hasta el momento se han registrado pocos casos en adultos y escasa información en pediatría. Los tumores epiteliales-mioepiteliales se originan en las glándulas salivales y comprenden el 1% de todos los tumores primarios. El carcinoma epitelial-mioepitelial se describió por primera vez en las glándulas salivales en 1972. La Organización Mundial de la Salud (OMS) ha clasificado este carcinoma como un tumor maligno compuesto por proporciones variables de dos tipos de células que típicamente forman estructuras similares a conductos 1,2. El diagnóstico se basa enteramente en evaluaciones histológicas e inmunohistoquímicas. Estos tumores son extremadamente raros en el pulmón. Incluyen el carcinoma mucoepidermoide, el carcinoma adenoide quístico, el carcinoma de células acínicas, el oncocitoma, el carcinoma epitelial-mioepitelial, el mioepitelioma benigno y los tumores mixtos 3,4,5.
El CMPP es una neoplasia rara que se cree que surge del bronquio submucoso. Estas glándulas se consideran una forma de glándulas salivales menores. El carcinoma mioepitelial pulmonar primario es un tumor maligno de grado relativamente inferior; sin embargo, muestra altas tasas de metástasis a distancia. La morfología de las células mioepiteliales neoplásicas varía dentro del tumor e incluye principalmente cuatro tipos morfológicos: los tipos fusiformes, plasmocitoides, transparentes y epitelioides.
Aunque el CMPP suele ser positivo para anticuerpos tanto para las células epiteliales como para las células del músculo liso, la reactividad inmunohistoquímica también varía entre los diferentes tipos de células 4. Según la literatura, las células mioepiteliales fusiformes son persistentemente positivas para AME, pero muestran una inmunotinción variable para CK, mientras que las células mioepiteliales plasmocitoides, claras y epitelioides son positivas para CK y muestran una inmunotinción variable para AME. El S-100 se considera el mejor marcador de diagnóstico 7. El CMPP es consistentemente positivo para vimentina, S-100, proteína p63 y Glial Fibrillary Acidic Protein (GFAP). El diagnóstico diferencial del CMPP dependerá principalmente de la morfología de las células mioepiteliales neoplásicas predominantes en el tumor, pero es probable que sea un problema en pequeñas muestras de citología y biopsia endobronquial. Algunos autores recomiendan descartar lesiones metastásicas de la glándula salival. El diagnóstico diferencial incluye mioepitelioma, leiomioma/leiomiosarcoma, carcinoma mucoepidermoide y tumor de células claras de pulmón. La separación del carcinoma mioepitelial del mioepitelioma se basa principalmente en anomalías celulares, crecimiento infiltrativo, figuras mitóticas y necrosis.
En cuanto a la inmunorreactividad del tumor para CK y p63, cuál es el marcador más útil para ayudar a discriminar los tumores mioepiteliales de otros tumores mesenquimales, como el leiomioma/leiomiosarcoma o el tumor de células claras de pulmón. Pero el carcinoma mucoepidermoide suele estar compuesto por células epidermoides, células mucosas y células intermedias. En un artículo Hysi y cols. publicado en 2011 el cual recoge información de otros reportes de casos, señala que en los que se trataron mediante cirugía adecuada no hubo recurrencias locales, 7 pacientes desarrollaron metástasis, ya sea sincrónica en el momento de la resección o que se presentó como recurrencia metacrónica, incluida metástasis al contralateral pulmón 5, el antebrazo y la cadera, 6 el hígado 7,8 y el cerebro. 9
El período de seguimiento osciló entre 4 meses y 5 años. Un paciente murió de metástasis cerebral 11 meses después de la cirugía. 9 Un paciente murió a los 14 meses de adenocarcinoma metastásico sincrónico 6. Otro paciente desarrolló metástasis hepática y murió 5 años después de la operación 6. Dos pacientes estaban vivos con la enfermedad 10 y otros estaban libres de la enfermedad en intervalos de seguimiento relativamente cortos. Con base en estos datos, se puede argumentar CMPP es un tumor altamente maligno. Sin embargo, este paciente no mostró signos de metástasis.
Es necesario señalar que los pacientes de la literatura que no desarrollaron metástasis tuvieron la tasa de mitosis tumoral más baja de 5/10 High Power Field (HPF) con el índice de proliferación nuclear Ki-67 fue inferior al 5%. En este paciente fue menor al 4% y en estos casos no suele presentarse recurrencia ni metástasis con un período de seguimiento de 4 meses. Este hecho sostiene que la tasa mitótica y el índice de proliferación nuclear Ki-67 pueden ser un factor pronóstico importante del resultado clínico y la supervivencia Debido a la baja incidencia, no existen directrices sobre la estrategia terapéutica óptima
(11). Hasta el momento, solo se han registrado tres casos pediátricos 12,13.
El primer paciente padecía una enfermedad metastásica avanzada con desaparición de la opacidad pulmonar de forma espontánea y sin tratamiento alguno 12; el segundo caso fue un carcinoma mioepitelial primario de pulmón (PMC-L) relativamente pequeño en un niño de 7 años tratado quirúrgicamente 13. Uno de los casos más recientes se trató de un niño de 7 años que se sometió a neumonectomía total con colocación de un expansor tisular relleno de suero fisiológico en el espacio pleural, como se ha informado en experiencias previas para evitar el síndrome posneumonectomía14,15.
El tratamiento del CMPP representa un desafío. Algunos autores consideran que el primario implica resección quirúrgica completa seguida de radioterapia 7. En caso de enfermedad metastásica, la quimioterapia y la radioterapia son los tratamientos estándar, incluso si no hay información suficiente, para definir la supervivencia y eficacia de estos tratamientos, aunque algunos informes han demostrado que este tumor no es sensible a la radioterapia y la quimioterapia por lo que es difícil formular recomendaciones sobre quimioterapia o radiación, ya sea antes o después de la operación. Llama la atención que, en el presente caso, el paciente presentó respuesta clínica satisfactoria a la quimioterapia con reducción de las lesiones al estudio tomográfico de control.
CONCLUSIONES
El Carcinoma Mioepitelial Pulmonar Primario (CMPP) es una neoplasia pulmonar extremadamente rara en la infancia. Este caso es pionero al mostrar una respuesta positiva a la quimioterapia. Aunque aún se espera la evolución a largo plazo, hasta la fecha, la evolución clínica ha sido exitosa. Dada la rareza de estos tumores, las recomendaciones sobre quimioterapia o radioterapia, ya sea antes o después de la cirugía, representan un desafío terapéutico. Esto implica un seguimiento estrecho a largo plazo. El estudio de este paciente puede ayudar a esclarecer la historia natural de este tumor raro.











uBio 






