Introducción
La técnica quirúrgica abierta convencional para la cirugía tiroidea fue descrita por Kocher en el siglo XIX, con gran impacto en la morbimortalidad del paciente, siendo considerada desde entonces como el procedimiento estándar1. Este abordaje cervical anterior se ha mantenido por más de 100 años. Aunque en la mayoría de los pacientes, los resultados estéticos son aceptables, el 20% no se encuentra conforme con la cicatriz, y el 10% considera la cirugía plástica para mejorar su apariencia 2. El impacto de la cicatriz cervical en la calidad de vida, es similar al impacto del vitíligo, la psoriasis o dermatitis 3.
Han existido accesos remotos y técnicas de cirugía que han logrado evitar una incisión anterior en el cuello. Los ejemplos comunes, incluyen incisiones areolares o axilares 4. Mijares y cols., evaluaron la viabilidad de realizar tiroidectomía endoscópica transaxilar con el sistema de separación Maxcess®. El procedimiento fue realizado en tres pacientes, con tumores benignos tiroideos. No hubo morbilidades, ni mortalidad en este estudio. Se colocaron drenajes aspirativos cerrados, no se observaron hematomas postoperatorios, disfonía, parestesias, cicatrices fibrosas o queloides. El tiempo promedio fue de 115 minutos 4.
Los tres pacientes manifestaron su entera satisfacción con el procedimiento y resultados. Concluyeron que la cirugía endoscópica tiroidea es un procedimiento seguro para pacientes con lesiones en la glándula tiroides, que tengan indicación quirúrgica, proporcionando excelente resultados cosméticos 4. A pesar de la mejora cosmética local, estas técnicas pueden ser desafiantes debido a planos de disección desconocidos, rutas más largas hacia la región anterior del cuello y nuevas eventualidades. Además, de una curva de aprendizaje larga 5. El abordaje vestibular de la tiroidectomía endoscópica transoral (TOETVA) y paratiroidectomía endoscópica transoral (TOEPVA), es un enfoque novedoso para cirugía de la línea media del cuello. El primer procedimiento TOETVA se informó en 2016 6. En esta fecha, Anuwong publicó la primera serie de casos, de 60 pacientes, que se sometieron a tiroidectomía sin cicatriz a través del vestíbulo inferior de la boca, con excelentes resultados. Esto maximizo los esfuerzos mundiales para explorar un enfoque alternativo de la tiroidectomía. Actualmente, TOETVA y TOEPVA, con casi 1.000 casos en la literatura reportados, quizás más que otras técnicas de acceso remoto, está atrayendo pacientes interesados en evitar una cicatriz en el cuello, y es una técnica que ha ganado aceptación como una alternativa a seguir, a los abordajes cervicales abiertos tradicionales, para evitar una incisiones en el cuello4-6.
En Latinoamérica, específicamente en Brasil, en 2021, Bertelli A., y Tufano R., sometieron a un total de 93 pacientes a TOETVA. La mayoría de los pacientes (58,1%) ameritaron tiroidectomía total, el 59,1% tenían enfermedad benigna y sólo dos pacientes (2,2%) necesitaron conversión a cirugía abierta. Cinco pacientes (9,3%) desarrollaron hipoparatiroidismo transitorio y hubo 3 pacientes (2,0%) con parálisis temporal del nervio laríngeo recurrente. Hubo una (0,7%) parálisis unilateral permanente. Veinte pacientes presentaron algún tipo de complicación, el 16,1% fueron menores, y el 5,4% mayores. Un total de 73 pacientes (78,5%) tuvieron una recuperación sin incidentes. Concluyeron que la técnica es reproducible con una baja tasa de complicaciones. Si bien se necesitan más estudios para confirmar la equivalencia, los primeros esfuerzos sugieren que TOETVA no es inferior a la tiroidectomía abierta tradicional en pacientes adecuadamente seleccionados 7.
Voogd A., y cols., informaron la experiencia con la tiroidectomía y paratiroidectomía transoral endoscópica con abordaje vestibular en el Hospital Universitario Austral. Evaluaron 18 pacientes femeninas, el promedio de tiempo quirúrgico fue: lobectomía, 260 minutos; tiroidectomía total, 262 minutos. Reportaron: equimosis leve en 12 pacientes, hipoparatiroidismo transitorio en 1 caso, paresia recurrencial transitoria en 1 caso e hiposensibilidad mentoniana transitoria en 1 caso. Concluyeron que es un abordaje seguro y ofrece resultados cosméticos excelentes 8.
Los criterios de exclusión para esta cirugía, incluyen: comorbilidad médica grave que contraindica un tiempo de procedimiento prolongado, radiación de haz externo en el cuello, cirugía anterior de cuello por abordaje abierto, nódulo mayor de 6 cm benigno, tumor tiroideo maligno mayor de 2 cm, extensión tumoral extratiroidea, diámetro total del lóbulo tiroideo mayor de 10 cm, tiroides sumergida a tórax, indicaciones para disección central de cuello y pacientes que no autoricen el consentimiento informado luego de explicarles detalladamente el procedimiento, con los riesgos adicionales tales como: posible daño a los nervios mentonianos, tiempo operatorio adicional, quemadura de la piel del cuello y riesgo de conversión a procedimiento abierto3,5,6. Sin embargo, revisiones recientes indican que las indicaciones para TOETVA incluyen: todas aquellas patologías tiroideas benignas, microcarcinoma papilar y tumores tiroideos de 6 cm o menos, así como también, en pacientes con cáncer de tiroides que a su vez ameritan disección central del cuello 9.
Este trabajo tiene como objetivo presentar abordajes endoscópicos en tiroidectomía y paratiroidectomía transoral por abordaje vestibular, con el propósito de demostrar que es una técnica factible, eficaz y segura, en el manejo de patología tiroidea y paratiroidea, ofreciendo no solo resultados curativos favorables, sino, el mejor resultado estético.
CASO 1:
Paciente femenina de 42 años de edad, evaluada por hallazgo incidental ecográfico en lóbulo tiroideo derecho. La lesión se ubicaba entre tercio medio y polo inferior del lóbulo tiroideo derecho, con medidas de 1,5 x 1,1 x 0,5 cm, con microcalcificaciones y vascularización central y periférica, cuya punción reportó carcinoma papilar tiroideo. Se planteó realizar tiroidectomía transoral por abordaje vestibular más corte congelado. Se evaluó la cavidad oral de la paciente verificando que no presentaba enfermedad periodontal concomitante, considerándose así, una cirugía limpia contaminada, ya que se irrumpe la mucosa oral. Se le sugirió lavados bucales preoperatorios con Peridont® y se obtuvo el consentimiento informado de la paciente.
Preparación del área quirúrgica y paciente para TOETVA:
Se cumplió cobertura antimicrobiana con cefacidal y clindamicina. Es esencial tener un plan claro para la configuración de la sala quirúrgica. La preparación para la intervención quirúrgica inicia por el posicionamiento del equipo endoscópico. La torre se ubicó del lado derecho y se colocó un monitor adicional del lado izquierdo, el cirujano se posicionó en la cabecera del paciente, el personal de apoyo y los carros de instrumentos estaban ubicados del lado izquierdo.
Con el paciente en posición supina, se aseguraron las vías respiratorias mediante intubación endotraqueal estándar y el tubo armado se aseguró adecuadamente. Se utilizaron protectores oculares. Se colocó rollo subescapular para la extensión cervical.
Procedimiento quirúrgico TOETVA:
Para la intervención quirúrgica de tipo TOETVA, una vez realizada la extensión cervical requerida, se procedió a la exploración del vestíbulo bucal, seguidamente se realizó infiltración de 10 cc de solución 0,9% y una incisión con bisturí, a 1,5 cm de la unión gingivolabial de 11 mm (Figuras 1 y 2).
Posteriormente se realizó la disección con crille curvo hacia mandíbula, se continuó la hidrodisección con aguja de Veress e inyectadora, hacia la línea media de la región cervical, luego se disecó el espacio con bujías de Hegar aumentado progresivamente el tamaño de las mismas y disecando el canal en la línea media (Figuras 3 y 4).

Figuras 3 y 4: Disección con crille curvo hacia mandíbula e hidrodisección con aguja de Veress e inyectadora hacia la línea media.
Luego se procedió a la colocación de trocar de 11 mm en la incisión, dirigido a la línea media. Se colocó insuflador con CO2 a una presión de 6 mmHg, con flujo de 12 L/minuto. Este es el trocar donde se maneja la cámara (Figuras 5 y 6).

Figura 5 y 6: Colocación de trocar de 11 mm en la incisión, dirigido a la línea media donde se ubica la cámara
Se realizaron dos incisiones mediales al borde del bermellón, cerca de la comisura labial, de 5 mm de longitud; con el fin de prevenir lesión del nervio mentoniano, estos puertos laterales, se realizaron laterales a los dientes caninos y más cerca del labio inferior y se colocó trocar de 5 mm en cada uno (Figuras 7 y 8).

Figura 7 y 8: Incisiones laterales de 5 mm de longitud, laterales a los dientes caninos y más cerca del labio inferior.
En el trocar central se colocó la cámara y en los laterales se colocaron los instrumentos (Figura 9).
La insuflación subplatismal permitió la visualización de la línea media (Figura 10).
Los músculos pretiroideos fueron divididos a lo largo de esta línea, para exponer la glándula tiroides, específicamente el istmo tiroideo, se realizó retracción de los músculos pretiroideos, los cuales se elevaron con suturas percutáneas (Figura 11).
Se procedió a realizar la istmectomía hasta exponer la tráquea. Se comenzó por el polo superior, el cual se sujetó en este punto, y los vasos tiroideos superiores se ligaron y se cortaron usando dispositivos de energía. La movilización del polo superior permitió la extirpación de la tiroides de arriba hacia abajo y facilitó la retracción del lóbulo medialmente para identificar la glándula paratiroides superior y nervio laríngeo superior.
Una vez que se completó la retracción del lóbulo, se identificó el nervio laríngeo recurrente, cerca de su inserción en la región cricotiroidea. Posteriormente se procedió al abordaje del polo inferior identificando la glándula paratiroides inferior, realizando ligadura de vasos tiroideos inferiores, usando dispositivos de energía (Figuras 12 y 13).

Figuras 12 y 13 En la imagen tomada de la cirugía endoscópica, se observa el nervio laríngeo recurrente de color pardo.
Realizada la extirpación del lóbulo tiroideo e istmo, se procedió a colocar la pieza, en bolsa artesanal elaborada con dedo de guante, la cual se retiró a través del trocar de la incisión central. Se constató hemostasia. La muestra fue enviada a corte congelado donde reportaron carcinoma papilar de tiroides, sin extensión extratiroidea, encapsulado, menor de 1 cm. Se retiraron los trocar laterales bajo visión directa y luego el trocar central. Se realizó cierre de incisiones en mucosa con nylon 4-0. Se colocó mentonera y se procedió a extubar a la paciente (Figura 14).
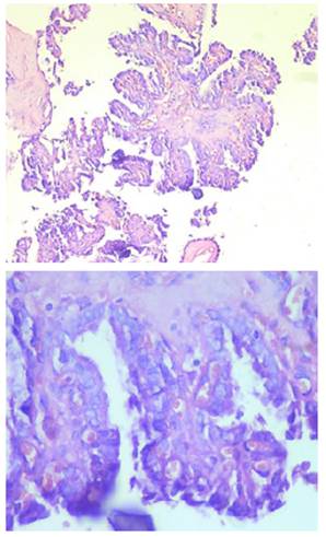
Se trasladó la paciente al área de recuperación. La biopsia definitiva reportó: microcarcinoma papilar (Figura 15), tamaño tumoral de 0,25cm, sin compromiso de la cápsula, concluyendo diagnóstico de: carcinoma diferenciado de tiroides (microcarcinoma papilar), de bajo riesgo por MACIS (Metástasis, Edad, Completa resección, Invasión y Tamaño) y ATA (Asociación Americana de Tiroides), estadio I (Comisión Conjunta Estadounidense sobre el Cáncer) 10.

Figura 15: Corte histológico de la pieza anatómica, donde se observa: contorno nuclear irregular, pseudoinclusiones nucleares y el aspecto claro y vidrioso en el núcleo de las células foliculares en el carcinoma papilar de la glándula tiroides.
La paciente evolucionó en excelentes condiciones durante su postoperatorio, sin eventualidades, fue egresada con recomendaciones ambulatorias y acudió a sus controles postoperatorios (Figura 16).
CASO 2:
El segundo caso fue una paciente femenina de 66 años de edad, que acudió por hallazgo incidental de valor elevado de PTH (Parathormona: 205,91pg/ml), a la cual solicitaron gammagrama, que reportó adenoma paratiroideo, por lo que se planteó diagnóstico de hiperparatiroidismo primario, sugiriendo paratiroidectomía izquierda por abordaje transoral vestibular endoscópico más corte congelado. Se evaluó la cavidad oral de la paciente verificando que no presentaba enfermedad periodontal concomitante. Se le sugirió lavados bucales preoperatorios con Peridont® y se obtuvo el consentimiento informado de la paciente.
Preparación del área quirúrgica y paciente para TOEPVA:
De igual forma que en la TOETVA, se cumplió cobertura antimicrobiana con cefacidal y clindamicina, se estableció la configuración de la sala quirúrgica con el posicionamiento del equipo endoscópico, el cirujano, el personal de apoyo y el paciente. Se aseguraron de igual forma las vías respiratorias mediante intubación endotraqueal estándar y el tubo armado. Se utilizaron protectores oculares. Se colocó rollo subescapular para la extensión cervical. En TOEPVA, se realiza la ubicación ecográfica preoperatoria de la glándula paratiroides, así como la toma de muestra preoperatoria para evaluar PTH, la cual se encontró en 274,70pg/ml.
Procedimiento quirúrgico TOEPVA:
Para la intervención quirúrgica de tipo TOEPVA, una vez realizada la extensión cervical requerida, se procedió a la exploración del vestíbulo bucal con demarcación de la incisión (Figura 17).
De manera similar a la técnica TOETVA, se realizó infiltración de 10 cc de solución 0,9% y una incisión con bisturí, a 1,5 cm de la unión gingivolabial de 11 mm. Posteriormente se realizó la disección con crille curvo hacia mandíbula, se continuó la hidrodisección con aguja de Veress e inyectadora, hacia la línea media de la región cervical, luego se disecó el espacio con bujías de Hegar aumentado progresivamente el tamaño de las mismas y disecando el canal en la línea media. Luego se procedió a la colocación de trocar de 11 mm en la incisión, dirigido a la línea media. Se colocó insuflador con CO2 a una presión de 6 mmHg, con flujo de 12 L/ minuto. Se realizaron las dos incisiones laterales y se colocó trocar de 5 mm en cada una, con el posterior posicionamiento del equipo médico (Figuras 18, 19 y 20).

Figuras 18, 19 y 20 Forma en la que se ubican los trocar por abordaje vestibular en TOEPVA, similar a TOETVA y distribución del equipo quirúrgico.
La insuflación subplatismal permitió la visualización de la línea media. Los músculos pretiroideos fueron divididos a lo largo de esta línea, para exponer la glándula tiroides, específicamente el istmo tiroideo, se realizó retracción de los músculos pretiroideos, los cuales se elevaron con suturas percutáneas. Se procedió a la retracción de la tiroides hacia la línea media para ubicar la glándula paratiroides derecha inferior. Se identifico el pedículo paratiroideo y se realizó ligadura del mismo (Figuras 21 y 22).

Figuras 21 y 22 En la imagen tomada de la cirugía endoscópica, se observa la glándula paratiroides inferior derecha con pedículo vascular.
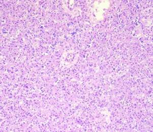
Se realizó la resección de la glándula y se procedió a colocar la pieza en bolsa artesanal elaborada con dedo de guante, la cual se retiró a través del trocar de la incisión central. Se constató hemostasia. La muestra fue enviada a corte congelado donde se corroboró el tejido paratiroideo, seguidamente de enviar la pieza, se tomó PTH para evaluar el nuevo valor de la misma, la cual se encontró en 66,32pg/ml. Se retiraron los trocar laterales bajo visión directa y luego el trocar central. Se realizó cierre de incisiones en mucosa con nylon 4-0. Antes de realizar la extubación se colocó mentonera y se trasladó a la paciente al área de recuperación. La biopsia definitiva reportó como adenoma paratiroideo (Figura 23).

Figura 23: Corte histológico de la pieza anatómica, donde se observan características de adenoma paratiroideo: células principales de núcleo redondo y citoplasma granular pequeño.
La paciente evolucionó en excelentes condiciones durante su postoperatorio, sin eventualidades, fue egresada con recomendaciones ambulatorias y acudió a sus controles postoperatorios.
Discusión
Banuchi V., y cols., en 2020, realizaron 51 tiroidectomías y paratiroidectomías, entre noviembre de 2017 y julio de 2019 en el Hospital Lincoln, tuvieron 44 mujeres y 7 hombres. La edad media en el momento de la cirugía fue de 50 años, con una desviación estándar de 16 años. El promedio del tamaño del nódulo fue de 3,9 cm con una desviación estándar de 1,7 cm. Veintiocho pacientes finalmente tenían enfermedad benigna y 23 tenían una malignidad de la tiroides. El tiempo operatorio promedio fue de 281 [150-480] minutos. Todos los procedimientos se realizaron exitosamente sin conversiones y sin parálisis del nervio laríngeo o hipocalcemia. Los pacientes fueron evaluados con laringoscopia flexible en el consultorio 2 semanas después del procedimiento5. Las técnicas quirúrgicas realizadas en el presente trabajo, de manera similar, fueron realizadas exitosamente, no ameritaron conversiones y no hubo parálisis de nervio laríngeo recurrente, corroborado por estudios nasofibrolaringoscópicos a las dos semanas.
En relación a la parte estética y funcional, Choi Y., y cols., 2014, evaluaron 97 pacientes con una serie de preguntas, ellos clasificaron las cicatrices postiroidectomía en cicatrices lineales planas, cicatrices lineales abombadas, cicatrices hipertróficas o cicatrices adhesivas y cómo afectaban a los pacientes. Había 32 pacientes (33,0%), 9 pacientes (9,3%), 41 pacientes (42,3%) y 15 pacientes (15,5%), respectivamente, en cada grupo. La mayoría sugirió el impacto negativo en la decisión de elegir vestimenta por la cicatriz en cuello3. Ellos concluyeron que las cicatrices quirúrgicas son un problema estético crucial, especialmente cuando son en áreas expuestas, lo que afecta la calidad de vida de los pacientes3. Las pacientes intervenidas en el presente trabajo, quedaron muy conformes, debido a la ausencia de cicatriz en el cuello.
Banuchi y cols., describen los métodos y estrategias de capacitación y reclutamiento utilizadas en el establecimiento de un programa de tiroidectomía endoscópica transoral en un hospital comunitario del centro de la ciudad. Basados en la demografía, las características de los nódulos y tiempos operatorios. Para ellos, el 56% de sus casos endocrinos de cabeza y cuello serán elegibles para este enfoque en el futuro5. De la misma forma que estos autores, se debe enfatizar en la formación y capacitación de cirujanos de cabeza y cuello que realicen este procedimiento, permitiendo ofrecer al paciente otras alternativas de tratamiento que resuelva su patología, con abordajes menos invasivos. Algunos autores, como Russell y cols., la han asociado con una curva de aprendizaje corta, acceso a los compartimentos centrales bilaterales del cuello, pocas contraindicaciones quirúrgicas, mínimas complicaciones y mínima instrumentación adicional2. Por lo que sería ideal, establecer programas de entrenamiento en cirugía endoscópica tiroidea.
Avi Khafif y cols., realizaron un seguimiento prospectivo de febrero de 2018 y octubre de 2019, para evaluar la capacidad de realizar la cirugía endoscópicamente (fracaso definido como conversión a abordaje abierto) y las complicaciones. Se incluyeron 71 pacientes (52 TOETVA y 19 TOEPVA). El 98% (51/52) y el 100% (19/19) de las cirugías TOETVA y TOEPVA se realizaron por vía endoscópica, respectivamente. Parálisis transitoria de cuerda vocal y lesión de nervio mental, representaron 8,4% (6/71) y 2,8% (2/71), respectivamente. Se diagnosticó carcinoma de tiroides en 27 pacientes (51,9%), todos extirpados completamente. Concluyeron que la ejecución de este tipo de cirugía, por cirujanos de cabeza y cuello sin experiencia previa en técnicas laparoscópicas/robóticas es factible11.
En relación a la evaluación por parte de anatomía patológica de las piezas anatómicas, en las neoplásicas malignas o benignas, la arquitectura no se ve afectada para el examen microscópico12. En ambas pacientes intervenidas, las piezas quirúrgicas fueron extraídas completas, permitiendo realizar un análisis adecuado en patología y en el caso de la paciente con microcarcinoma papilar, el mismo fue resecado con márgenes sanos. La disección de ganglios linfáticos del nivel central es comparable con la vía abierta o cervicotomía13. A pesar de que las pacientes presentadas, no ameritaron disección de cuello, consideramos que los planos de la línea media son fácilmente identificables en este abordaje para su realización.
Angkoon Anuwong, demostró su experiencia inicial en abordaje vestibular de tiroidectomía endoscópica transoral (TOETVA), desde abril de 2014 hasta enero de 2015, utilizaron una técnica de tres puertos a través del vestíbulo oral, un puerto de 10 mm y dos puertos adicionales de 5 mm para instrumentos. La presión de insuflación de CO2 se fijó en 6 mmHg. Se creó un espacio subplatismal cervical anterior desde el vestíbulo oral hasta la escotadura esternal. 60 procedimientos fueron realizados con éxito. La mediana del tiempo operatorio fue de 115,5 minutos (rango 75-300 minutos). Dos pacientes experimentaron una ronquera transitoria, que se resolvió en 2 meses. Un paciente experimentó un hematoma postoperatorio tardío, que fue tratado conservadoramente6. Posiblemente, la curva de aprendizaje, sea una de las limitaciones de la ejecución de esta técnica.
Conclusiones
El abordaje vestibular de tiroidectomía y paratiroidectomía endoscópica transoral, está ganando rápidamente popularidad. La formación de cirujanos, la adecuada selección de pacientes, el establecimiento de estrategias de capacitación, podría permitir realizar este abordaje para acceder a la tiroides bilateralmente y al compartimiento central, de forma más directa. Se ha demostrado que es factible, eficaz y seguro, ofreciendo además el mejor resultado cosmético hasta ahora conocido. Aunque se describan nuevas complicaciones asociadas a la vía de abordaje, como lesión del nervio mentoniano, infecciones cervicales por paso de saliva desde la cavidad oral, lesiones de la piel durante la disección, entre otras, en cirujanos de cabeza y cuello entrenados, se minimizan este tipo de eventualidades, representando así, una herramienta que garantiza una cirugía curativa, con mejor calidad de vida de los pacientes. TOETVA y TOEPVA, son cirugías desafiantes, con una curva de aprendizaje amplia y pronunciada, pero al ser realizada por cirujanos expertos, brindan inmensos beneficios para los pacientes desde el punto de vista curativo, estético y funcional, con ausencia de drenajes postquirúrgicos, mejor recuperación y menor lesión del nervio laríngeo recurrente por su mejor identificación. Actualmente se necesitan un número mayor de ensayos controlados aleatorizados, con muestras significativamente grandes y con un seguimiento más prolongado en el tiempo, para confirmar su efectividad clínica y oncológica.











uBio 









