SciELO - Scientific Electronic Library Online

 
vol.17 número1Experiencias en terapia con antibióticos y aceite tratado con ozono de fracturas abiertas grado III en tejidos blandos de miembros inferioresAbordaje de mínima intervención para el tratamiento de lesiones de manchas blancas post ortodoncia con Resina Infiltrativa ICON®. Reporte de caso. índice de autoresíndice de assuntospesquisa de artigos
Home Pagelista alfabética de periódicos  

Serviços Personalizados

Journal

Artigo

Indicadores

Links relacionados

Compartilhar


Revista Científica CMDLT

versão On-line ISSN 2790-8305

Rev Cien CMDLT vol.17 no.1 Caracas dez. 2023  Epub 28-Mar-2025

https://doi.org/10.55361/cmdlt.v17i1.326 

Pediatría: Caso clínico

Epilepsia autolimitada con espigas centrotemporales: reporte de un caso

Self-limited epilepsy with centrotemporal spikes: a case report

1Departamento de Pediatría. Centro Médico Docente La Trinidad. Caracas. Venezuela.


Resumen

Introducción:

La Epilepsia autolimitada con espigas centrotemporales (EA-ECT), es un síndrome epiléptico que se presenta en la etapa pre-escolar y escolar caracterizado por crisis epilépticas focales somatosensoriales a bitaletal tónica clónica y a nivel de electroencefalograma por puntas centrotemporales bilateral, que se activan durante el sueño. Según Lundberg y colaboradores se ha evidenciado asimetría de hipocampos en la resonancia magnética nuclear cerebral (RMNC).

Reporte de caso:

Paciente masculino de 5 años, quién presentó una primocrisis durante el sueño, de inicio desconocido, dada por movimientos tónico- clónicos bilaterales, sonidos guturales acompañado de retroversión ocular y relajación de esfínteres, menor a 1 minuto de duración.

Conclusiones:

La EA-ECT aparece desde los 3 a 15 años. Presentándose como crisis epilépticas focales a bilateral durante el sueño, con alteraciones en el EEG, asociándose también en la RMNC asimetría de hipocampos. Es una epilepsia autolimitada o farmacorrespondedora de la infancia.

Palabras clave: Epilepsia autolimitada de la infancia; Espigas centrotemporales; Asimetría de hipocampos

Abstract

Introduction:

Self-Limited Epilepsy with Centrotemporal Spikes (SLECTS) is an epileptic syndrome that presents in preschool and school-aged children, characterized by focal somatosensory to bilateral tonic-clonic seizures, electroencephalographic findings are characterized by bilateral centrotemporal spikes activated during sleep. According to Lundberg and colleagues, hippocampal asymmetry has been evidenced in brain magnetic resonance imaging (MRI).

Case Report:

A male preschooler presented with a first seizure during sleep, of unknown onset, characterized by bilateral tonic-clonic movements, guttural sounds accompanied by ocular retroversion and sphincter relaxation, lasting less than 1 minute.

Conclusions:

SLECTS appears between the ages of 3 and 15 years. It presents as focal to bilateral seizures during sleep, with EEG abnormalities, and hippocampal asymmetry on MRI. It is a self-limiting or drug-responsive epilepsy of childhood.

Keywords: Self-limited epilepsy; centrotemporal spikes; Hippocampal asymmetry

Introducción

La epilepsia focal autolimitada con puntas centrotemporales (EA-PCT)1 conocida anteriormente como epilepsia benigna de la infancia con espigas centrotemporales ó epilepsia Rolándica es uno de los síndromes epilépticos más conocidos2. De acuerdo a la clasificación internacional de epilepsias y síndromes epilépticos corresponde a un síndrome breve que frecuentemente se asocia a crisis de inicio focal con síntomas somatosensoriales, que tienen la tendencia a evolucionar a bilateral tónico-clónicas, se presentan con predominio durante el sueño. Puede afectar alrededor del 15-25% de los niños por debajo de los 15 años3 y el inicio de las crisis puede ocurrir entre los 3 a 13 años de edad siendo autolimitadas o farmacorrespondedoras. En algunos casos la remisión ocurre después de las primeras crisis epilépticas, o bien, después de los 15 años de edad2.

En electroencefalograma (EEG) se presenta cambios caracterizados por un patrón con espigas centrotemporales de alto voltaje, usualmente seguidas de ondas lentas que se activan durante el sueño, puede observarse en uno o ambos hemisferios y ser sincrónicas y asincrónicas3. La predisposición genética es frecuente con una predominancia en el sexo masculino y se ha asociado su origen en el cromosoma 15q 14. En un estudio realizado por Lundberg y colaboradores2, se evaluaron 18 niños en edades desde los 6 hasta los 12 años con diagnóstico de Epilepsia benigna de la infancia con espigas centrotemporales, de los cuales 16 tenían espigas rolándicas en la región centrotemporal y 5 (28%) tenían asimetría de hipocampos evidenciada en la resonancia magnética nuclear cerebral (RMNC); en 3 de éstos el hipocampo izquierdo era más pequeño con respecto al derecho y en 2 el hipocampo derecho era más pequeño con respecto al izquierdo. En los 18 pacientes las espigas del EEG eran ipsilaterales al lado del hipocampo más pequeño y las manifestaciones clínicas eran contralaterales. En el presente trabajo se reporta el caso de un preescolar masculino de 5 años de edad que presentó una primocrisis epiléptica durante el sueño.

Caso Clínico

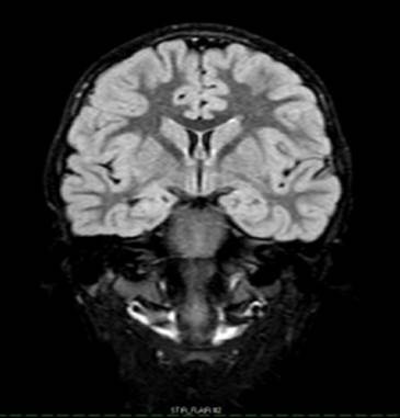
Preescolar masculino de 5 años de edad, quién es traído al servicio de urgencias, cuya madre refirió que había convulsionado (Verbatum de la madre). El paciente no tenía antecedentes patológicos conocidos. Inició enfermedad actual 2 horas previas a su ingreso, cuando durante sueño comienza a presentar súbitamente movimientos de inicio desconocidos a bilateral tónica- clónica con predominio en miembros superiores, postura en flexión, acompañado de retroversión ocular, menor de 1 minuto de duración. Posteriormente presentó postura flácida-hipotónica, sin respuesta al llamado y persistencia de la retroversión ocular por lo que madre realizó compresiones torácicas no cuantificadas y respiración boca a boca. Posterior a recuperación del estado de consciencia, presentó relajación de esfínter vesical y letargo, motivo por el cual deciden trasladarse al área de emergencia, donde fue evaluado decidiéndose su ingreso a observación. Dentro de sus antecedentes personales no había alteraciones en la adquisición de hitos del desarrollo, ni historia de crisis epilépticas previas. Acudía a terapia del lenguaje y cursaba 3er nivel de preescolar. Había sido inmunizado para varicela 1 semana previa al episodio. Padre y madre aparentemente sanos y no había historia familiar de epilepsia. Al examen físico el paciente se encontró en condiciones estables, con un peso 20 kg, temperatura de 36,2°C, tensión arterial en 110/84 mmHg, saturación de oxígeno en 99% aire ambiente, frecuencia respiratoria de 22 respiraciones/minuto y frecuencia cardíaca de 99 latidos/minuto. Se realizó glicemia capilar que reportó 119 mg/dL. Piel: fototipo III, turgor y elasticidad acordes a edad. Normocefálico, ojos con pupilas isocóricas con reflejos fotomotor y consensuado conservados. No se evidenciaron alteraciones en la esfera otorrinolaringológica. A la evaluación cardiopulmonar se evidenció un tórax simétrico, sin dificultad respiratoria, con ruidos presentes en ambos campos pulmonares y sin agregados. Los ruidos cardíacos se auscultaron rítmicos, sin soplos. Pulsos conservados. En el examen físico abdominal no había cambios al igual que a la evaluación de las extremidades. Neurológicamente se encontró sin signos de focalización, consciente, orientado en tiempo, espacio y persona, pares craneales conservados, reflejos osteotendinosos II/IV y fuerza muscular V/V, no había alteraciones de la marcha o de la coordinación, tampoco se evidenciaron signos meníngeos. Glasgow de 15/15 puntos. Se decidió ingresar bajo el diagnóstico presuntivo de crisis epiléptica generalizada, se indican laboratorios (hematología completa, proteína C reactiva, electrolitos séricos, antígeno y anticuerpos para SARS-CoV-2), los cuales se encontraban sin alteraciones, y se evidenció una IgG positiva para SARS CoV-2. Es evaluado por neuropediatría, decidiendo realizar EEG y RMNC. En el EEG (Figura 1) se reportó en vigilia, somnolencia y sueño evidenciándose anormal dado por actividad paroxística focal centrotemporal con amplio campo de propagación bilateral con moderada frecuencia de descarga y activado por el sueño. La RMNC (Figura 2) demostró adecuada diferenciación entre sustancia gris y sustancia blanca, sin cambios de intensidad de señal que sugieran proceso isquémico o hemorrágico, ni lesiones ocupantes de espacio, y el sistema ventricular estaba conservado. Se evidenció la asimetría de los hipocampos, con mayor tamaño del hipocampo izquierdo con respecto al derecho (Figura 2). En el contexto de una Epilepsia focal autolimitada de la infancia el paciente fué egresado con tratamiento con oxcarbazepina y citado para control de manera ambulatoria.

Figura 1: Imágenes de Electroencefalograma, preescolar masculino de 5 años en donde se evidencian puntas temporo-parietales (Central-Rolándica) bilaterales, aisladas y agrupadas con amplio campo de propagación y moderada frecuencia de descarga, activadas durante el sueño. 

Figura 2: RMNC. Preescolar masculino de 5 años Secuencia Stair FLAIR 2. Corte coronal cerebral. Hipocampo izquierdo de mayor tamaño con respecto al derecho. 

Discusión

La Epilepsia focal autolimitada con puntas centrotemporales es uno de los síndromes epilépticos más conocidos2, que corresponde a un síndrome breve frecuentemente asociado a crisis de inicio focal con síntomas somatosensoriales, que tienen la tendencia a evolucionar a tónico-clónicas bilateral, se presentan con predominio durante el sueño. Puede afectar alrededor del 15-25% de los niños por debajo de los 15 años3 y el inicio de las crisis puede ocurrir entre los 3 a 13 años de edad siendo autolimitadas o farmacorrespondedoras. En algunos casos la remisión ocurre después de las primeras crisis epilépticas, o bien, después de los 15 años2. En el presente trabajo se reporta el caso de un preescolar masculino, quién presentó una primocrisis durante el sueño, caracterizada por movimientos de inicio desconocido a bilateral tónica-clónica y retroversión ocular, acompañado de relajación de esfínter vesical, correlacionándose con epilepsia focal autolimitada de la infancia. Se decidió realizar EEG, evidenciándose actividad paroxística focal centrotemporal con amplio campo de propagación que puede ser un hallazgo característico EA-PCT2, y en la RMNC se evidenció asimetría de hipocampos, dada por mayor tamaño del hipocampo izquierdo con respecto al derecho. La literatura mundial ha descrito asimetría y esclerosis hipocampal en niños con EA-PCT4. Si bien se desconoce la causa de esta asimetría se cree que puede ser multifactorial y es bien conocido que la esclerosis hipocampal es el hallazgo patológico más frecuente evidenciado en pacientes con epilepsia temporal médicamente intratable5. Se describe también que la asimetría hipocampal se puede evidenciar en pacientes con síndromes epilépticos que no incluyen estructuras mesiotemporales5.

En un estudio realizado por Tzitiridou y colaboradores6 se reportaron 70 pacientes (5,2-11,6 años) con diagnóstico reciente de EA-PCT que habían sido asignados a recibir monoterapia con oxcarbazepina, siendo comparados con un grupo control de 45 pacientes durante un período de 18 meses. Durante el seguimiento se evidenció el cese de las convulsiones en el 53% de los pacientes, el 21% demostró una mejoría de las crisis mayor al 50% y en un 5% no se evidenció mejoría. La normalización de la actividad epileptiforme interictal se observó en el 58% de los pacientes y un 35% demostró mejoría en el grado de patología electroencefalográfica. Las puntuaciones débiles en dominios cognitivos no se deterioraron, e incluso mejoraron en algunos casos, durante el transcurso del estudio, con una mejoría o normalización electroencefalográfica concomitante y un control efectivo de las crisis. Los resultados de este estudio sugieren que el tratamiento con oxcarbazepina es eficaz para prevenir crisis epilépticas y normalizar electroencefalogramas, preservando las funciones cognitivas y las habilidades conductuales como monoterapia a largo plazo en niños con EA-PCT6.

Conclusiones

La EA-PCT es una entidad que aparece en la edad pediátrica, que generalmente es de curso benigno y puede diagnosticarse a través de los estudios adecuados como el EEG y la RMNC. La monoterapia con oxcarbazepina ha demostrado ser un tratamiento efectivo en la disminución de incidencia de las crisis epilépticas y en la preservación de las habilidades y funciones cognitivas del niño. Es importante para el pediatra reconocer la presencia de convulsiones en el paciente y derivarlo de manera oportuna a Neuropediatría para realizar el manejo y tratamiento precoz evitando así complicaciones a futuro.

Referencias

1. Lundberg S, Eeg-Olofsson O, Raininko R, Eeg-Olofsson KE. Hippocampal asymmetries and white matter abnormalities on MRI in benign childhood epilepsy with centrotemporal spikes. Epilepsia [Internet]. 1999;40(12):1808-15. Available from: http://dx.doi. org/10.1111/j.1528-1157.1999.tb01603.x. [ Links ]

2. Commission on Classification and Terminology of the Intema- tional League Against Epilepsy (1989). Proposal for revised clas- sification of epilepsies and epileptic syndromes. Epilepsia 1989; 30:389-99. [ Links ]

3. Gelisse P, Genton P, Raybaud C, Thiry A, Pincemaille O. Benign childhood epilepsy with centrotemporal spikes and hippocampal atrophy. Epilepsia [Internet]. 1999;40(9):1312-5. Available from: http://dx.doi. org/10.1111/j.1528-1157.1999.tb00864.x. [ Links ]

4. Meencke HJ, Veith G. Hippocampal sclerosis in epilepsy. In: Lud- ers H. ed. Epilepsy surgery. New York: Raven Pres, 1991:705- IS. [ Links ]

5. Tzitiridou M, Panou T, Ramantani G, Kambas A, Spyroglou K, Panteliadis C. Oxcarbazepine monotherapy in benign childhood epilepsy with centrotemporal spikes: a clinical and cognitive evaluation. Epilepsy Behav [Internet]. 2005;7(3):458-67. Available from: http://dx.doi. org/10.1016/j.yebeh.2005.07.012 [ Links ]

6. Kessi M, Yan F, Pan L, Chen B, Olatoutou E, Li D, et al. Treatment for the benign childhood epilepsy with centrotemporal spikes: A monocentric study. Front Neurol [Internet]. 2021;12:670958. Available from: http://dx.doi.org/10.3389/fneur.2021.670958 [ Links ]

Recibido: 24 de Abril de 2023; Aprobado: 04 de Julio de 2024; Publicado: 18 de Octubre de 2024

*Autor Correspondiente: Sofia Isea, e-mail: sofiaisea@gmail.com

Conflicto de interés

Los autores declaran que no existe ningún conflicto de interés en el presente trabajo de investigación.

Creative Commons License Este es un artículo publicado en acceso abierto bajo una licencia Creative Commons